КТ височных костей в СПБ
- Введение контраста Нет
- Длительность выполнения 10 минут
- Ограничения по весу 120 кг
- Ограничения по возрасту От 15 лет
- Срок получения результата В течение дня
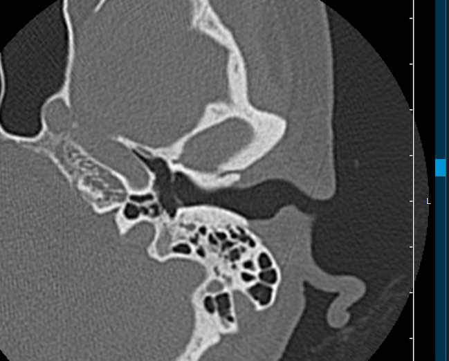
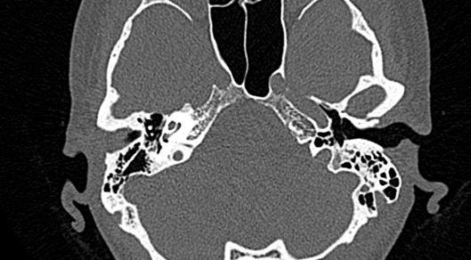
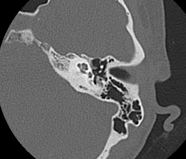
Мультиспиральная КТ височных костей (КТ уха) представляет собой прицельное сканирование боковых отделов черепа, которые образованы височными костями.
Височные кости имеют сложное строение. Они участвуют в образовании боковых стенок и части основания черепа. Кроме того, в них находятся важные органы слуха и равновесия: в среднем ухе расположен слуховой орган, во внутреннем ухе – вестибулярный аппарат. В костных каналах височных костей проходят нервные волокна лицевого, преддверно-улиткового и тройничного нервов.
Мультиспиральная КТ позволяет детально визуализировать все вышеперечисленные анатомические структуры височных костей, диагностировать заболевания среднего и внутреннего уха.
КТ наиболее информативна при черепно-мозговых травмах, воспалительных заболеваниях уха, опухолевых процессах этой области. При компьютерной томографии возможно проследить ход барабанной перепонки, оценить структурность и положение слуховых косточек (молоточка, стремечка и наковальни), оценить объем и расположение содержимого в антральной клетке или ячейках сосцевидного отростка височной кости.
КТ височных костей назначается также при планировании оперативного вмешательства, например, по поводу отосклероза, проведения слухоулучшающих операций на фоне пороков развития, при установке кохлеарных имплантатов (слуховых протезов).
В условиях наших медицинских центров КТ височных костей выполняется на современных мультиспиральных компьютерных томографах экспертного уровня TOSHIBA AQUILION. Подвижная часть томографа совершает непрерывные движения внутри кольца гентри (кольцеобразной рамы). При этом трубка томографа постоянно вращается по кругу, сканируя область исследования с помощью рентгеновских лучей.
Новейшие модификации томографов, которые установлены в наших клиниках, снабжены увеличенным количеством высокочувствительных детекторов. Это позволяет аппаратам производить одномоментно от 64 до 128 тончайших срезов исследуемой зоны толщиной от 0,5 мм. Благодаря этому, получаются изображения органов и тканей высокого качества. При этом сканирование проводится с большой скоростью, что значительно снижает уровень рентгеновского облучения для пациента.
На основании полученных данных цифровые приложения томографов создают трехмерные реконструкции анатомической зоны исследования. Это дает возможность наглядно увидеть пространственное расположение органов, что бывает особенно важно при планировании операций.
Стандартный протокол исследования проводится без использования контраста. Однако в ряде случаев применяется контрастное усиление для улучшения визуализации патологических очагов. Например, при подозрении на опухоли височной кости, внутреннего и среднего уха дополнительно внутривенно вводится йодсодержащий контрастный препарат.
Контраст, попадая в кровоток, быстро оказывается в патологическом очаге. Контрастное вещество обладает высокой способностью поглощать рентгеновские лучи, поэтому патологические участки становятся хорошо видны на снимках КТ. Методика контрастирования помогает обнаруживать опухолевые образования на ранних стадиях, когда лечение наиболее эффективно.
- Показания для проведения КТ височных костей (КТ уха)
- Подготовка к КТ височных костей
- Какие есть противопоказания для проведения КТ височных костей
- КТ височных костей позволяет диагностировать
Показания для проведения КТ височных костей (КТ уха)
- подозрения на наличие новообразований;
- поставлен диагноз отосклероз;
- подозрение на наличие холестеатомы
- планируется проведение имплантации или операции в вестибулярно-слуховом аппарате;
- наблюдается ухудшение слуха;
- имеются болевые ощущения в области уха;
- отмечается шум и звон в ушах;
- из слухового канала выделяется жидкость или гной;
- требуется наблюдение за эффективностью ранее назначенного лечения;
- получены травмы головы в височной области;
- у пациента имеются подозрения на патологию вестибулярного аппарата (частые головокружения, рвота, нарушения равновесия и шаткость походки);
- существует вероятность попадания инфекции в ухо из носоглотки;
- мастоидит (воспаление сосцевидного отростка височной кости) или петрозит (воспаление каменистой части височной кости);
- средний отит.
- выявление последствий отита.
- Жалобы пациента на частые головокружения, при ходьбе — нарушение координации.
- подозрения на перелом височной кости.
Подготовка к КТ височных костей
Компьютерная томография височных костей является быстрой неинвазивной безболезненной процедурой. Специальная подготовка к исследованию не нужна. От пациента требуется только сохранять неподвижность в течение короткого времени. Сканирование без контрастирования обычно проводится за 1-2 минуты, при введении контрастного препарата – примерно за 10 минут. Во время исследования пациент не испытывает дискомфорта или болезненных ощущений.
Важно принести с собой все документы, касающиеся зоны исследования. В перечень документов входит:
- Направление лечащего врача;
- Выписка из истории болезни или амбулаторной карты;
- Рентгеновские снимки, CD/DVD диски предыдущих КТ и МРТ исследований головного мозга, области височных костей;
- Заключения специалистов.
Если планируется введение контрастного вещества, то необходимо предоставить результат анализа крови на уровень креатинина (показатель, отражающий функцию почек). Анализ действителен не более 2 недель с момента забора крови.
Пациентам, принимающим по поводу сахарного диабета Метформин (Глюкофаж) или другие метформинсодержащие препараты, необходимо прекратить прием данного препарата за 48 часов до исследования с контрастированием и на 48 часов после введения контраста. По поводу временной отмены данных препаратов нужно посоветоваться с эндокринологом.
Контрастный препарат вводится внутривенно с помощью автоматического шприца (инжектора). Инжектор подключается к предварительно установленному в локтевую вену венозному катетеру. При введении контраста можно почувствовать теплоту во всем теле и неприятный привкус во рту, но эти дискомфортные ощущения проходят через 1-2 минуты.
Если требуется выполнить КТ с контрастированием кормящей женщине, то мы рекомендуем таким пациенткам на 24-48 часов после процедуры с введением контраста прервать грудное вскармливание, предварительно сделав запас грудного молока. При этом молоко нужно сцеживать из груди и выливать.
Пациент во время процедуры исследования располагается лежа на специальном столе, который двигается в раме томографа. По сравнению с МРТ отверстие томографа широкое, вокруг пространство полностью открытое и свободное.
Врач находится в соседнем помещении, наблюдает за пациентом через окно, общение происходит через переговорное устройство, вмонтированное в аппарат. Пациент при необходимости может вызвать медицинский персонал, нажав на специальную сигнальную кнопку.
Какие есть противопоказания для проведения КТ височных костей
КТ не рекомендуется выполнять беременным женщинам из-за вредного воздействия на плод рентгеновского излучения. Поэтому мы просим женщин обязательно сообщить врачу о наличии у них возможной беременности.
Кроме того технически невозможно выполнить КТ височных костей из-за веса пациента, превышающего 120 кг, так как подвижная часть томографа имеет ограничения по весу.
При необходимости проведения КТ височных костей с внутривенным болюсным контрастированием пациент может иметь противопоказания для введения контрастного препарата. К ним относятся:
- аллергическая реакция на йодсодержащий контрастный препарат в анамнезе;
- заболевания почек с выраженным снижением их функции;
- застойная сердечная недостаточность;
- заболевания щитовидной железы с явлениями гипертиреоза и тиреотоксикоза;
- тяжелое течение бронхиальной астмы;
- декомпенсированный сахарный диабет.
КТ височных костей позволяет диагностировать
- характер тугоухости (врожденную или приобретенную);
- воспалительные процессы различной этиологии (в первую очередь при отитах, мастоидитах), абсцессы;
- наличие перелома и смещение костей при травмах височной области, травматические повреждения слуховых косточек;
- опухолевые процессы среднего и внутреннего уха (невриномы, ангиомы, остеомы т.д.);
- псевдоопухоль — холестеатому
- последствия перенесенных воспалительных заболеваний (адгезивный средний отит, перфорации барабанной перепонки).
- оценить состояние лицевого нерва.
- отосклероз (отоспонгиоз)
- показать четкую картину строения среднего уха.
Запишитесь на КТ височных костей по удобному адресу
ЗаписатьсяСтанция метро
Площадь Восстания Проспект Просвещения Нарвская Рыбацкое Девяткино Гражданский проспект Академическая Политехническая Площадь Мужества Лесная Выборгская Площадь Ленина Чернышевская Владимирская Пушкинская Технологический институт Балтийская Кировский завод Автово Ленинский проспект Проспект Ветеранов Парнас Озерки Удельная Пионерская Чёрная речка Петроградская Горьковская Невский проспект Сенная площадь Фрунзенская Московские ворота Электросила Парк Победы Московская Звёздная Купчино Беговая Зенит Приморская Василеостровская Гостиный двор Маяковская Площадь Александра Невского Елизаровская Ломоносовская Пролетарская Обухово Спасская Достоевская Лиговский проспект Площадь Александра Невского Новочеркасская Ладожская Проспект Большевиков Улица Дыбенко Комендантский проспект Старая Деревня Крестовский остров Чкаловская Спортивная Адмиралтейская Садовая Звенигородская Обводный канал Волковская Бухарестская Международная Проспект Славы Дунайская Шушары Богатырская Каменка Театральная Горный институт Путиловская Юго-Западная Кудрово Шуваловский проспект Каретная Боровая Заставская БроневаяРайон
Центральный Выборгский Кировский Адмиралтейски Василеостровский Калининский Колпинский Красногвардейский Красносельски Кронштадтский Курортный Московский Невский Петроградский Петродворцовый Приморский Пушкинский ФрунзенскийГород
Санкт-Петербург Бокситогорск Бугры Волосово Волхов Всеволожск Выборг Высоцк Гатчина Ивангород Каменногорск Кингисепп Кириши Кировск Колтуши Коммунар Кудрово Лодейное Поле Луга Любань Мурино Никольское Новая Ладога Отрадное Пикалёво Подпорожье Приморск Приозерск Светогорск Сертолово Сланцы Сосновый Бор Сясьстрой Тельмана Тихвин Тосно ШлиссельбургЦены
Услуги, соответствующие запросу, не найдены.
Адреса диагностических центров "Доступная Медицина"
Преимущества наших диагностических центров
Доступные цены
Приемлемые цены
на все услуги
Качественный сервис
Контроль качества
оказываемых услуг
Лучшие специалисты
Высококвалифицированные врачи
Новейшее оборудование
Современные томографы с высочайшим качеством визуализации
Близость к метро
Мы находимся в непосредственной близости от метро и остановок общественного транспорта
Наше оборудование
КТ-СПЕЦИАЛИСТЫ
Лицензии
Современные томографы с высочайшим качеством визуализации
Статьи наших врачей