КТ печени в СПБ
- Введение контраста Нет
- Длительность выполнения 10 минут
- Ограничения по весу 120 кг
- Ограничения по возрасту От 15 лет
- Срок получения результата В течение дня
Печень – орган в брюшной полости, который выполняет ряд жизненно важных функций в организме, включая выработку желчи, синтез холестерина и многих белков плазмы крови, обезвреживание и удаление из организма токсинов и чужеродных веществ.
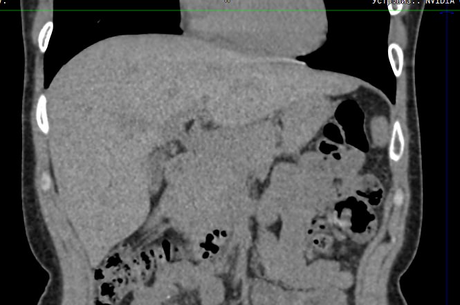
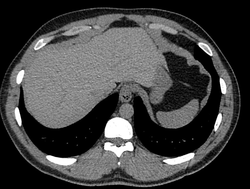
Печеночная ткань имеет обильное кровоснабжение, поэтому часто ультразвуковая диагностика заболеваний печени затруднена. Одним из наиболее информативных методов диагностики является мультиспиральная КТ печени, которая может проводиться в стандартном режиме и с внутривенным болюсным контрастированием. Введение йодсодержащего контрастного вещества значительно повышает диагностическую ценность компьютерной томографии и позволяет, в частности, выявить злокачественное образование на ранней стадии, отличить доброкачественный процесс от злокачественного, визуализировать изменения внутрипеченочных желчных протоков и многие другие патологические процессы.
В нашей клинике сканирование печени выполняется на современном 128-срезовом томографе экспертного класса TOSHIBA AQUILION CXL, который производит послойное сканирование исследуемого органа с последующей цифровой обработкой полученных данных для создания трехмерных изображений печени высокого качества и контрастности. Увеличенное количество детекторов, вмонтированных в аппарат, обеспечивает быстрое время исследования и пониженные дозы рентгеновского излучения, получаемого пациентом.
Мультиспиральная компьютерная томография является быстрым высокоточным и доступным методом исследования, позволяющим обнаружить тяжелые заболевания на ранних стадиях, поставить точный и достоверный диагноз и назначить своевременное лечение.
- Показания к КТ печени
- Цель проведения КТ печени
- Что входит в подготовку к КТ печени
- Какие существуют противопоказания для КТ печени
Показания к КТ печени
КТ печени показано в следующих ситуациях:
- отклонения от нормы в результатах анализов на ферменты печени;
- увеличение органа в размерах;
- горький привкус во рту;
- некупирующийся неоднократно повторяющийся метеоризм;
- боли в правом подреберье;
- нарушения пищеварения;
- желтушное окрашивание кожи и слизистых.
Цель проведения КТ печени
Обследование печени посредством компьютерной томографии позволяет выявить следующие патологии:
- гепатоз различного генеза
- цирроз – разрастание соединительной ткани, которая замещает печеночные дольки;
- изменения воспалительного характера (гепатит);
- кисты;
- абсцессы;
- гемангиомы;
- первичные опухоли и метастазы;
- паразитарные заболевания (эхинококкоз, альвеококкоз)
- тромбоз сосудов печени.
- послеоперационные изменения печениИсследование также назначают после травм, полученных в области правого подреберья, с целью выявления повреждений печени.
Что входит в подготовку к КТ печени
Для компьютерной томографии печени не требуется специальная подготовка. Последний прием пищи должен состояться за 2-3 часов до исследования. Пациентам с сахарным диабетом разрешается употребить небольшое количество пищи в ожидании сканирования. Им нужно отказаться за 48 часов до исследования от приема препаратов Метформин и Глюкофаж. Запрет на прием этих препаратов нужно соблюдать и в течение 48 часов после диагностики.
Для предотвращения риска нефротоксического эффекта пациентам необходимо не позднее, чем за 14 дней до процедуры сдать анализ крови на креатинин. От его результатов будет зависеть возможность проведения этого исследования.
Специалисты сети диагностических центров «Доступная медицина» будут благодарны пациентам, если они предоставят максимально возможный объем тематической медицинской документации:
- направление врача;
- выписки из истории болезни и амбулаторной карты;
- снимки, СD и/или DVD диски предыдущих КТ-исследований;
- описания результатов КТ-исследований, УЗИ, МРТ.
Предупреждаем о возможности развития артефактов (нарушений визуализации органа) на КТ-снимкахв результате:
- проведенного накануне рентген-исследования органов брюшной полости с бариевой взвесью;
- наличие на теле или внутри организма металлических предметов, медицинских приборов.
В связи с этим перед проведением обследования просим пациентов снимать с себя металлические украшения, ремни, очки и предупреждать врачей-рентгенологов о наличии в теле инородных или медицинских металлических предметов (осколки, штифты, протезы, кардиостимуляторы и т.д.)
Какие существуют противопоказания для КТ печени
Процедура рентгенологической визуализации печени не проводится беременным женщинам из-за опасности негативного воздействия лучевой нагрузки на плод. К абсолютным противопоказаниям к проведению такого обследования, относятся:
- аллергия на йод, при компьютерном сканировании печени с контрастированием;
- вес пациента более 120 килограммов (таким показателем ограничена нагрузка на стол томографа).
Также при определенных условиях противопоказанием может быть почечная недостаточность.
Пациентам предварительно необходимо сделать анализ крови на креатинин. Его результат будет оценен специалистами для возможности сделать КТ печени. Такой анализ можно сделать в лаборатории нашего центра, не позднее, чем за 14 суток до проведения этой диагностической процедуры.
Лечащие врачи могут назначать такое обследование при жизненно важных показателях, оценивая степень риска для пациента, при:
- тяжелых заболеваниях сердца, крови и печени;
- декомпенсированном сахарном диабете;
- тяжелом течении бронхиальной астмы:
- миеломной болезни;
- кормлении грудью (при условии, что кормящая женщина будет в течение 24-48 часов после диагностики сцеживать и утилизировать молоко, не прикладывая малыша к груди);
- острых заболеваниях почек.
Дополнительными ограничениями к проведению компьютерной томографии печени являются:
- психические расстройства и клаустрофобия;
- выраженные болевые синдромы;
- лечение радиоактивным йодом;
- болезни щитовидной железы.
В случае наличия противопоказаний к проведению КТ в нашей клинике можно выполнить МРТ печени на новейшем высокопольном 32-канальном магнитно-резонансном томографе экспертного класса по доступной цене.
Узнать о нюансах такой услуги, включая и сроки подготовки описания, вы можете по телефону справочной службы центров: +7(812) 380-83-84с 9:00 до 22:00.
Запишитесь на КТ печени по удобному адресу
ЗаписатьсяСтанция метро
Площадь Восстания Проспект Просвещения Нарвская Рыбацкое Девяткино Гражданский проспект Академическая Политехническая Площадь Мужества Лесная Выборгская Площадь Ленина Чернышевская Владимирская Пушкинская Технологический институт Балтийская Кировский завод Автово Ленинский проспект Проспект Ветеранов Парнас Озерки Удельная Пионерская Чёрная речка Петроградская Горьковская Невский проспект Сенная площадь Фрунзенская Московские ворота Электросила Парк Победы Московская Звёздная Купчино Беговая Зенит Приморская Василеостровская Гостиный двор Маяковская Площадь Александра Невского Елизаровская Ломоносовская Пролетарская Обухово Спасская Достоевская Лиговский проспект Площадь Александра Невского Новочеркасская Ладожская Проспект Большевиков Улица Дыбенко Комендантский проспект Старая Деревня Крестовский остров Чкаловская Спортивная Адмиралтейская Садовая Звенигородская Обводный канал Волковская Бухарестская Международная Проспект Славы Дунайская Шушары Богатырская Каменка Театральная Горный институт Путиловская Юго-Западная Кудрово Шуваловский проспект Каретная Боровая Заставская БроневаяРайон
Центральный Выборгский Кировский Адмиралтейски Василеостровский Калининский Колпинский Красногвардейский Красносельски Кронштадтский Курортный Московский Невский Петроградский Петродворцовый Приморский Пушкинский ФрунзенскийГород
Санкт-Петербург Бокситогорск Бугры Волосово Волхов Всеволожск Выборг Высоцк Гатчина Ивангород Каменногорск Кингисепп Кириши Кировск Колтуши Коммунар Кудрово Лодейное Поле Луга Любань Мурино Никольское Новая Ладога Отрадное Пикалёво Подпорожье Приморск Приозерск Светогорск Сертолово Сланцы Сосновый Бор Сясьстрой Тельмана Тихвин Тосно ШлиссельбургЦены
Услуги, соответствующие запросу, не найдены.
Адреса диагностических центров "Доступная Медицина"
Преимущества наших диагностических центров
Доступные цены
Приемлемые цены
на все услуги
Качественный сервис
Контроль качества
оказываемых услуг
Лучшие специалисты
Высококвалифицированные врачи
Новейшее оборудование
Современные томографы с высочайшим качеством визуализации
Близость к метро
Мы находимся в непосредственной близости от метро и остановок общественного транспорта
Наше оборудование
КТ-СПЕЦИАЛИСТЫ
Лицензии
Современные томографы с высочайшим качеством визуализации
Статьи наших врачей