КТ селезенки в СПБ
- Введение контраста Нет
- Длительность выполнения 10 минут
- Ограничения по весу 120 кг
- Ограничения по возрасту От 15 лет
- Срок получения результата В течение дня
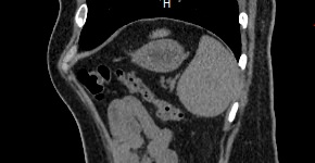
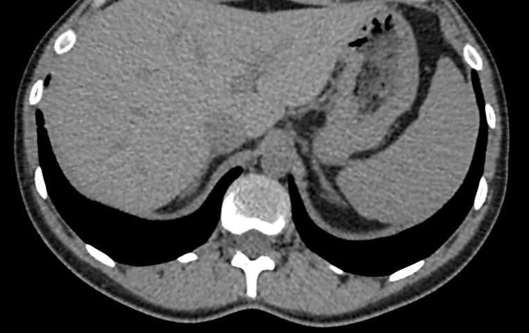
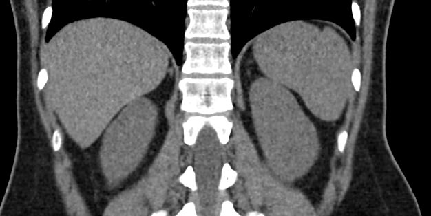
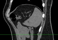
Мультиспиральная компьютерная томография селезенки – высокоинформативный инструментальный метод исследования, основанный на использовании рентгеновского излучения и позволяющий детально визуализировать паренхиму селезенки, состояние близлежащих органов и тканей, питающих ее кровеносных сосудов и лимфоузлов.
МСКТ селезенки проводится как с использованием контраста, так и без него. Контрастирование применяется для выявления патологических очагов, которые могут быть не видны при нативном исследовании. Для этого внутривенно вводится контрастный препарат, содержащий йод и накапливающийся в патологических очагах опухолевой и воспалительной природы.
Мультиспиральная компьютерная томография селезенки с внутривенным болюсным контрастированием используется в диагностике гематологических заболеваний, опухолевых процессов, при планировании хирургического вмешательства и для отслеживания эффективности лекарственной терапии.
В клинике «Доступная медицина» КТ селезенки проводится на современном мультиспиральном компьютерном томографе экспертного класса TOSHIBA AQUILION CXL. Увеличенное количество высокочувствительных детекторов аппарата обеспечивает быстроту выполнения процедуры, что ведет к снижению дозы рентгеновского излучения для пациента.
- Когда назначают КТ селезенки?
- Что покажет КТ селезенки
- Как подготовиться к КТ селезенки
- Когда невозможно провести компьютерную томографию селезенки
Когда назначают КТ селезенки?
- кистозные образования, опухоли
- разрывы селезенки травматического характера.
- анемия без видимой на то причины.
- значительное увеличение размеров — спленомегалия.
- заболевания инфекционного и гематологического характера.
- врожденные заболевания, аномалии органа.
- аневризма селезеночной артерии
- до, после лечения, оперативного вмешательства.
- боль или постоянный дискомфорт в области селезенки
- механические повреждения брюшной полости
- подозрение воспалительные процессы в органе, инфаркт, заворот, абсцесс или атрофия
Что покажет КТ селезенки
Нативная КТ (бесконтрастное исследование селезенки) показывает структуру органа достаточно однородно, без выявления незначительных изменений. Для большей информативности делают КТ селезенки с применением контрастных веществ.
На томограмме можно увидеть:
- нарушение целостности селезенки;
- кисты и крупные опухоли;
- кальцинаты;
- травматические и посттравматические изменения селезенки
- кровоизлияния внутрь брюшной полости
- отклонения от нормальных размеров.
- дополнительные дольки селезенки.
Как подготовиться к КТ селезенки
Специальная подготовка к компьютерному сканированию этого органа не требуется. Пациенту необходимо:
- не позднее, чем за 14 суток до диагностической процедуры сдать анализ крови на креатинин. Он требуется для исключения риска развития нефротоксической реакции на контрастные препараты;
- прекратить прием пищи за 2-3 часа до начала исследования. Пациентам, страдающим сахарным диабетом, позволяется употребить небольшое количество пищи.
Специалисты наших центров в СПб будут благодарны пациентам, предоставившим медицинскую документацию, касающуюся их заболеваний:
- направление врача;
- снимки, СD и/или DVD диски предыдущих КТ-исследований;
- выписку из истории болезни или амбулаторной карты;
- описания результатов предыдущих КТ- исследований;
- заключения профильных специалистов.
Предупреждаем желающих провести компьютерную томографию селезенки о рисках появления на КТ-снимках дефектов визуализации органа (артефактов). Такие явления развиваются в результате:
- проведенного накануне рентгенологического исследования органов брюшной полости с бариевой взвесью. Это вещество способно создавать такой некорректируемый эффект на послойных снимках;
- при наличии на теле или в организме металлических предметов. Мы всегда просим пациентов снимать с себя все металлические предметы перед непосредственной диагностической процедурой и предупреждать о наличии в организме инородных предметов из металла или медицинских приборов и устройств.
Пациенты с сахарным диабетом, применяющие для его коррекции препараты Метформин или Глюкофаж, должны прекратить их прием на срок в 48 часов до обследования и на 48 часов после него.
Когда невозможно провести компьютерную томографию селезенки
В целом процедура КТ селезенки по нативному протоколу и с контрастированием большинством пациентов переносится нормально. Минимальная доза ионизирующего излучения не оказывает негативного влияния на организм человека. Но у обследования существует ряд абсолютных и относительных ограничений:
- беременность. КТ селезенки не выполняется беременным женщинам из-за негативного влияния на плод лучевой нагрузки;
- масса тела пациента более 120 кг. Этот показатель ограничен возможностями томографа. В этом случае пациенту рекомендуется выполнить УЗИ этого органа;
- аллергические реакции на йод;
- почечная недостаточность. Для уточнения возможности проведения КТ селезенки с контрастом пациенты должны сделать анализ на креатинин крови (за 14 дней до обследования). По результатам анализа будет приниматься решение о возможности или запрете проведения компьютерной томографии селезенки;
- психические расстройства и клаустрофобия.
Лактация является относительным противопоказанием к проведению этого информативного, быстрого и безопасного исследования. Кормящие мамы, нуждающиеся в этом обследовании, должны сделать запас молока, а после проведения КТ с контрастом, как минимум 24-48 часов сцеживать и утилизировать его, не давая грудь малышу.
Существует ряд состояний и патологий, при которых выполнение компьютерного сканирования селезенки по любом протоколу будет затруднено:
- декомпенсированный диабет и тяжелая форма бронхиальной астмы;
- миеломная болезнь и печеночная недостаточность;
- выраженный болевой синдром;
- патологии щитовидной железы;
- лечение радиоактивным йодом.
Как и любое обследование, компьютерная томография имеет ряд противопоказаний, при наличии которых в нашей клинике можно пройти МРТ селезенки на современном высокопольном томографе экспертного уровня и по доступной цене.
Запишитесь на КТ селезенки по удобному адресу
ЗаписатьсяСтанция метро
Площадь Восстания Проспект Просвещения Нарвская Рыбацкое Девяткино Гражданский проспект Академическая Политехническая Площадь Мужества Лесная Выборгская Площадь Ленина Чернышевская Владимирская Пушкинская Технологический институт Балтийская Кировский завод Автово Ленинский проспект Проспект Ветеранов Парнас Озерки Удельная Пионерская Чёрная речка Петроградская Горьковская Невский проспект Сенная площадь Фрунзенская Московские ворота Электросила Парк Победы Московская Звёздная Купчино Беговая Зенит Приморская Василеостровская Гостиный двор Маяковская Площадь Александра Невского Елизаровская Ломоносовская Пролетарская Обухово Спасская Достоевская Лиговский проспект Площадь Александра Невского Новочеркасская Ладожская Проспект Большевиков Улица Дыбенко Комендантский проспект Старая Деревня Крестовский остров Чкаловская Спортивная Адмиралтейская Садовая Звенигородская Обводный канал Волковская Бухарестская Международная Проспект Славы Дунайская Шушары Богатырская Каменка Театральная Горный институт Путиловская Юго-Западная Кудрово Шуваловский проспект Каретная Боровая Заставская БроневаяРайон
Центральный Выборгский Кировский Адмиралтейски Василеостровский Калининский Колпинский Красногвардейский Красносельски Кронштадтский Курортный Московский Невский Петроградский Петродворцовый Приморский Пушкинский ФрунзенскийГород
Санкт-Петербург Бокситогорск Бугры Волосово Волхов Всеволожск Выборг Высоцк Гатчина Ивангород Каменногорск Кингисепп Кириши Кировск Колтуши Коммунар Кудрово Лодейное Поле Луга Любань Мурино Никольское Новая Ладога Отрадное Пикалёво Подпорожье Приморск Приозерск Светогорск Сертолово Сланцы Сосновый Бор Сясьстрой Тельмана Тихвин Тосно ШлиссельбургЦены
Услуги, соответствующие запросу, не найдены.
Адреса диагностических центров "Доступная Медицина"
Преимущества наших диагностических центров
Доступные цены
Приемлемые цены
на все услуги
Качественный сервис
Контроль качества
оказываемых услуг
Лучшие специалисты
Высококвалифицированные врачи
Новейшее оборудование
Современные томографы с высочайшим качеством визуализации
Близость к метро
Мы находимся в непосредственной близости от метро и остановок общественного транспорта
Наше оборудование
КТ-СПЕЦИАЛИСТЫ
Лицензии
Современные томографы с высочайшим качеством визуализации
Статьи наших врачей