Назад МРТ височно-нижнечелюстных суставов (ВНЧС) открытый рот/закрытый рот

МРТ ВНЧС (1 положение)
4 200
руб
МРТ ВНЧС с капой
5 700
руб
МРТ ВНЧС
6 200
руб
МРТ ВНЧС с регистратом прикуса
8 200
руб
Записаться на прием
МРТ ВНЧС (1 положение)
Цена:
4 200 руб
МРТ ВНЧС с капой
Цена:
5 700 руб
МРТ ВНЧС
Цена:
6 200 руб
МРТ ВНЧС с регистратом прикуса
Цена:
8 200 руб
Записаться
  • Длительность выполнения 30 минут
  • Срок получения результата В течение дня
  • Ограничения по весу 120 кг
  • Ограничения по возрасту От 15 лет
  • Введение контраста Нет
Описание

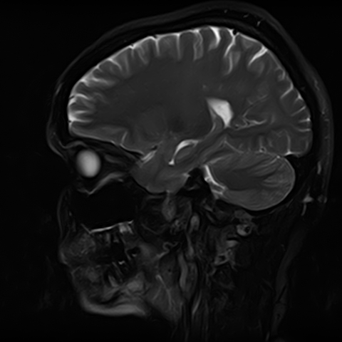
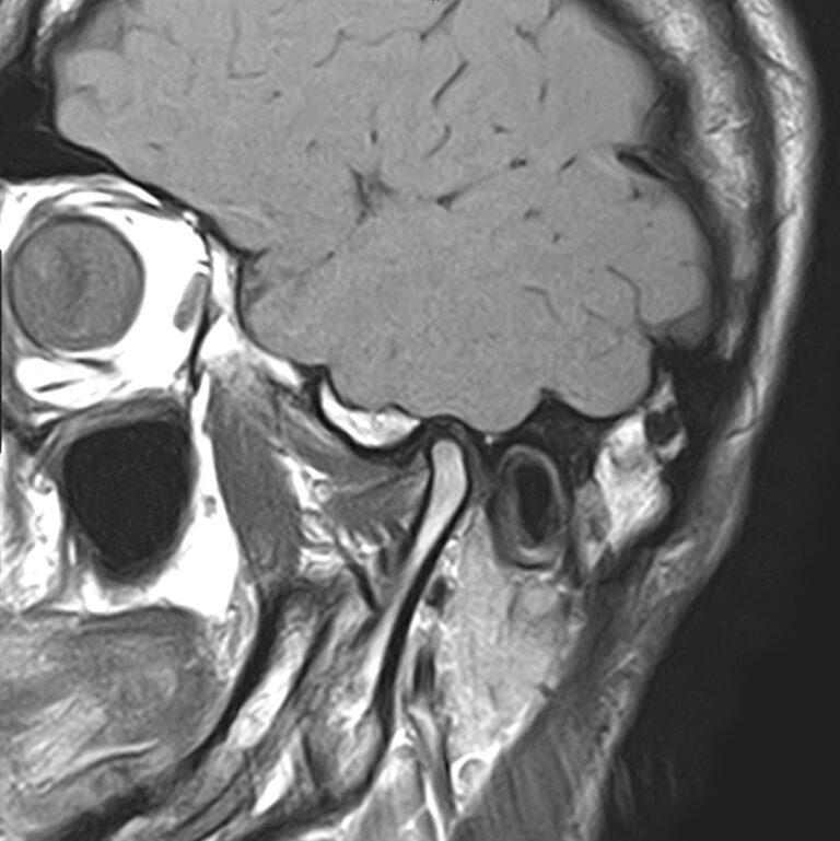
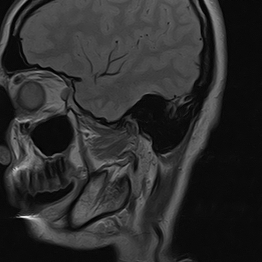
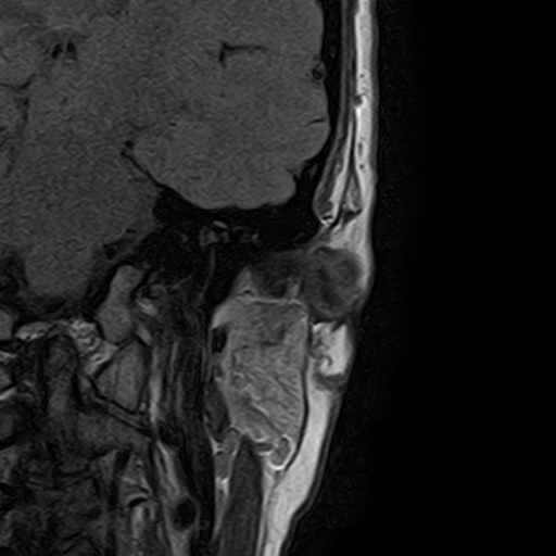
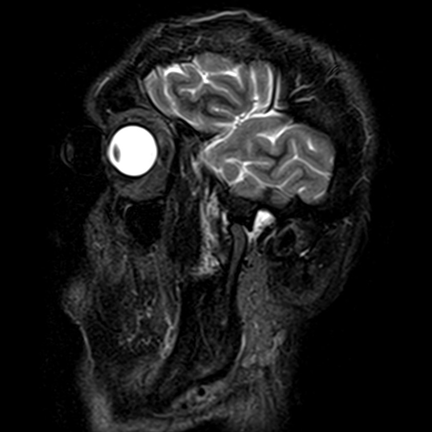
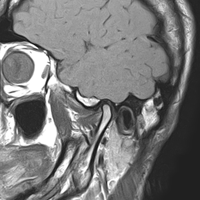
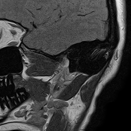
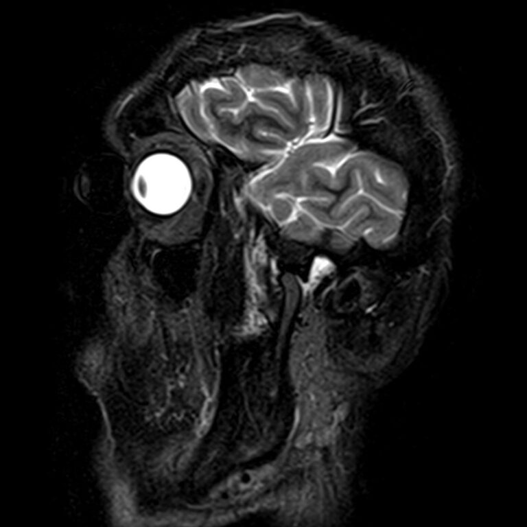
Височно-нижнечелюстной сустав является парным комбинированным суставом и имеет сложное строение. В него входят суставные ямки височной кости, суставные головки нижней челюсти и расположенные между ними хрящевые пластинки – мениски, выполняющие роль амортизаторов. 

Сустав имеет мощный связочный аппарат, который позволяет ему выдерживать большую нагрузку при пережевывании пищи. Сложное строение и значительные нагрузки способствуют развитию в суставе дегенеративно-дистрофических и воспалительных заболеваний.

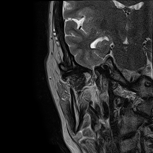
Чаще всего дисфункция височно-нижнечелюстного сустава обусловлена внутренним повреждением, смещением мениска и суставной головки нижней челюсти. Для определения степени смещения внутрисуставных структур выполняется функциональная проба с проведением МРТ в двух положениях:

  • с закрытым ртом;
  • с открытым ртом.

Магнитно-резонансная томография является наиболее точным и эффективным методом диагностики поражения височно-нижнечелюстных суставов, так как позволяет получить детальную информацию о состоянии не только костей, но и связочного аппарата, хрящей, менисков, жевательных мышц, окружающих мягких тканей. 

В клинике «Доступная медицина» можно пройти исследование МРТ височно-нижнечелюстного сустава на высокотехнологичном оборудовании. Клиника располагает новейшим томографом экспертного класса TOSHIBA VANTAGE TITAN 1,5 Тесла, который благодаря высокой индукции магнитного поля позволяет получать изображения исследуемой зоны в мельчайших подробностях. Томограф производит послойное сканирование области сустава и околосуставных мягких тканей, затем с помощью цифровых приложений преобразует полученные данные в трехмерные изображения превосходного качества.

Метод магнитно-резонансной томографии не предусматривает применение рентгеновского излучения, поэтому является безопасной, при этом достаточно быстрой, неинвазивной и безболезненной процедурой.

В большинстве случаев проводится стандартная томография без использования контрастных веществ. В некоторых случаях может понадобиться введение контраста для улучшения визуализации патологических очагов, например, при подозрении на опухоль, которая может развиваться из костных структур или хрящей сустава, но чаще распространяется из полости черепа, околоушных слюнных желез и ветвей нижней челюсти. Для контрастного усиления применяются препараты, созданные на основе гадолиния (химический элемент, относящийся к редкоземельным металлам).

Эксклюзивное партнерство с ассоциацией врачей-ортодонтов, ортопедов Санкт-Петербурга.

Показания к проведению МРТ челюстно-лицевого сустава

Свернуть/развернуть

Томография челюстно-лицевой области показана не только при сильных болях, но и при незначительных отклонениях от нормального самочувствия, которые пациенты зачастую игнорируют. Это такие симптомы, как:

  • пастозность боковых сторон лица;
  • слабая болезненность в височно-челюстной области;
  • стук, щелчки при жевании;
  • невозможность полностью открыть рот;
  • жжение, онемение;
  • отечность;
  • нарушение жевательной функции;
  • затруднение речи, связанное с уменьшением объема движений;
  • небольшое смещение челюсти;
  • нарушение прикуса;
  • нарушение симметричности нижней лицевой части;
  • скованность лица при речи, жевании, зевании;
  • местные судороги.

Также томография назначается при диагностированном артрозе или артрите, во время подготовки к оперативным вмешательствам, для изучения анатомических особенностей структуры ВНЧС.

Боль, связанная с височно-нижнечелюстным суставом, в целом широко распространена среди населения. Благодаря высоким разрешению и контрастности изображений МРТ очень эффективна для оценки причин болевых ощущений, дискомфорта или проблем с функциональностью ВНЧС.

Данные симптомы могут быть вызваны следующими патологиями:

  • Ограниченная подвижность пальцев, запястья,
  • Болевые ощущения, покраснения и отёки.

Данные симптомы часто встречаются при:

  • Патологии, связанные с анатомическими вариациями височно-нижнечелюстного сустава.
  • Анатомические вариации ВНЧС, которые могут быть симптоматическими. Заболевания могут развиваться из-за ремоделирования сочленения, вызванного неправильным прикусом, травмы и других нарушений.
  • Внутресуставные новообразования — образования, которые мешают беспрепятственной работе сустава. Связанные симптомы включают болевые ощущения и суставные шумы. Включают смещение хрящевого диска, дегенерацию костной ткани (остеохондрит, аваскулярный некроз), свободные тела в полости сустава.
  • Артрит. Подобно другим синовиальным суставам, ВНЧС часто затрагивается воспалительными артритами, дегенеративными остеортритами, а также артритами, вызванными инфекцией или травмой.
  • Опухоли (синовиальный хондромастоз, пигментный виллонодулярный синовит, неоплазма). Сопровождаются такими симптомами, как боль, отёк, тугоподвижность сустава.

Так как при проведении процедуры МРТ височно-нижнечелюстного сустава не используется ионизирующее излучение (в отличие от рентгена и компьютерной томографии), этот метод обследования подходит и для молодых пациентов.

МРТ-обследование позволяет выявить следующие патологии:

Свернуть/развернуть
  • артрит и другие воспалительные процессы;
  • артроз и другие дистрофические поражения челюстной области;
  • синовит;
  • различные травмы, включая полные и частичные вывихи, переломы;
  • смещение диска;
  • аномалии развития;
  • повреждение, изменение ширины, сдавливание сосудов.

Современные томографы дают возможность обнаружить даже минимальные структурные изменения и начать лечение на ранней стадии болезни.

Как нужно подготовиться к МРТ височно-нижнечелюстного сустава

Свернуть/развернуть

Процедура не требует специальной подготовки.

Необходимо принести с собой медицинскую документацию, относящуюся к зоне исследования:

  • направление от лечащего врача;
  • выписки из амбулаторных карт и стационаров;
  • результаты предыдущих исследований (МР-снимки, CD/DVD диски, снимки КТ).

При наличии имплантатов или протезов из материалов, которые допускают проведение МР-исследования, необходимо предоставить сведения об этом из учреждения, где устанавливался имплантат.

Если планируется применение контрастирования, то пациентам при подозрении на снижение функции почек необходимо провести исследование уровня креатинина крови не более, чем за 14 дней до исследования. 

Введение контраста производится внутривенно, непосредственно во время исследования, через установленный в локтевую вену катетер. На введение контраста может появиться ощущение тепла или холода в теле, металлический привкус во рту, но этот дискомфорт быстро проходит. Контрастное вещество выводится из организма в течение последующих суток, поэтому если исследование проводится кормящим матерям, им необходимо прервать грудное вскармливание на 24-48 часов после исследования, молоко сцеживать и выливать.

Во время проведения процедуры запрещено иметь при себе металлические предметы, украшения, пирсинг, одежду с фурнитурой из металла, пластиковые карты, мобильные телефоны, любые другие гаджеты. Все это нужно оставить в соседнем помещении.

Пациент во время исследования находится внутри цилиндрической части томографа, лежа на выдвижном столе. Во время процедуры нужно сохранять неподвижность для получения качественных изображений исследуемой области.

Работа томографа сопровождается громким акустическим шумом, что обусловлено особенностями технологии процесса. Чтобы уменьшить дискомфорт от воздействия шума, можно надеть наушники или использовать беруши.

Пациентам, испытывающим тревогу и волнение, разрешается находиться в кабинете МРТ вместе с сопровождающим. Вызвать медработников из смежного помещения можно, воспользовавшись специальной сигнальной груши, которая в течение всего периода исследования находится в руке пациента.

МРТ височно-нижнечелюстного сустава противопоказана:

Свернуть/развернуть
  • Пациентам с имеющимися в теле металлическими предметами (это могут быть спицы, пластины, штифты, металлоконструкции для остеосинтеза, фрагменты пуль и металлические осколки, железная или стальная стружка, неснимаемый пирсинг).
  • Пациентам с вживленными электронными системами, такими как кардиостимуляторы, водители ритма, кохлеарные имплантаты, нейростимуляторы, дозирующие инсулиновые насосы.
  • Беременным женщинам до 13 недель беременности для исключения риска воздействия неблагоприятных факторов на плод в раннем развитии.
  • Пациентам с массой тела свыше 120 кг (ограничение связано с техническими особенностями томографа).
  • Пациентам с клаустрофобией, испытывающим приступы паники в закрытых пространствах.
  • Запрещено введение контраста во время беременности на любом сроке, пациентам со сниженной функцией почек, при наличии в анамнезе аллергических реакций на контраст.

При наличии противопоказаний для выполнения МРТ, в клинике «Доступная медицина» можно провести КТ височно-нижнечелюстных суставов на современном компьютерном томографе со сниженной лучевой нагрузкой по доступной цене.

МРТ височно-нижнечелюстного сустава с капой

Свернуть/развернуть

МРТ ВНЧС с капой проводится для изучения состояния внутрисуставных структур и оценки функции височно-нижнечелюстного сустава на фоне установленной окклюзионной шины.

При аномалиях прикуса одним из методов лечения является длительное ношение миорелаксирующей капы (ортотика). Это специальная окклюзионная шина, которая подбирается стоматологом индивидуально для каждого пациента и устанавливается на нижней челюсти. Окклюзионные капы бывают съемные и несъемные.

С помощью такой капы решаются многие задачи. В частности, различные виды ортотика помогают постепенно выправить положение нижней челюсти относительно верхней, перераспределить жевательную нагрузку и уменьшить компрессию в височно-нижнечелюстных суставах. 

Лечение с помощью ортотика применяется при:

  • различных дефектах прикуса;
  • бруксизме;
  • дисфункции височно-нижнечелюстного сустава;
  • нарушениях работы жевательных мышц;
  • патологической стираемости эмали;
  • в процессе подготовки к имплантации и протезированию.

 

При проведении магнитно-резонансной томографии на изображениях визуализируются: височная кость, головка мыщелкового отростка нижней челюсти, суставная щель. Помимо костных структур МРТ позволяет оценить состояние мягких тканей – внутрисуставного диска и связочного аппарата височно-нижнечелюстного сустава, жевательных мышц.

МРТ ВНЧС с капой включает в себя два протокола: с открытым ртом и с закрытым ртом. Данная функциональная проба позволяет проследить степень смещения внутрисуставных анатомических структур и оценить биомеханику движений в суставе.

Опираясь на данные, полученные при проведении магнитно-резонансной томографии, специалисты (стоматолог-ортодонт и гнатолог) смогут оценить эффективность лечения и определить оптимальное положение капы, которая должна принудительно двигать челюсть в нужном направлении. Это позволит нормализовать мышечный тонус челюстно-лицевой области, восстановить анатомически правильное движение нижней челюсти и добиться нормального положения ВНЧС.

МРТ височно-нижнечелюстного сустава с регистратором прикуса

Свернуть/развернуть

Одна из наиболее распространенных причин патологии височно-нижнечелюстного сустава – это различные стоматологические заболевания и, в частности, аномалии прикуса. При неправильной окклюзии (смыкании) зубных рядов нарушается скоординированная работа жевательных мышц, при этом суставные поверхности ВНЧС испытывают перегрузку и травмируются. Это вызывает развитие болевого синдрома, дисфункции и воспалительных изменений сустава.

Для коррекции дефектов прикуса проводится ортодонтическое и ортогнатическое (хирургическое) лечение. Предварительным этапом данных видов лечения является регистрация прикуса. Эта процедура необходима для оценки окклюзионного соотношения зубных рядов. 

Регистрация прикуса представляет собой снятие оттиска с обоих рядов зубов и изготовление ортодонтического шаблона из специальных материалов (обычно это силикон или воск). Данная процедура выполняется врачом-стоматологом в условиях стоматологического кабинета и выдается на руки пациенту. С готовым регистратором прикуса пациенту назначается МРТ височно-нижнечелюстного сустава. 

Протокол МРТ ВНЧС предусматривает проведение исследования в двух положениях: с открытым ртом и закрытым ртом. Данная функциональная проба дает возможность оценить биомеханику работы височно-нижнечелюстного сустава.

Исследование покажет:

  • гипермобильность диска; 
  • разницу суставной щели, положение диска с регистратором и без него;
  • вывихи и подвывихи сустава; 
  • перегрузку жевательных мышц;
  • артрозы височно-нижнечелюстного сустава.

МРТ ВНЧС с регистратором прикуса помогает получить информацию об особенностях расположения суставного диска височно-нижнечелюстного сустава, функциональной способности суставов и жевательных мышц. Эти данные необходимы в дальнейшем для изготовления высокоточных протезов и ортодонтических приспособлений, что гарантирует положительный результат после реставрации зубов и исправления прикуса, а также долговременное качественное функционирование протезов и имплантов.

Запишитесь на МРТ височно-нижнечелюстных суставов (ВНЧС) открытый рот/закрытый рот по удобному адресу

Записаться
Фильтр по услугам МРТ суставов

Введение контраста

С контрастом Без контраста

Станция метро

Площадь Восстания Нарвская Проспект Просвещения Рыбацкое Девяткино Гражданский проспект Академическая Политехническая Площадь Мужества Лесная Выборгская Площадь Ленина Чернышевская Владимирская Пушкинская Технологический институт Балтийская Кировский завод Автово Ленинский проспект Проспект Ветеранов Парнас Озерки Удельная Пионерская Чёрная речка Петроградская Горьковская Невский проспект Сенная площадь Фрунзенская Московские ворота Электросила Парк Победы Московская Звёздная Купчино Беговая Зенит Приморская Василеостровская Гостиный двор Маяковская Площадь Александра Невского Елизаровская Ломоносовская Пролетарская Обухово Спасская Достоевская Лиговский проспект Площадь Александра Невского Новочеркасская Ладожская Проспект Большевиков Улица Дыбенко Комендантский проспект Старая Деревня Крестовский остров Чкаловская Спортивная Адмиралтейская Садовая Звенигородская Обводный канал Волковская Бухарестская Международная Проспект Славы Дунайская Шушары Богатырская Каменка Театральная Горный институт Путиловская Юго-Западная Кудрово Шуваловский проспект Каретная Боровая Заставская Броневая

Возраст пациента

Взрослому Ребенку от 15 лет

Пол пациента

Мужчине Женщине

Тип аппарата

Открытый Закрытый

Мощность МРТ

1.5 Тл 3 Тесла

Программы страхования

ДМС Платно ОМС

Цены

Услуги, соответствующие запросу, не найдены.

МРТ крестцово-подвздошных суставов
руб
4 600 / 3 200 руб
Подробнее
МРТ височно-нижнечелюстных суставов (1 положение)
руб
4 200 руб
МРТ височно-нижнечелюстных суставов (ВНЧС) открытый рот/закрытый рот
руб
6 200 руб
МРТ височно-нижнечелюстных суставов (ВНЧС) открытый рот/закрытый рот с капой (капа выдается лечащим врачом)
руб
6 200 руб
МРТ височно-нижнечелюстных суставов (ВНЧС) открытый рот/закрытый рот/закрытый рот с регистратором прикуса (регистратор выдается лечащим врачом)
руб
8 200 руб
МРТ плечевого сустава
руб
5 300 / 3 900 руб
Подробнее
МРТ локтевого сустава
руб
5 300 / 3 900 руб
Подробнее
МРТ лучезапястного сустава
руб
5 300 / 3 900 руб
Подробнее
МРТ кисти
руб
5 300 / 3 900 руб
Подробнее
МРТ тазобедренных суставов
руб
5 300 / 3 900 руб
Подробнее
МРТ тазобедренного сустава расширенное (1 сустав) *Акция во всех филиалах
руб
5 300 руб
МРТ коленного сустава
руб
5 300 / 3 900 руб
Подробнее
МРТ голеностопного сустава
руб
5 300 / 3 900 руб
Подробнее
МРТ стопы
руб
5 300 / 3 900 руб
Подробнее
МРТ двух суставов
руб
8 600 / 7 200 руб
Подробнее

Адреса диагностических центров "Доступная Медицина"

Преимущества наших диагностических центров

Доступные цены

Приемлемые цены
на все услуги

Качественный сервис

Контроль качества
оказываемых услуг

Лучшие специалисты

Высококвалифицированные врачи

Новейшее оборудование

Современные томографы с высочайшим качеством визуализации

Близость к метро

Мы находимся в непосредственной близости от метро и остановок общественного транспорта

Лицензии

Современные томографы с высочайшим качеством визуализации

Назад
Вперед
Ключникова Екатерина Игоревна
Информация проверена главным врачом клиники Domedica24
Ключникова Екатерина Игоревна
Стаж более 8 лет, главный врач, врач-рентгенолог 1 категории
Площадь Стачек, 9">
ул. 1-я Советская, 8">