Назад МРТ матки в СПБ

7 800
/
По акции в Рыбацком
6 400
руб
Записаться на прием
7 800 руб
По акции в Рыбацком
6 400 руб
Записаться
  • Длительность выполнения 40 минут
  • Срок получения результата В течение дня
  • Ограничения по весу 120 кг
  • Ограничения по возрасту От 15 лет
  • Введение контраста Нет
Описание

В нашей клинике магнитно-резонансная томография матки проводится при помощи новейшего томографа экспертного уровня TOSHIBA VANTAGE TITAN 1,5 Тесла. Высокая индукция магнитного поля томографа обеспечивает превосходную четкость и детализацию изображений органов женской репродуктивной системы. Отсутствие вредного рентгеновского излучения делает процедуру безопасной и дает возможность проведения исследования неоднократно по мере необходимости. 

Стандартный протокол сканирования не предусматривает использование контраста. Однако при необходимости уточнения патологических изменений в органе, в случае дифференциальной диагностики, особенно при подозрении на опухоль, обязательным является применение контрастного усиления. 

Для этого в вену вводится контрастное вещество на основе металла гадолиния. Контраст «высвечивает» очаги поражения размерами от 1 мм, что позволяет диагностировать патологический очаг в самом начале развития. Ранняя диагностика онкозаболеваний имеет важнейшее значение для жизни и здоровья пациента. 

Когда необходимо обследование

Свернуть/развернуть
  • Оценка расположения и размеров новообразований матки;
  • Решение вопроса о способе лечения некоторых гинекологических проблем (например, МРТ миомы матки позволяет выбрать хирургический или консервативный подход к её лечению);
  • Эндометриоз;
  • Планирование таких операций, как миомэктомия, гистерэктомияи др.;
  • Оценка результатов проведенного лечения (например, в случае борьбы с миомой с помощью эмболизации артерий матки);
  • Подозрение на новообразования матки и её шейки, необходимость оценить их расположение, проследить за увеличением размеров в динамике (например, МРТ при раке матки помогает провести дифференциальную диагностику и определить стадию заболевания);
  • Подозрение на врожденные пороки развития матки и придатков;
  • Диагностика бесплодия и поиск причины нарушения фертильной функции.

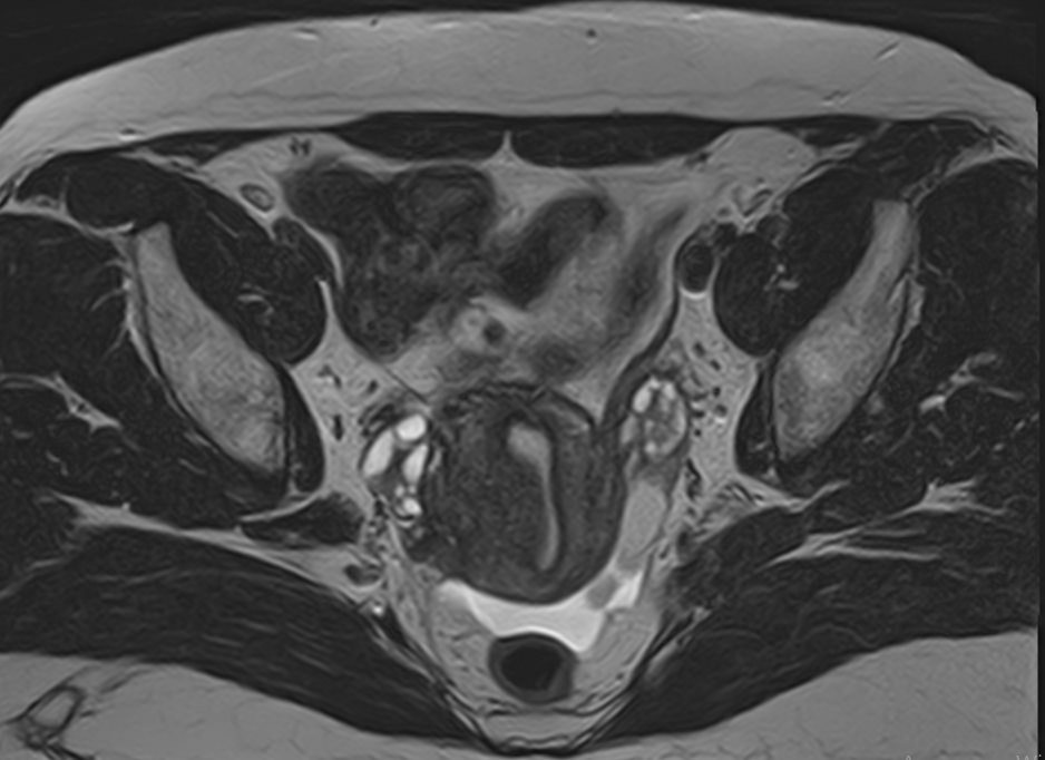
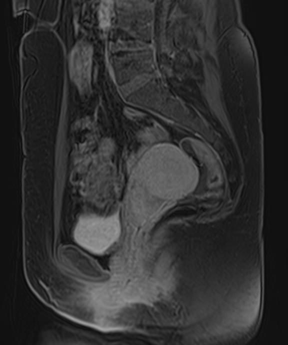
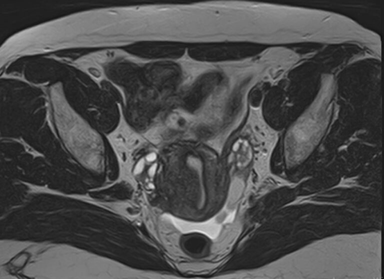
МРТ матки: что показывает процедура

  • Размеры и особенности расположения органа и его придатков.
  • Наличие метастазов в окружающих тканях.
  • Эндометриоз и его характер. МРТ матки и яичников обнаруживает также признаки распространения эндометриоидных очагов в область придатков и шейки.
  • Новообразования тела и шейки органа (миома, саркома и др.), признаки их возможной злокачественности или доброкачественности. В «Мы и Дети» можно сделать МРТ матки по доступным ценам, решив с помощью одного исследования множество диагностических вопросов и выиграв время для эффективного лечения.
  • Послеоперационные рубцы на матке.
  • Прорастание новообразований в соседние органы.
  • Аномалии развития матки (двурогая матка, гипоплазия) и маточных труб.

Какая требуется подготовка к МРТ матки

Свернуть/развернуть

Скопление газов в кишечнике ухудшает визуализацию матки, поэтому перед исследованием нужно придерживаться специальной диеты, которая помогает уменьшить газообразование.

За три дня до исследования рекомендуется исключить из рациона пищу, повышающую газообразование (сладкое, мучное, жирное, бобовые, газированные напитки, капусту) и принимать «Эспумизан» по 2 капсулы 3 раза в день (если есть проблемы с газообразованием!). В день исследования «Эспумизан» принимать не нужно. 

За 3-4 часа до исследования следует отказаться от приема пищи.

За 30-40 минут до исследования необходимо выпить 2 таблетки «Но-шпы» для снижения перистальтики кишечника. 

Необходимо принести с собой медицинскую документацию, относящуюся к зоне исследования:

  • направление от лечащего врача;
  • выписки из амбулаторных карт и стационаров;
  • результаты предыдущих исследований (МР-снимки, СD/DVD диски, снимки КТ, заключение УЗИ).

Если планируется контрастирование у пациента с подозрением на почечную недостаточность, необходимо не более, чем за 14 дней до исследования сдать биохимический анализ крови для контроля уровня креатинина (показатель, отражающий функцию почек). Результаты необходимо предоставить врачу-рентгенологу.

В случае наличия каких-либо протезов или имплантов, материал которых не препятствует проведению МРТ, необходимо предоставить справку об этом из учреждения, где они были установлены. Врач-рентгенолог примет решение о возможности проведения МРТ, если расположение протеза не будет мешать визуализации исследуемой области, либо предложит другой способ обследования.

Контраст вводится внутривенно и может сопровождаться появлением чувства теплоты во всем теле, неприятного привкуса во рту, иногда тошноты. Эти явления кратковременны и через пару минут исчезают. Введенный контраст удаляется из организма преимущественно почками в течение последующих суток. Это нужно иметь в виду кормящим женщинам, так как требуется приостановить грудное кормление на 24-48 часов после исследования, при этом проводить сцеживание молока с дальнейшей его утилизацией.

Исследование проводится в одежде без металлической фурнитуры. Также необходимо снять с себя серьги, пирсинг, другие украшения, часы, из карманов выложить мобильные телефоны, пластиковые карты, любые электронные устройства, гаджеты или предметы, которые могут содержать металл. 

Во время сканирования пациент лежит внутри туннеля томографа, при этом требуется сохранять неподвижность в течение всего времени исследования. Аппарат во время работы издает громкий шум, стук, иногда вибрирует. Чтобы уменьшить неприятное действие громкого шума, можно воспользоваться берушами или наушниками для защиты ушей.

Врач и рентгенолаборант находятся в смежном помещении, между которыми имеется стеклянная перегородка. Для вызова персонала служит сигнальное устройство, которое во время исследования находится в руке пациента.

Некоторые пациенты могут испытывать волнение, поэтому разрешается присутствие сопровождающего в диагностическом кабинете во время исследования.

Когда нельзя провести МРТ матки

Свернуть/развернуть
  • если у пациента имеются вживленные электронные устройства (кардиостимуляторы, водители ритма, инсулиновая помпа, кохлеарные имплантаты);
  • при наличии в теле ферромагнитных элементов (имплантатов, сосудистых скоб, протезов, пластин, штифтов, а также осколков, дроби, неснимаемого пирсинга и др.);
  • женщинам в первом триместре беременности, когда плод наиболее чувствителен к различным неблагоприятным воздействиям;
  • если у пациента наблюдается клаустрофобия, это может оказаться препятствием для проведения МРТ;
  • вес пациента более 120 кг (ограничение по весу выдвижного стола томографа);
  • для проведения МРТ с контрастированием противопоказанием является беременность на любом сроке, хроническая почечная недостаточность, наличие аллергических реакций на контрастное вещество.

Показания к обследованию

Свернуть/развернуть

Сделать МРТ матки может порекомендовать гинеколог, эндокринолог, онколог и другие специалисты. Поводами для назначения исследования выступают следующие состояния:

  • боли внизу живота и пояснично-крестцовой зоне неясного генеза;
  • маточные кровотечения;
  • нерегулярный менструальный цикл;
  • проблемы с зачатием;
  • новообразования (исследование позволяет уточнить их размеры и локализацию) и пр.

Наиболее часто томографию матки применяют в комплексной диагностике и лечении новообразований. Процедура позволяет с высокой точностью определить локализацию, размеры и влияние опухоли на окружающие ткани, а также провести первичную дифференциацию добро- и злокачественных структур (по форме, строению, особенностям накопления контраста и пр.). Динамический контроль методом МРТ позволяет объективно оценить эффективность терапевтической тактики.

Запишитесь на МРТ матки по удобному адресу

Записаться
Фильтр по услугам МРТ органов малого таза

Введение контраста

С контрастом Без контраста

Станция метро

Площадь Восстания Нарвская Проспект Просвещения Рыбацкое Девяткино Гражданский проспект Академическая Политехническая Площадь Мужества Лесная Выборгская Площадь Ленина Чернышевская Владимирская Пушкинская Технологический институт Балтийская Кировский завод Автово Ленинский проспект Проспект Ветеранов Парнас Озерки Удельная Пионерская Чёрная речка Петроградская Горьковская Невский проспект Сенная площадь Фрунзенская Московские ворота Электросила Парк Победы Московская Звёздная Купчино Беговая Зенит Приморская Василеостровская Гостиный двор Маяковская Площадь Александра Невского Елизаровская Ломоносовская Пролетарская Обухово Спасская Достоевская Лиговский проспект Площадь Александра Невского Новочеркасская Ладожская Проспект Большевиков Улица Дыбенко Комендантский проспект Старая Деревня Крестовский остров Чкаловская Спортивная Адмиралтейская Садовая Звенигородская Обводный канал Волковская Бухарестская Международная Проспект Славы Дунайская Шушары Богатырская Каменка Театральная Горный институт Путиловская Юго-Западная Кудрово Шуваловский проспект Каретная Боровая Заставская Броневая

Возраст пациента

Взрослому Ребенку от 15 лет

Пол пациента

Мужчине Женщине

Тип аппарата

Открытый Закрытый

Мощность МРТ

1.5 Тл 3 Тесла

Программы страхования

ДМС Платно ОМС

Цены

Услуги, соответствующие запросу, не найдены.

Адреса диагностических центров "Доступная Медицина"

Преимущества наших диагностических центров

Доступные цены

Приемлемые цены
на все услуги

Качественный сервис

Контроль качества
оказываемых услуг

Лучшие специалисты

Высококвалифицированные врачи

Новейшее оборудование

Современные томографы с высочайшим качеством визуализации

Близость к метро

Мы находимся в непосредственной близости от метро и остановок общественного транспорта

Лицензии

Современные томографы с высочайшим качеством визуализации

Назад
Вперед
Ключникова Екатерина Игоревна
Информация проверена главным врачом клиники Domedica24
Ключникова Екатерина Игоревна
Стаж более 8 лет, главный врач, врач-рентгенолог 1 категории
Площадь Стачек, 9">
ул. 1-я Советская, 8">