КТ гортани в СПБ
- Введение контраста Нет
- Длительность выполнения 10 минут
- Ограничения по весу 120 кг
- Ограничения по возрасту От 15 лет
- Срок получения результата В течение дня
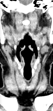
Гортань является частью дыхательного тракта, сверху она граничит с ротоглоткой, в нижней своей части переходит в трахею. В гортани расположены голосовые связки, основные функции которых – образование голоса и защита от попадания пищи и жидкости в дыхательные пути.
Оптимальным методом обследования гортани и голосовых связок является мультиспиральная компьютерная томография. Метод позволяет подробно визуализировать состояние данной анатомической области и выявить патологические изменения, которые незаметны при ларингоскопии (визуальный осмотр гортани с помощью специальных инструментов), проведении УЗИ и обычной рентгенографии.
Также для исследования гортани применяется и высокоинформативный метод МРТ, который позволяет детально визуализировать мягкие ткани области гортани. Обе методики – КТ и МРТ – имеют свои преимущества и показания, которые определяет врач, направляющий на обследование. В нашей клинике обследование гортани выполняется в рамках протокола МРТ мягких тканей шеи на новейшем высокопольном магнитно-резонансном томографе экспертного уровня.
Компьютерная томография особенно полезна для оценки состояния хрящей гортани, которые лучше всего визуализируются с помощью данного исследования. В частности, мультиспиральная КТ позволяет выявить распространение рака гортани в ткань щитовидного хряща и другие окружающие структуры.
В клинике «Доступная медицина» исследование выполняется на современном 128-срезовом мультиспиральном компьютерном томографе экспертного уровня TOSHIBA AQUILION CXL, который послойно сканирует исследуемую область с толщиной среза от 0,5 мм.
На полученных снимках можно оценить состояние всех структурных элементов гортани, голосовых складок, хрящей, а также лимфатических узлов, сосудов и шейных позвонков на исследуемом уровне. Инновационные возможности аппарата позволяют построить 3D-модель зоны исследования, которая дает наглядную картину пространственного расположения органов, что бывает особенно важно при планировании хирургических операций.
Томограф имеет увеличенное количество детекторов, позволяющих за секунды проводить до 128 срезов исследуемой зоны. Такая быстрота выполнения исследования обеспечивает минимальную дозу рентгеновского облучения для пациента.
При подозрении на опухоль гортани нативная мультиспиральная КТ дополняется проведением внутривенного болюсного контрастирования. Для этого пациенту внутривенно вводится контрастный препарат на основе йода.
Контраст хорошо накапливается в патологически измененных участках, за счет этого становятся отчетливо видны на снимках их границы, размеры, точная локализация относительно окружающих здоровых тканей. По характеру накопления контраста можно отличить доброкачественные опухоли от злокачественных, определить степень распространенности процесса, выявить поражение регионарных лимфатических узлов.
Контрастное усиление позволяет выявлять опухоли на ранней стадии, что имеет важное значение для пациента, так как эффективность лечения напрямую зависит от своевременного установления точного диагноза.
- Какие заболевания выявляет КТ гортани?
- Подготовка к КТ гортани
- Противопоказания для проведения КТ гортани
- Показания к процедуре
Какие заболевания выявляет КТ гортани?
- кисты и свищи;
- ларингоцеле;
- синдром Клиппеля-Фейля (сращение шейных позвонков);
- воспалительные заболевания;
- дивертикулы гортани и пищевода;
- абсцессы и флегмоны;
- певческие узелки;
- полипы;
- доброкачественные опухоли (фибромы, папилломы, аденомы);
- злокачественные новообразования (опухоли);
- сосудистые заболевания.
- метастазы;
- стеноз гортани;
- отек гортани
- увеличение и структурную перестройку лимфоидной ткани
Подготовка к КТ гортани
Мультиспиральная компьютерная томография является быстрой и безболезненной процедурой. К ней не требуется специальной подготовки.
Для проведения точной диагностики бывает необходимо сравнить данные с предыдущими результатами обследований. Поэтому мы просим предоставить врачу-рентгенологу все документы, касающиеся зоны исследования. К таким документам относятся:
- Направление лечащего врача;
- Выписка из истории болезни или амбулаторной карты;
- Рентгеновские снимки, CD/DVD диски предыдущих КТ или МРТ-исследований мягких тканей шеи, гортани, результаты УЗИ;
- Заключения профильных специалистов.
При выполнении процедуры с введением контрастного вещества предварительно требуется оценить функциональную способность почек, так как контраст выводится из организма преимущественно почками. Для этого пациенту нужно сдать анализ крови на уровень креатинина (показатель, отражающий функцию почек). Анализ крови действителен не более, чем 14 дней до даты исследования.
Пациентам, принимающим по поводу сахарного диабета Метформин (Глюкофаж), необходимо, по согласованию с эндокринологом, прекратить прием данного препарата за 48 часов до исследования с контрастированием и на 48 часов после введения контраста.
Введения контрастного препарата осуществляется с помощью специального дозирующего устройства, которое предварительно устанавливается в локтевую вену вместе с венозным катетером. В момент введения контраста может быть ощущение тепла или жара во всем теле и неприятный привкус во рту, но этот дискомфорт полностью исчезает через 1-2 минуты.
Если необходимо проведение внутривенного болюсного контрастирования женщине в период лактации, то мы рекомендуем предварительно сделать запас грудного молока, а после процедуры с введением контраста не прикладывать ребенка к груди в течение 24-48 часов, при этом молоко нужно сцеживать и выливать.
Исследование проводится лежа на спине на выдвижном столе томографа. По сравнению с магнитно-резонансными томографами отверстие компьютерного томографа широкое, вокруг пространство полностью открытое и свободное.
Врач-рентгенолог и рентгенолаборант находятся в соседнем помещении, отделенном от диагностического кабинета стеклянной перегородкой. Связь с пациентом осуществляется через переговорное устройство, встроенное в томограф. Врач наблюдает за состоянием пациента через окно, во время исследования просит пациента на короткое время задержать дыхание, чтобы дыхательные движения не нарушили четкость изображений.
Противопоказания для проведения КТ гортани
Компьютерная томография предусматривает использование рентгеновского излучения, поэтому может негативно влиять на плод во время внутриутробного развития. В связи с этим КТ не проводится женщинам в течение всего периода беременности.
Кроме того, компьютерные томографы имеют ограничения по весу, поэтому в наших центрах невозможно выполнить КТ гортани пациентам с массой тела, превышающей 120 кг.
В некоторых случаях у пациента могут быть ограничения для введения контрастного препарата.
Внутривенное болюсное контрастирование не проводится в следующих случаях:
- если у пациента ранее отмечались аллергические реакции на йодсодержащие контрастные препараты;
- если у пациента имеются заболевания почек с развитием выраженной почечной недостаточности;
- при наличии сердечной недостаточности;
- если имеются заболевания щитовидной железы с явлениями гипертиреоза, тиреотоксикоза;
- в случае тяжелого течения бронхиальной астмы;
- при декомпенсированном сахарном диабете.
Показания к процедуре
- увеличении лимфоузлов невыясненной этиологии;
- болях в горле;
- ощущении кома при глотании;
- затрудненном дыхании, приступах удушья;
- осиплости голоса;
- увеличение лимфоузлов, в том числе и при наличии в них метастазов;
- болевые ощущения в горле, не проходящие долгое время;
- сдавление пищевода;
- отек гортани;
- нарушение глотания, дыхания;
- проблемы с голосом;
- воспалительные процессы гортани и глотки;
- дивертикулы гортани и пищевода;
- локализация инородного тела перед хирургическим удалением;
- перед плановой операцией на гортани
- контроль эффективности лечения.
Запишитесь на КТ гортани по удобному адресу
ЗаписатьсяСтанция метро
Площадь Восстания Проспект Просвещения Нарвская Рыбацкое Девяткино Гражданский проспект Академическая Политехническая Площадь Мужества Лесная Выборгская Площадь Ленина Чернышевская Владимирская Пушкинская Технологический институт Балтийская Кировский завод Автово Ленинский проспект Проспект Ветеранов Парнас Озерки Удельная Пионерская Чёрная речка Петроградская Горьковская Невский проспект Сенная площадь Фрунзенская Московские ворота Электросила Парк Победы Московская Звёздная Купчино Беговая Зенит Приморская Василеостровская Гостиный двор Маяковская Площадь Александра Невского Елизаровская Ломоносовская Пролетарская Обухово Спасская Достоевская Лиговский проспект Площадь Александра Невского Новочеркасская Ладожская Проспект Большевиков Улица Дыбенко Комендантский проспект Старая Деревня Крестовский остров Чкаловская Спортивная Адмиралтейская Садовая Звенигородская Обводный канал Волковская Бухарестская Международная Проспект Славы Дунайская Шушары Богатырская Каменка Театральная Горный институт Путиловская Юго-Западная Кудрово Шуваловский проспект Каретная Боровая Заставская БроневаяРайон
Центральный Выборгский Кировский Адмиралтейски Василеостровский Калининский Колпинский Красногвардейский Красносельски Кронштадтский Курортный Московский Невский Петроградский Петродворцовый Приморский Пушкинский ФрунзенскийГород
Санкт-Петербург Бокситогорск Бугры Волосово Волхов Всеволожск Выборг Высоцк Гатчина Ивангород Каменногорск Кингисепп Кириши Кировск Колтуши Коммунар Кудрово Лодейное Поле Луга Любань Мурино Никольское Новая Ладога Отрадное Пикалёво Подпорожье Приморск Приозерск Светогорск Сертолово Сланцы Сосновый Бор Сясьстрой Тельмана Тихвин Тосно ШлиссельбургЦены
Услуги, соответствующие запросу, не найдены.
Адреса диагностических центров "Доступная Медицина"
Преимущества наших диагностических центров
Доступные цены
Приемлемые цены
на все услуги
Качественный сервис
Контроль качества
оказываемых услуг
Лучшие специалисты
Высококвалифицированные врачи
Новейшее оборудование
Современные томографы с высочайшим качеством визуализации
Близость к метро
Мы находимся в непосредственной близости от метро и остановок общественного транспорта
Наше оборудование
КТ-СПЕЦИАЛИСТЫ
Лицензии
Современные томографы с высочайшим качеством визуализации
Статьи наших врачей