МРТ предстательной железы в СПБ
- Срок получения результата В течение дня
- Ограничения по весу 120 кг
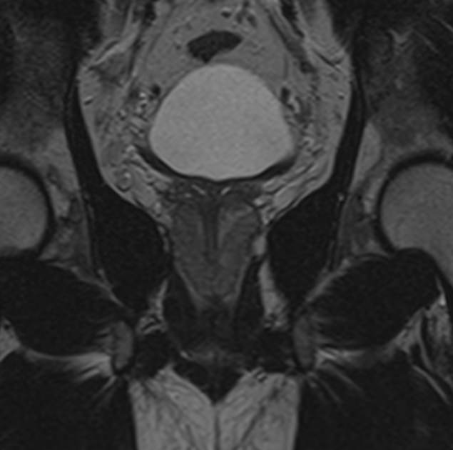
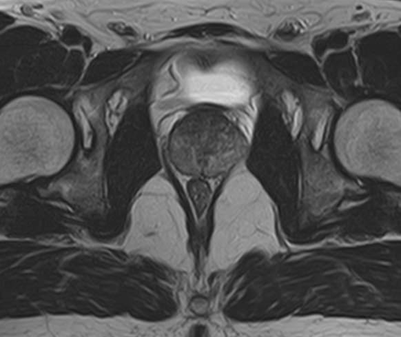
Предстательная железа – один из важных органов мужской половой системы, обеспечивающий полноценную репродуктивную функцию. Орган часто подвержен развитию воспалительных заболеваний, а также доброкачественной гиперплазии и злокачественных новообразований.
Простата расположена в труднодоступной для диагностики анатомической области, однако метод магнитно-резонансной томографии позволяет детально изучить структуру органа и окружающих ее тканей, включая семенные пузырьки (секреторные органы, вырабатывающие жидкую часть семенной жидкости) и семявыносящие протоки.
В клинике «Доступная медицина» диагностика заболеваний предстательной железы на экспертном уровне выполняется при помощи современного высокопольного магнитно-резонансного томографа TOSHIBA VANTAGE TITAN 1,5 Тесла. Аппарат производит сканирование в виде послойных тонких срезов с шагом от 1 мм и преобразует их при помощи новейших цифровых программ в изображения трехмерного формата. Методика позволяет получить максимально полную картину о состоянии структуры простаты и окружающих тканей и поставить точный диагноз.
При необходимости уточнения патологических изменений, особенно при подозрении на опухолевый процесс в предстательной железе, дополнительно может применяться контрастное усиление. Это подразумевает внутривенное введение контраста, созданного на основе парамагнетика гадолиния. Контрастное вещество способно фиксироваться в патологических очагах и «подсвечивать» его под влиянием магнитного поля томографа. Методика помогает диагностировать опухоли на ранних стадиях, что повышает шансы на успешное лечение.
- ПОКАЗАНИЯ К ПРОВЕДЕНИЮ МРТ ПРЕДСТАТЕЛЬНОЙ ЖЕЛЕЗЫ
- Какие заболевания можно выявить при помощи МРТ простаты
- Какая требуется подготовка к МРТ предстательной железы
- Какие есть противопоказания для МРТ предстательной железы
ПОКАЗАНИЯ К ПРОВЕДЕНИЮ МРТ ПРЕДСТАТЕЛЬНОЙ ЖЕЛЕЗЫ
Показанием к проведению МРТ предстательной железы служат следующие жалобы пациента и предположения врача:
- затрудненное мочеиспускание или другие нарушения;
- наличие крови в семенной жидкости;
- подозрения на рак простаты (МРТ часто проводят для подтверждения диагноза, полученного в результате биопсии, и исследования распространенности опухоли);
- подозрения на наличие аденомы простаты или воспаление органа;
- контроль эффективности проводимого лечения;
- боли и ощущение давления в промежности;
- патологические выделения из уретры;
- частые позывы в туалет;
- снижение либидо;
- эректильная дисфункция.
Какие заболевания можно выявить при помощи МРТ простаты
- Злокачественные новообразования предстательной железы
- Доброкачественная гиперплазия предстательной железы (аденома простаты)
- Конкременты предстательной железы (простатолитиаз)
- Воспалительные заболевания простаты (простатиты)
- Врожденные аномалии
- Травматические повреждения простаты
Какая требуется подготовка к МРТ предстательной железы
Чтобы получить качественные результаты, необходимо придерживаться диеты для уменьшения количества газов в кишечнике, которые могут создавать помехи при исследовании.
За три дня до исследования мы рекомендуем исключить из рациона пищу, повышающую газообразование (сладкое, мучное, жирное, бобовые, газированные напитки, капусту) и принимать «Эспумизан» по 2 капсулы 3 раза в день (если есть проблемы с газообразованием!). В день исследования «Эспумизан» принимать не нужно.
За 3-4 часа до исследования нужно отказаться от приема пищи.
За 30-40 минут до исследования необходимо выпить 2 таблетки «Но-шпы» для снижения перистальтики кишечника.
Необходимо принести с собой медицинскую документацию, относящуюся к зоне исследования:
- направление от лечащего врача;
- выписки из амбулаторных карт и стационаров;
- результаты предыдущих исследований (МР-снимки, CD/DVD диски, результаты УЗИ, снимки КТ).
Если планируется введение контраста у пациента с подозрением на почечную недостаточность, необходимо не более, чем за 2 недели до исследования, сдать биохимический анализ крови для контроля уровня креатинина (показатель, отражающий функцию почек).
В случае наличия каких-либо протезов или имплантатов, материал которых не препятствует проведению МРТ, необходимо предоставить справку об этом из учреждения, где они были установлены.
Контраст вводится внутривенно через предварительно установленный в вену катетер и может сопровождаться появлением чувства теплоты во всем теле, неприятного привкуса во рту. Эти явления кратковременны и через пару минут исчезают. Введенный контраст удаляется из организма преимущественно почками в течение последующих суток.
Перед исследованием необходимо снять одежду с металлической фурнитурой. Также необходимо убрать пирсинг, металлические украшения, часы, из карманов выложить мобильные телефоны, пластиковые карты, любые электронные устройства, гаджеты или предметы, которые могут содержать металл.
Во время сканирования пациент лежит внутри туннеля томографа, при этом нельзя двигаться, иначе можно получить нечеткость изображений исследуемой области. Томограф во время работы издает громкий шум, поэтому для уменьшения этого дискомфорта можно воспользоваться берушами или наушниками.
Врач и рентгенолаборант находятся в смежном помещении, между которыми имеется стеклянная перегородка. Для вызова персонала служит сигнальное устройство в виде груши, которое во время исследования находится в руке пациента.
Некоторые пациенты могут испытывать волнение, поэтому разрешается присутствие сопровождающего в диагностическом кабинете во время исследования.
Какие есть противопоказания для МРТ предстательной железы
- Противопоказанием является наличие ферромагнитных металлических предметов в теле пациента — спицы, винты, штифты, пластины, сосудистые скобы, клипсы, стенты. Однако некоторые медицинские изделия изготавливаются из сплавов, которые позволяют проводить МРТ, также имеет значение, на каком расстоянии они расположены от исследуемой области. В каждом конкретном случае врачом принимается решение о возможности проведения МРТ.
- Препятствием для проведения МРТ также являются любые инородные металлические тела, находящиеся в теле (осколки, пули, кусочки металлической стружки, неснимаемый пирсинг).
- Наличие имплантированных электронных устройств, которые могут выйти из строя под влиянием магнитного поля томографа (кардиостимуляторы, кохлеарные импланты, инсулиновые помпы и др).
- Аллергические реакции на контрастное вещество (если планируется контрастное усиление).
- Хроническая почечная недостаточность (противопоказание для введения контраста).
- Пациенты с массой тела более 120 кг (ограничение по массе тела связано с конструктивными особенностями томографа).
- Клаустрофобия (боязнь закрытых пространств) может быть препятствием для проведения МРТ.
Запишитесь на МРТ предстательной железы по удобному адресу
ЗаписатьсяСтанция метро
Площадь Восстания Нарвская Проспект Просвещения Рыбацкое Девяткино Гражданский проспект Академическая Политехническая Площадь Мужества Лесная Выборгская Площадь Ленина Чернышевская Владимирская Пушкинская Технологический институт Балтийская Кировский завод Автово Ленинский проспект Проспект Ветеранов Парнас Озерки Удельная Пионерская Чёрная речка Петроградская Горьковская Невский проспект Сенная площадь Фрунзенская Московские ворота Электросила Парк Победы Московская Звёздная Купчино Беговая Зенит Приморская Василеостровская Гостиный двор Маяковская Площадь Александра Невского Елизаровская Ломоносовская Пролетарская Обухово Спасская Достоевская Лиговский проспект Площадь Александра Невского Новочеркасская Ладожская Проспект Большевиков Улица Дыбенко Комендантский проспект Старая Деревня Крестовский остров Чкаловская Спортивная Адмиралтейская Садовая Звенигородская Обводный канал Волковская Бухарестская Международная Проспект Славы Дунайская Шушары Богатырская Каменка Театральная Горный институт Путиловская Юго-Западная Кудрово Шуваловский проспект Каретная Боровая Заставская БроневаяРайон
Центральный Кировский Выборгский Невский Адмиралтейский Василеостровский Калининский Колпинский Красногвардейский Красносельский Кронштадтский Курортный Московский Петроградский Петродворцовый Приморский Пушкинский ФрунзенскийГород
Санкт-Петербург Бокситогорск Бугры Волосово Волхов Всеволожск Выборг Высоцк Гатчина Ивангород Каменногорск Кингисепп Кириши Кировск Колтуши Коммунар Кудрово Лодейное Поле Луга Любань Мурино Никольское Новая Ладога Отрадное Пикалёво Подпорожье Приморск Приозерск Светогорск Сертолово Сланцы Сосновый Бор Сясьстрой Тельмана Тихвин Тосно ШлиссельбургЦены
Услуги, соответствующие запросу, не найдены.
Адреса диагностических центров "Доступная Медицина"
Преимущества наших диагностических центров
Доступные цены
Приемлемые цены
на все услуги
Качественный сервис
Контроль качества
оказываемых услуг
Лучшие специалисты
Высококвалифицированные врачи
Новейшее оборудование
Современные томографы с высочайшим качеством визуализации
Близость к метро
Мы находимся в непосредственной близости от метро и остановок общественного транспорта
Наше оборудование
МРТ-специалисты
Лицензии
Современные томографы с высочайшим качеством визуализации
Статьи наших врачей