КТ сердца в СПБ
- Введение контраста Нет
- Длительность выполнения 10 минут
- Ограничения по весу 120 кг
- Ограничения по возрасту От 15 лет
- Срок получения результата В течение 24 часов
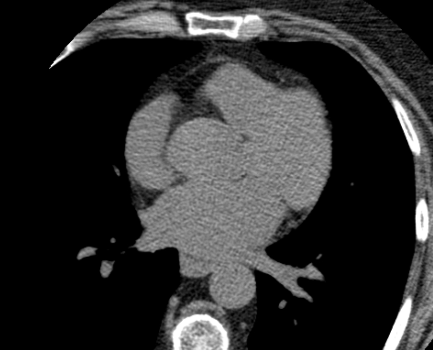
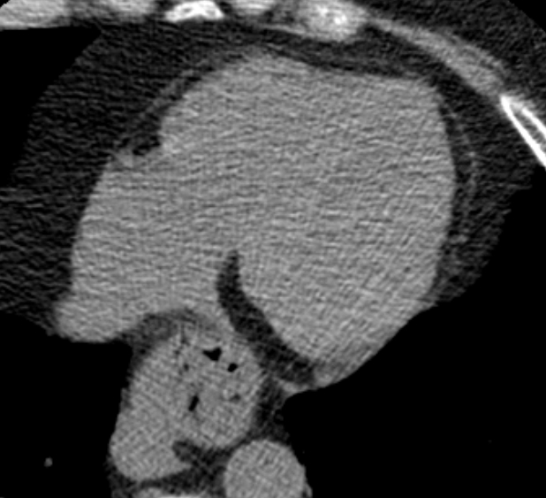
Одним из современных способов ранней диагностики поражения коронарных артерий является мультиспиральная КТ сердца с подсчетом коронарного кальция. Данное исследование правильнее называется кальций-скоринг (слово «скоринг» означает подсчет).
Методика имеет высокую диагностическую ценность и предусматривает выявление, а также количественный подсчет отложений кальция в стенках коронарных артерий – сосудов, которые кровоснабжают сердце.
Основной причиной развития инфаркта миокарда является атеросклероз коронарных артерий. При данном заболевании кальциноз (отложение кальция) в стенках коронарных артерий появляется на ранней стадии развития атеросклеротической бляшки, когда еще нет никаких симптомов. В дальнейшем происходит сужение просвета сосуда и уменьшение притока крови к сердечной мышце. Если своевременно не назначить обследование и лечение, атеросклероз коронарных артерий приводит к развитию стенокардии и инфаркту миокарда.
Кальций-скоринг является стандартизированным методом оценки прогноза развития острого инфаркта миокарда. Исследование проводится для выявления скрытой патологии коронарных артерий, с целью предотвратить в будущем инфаркт миокарда у пациентов с подозрением на ишемическую болезнь сердца.
По результатам кальций-скоринга лечащий врач сможет определить, нуждается пациент в дальнейшем, более углубленном обследовании, или нет. А также назначить своевременное лечение для предотвращения острого коронарного синдрома и инфаркта миокарда.
В нашей клинике исследование выполняется на новейшем 128-срезовом мультиспиральном компьютерном томографе экспертного класса TOSHIBA AQUILION CXL. Объектом данного исследования является сердце и коронарные артерии. Томограф производит послойное сканирование области сердца с шагом от 0,5 мм, и, благодаря высокой плотности отложения кальция и кальцинированные бляшки хорошо видны на снимках. За счет увеличенного количества сверхчувствительных детекторов сканирование происходит за несколько секунд, при этом доза рентгеновского облучения для пациента минимальна.
Для большей наглядности и определения точной локализации кальцинатов полученные при сканировании данные преобразуются аппаратом в объемные изображения сердца и сосудов.
Затем на основании полученных данных вычисляется индекс коронарного кальция (индекс Агатстона) для каждого коронарного сосуда в отдельности. Отсутствие кальция говорит о низком риске сердечно-сосудистых заболеваний.
Высокие показатели индекса кальция свидетельствуют о явном атеросклеротическом поражении коронарных артерий и образовании кальцинированных бляшек.
- Показания для проведения КТ сердца
- Какая нужна подготовка для КТ сердца
- Какие есть противопоказания для проведения КТ сердца
- Что покажет КТ сердца
Показания для проведения КТ сердца
- вредные привычки (курение, алкоголь);
- сахарный диабет;
- гипертония;
- повышенный уровень холестерина;
- отсутствие физической активности.
- Артериальная гипертензия
- Избыточный вес
- Возраст старше 40 лет
- Высокий коэффициент атерогенности
- Сердечно-сосудистые события у прямых родственников
- диагностированная стенокардия и ишемическая болезнь сердца;
- давящие, колющие, режущие боли в левой части грудной клетки;
- иррадиация болей в лопатку, плечо, ключицу, левую руку;
- неконтролируемые перепады артериального давления;
- одышка;
- признаки нарушений коронарного кровообращения;
- подозрение на атеросклероз сосудов;
- подготовка к операциям на сердце при уже диагностированных патологиях;
- контроль эффективности лечения;
- отслеживание динамики развития заболевания;
Какая нужна подготовка для КТ сердца
Преимуществами данного обследования является его быстрота, безболезненность, безопасность и неинвазивность (то есть не требует вмешательства в организм пациента). Особая подготовка не требуется.
Мы рекомендуем в день проведения исследования не употреблять напитки, содержащие кофеин (чай, кофе, кока-кола). Непосредственно перед процедурой желательно воздержаться от курения. Это необходимо для того, чтобы у пациента не было учащенного пульса, что может отразиться на качестве результата сканирования.
Для более точной диагностики желательно принести с собой результаты ранее выполненных исследований и все документы, относящиеся к зоне сканирования:
- Направление лечащего врача;
- Выписка из истории болезни или амбулаторной карты;
- Рентгеновские снимки, CD/DVD диски предыдущих КТ-исследований сердца, результаты ЭХОКГ;
- Заключения профильных специалистов.
Для выполнения исследования пациент располагается лежа на спине на выдвижной кушетке томографа. По сравнению с магнитно-резонансными томографами отверстие компьютерного томографа широкое, вокруг пространство полностью открытое и свободное.
Электроды ЭКГ-синхронизатора устанавливаются в типичные точки (в подключичные и подреберную области), рентгенолаборант оценивает частоту сердечных сокращений и вносит данные ЧСС в специальный протокол компьютерного томографа.
Врач-рентгенолог во время процедуры находится в смежном помещении и наблюдает за пациентом через стеклянную перегородку. В определенный момент пациента просят задержать дыхание, так как при дыхательных движениях могут получиться некачественные изображения. Разговаривать с врачом можно посредством переговорного устройства, вмонтированного в аппарат.
Какие есть противопоказания для проведения КТ сердца
Так как компьютерная томография предполагает использование рентгеновского излучения, КТ сердца нельзя провести беременным женщинам из-за риска вредного воздействия на формирующийся плод. В связи с этим женщинам в обязательном порядке следует сообщить врачу о возможной беременности.
Кроме того, в нашей клинике невозможно выполнить КТ сердца пациентам с массой тела, превышающей 120 кг. Данное противопоказание связано с техническими особенностями выдвижного стола томографа..
Что покажет КТ сердца
КТ кальций-скоринг — достаточно информативный метод диагностики. Благодаря проведению теста можно:
- обнаружить отложения солей кальция на стенках коронарных артерий (определение индекса коронарного кальция);
- выявить выраженность бляшек в коронарных артериях
- определить вероятность ишемической болезни сердца (ИБС)
- дать прогноз кардиоваскулярного риска.
Запишитесь на КТ коронарных артерий Ca Scoring по удобному адресу
ЗаписатьсяСтанция метро
Площадь Восстания Проспект Просвещения Нарвская Рыбацкое Девяткино Гражданский проспект Академическая Политехническая Площадь Мужества Лесная Выборгская Площадь Ленина Чернышевская Владимирская Пушкинская Технологический институт Балтийская Кировский завод Автово Ленинский проспект Проспект Ветеранов Парнас Озерки Удельная Пионерская Чёрная речка Петроградская Горьковская Невский проспект Сенная площадь Фрунзенская Московские ворота Электросила Парк Победы Московская Звёздная Купчино Беговая Зенит Приморская Василеостровская Гостиный двор Маяковская Площадь Александра Невского Елизаровская Ломоносовская Пролетарская Обухово Спасская Достоевская Лиговский проспект Площадь Александра Невского Новочеркасская Ладожская Проспект Большевиков Улица Дыбенко Комендантский проспект Старая Деревня Крестовский остров Чкаловская Спортивная Адмиралтейская Садовая Звенигородская Обводный канал Волковская Бухарестская Международная Проспект Славы Дунайская Шушары Богатырская Каменка Театральная Горный институт Путиловская Юго-Западная Кудрово Шуваловский проспект Каретная Боровая Заставская БроневаяРайон
Центральный Выборгский Кировский Адмиралтейски Василеостровский Калининский Колпинский Красногвардейский Красносельски Кронштадтский Курортный Московский Невский Петроградский Петродворцовый Приморский Пушкинский ФрунзенскийГород
Санкт-Петербург Бокситогорск Бугры Волосово Волхов Всеволожск Выборг Высоцк Гатчина Ивангород Каменногорск Кингисепп Кириши Кировск Колтуши Коммунар Кудрово Лодейное Поле Луга Любань Мурино Никольское Новая Ладога Отрадное Пикалёво Подпорожье Приморск Приозерск Светогорск Сертолово Сланцы Сосновый Бор Сясьстрой Тельмана Тихвин Тосно ШлиссельбургЦены
Услуги, соответствующие запросу, не найдены.
Адреса диагностических центров "Доступная Медицина"
Преимущества наших диагностических центров
Доступные цены
Приемлемые цены
на все услуги
Качественный сервис
Контроль качества
оказываемых услуг
Лучшие специалисты
Высококвалифицированные врачи
Новейшее оборудование
Современные томографы с высочайшим качеством визуализации
Близость к метро
Мы находимся в непосредственной близости от метро и остановок общественного транспорта
Наше оборудование
КТ-СПЕЦИАЛИСТЫ
Лицензии
Современные томографы с высочайшим качеством визуализации
Статьи наших врачей