Назад КТ сосудов шеи в СПБ

Цена:
6 400 руб
Записаться
  • Введение контраста Да
  • Длительность выполнения 20 минут
  • Ограничения по весу 120 кг
  • Ограничения по возрасту От 15 лет
  • Срок получения результата В течение 24 часов
Описание

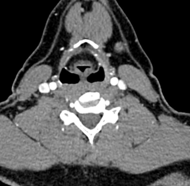
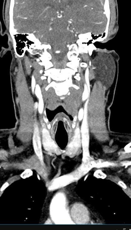
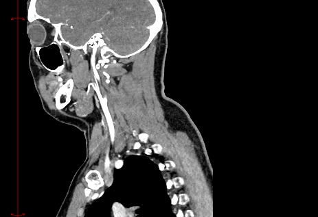
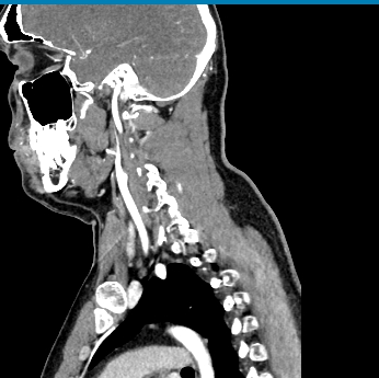
Мультиспиральная КТ сосудов шеи (КТ-ангиография) включает в себя сканирование брахиоцефальных артерий, то есть как сосудов кровоснабжающих головной мозг, так и проксимальные отделы плечевых артерий. Это крупные сосуды, которые отходят от дуги аорты и, разветвляясь, уходят в полость черепа. К ним относятся: брахиоцефальный ствол, общие, наружные и внутренние сонные артерии, подключичные и позвоночные артерии.

Патология брахиоцефальных артерий приводит к возникновению серьезных заболеваний головного мозга, в частности, к появлению различной неврологической симптоматики, развитию транзиторных ишемических атак (ТИА), ишемических инсультов. Достаточно часто при обследовании сосудов шеи выявляется их патологическая извитость, перегибы, образование углов, кинкинг и койлинг, что нарушает ход брахиоцефальных артерий, сужает просвет сосуда и становится причиной нарушения кровообращения головного мозга. 

Кроме того, разветвления крупных сосудов шеи до их вхождения в полость черепа являются излюбленным местом локализации атеросклеротических бляшек. На ранней стадии развития бляшка может никак себя не проявлять. По мере того, как увеличиваются ее размеры, образуются участки изъязвления, тромбы и обызвествления, снижается гемодинамика и могут развиваться такие грозные осложнения, как ТИА и инсульт. 

КТ сосудов шеи является высокоинформативным методом диагностики патологии брахиоцефальных артерий, который позволяет выявлять участки сужения, патологической извитости, определять развитие атеросклеротических бляшек ещё до того, как появились симптомы заболевания.

В наших медицинских центрах диагностика патологии магистральных сосудов шеи проводится на современных мультиспиральных компьютерных томографах экспертного уровня TOSHIBA AQUILION. Компьютерная томография относится к лучевым методам исследования, то есть для получения изображения внутренних органов используется рентгеновское излучение. Трубка томографа при помощи рентгеновских лучей послойно сканирует область исследования с минимальной толщиной среза от 0,5 мм, затем полученные данные трансформируются в объемные изображения. Оснащение аппаратов позволяет получать снимки и трехмерные реконструкции сосудистой системы превосходного качества, при этом пациент получает минимальную дозу облучения. 

Для улучшения визуализации сосудистой системы обязательным является проведение контрастного усиления. Для этого пациенту внутривенно вводится йодсодержащий контрастный препарат, который активно поглощает рентгеновские лучи и обеспечивает яркую видимость даже мелких сосудов на фоне окружающих тканей. 

Помимо КТ-ангиографии исследование сосудов шеи проводится при помощи магнитно-резонансной томографии. В зависимости от целей исследования, показаний, противопоказаний и результатов предшествующих обследований лечащий врач может порекомендовать тот или иной метод лучевой диагностики. Если врач направляет на МРТ, то в нашей клинике можно сделать МР-ангиографию шеи на современном высокопольном 32-канальном магнитно-резонансном томографе закрытого типа, обеспечивающем высокую точность и достоверность диагностики.

Показания к КТ ангиографии сосудов шеи

Свернуть/развернуть
  • атеросклеротические изменения в магистральных артериях;
  • поиск аневризматических расширений сонных или позвоночных артерий;
  • патологические сужения, нарушающие кровоснабжение мозга (врожденные или развившиеся на фоне других заболеваний);
  • васкулит; 
  • контроль эффективности консервативного лечения.
  • головокружения, провоцируемые запрокидыванием головы или поворотами ее в правую и левую сторону; обмороки
  • периодические потери сознания или приступы “потемнения” в глазах;
  • снижение памяти, интеллектуальных возможностей, ощущение “мелькания мушек” перед глазами;
  • последствия травм шеи с повреждением сосудов;
  • появление видимого глазом или определяемого на ощупь выпячивания, которое пульсирует при пальпации;
  • перенесенный ишемический инсульт или транзиторная ишемическая атака (сканирование обычно дополняется исследованием артерий мозга).
  • подозрения на онкологию, узловой зоб, дивертикулы пищевода, гнойно-воспалительные заболевания мягких тканей и др.
  • регулярные головные боли и мигрени. 
  • двоение в глазах и шум в ушах.
  • остеохондроз, унковертебральный артроз
  • атеросклеротические процессы в сонной артерии
  • сосудистые аномалии
  • аутоиммунные заболевания
  • планирование оперативного лечения на сосудах шеи;

Подготовка к КТ сосудов шеи

Свернуть/развернуть

Перед проведением КТ мы рекомендуем предоставить всю медицинскую документацию, которая относится к зоне исследования: 

  • Направление от лечащего врача;
  • Выполненные ранее рентгеновские снимки ангиографии магистральных сосудов шеи, CD/DVD диски предыдущих КТ- и МР-ангиографии сосудов шеи;
  • Выписки из амбулаторных карт и стационаров;
  • Заключения профильных специалистов.

Перед КТ с контрастированием требуется оценить выводящую функцию почек. Это имеет важное значение, так как контраст выводится из организма преимущественно почками. Для этого необходимо сдать кровь на исследование уровня креатинина. При повышенном уровне креатинина крови контрастирование не проводится. Анализ крови действителен в течение 14 дней с момента забора биоматериала. 

Пациентам, которые принимают по поводу сахарного диабета такие сахароснижающие препараты, как Метформин, Глюкофаж или другие метформинсодержащие препараты, необходимо согласовать с эндокринологом временную отмену приема данных препаратов за 48 часов до исследования с контрастированием и на 48 часов после введения контраста.

Если контрастное усиление проводится женщине в период лактации, то пациентке необходимо на 24-48 часов после процедуры с введением контраста исключить грудное вскармливание, при этом молоко сцеживать и выливать. На этот период мы рекомендуем запастись для ребенка необходимым количеством грудного молока.

Для введения контраста непосредственно перед сканированием в периферическую вену устанавливается венозный катетер, к которому подключается автоматическое дозирующее устройство. С его помощью контраст вводится в вену во время исследования. При введении контраста может появиться неприятный привкус во рту, ощущение прилива, жара во всем теле, но этот дискомфорт проходит через 1-2 минуты. Контрастное вещество выводится из организма преимущественно почками в течение последующих суток.

Чтобы получить качественные изображения на снимках, от пациента требуется сохранять неподвижность в течение всей процедуры. Врач находится в смежном помещении, отделенном от диагностического кабинета стеклянной перегородкой. Связь с ним происходит через встроенное в аппарат переговорное устройство.

Противопоказания для проведения КТ сосудов шеи

Свернуть/развернуть

Компьютерная томография не проводится беременным женщинам в течение всего срока беременности, так как ионизирующее излучение оказывает негативное влияние на развивающийся плод. 

Также в нашей клинике невозможно выполнить КТ пациентам с массой тела более 120 кг из-за технических возможностей аппарата (ограничения по весу имеет выдвижной стол томографа).

Дополнительно имеются противопоказания для введения контраста. К ним относятся:

  • аллергия на йодсодержащие контрастные вещества;
  • заболевания почек с резко выраженными явлениями почечной недостаточности;
  • застойная сердечная недостаточность;
  • заболевания щитовидной железы с признаками гипертиреоза и тиреотоксикоза;
  • тяжелое течение бронхиальной астмы;
  • декомпенсированный сахарный диабет.

Что показывает КТ сосудов шеи

Свернуть/развернуть
  • патологические расширения сосудов. 
  • расслоение их стенок. 
  • тромбозы, мальформации, извилистости. 
  • сужение просвета сонных артерий из-за атеросклероза. 
  • врожденные патологии сонных артерий. 
  • разрывы стенок и кровоизлияния.
  • наличие доброкачественных и злокачественных образований (в том числе и метастазов);
  • различные аномалии развития;
  • узлы в щитовидной железе;
  • камни в протоках слюнных желез;
  • повреждения, которые стали следствием травмирующего воздействия;
  • инородные тела;
  • воспалительные процессы (абсцесс, флегмона);
  • деформаций позвонков и др.

Запишитесь на КТ сосудов шеи по удобному адресу

Записаться
Фильтр по услугам КТ сосудов

Введение контраста

С контрастом Без контраста

Станция метро

Площадь Восстания Проспект Просвещения Нарвская Рыбацкое Девяткино Гражданский проспект Академическая Политехническая Площадь Мужества Лесная Выборгская Площадь Ленина Чернышевская Владимирская Пушкинская Технологический институт Балтийская Кировский завод Автово Ленинский проспект Проспект Ветеранов Парнас Озерки Удельная Пионерская Чёрная речка Петроградская Горьковская Невский проспект Сенная площадь Фрунзенская Московские ворота Электросила Парк Победы Московская Звёздная Купчино Беговая Зенит Приморская Василеостровская Гостиный двор Маяковская Площадь Александра Невского Елизаровская Ломоносовская Пролетарская Обухово Спасская Достоевская Лиговский проспект Площадь Александра Невского Новочеркасская Ладожская Проспект Большевиков Улица Дыбенко Комендантский проспект Старая Деревня Крестовский остров Чкаловская Спортивная Адмиралтейская Садовая Звенигородская Обводный канал Волковская Бухарестская Международная Проспект Славы Дунайская Шушары Богатырская Каменка Театральная Горный институт Путиловская Юго-Западная Кудрово Шуваловский проспект Каретная Боровая Заставская Броневая

Возраст пациента

Взрослому Ребенку от 15 лет

Пол пациента

Мужчине Женщине

Программы страхования

ДМС Платно ОМС

Цены

Услуги, соответствующие запросу, не найдены.

КТ сосудов головного мозга
руб
6 400 руб
КТ сосудов шеи
руб
6 400 руб
КТ сосудов шеи и головного мозга (брахиоцефальных артерий)
руб
9 100 руб
КТ грудного отдела аорты и ее ветвей
руб
9 500 руб
КТ коронарных артерий (коронарография)
руб
9 500 руб
КТ легочной артерии и ее ветвей
руб
10 600 руб
КТ брюшного отдела аорты и ее ветвей
руб
9 500 руб
КТ нижней полой вены
руб
8 600 руб
КТ чревного ствола с функциональными пробами на вдохе и выдохе
руб
7 600 руб
КТ воротной вены
руб
6 400 руб
КТ сосудов почек
руб
10 600 руб
КТ сосудов малого таза
руб
6 400 руб
КТ брюшного отдела аорты и сосудов (артерий) нижних конечностей
руб
13 500 руб
КТ сосудов верхних конечностей (1 рука)
руб
6 400 руб
КТ сосудов (артерий) нижних конечностей (2 ноги)
руб
От 7 500 руб
от бифуркации аорты до коленного сустава
руб
7 500 руб
от бифуркации аорты до стопы
руб
9 500 руб

Адреса диагностических центров "Доступная Медицина"

Преимущества наших диагностических центров

Доступные цены

Приемлемые цены
на все услуги

Качественный сервис

Контроль качества
оказываемых услуг

Лучшие специалисты

Высококвалифицированные врачи

Новейшее оборудование

Современные томографы с высочайшим качеством визуализации

Близость к метро

Мы находимся в непосредственной близости от метро и остановок общественного транспорта

Лицензии

Современные томографы с высочайшим качеством визуализации

Назад
Вперед
Ключникова Екатерина Игоревна
Информация проверена главным врачом клиники Domedica24
Ключникова Екатерина Игоревна
Стаж более 8 лет, главный врач, врач-рентгенолог 1 категории
Площадь Стачек, 9">
ул. 1-я Советская, 8">