Назад КТ сосудов шеи и головного мозга в СПБ

Цена:
9 100 руб
Записаться
  • Введение контраста Да
  • Длительность выполнения 20 минут
  • Ограничения по весу 120 кг
  • Ограничения по возрасту От 15 лет
  • Срок получения результата В течение 24 часов
Описание

От дуги аорты отходят крупные магистральные сосуды (брахиоцефальные артерии). Они проходят в области шеи и кровоснабжают верхние конечности и головной мозг. К ним относятся: плечеголовной ствол, общие, наружные и внутренние сонные артерии, подключичные и позвоночные артерии. Общие сонные артерии формируют каротидный бассейн и делятся на наружные и внутренние сонные артерии, а позвоночные артерии формируют вертебробазилярный бассейн и, наоборот, сливаются в единую основную артерию.

Наружные сонные артерии кровоснабжают мягкие ткани лица и волосистой части головы, внутренние сонные и позвоночные артерии обеспечивают кровенаполнение сосудов головного мозга. 

Ветви внутренних сонных и основной артерий внутри полости черепа сообщаются между собой, образуя Виллизиев круг – сосудистый анастомоз, то есть соединение мелких сосудистых ветвей. Нормальное функционирование Виллизиева круга позволяет компенсировать мозговой кровоток в случае недостаточности кровообращения в одной из артерий.

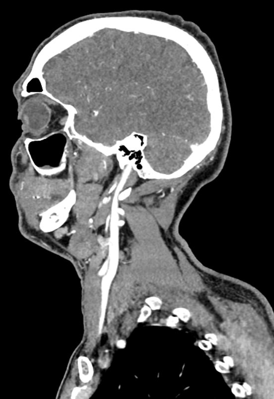
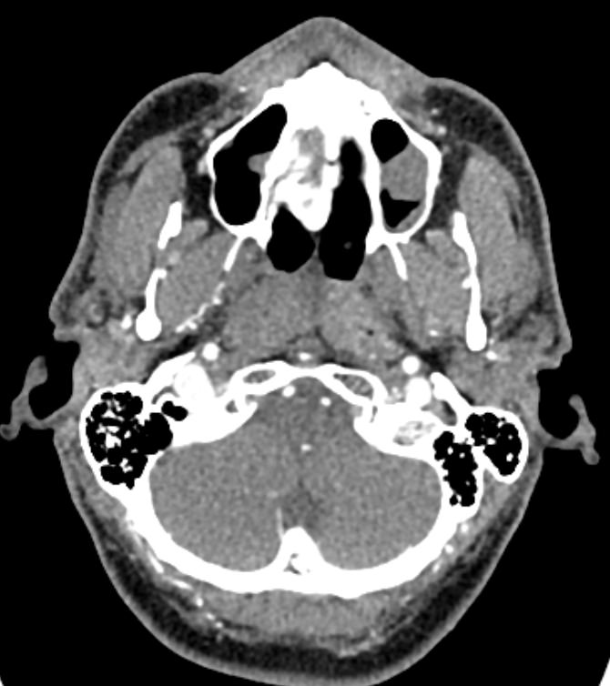
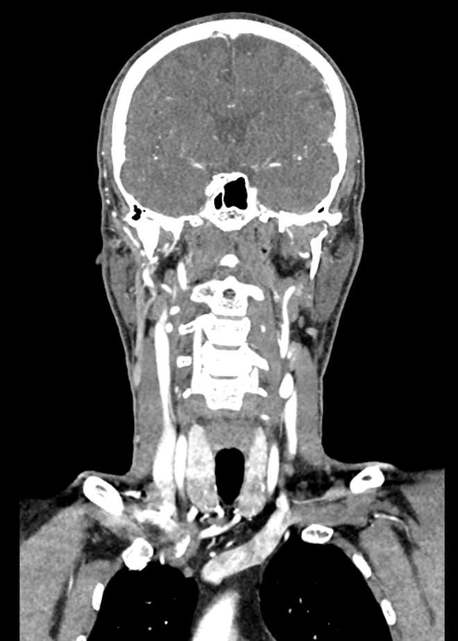
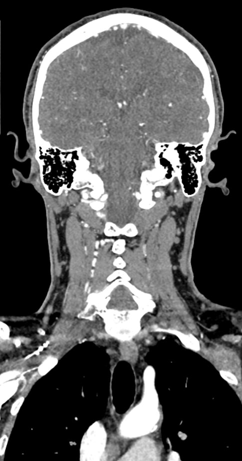
КТ сосудов шеи и головного мозга (КТ-ангиография) позволяет комплексно оценить состояние брахиоцефальных артерий и сосудов головного мозга, включая Виллизиев круг, передние средние и задние мозговые артерии. С помощью КТ-ангиографии можно выявить аномалии развития сосудов (в том числе, аневризмы артерий головного мозга, артериовенозные мальформации), патологические извитости, участки сужения и полной закупорки просвета сосуда. КТ-ангиография покажет утолщение стенки артерии, точную локализацию атеросклеротической бляшки, стенозы и окклюзии просвета сосудов, степень функционирования Виллизиева круга, что бывает особенно важно при планировании оперативного вмешательства и для оценки эффективности хирургического лечения.

В нашей клинике КТ сосудов шеи и головного мозга выполняется на современных мультиспиральных компьютерных томографах экспертного уровня TOSHIBA AQUILION. Для визуализации сосудистой системы в обязательном порядке проводится контрастное усиление. Для этого в вену пациенту вводится йодсодержащий контрастный препарат, который хорошо поглощает рентгеновские лучи и обеспечивает яркую видимость сосудистой сети на фоне окружающих тканей. 

Высокотехнологичное оборудование последнего поколения обеспечивает высокую точность и контрастность изображений, благодаря чему получаются снимки и трехмерные модели сосудистой системы высокого качества. Увеличенное количество детекторов позволяет производить одномоментно множество послойных снимков, что значительно сокращает время исследования и минимизирует уровень лучевой нагрузки на организм пациента. 

Для оценки состояния сосудов шеи и головного мозга также применяется магнитно-резонансная томография. В каждом конкретном случае лечащий врач решает, какое исследование будет наиболее информативно для пациента. Решение принимается на основании клинической картины заболевания, зависит от целей исследования, наличия противопоказаний. Если Вам назначили МР-ангиографию шеи и головного мозга, то данное комплексное исследование можно пройти в нашей клинике на современном высокопольном 32-канальном магнитно-резонансном томографе экспертного класса.

Показания к проведению КТ ангиографии головы и шеи

Свернуть/развернуть
  • травма органов шеи, шейного отдела позвоночника с вероятным вовлечением сосудов
  • головокружения, провоцируемые запрокидыванием головы или поворотами ее в правую и левую сторону;
  • головная боль, причина которой не установлена
  • признаки недостаточности мозгового кровообращения 
  • подозрение на инсульт, транзиторные ишемические атаки
  • наличие в анамнезе аневризм для определения точной их локализации, размером и наличия в них тромбов или атеросклеротических изменений
  • подозрение на расслоение (диссекцию) артерий
  • наличием в анамнезе атеросклероза
  • васкулит; 
  • кинкинг-синдром;
  • отечность шеи;
  • болезненный синдром в области шейных позвонков;
  • эмболия;
  • тромбозы артерий и вен;
  • гнойно-воспалительные заболевания мягких тканей 
  • регулярные головные боли и мигрени 
  • двоение в глазах и шум в ушах.
  • ангиопатия, как самостоятельный диагноз, или как следствие развития диабета;
  • опухоли доброкачественного или злокачественного типа, в том числе сосудистые (яремного гломуса);
  • контрольное исследование после местного оперативного вмешательства;
  • передавливание сосудов опухолями различной этиологии или рубцовой тканью.
  • остеохондроз, унковертебральный артроз
  • атеросклеротические процессы в сонной артерии
  • сосудистые аномалии
  • аутоиммунные заболевания
  • планирование оперативного лечения на сосудах головы и шеи;

Подготовка к проведению КТ сосудов шеи и головного мозга

Свернуть/развернуть

Данное исследование не требует специальной подготовки.

Для более точной диагностики, желательно сравнить снимки с имеющимися предыдущими результатами исследований, поэтому желательно принести с собой все документы, которые относятся к зоне сканирования:

  • Направление от лечащего врача;
  • CD/DVD диски предыдущих КТ или МРТ головного мозга, КТ- и МР-ангиографии шеи и головного мозга;
  • Выписки из амбулаторных карт и стационаров;
  • Заключения профильных специалистов.

КТ-ангиография требует использования контраста, поэтому необходимо за 2 недели до даты исследования сдать анализ крови для оценки уровня креатинина. Этот показатель показывает состояние функции почек и имеет важное значение, так как контраст выводится из организма преимущественно почками. При резко выраженном снижении функции почек пациенту нельзя вводить контраст, тогда врач-рентгенолог может посоветовать другой способ визуализации сосудов головы и шеи.

При необходимости введения контрастного вещества пациентам, принимающим по поводу сахарного диабета Метформин или Глюкофаж (а также другие препараты, содержащие Метформин), требуется посоветоветоваться с эндокринологом о временной отмене данных препаратов за 48 часов до КТ черепа с контрастированием и на 48 часов после исследования. 

Женщинам в период лактации нужно иметь в виду, что контраст также выводится и с грудным молоком. Поэтому мы рекомендуем кормящим мамам в течение 24-48 часов после процедуры с введением контраста не прикладывать малыша к груди (предварительно сделайте ребенку запас грудного молока).

Для введения контрастного препарата пациенту в периферическую вену предварительно ставится венозный катетер. Во время сканирования контраст вводится с помощью автоматического шприца (инжектора), подключенного к катетеру. В момент поступления контраста в кровь может появиться ощущение жара, прилива к телу, неприятный привкус во рту, но этот дискомфорт быстро проходит.

Пациент во время исследования лежит на выдвижной части томографа лицом вверх. Стол вместе с пациентом двигается в кольце аппарата, при этом отверстие кольца широкое, вокруг пространство свободное.

Чтобы получились качественные снимки, мы просим пациента не двигаться во время сканирования.

Медицинский персонал в течение процедуры находится в соседнем кабинете за стеклянным окном. При необходимости пациент может разговаривать с врачом при помощи голосовой связи, которой оснащен томограф.

Противопоказания для КТ сосудов шеи и головного мозга

Свернуть/развернуть

Компьютерная томография не проводится в течение всего срока беременности из-за того, что рентгеновские лучи, на использовании которых основана методика КТ, могут вызвать пороки развития или гибель плода во время внутриутробного развития. 

Кроме того, в связи с техническими характеристиками томографов в наших медицинских центрах нельзя выполнить КТ пациентам с массой тела более 120 кг (ограничения касаются выдвижного стола томографа).

В ряде случаев противопоказания касаются применения контрастных препаратов. КТ с контрастированием противопоказано в следующих случаях:

  • Если у пациента ранее были аллергические реакции на йодсодержащий контрастный препарат;
  • В случае резко выраженной почечной недостаточности;
  • При заболеваниях щитовидной железы с явлениями гипертиреоза и тиреотоксикоза;
  • При застойной сердечной недостаточности;
  • В случае тяжелого течения бронхиальной астмы;
  • При декомпенсированном сахарном диабете. 

Что показывает КТ ангиография сосудов головы и шеи

Свернуть/развернуть
  • патологию вен, артерий (мальформации, аневризмы, кинкинг-синдром)
  • тромбоз сосудов
  • атеросклероз экстракраниальных и интракраниальных артерий (сонных позвоночных и пр)
  • васкулиты, например, ревматические
  • первичные сосудистые опухоли
  • злокачественные новообразования с прорастанием в сосуды
  • доброкачественные новообразования со сдавливанием и оттеснением сосудов
  • компрессия позвоночных  артерий как следствие артроза унковертебральных сочленений.

Запишитесь на КТ сосудов шеи и головного мозга по удобному адресу

Записаться
Фильтр по услугам КТ сосудов

Введение контраста

С контрастом Без контраста

Станция метро

Площадь Восстания Проспект Просвещения Нарвская Рыбацкое Девяткино Гражданский проспект Академическая Политехническая Площадь Мужества Лесная Выборгская Площадь Ленина Чернышевская Владимирская Пушкинская Технологический институт Балтийская Кировский завод Автово Ленинский проспект Проспект Ветеранов Парнас Озерки Удельная Пионерская Чёрная речка Петроградская Горьковская Невский проспект Сенная площадь Фрунзенская Московские ворота Электросила Парк Победы Московская Звёздная Купчино Беговая Зенит Приморская Василеостровская Гостиный двор Маяковская Площадь Александра Невского Елизаровская Ломоносовская Пролетарская Обухово Спасская Достоевская Лиговский проспект Площадь Александра Невского Новочеркасская Ладожская Проспект Большевиков Улица Дыбенко Комендантский проспект Старая Деревня Крестовский остров Чкаловская Спортивная Адмиралтейская Садовая Звенигородская Обводный канал Волковская Бухарестская Международная Проспект Славы Дунайская Шушары Богатырская Каменка Театральная Горный институт Путиловская Юго-Западная Кудрово Шуваловский проспект Каретная Боровая Заставская Броневая

Возраст пациента

Взрослому Ребенку от 15 лет

Пол пациента

Мужчине Женщине

Программы страхования

ДМС Платно ОМС

Цены

Услуги, соответствующие запросу, не найдены.

КТ сосудов головного мозга
руб
6 400 руб
КТ сосудов шеи
руб
6 400 руб
КТ сосудов шеи и головного мозга (брахиоцефальных артерий)
руб
9 100 руб
КТ грудного отдела аорты и ее ветвей
руб
9 500 руб
КТ коронарных артерий (коронарография)
руб
9 500 руб
КТ легочной артерии и ее ветвей
руб
10 600 руб
КТ брюшного отдела аорты и ее ветвей
руб
9 500 руб
КТ нижней полой вены
руб
8 600 руб
КТ чревного ствола с функциональными пробами на вдохе и выдохе
руб
7 600 руб
КТ воротной вены
руб
6 400 руб
КТ сосудов почек
руб
10 600 руб
КТ сосудов малого таза
руб
6 400 руб
КТ брюшного отдела аорты и сосудов (артерий) нижних конечностей
руб
13 500 руб
КТ сосудов верхних конечностей (1 рука)
руб
6 400 руб
КТ сосудов (артерий) нижних конечностей (2 ноги)
руб
От 7 500 руб
от бифуркации аорты до коленного сустава
руб
7 500 руб
от бифуркации аорты до стопы
руб
9 500 руб

Адреса диагностических центров "Доступная Медицина"

Преимущества наших диагностических центров

Доступные цены

Приемлемые цены
на все услуги

Качественный сервис

Контроль качества
оказываемых услуг

Лучшие специалисты

Высококвалифицированные врачи

Новейшее оборудование

Современные томографы с высочайшим качеством визуализации

Близость к метро

Мы находимся в непосредственной близости от метро и остановок общественного транспорта

Лицензии

Современные томографы с высочайшим качеством визуализации

Назад
Вперед
Ключникова Екатерина Игоревна
Информация проверена главным врачом клиники Domedica24
Ключникова Екатерина Игоревна
Стаж более 8 лет, главный врач, врач-рентгенолог 1 категории
Площадь Стачек, 9">
ул. 1-я Советская, 8">