Назад КТ селезенки с контрастом в СПБ

Цена:
от 6 400 руб
Записаться
  • Введение контраста Да
  • Длительность выполнения 20 минут
  • Ограничения по весу 120 кг
  • Ограничения по возрасту От 15 лет
  • Срок получения результата В течение 24 часов
Описание

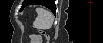
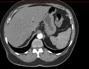
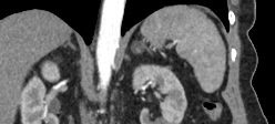
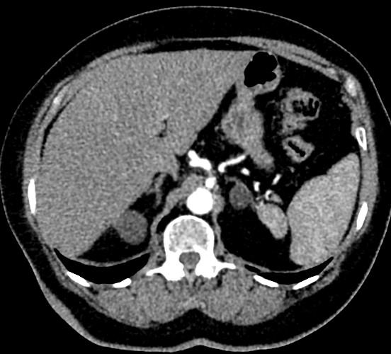
Мультиспиральная компьютерная томография селезенки – высокоинформативный лучевой метод исследования, основанный на использовании рентгеновского излучения и позволяющий детально визуализировать паренхиму селезенки, состояние близлежащих органов и тканей, питающих ее кровеносных сосудов и регионарных лимфоузлов.

МСКТ селезенки проводится как с использованием контраста, так и без него. Контрастирование применяется для выявления патологических очагов, которые могут быть не видны при нативном исследовании. Для этого внутривенно вводится контрастный препарат, содержащий йод и накапливающийся в патологических очагах опухолевой и воспалительной природы.  

Мультиспиральная компьютерная томография селезенки с внутривенным болюсным контрастированием используется в диагностике гематологических заболеваний, опухолевых процессов, при планировании хирургического вмешательства и для отслеживания эффективности лекарственной терапии.

В клинике «Доступная медицина» КТ селезенки проводится на современных мультиспиральных компьютерных томографах экспертного класса TOSHIBA AQUILION. Увеличенное количество высокочувствительных детекторов аппарата обеспечивает быстроту выполнения процедуры, что ведет к снижению дозы рентгеновского излучения для пациента.

Как и любое обследование, компьютерная томография имеет ряд противопоказаний, при наличии которых в нашей клинике можно пройти МРТ селезенки на современном высокопольном томографе экспертного уровня и по доступной цене.

Показания к КТ селезенки с контрастом

Свернуть/развернуть
  • боль в животе слева;
  • спленомегалия (увеличение селезенки в размерах);
  • заболевания крови неясного генеза;
  • петехии (мелкие кровоподтеки на коже);
  • частые простудные и инфекционные заболевания.
  • травма селезенки
  • паразитарные заболевания

Подготовка к КТ селезенки с контрастом

Свернуть/развернуть

Чтобы получить снимки высокого качества, к данному исследованию необходимо подготовиться. Из-за того, что газы в кишечнике могут создавать помехи при сканировании, в течение 2-3 дней рекомендуется придерживаться диеты, исключающей продукты, которые усиливают газообразование. 

В эти дни необходимо отказаться от употреблению в пищу сладкого, мучного, бобовых (горох, фасоль), овощей, всех видов капусты, кондитерских изделий. 

При выраженном метеоризме мы рекомендуем в течение 2 дней принимать «Эспумизан» по 2 капсулы 3 раза в день. Непосредственно в день исследования «Эспумизан» принимать не нужно. 

За 3-4 часа до исследования следует отказаться от приема пищи.

Желательно принести с собой медицинскую документацию, относящуюся к зоне исследования:

  • Направление лечащего врача;
  • Выписка из истории болезни или амбулаторной карты;
  • Рентгеновские снимки, CD/DVD диски предыдущих КТ или МРТ-исследований брюшной полости и печени;
  • Заключения профильных специалистов.

Контрастное вещество выводится из организма преимущественно почками, поэтому введение контраста требует оценки функции почек. Для этого необходимо предоставить анализ крови с контролем уровня креатинина давностью не более 14 дней с момента сдачи биоматериала.

Пациентам, принимающим по поводу сахарного диабета Метформин (Глюкофаж или другие метформинсодержащие препараты), необходимо согласовать с эндокринологом временную отмену данного препарата за 48 часов до исследования с контрастированием и на 48 часов после введения контраста.

Для введения контраста в локтевую вену предварительно устанавливается венозный катетер. В определенный момент во время исследования контраст вводится в вену при помощи дозирующего устройства. Поступление контраста в кровоток может сопровождаться в течение нескольких минут ощущением теплоты во всем теле, появлением неприятного привкуса во рту, в дальнейшем этот дискомфорт полностью исчезает. 

После окончания процедуры контраст выводится из организма в течение суток. Поэтому кормящим матерям мы рекомендуем в течение следующих 24-48 часов после исследования с контрастированием не прикладывать ребенка к груди, молоко при этом нужно сцеживать и выливать.

Во время исследования пациент ложится спиной на подвижную кушетку томографа. Для получения качественных результатов нельзя двигаться во время процедуры сканирования.

Врач и рентгенолаборант находятся в соседнем помещении за стеклянной перегородкой. В аппарат вмонтировано переговорное устройство для связи с врачом.

Противопоказания для проведения КТ селезенки с контрастом

Свернуть/развернуть

Компьютерная томография не проводится во время беременности на любом сроке, так как рентгеновское излучение, которое применяется во время исследования, оказывает вредное воздействие на плод.

Также в наших центрах невозможно выполнить КТ пациентам с массой тела, превышающей 120 кг (подвижные части томографов имеют ограничения по весу).

Противопоказания для введения йодсодержащих контрастных препаратов:

  • наличие в анамнезе аллергических реакций на йодсодержащие контрастные препараты; 
  • имеющиеся заболевания почек с выраженным снижением функции почек;
  • застойная сердечная недостаточность;
  • некоторые заболевания щитовидной железы (гипертиреоз, тиреотоксикоз);
  • тяжелое течение бронхиальной астмы;
  • декомпенсированный сахарный диабет.

Цель проведения КТ селезенки с контрастом

Свернуть/развернуть
  • кисты;
  • доброкачественные и злокачественные опухоли, а также метастатическое поражение органа;
  • сосудистые опухоли;
  • кальцификаты;
  • изменения воспалительного характера;
  • гнойные и некротические процессы;
  • нарушения кровоснабжения;
  • травмы органа;
  • инфаркт селезенки
  • патологии сосудов.

Запишитесь на КТ селезенки с контрастом по удобному адресу

Записаться
Фильтр по услугам КТ с контрастом

Введение контраста

С контрастом Без контраста

Станция метро

Площадь Восстания Проспект Просвещения Нарвская Рыбацкое Девяткино Гражданский проспект Академическая Политехническая Площадь Мужества Лесная Выборгская Площадь Ленина Чернышевская Владимирская Пушкинская Технологический институт Балтийская Кировский завод Автово Ленинский проспект Проспект Ветеранов Парнас Озерки Удельная Пионерская Чёрная речка Петроградская Горьковская Невский проспект Сенная площадь Фрунзенская Московские ворота Электросила Парк Победы Московская Звёздная Купчино Беговая Зенит Приморская Василеостровская Гостиный двор Маяковская Площадь Александра Невского Елизаровская Ломоносовская Пролетарская Обухово Спасская Достоевская Лиговский проспект Площадь Александра Невского Новочеркасская Ладожская Проспект Большевиков Улица Дыбенко Комендантский проспект Старая Деревня Крестовский остров Чкаловская Спортивная Адмиралтейская Садовая Звенигородская Обводный канал Волковская Бухарестская Международная Проспект Славы Дунайская Шушары Богатырская Каменка Театральная Горный институт Путиловская Юго-Западная Кудрово Шуваловский проспект Каретная Боровая Заставская Броневая

Возраст пациента

Взрослому Ребенку от 15 лет

Пол пациента

Мужчине Женщине

Программы страхования

ДМС Платно ОМС

Цены

Услуги, соответствующие запросу, не найдены.

КТ головного мозга с контрастом
руб
От 6 400 руб
КТ околоносовых пазух с контрастом
руб
От 6 400 руб
КТ орбит с контрастом
руб
От 6 400 руб
КТ носоглотки с контрастом
руб
От 6 400 руб
КТ щитовидной железы с контрастом
руб
От 6 400 руб
КТ лимфатических узлов с контрастом
руб
От 6 400 руб
КТ гортани с контрастом
руб
От 6 400 руб
КТ шеи с контрастом
руб
От 6 600 руб
КТ легких с контрастом
руб
От 6 400 руб
КТ почек с контрастом
руб
От 6 400 руб
КТ печени с контрастом
руб
От 6 400 руб
КТ селезенки с контрастом
руб
От 6 400 руб
КТ поджелудочной железы с контрастом
руб
От 6 400 руб
КТ надпочечников с контрастом
руб
От 6 400 руб
КТ мочевого пузыря с контрастом
руб
От 6 400 руб
КТ одной анатомической зоны с контрастом
руб
От 6 400 руб
КТ брюшной полости и забрюшинного пространства с контрастом
руб
От 6 400 руб
КТ таза с контрастом
руб
От 6 400 руб
КТ верхней конечности с контрастом
руб
От 6 400 руб
КТ нижних конечностей с контрастом
руб
От 7 500 руб
от бифуркации аорты до коленного сустава
руб
От 7 500 руб
от бифуркации аорты до стопы
руб
От 9 500 руб
Контраст 100 мл (до 100 кг)
руб
3 500 руб
Контраст 150 мл (от 100 кг до 120 кг)
руб
4 500 руб

Адреса диагностических центров "Доступная Медицина"

Преимущества наших диагностических центров

Доступные цены

Приемлемые цены
на все услуги

Качественный сервис

Контроль качества
оказываемых услуг

Лучшие специалисты

Высококвалифицированные врачи

Новейшее оборудование

Современные томографы с высочайшим качеством визуализации

Близость к метро

Мы находимся в непосредственной близости от метро и остановок общественного транспорта

Лицензии

Современные томографы с высочайшим качеством визуализации

Назад
Вперед
Ключникова Екатерина Игоревна
Информация проверена главным врачом клиники Domedica24
Ключникова Екатерина Игоревна
Стаж более 8 лет, главный врач, врач-рентгенолог 1 категории
Площадь Стачек, 9">
ул. 1-я Советская, 8">