Назад МРТ головного мозга + черепно-мозговые нервы в СПБ

7 600
/
По акции в Рыбацком
6 600
руб
Записаться на прием
7 600 руб
По акции в Рыбацком
6 600 руб
Записаться
  • Введение контраста Нет
  • Длительность выполнения 30 минут
  • Ограничения по весу 120 кг
  • Ограничения по возрасту от 15 лет
  • Срок получения результата В течение дня
Воспроизвести
Описание

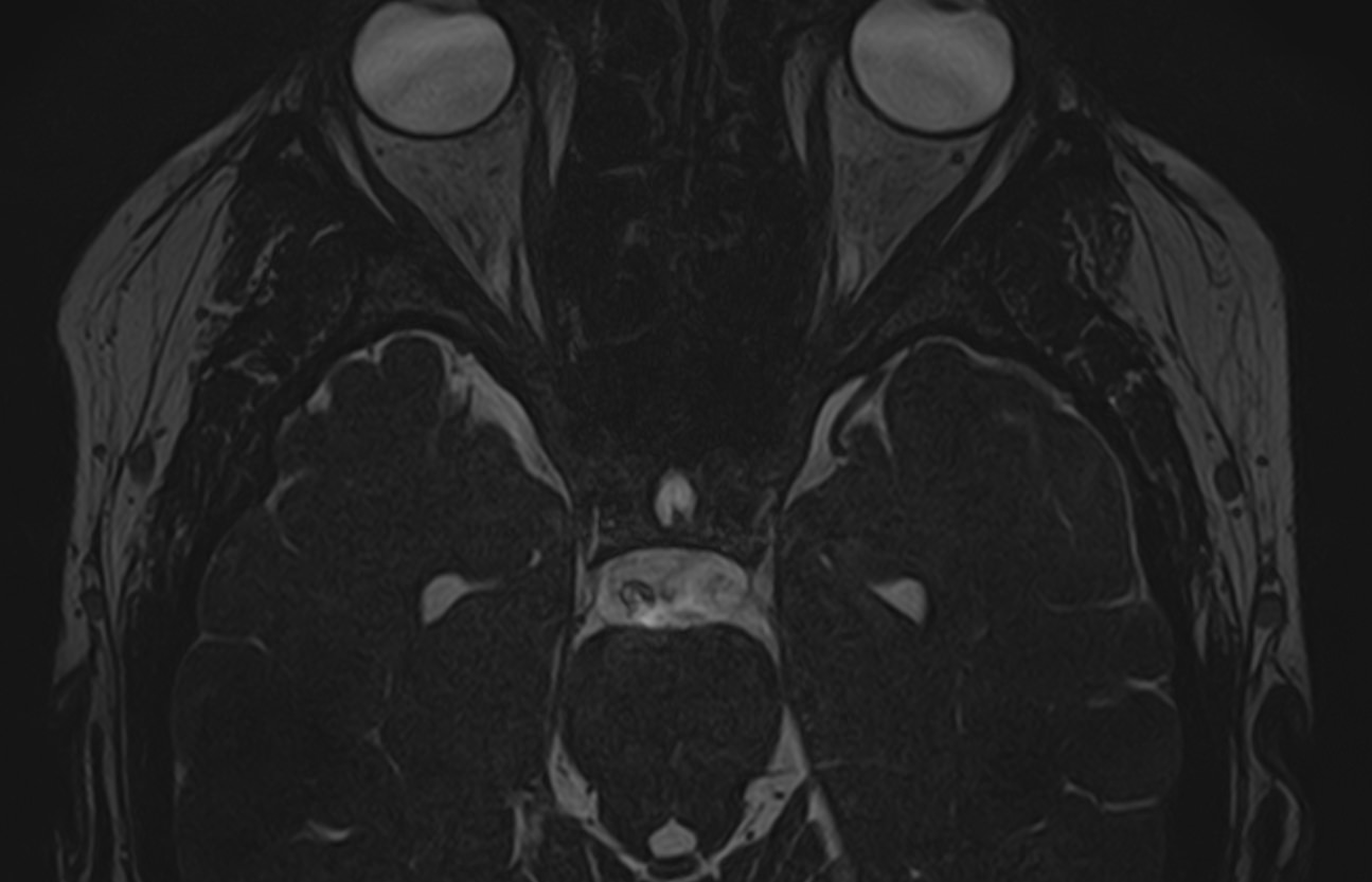
Для диагностики поражения черепно-мозговых нервов, а также оценки состояния окружающих их тканей и визуализации сосудистой сети головного мозга в клинике «Доступная медицина» проводится комплексное обследование МРТ головного мозга + черепно-мозговые нервы. Данное обследование включает в себя 2 протокола: стандартный — для оценки состояния всех структур головного мозга и специализированный — для изучения очагов поражения черепных нервов. 

Оба исследования выполняются на современном высокопольном томографе экспертного класса TOSHIBA VANTAGE TITAN 1,5 Тесла, который использует разные режимы сканирования с толщиной среза от 1мм в различных плоскостях с последующей цифровой обработкой полученных данных для создания трехмерных изображений. Аппарат позволяет выявлять структурные изменения в веществе головного мозга и черепных нервах уже на начальной стадии, когда другие методы не дают результатов. 

Данное комплексное исследование в большинстве случаев проводится с контрастным усилением. Для этого внутривенно вводится препарат, содержащий гадодиамид (соли металла гадолиния) для получения изображений с высокой четкостью и контрастностью, что способствует ранней диагностике заболеваний головного мозга.

В каких случаях необходимо провести МРТ головного мозга + черепно-мозговые нервы

Свернуть/развернуть

В головном мозге берет начало 12 пар черепно-мозговых нервов. К ним относятся обонятельный нерв, зрительный, тройничный, лицевой, преддверно-улитковый, блуждающий и др. Название нерва, как правило, отражает его функцию или соответствует органу, который он иннервирует.

В зависимости от поражения того или иного нерва могут возникнуть следующие симптомы:

  • нарушения обоняния (гипо- или аносмия);
  • снижение остроты зрения или слепота (особенно одного глаза), сужение бокового зрения, изменение восприятия цвета;
  • опущение века, затруднения при движении глазного яблока, косоглазие, разная величина зрачков, отсутствие их реакции на свет;
  • паралич мимических мышц лица, снижение чувствительности кожи лица, боли или парестезии;
  • изменения вкусовых ощущений, сухость во рту, нарушения чувствительности языка, трудности при проглатывании сухой и жидкой пищи;
  • осиплость голоса, нарушения в работе сердца, а также дыхательной, пищеварительной системы.

Что может выявить МРТ головного мозга + черепно-мозговые нервы

Свернуть/развернуть
  • злокачественные и доброкачественные новообразования, которые могут быть либо первичной опухолью черепно-мозгового нерва, либо произрастать из окружающих тканей головного мозга и сдавливать волокна близлежащего нерва;
  • демиелинизирующие заболевания (при которых повреждается миелиновая оболочка нейронов), например, рассеянный склероз;
  • воспалительные и инфекционные процессы (невриты, поражения некоторых черепных нервов на фоне воспаления среднего уха, энцефалиты, менингиты);
  • повреждения нервов на фоне черепно-мозговых травм (разрывы нервов, кровоизлияние, сдавление гематомой);
  • поражения черепных нервов на фоне ишемического или геморрагического инсульта;
  • патология нервов на фоне сосудистых проблем (вазоневральный конфликт — сдавление нерва близлежащим сосудом, также на фоне патологической извитости, аневризмы, сосудистой мальформации).

Как нужно подготовиться к МРТ головного мозга + черепно-мозговые нервы

Свернуть/развернуть

К данному исследованию специально готовиться не нужно. 

Необходимо принести с собой медицинскую документацию, относящуюся к зоне исследования:

  • направление от лечащего врача;
  • выписки из амбулаторных карт и стационаров;
  • результаты предыдущих исследований (МР-снимки, СD/DVD диски, снимки КТ).

Если имеются протезы, изготовленные из материалов, совместимых с МРТ, нужно предоставить справку из медицинского учреждения, в котором они были имплантированы. МРТ головного мозга с прицельным исследованием зоны черепно-мозговых нервов возможно, если такие протезы установлены на достаточном удалении и не мешают визуализации.

В случае необходимости введения контраста у пациента с подозрением на почечную недостаточность нужно провести контроль показателей креатинина крови (биохимический показатель, отражающий функцию почек). Анализ крови действителен в течение 14 дней до исследования. 

Непосредственно перед процедурой нужно убрать все электронные гаджеты, снять металлические изделия, пирсинг, украшения, одежду с элементами из металла. Женщинам могут предложить удалить макияж, так как некоторые косметические средства могут содержать частицы металла.

Для введения контраста в локтевую вену устанавливается венозный катетер с подключенным дозирующим устройством. В определенное время во время исследования контраст будет поступать в вену. Это может сопровождаться ощущением тепла или холода во всем теле, появлением металлического привкуса во рту. Подобные ощущения быстро исчезают. 

Контрастное вещество выводится в основном почками в течение суток. Это нужно иметь в виду кормящим женщинам, так как требуется приостановить грудное кормление на срок 24-48 часов после исследования, молоко сцеживать и выливать.

Если пациент испытывает волнение, тревожится перед процедурой, то разрешается присутствие сопровождающего в кабинете, где проводится исследование. 

В течение всего времени исследования не разрешается двигаться, так как может появиться размытость изображений. Пациент лежит на спине, его голова дополнительно фиксируется специальными креплениями. Работа томографа сопровождается громким шумом, поэтому для шумоподавления можно воспользоваться берушами или наушниками.

Медицинские работники находятся в соседнем помещении и общаются с пациентом через переговорное устройство. Можно вызвать медперсонал с помощью сигнальной груши, которая будет находиться в руке пациента во время исследования.

В каких случаях нельзя провести МРТ головного мозга + черепно-мозговые нервы

Свернуть/развернуть
  • Противопоказанием для выполнения МРТ является наличие в теле протезов и имплантатов, содержащих железо. Такие ферромагнетики под воздействием магнитного поля томографа могут намагничиваться, разогреваться, вибрировать и смещаться, вызывая травмы. Сюда относятся различные медицинские изделия (спицы, штифты, пластины, скобы, стенты), а также любые металлические инородные предметы (осколки, пули, стружка, неснимаемый пирсинг, татуировки с использованием металлосодержащих красок). Некоторые медицинские изделия и конструкции могут быть сделаны из материалов, не препятствующих проведению МРТ. В этом случае врач-рентгенолог проанализирует их месторасположение по отношению к зоне обследования и примет решение о возможности проведения МРТ или порекомендует другой способ визуализации. 
  • МРТ невозможно выполнить, если у пациента имеются имплантированные электронные устройства, которые могут выйти из строя во время работы томографа. К ним относятся дефибрилляторы, кардиостимуляторы, кохлеарные имплантаты, нейростимуляторы, инсулиновые помпы. 
  • В I триместре беременности МРТ не проводится из-за риска воздействия на формирующиеся органы плода. Введение контраста противопоказано на любом сроке беременности. 
  • Избыточной вес более 120 кг является препятствием для выполнения МРТ из-за конструктивных особенностей томографа (ограничение по весу подвижной части томографа).
  • Заболевания почек со снижением почечной функции является противопоказанием для введения контраста.
  • Аллергические реакции в анамнезе на контраст (противопоказание для введения контраста).
  • Некоторые пациенты испытывают боязнь закрытых пространств (клаустрофобия). Это является препятствием для проведения МРТ.

Запишитесь на МРТ головного мозга + черепно-мозговые нервы по удобному адресу

Записаться
Фильтр по услугам МРТ головы

Введение контраста

С контрастом Без контраста

Станция метро

Площадь Восстания Нарвская Проспект Просвещения Рыбацкое Девяткино Гражданский проспект Академическая Политехническая Площадь Мужества Лесная Выборгская Площадь Ленина Чернышевская Владимирская Пушкинская Технологический институт Балтийская Кировский завод Автово Ленинский проспект Проспект Ветеранов Парнас Озерки Удельная Пионерская Чёрная речка Петроградская Горьковская Невский проспект Сенная площадь Фрунзенская Московские ворота Электросила Парк Победы Московская Звёздная Купчино Беговая Зенит Приморская Василеостровская Гостиный двор Маяковская Площадь Александра Невского Елизаровская Ломоносовская Пролетарская Обухово Спасская Достоевская Лиговский проспект Площадь Александра Невского Новочеркасская Ладожская Проспект Большевиков Улица Дыбенко Комендантский проспект Старая Деревня Крестовский остров Чкаловская Спортивная Адмиралтейская Садовая Звенигородская Обводный канал Волковская Бухарестская Международная Проспект Славы Дунайская Шушары Богатырская Каменка Театральная Горный институт Путиловская Юго-Западная Кудрово Шуваловский проспект Каретная Боровая Заставская Броневая

Возраст пациента

Взрослому Ребенку от 15 лет

Пол пациента

Мужчине Женщине

Тип аппарата

Открытый Закрытый

Мощность МРТ

1.5 Тл 3 Тесла

Программы страхования

ДМС Платно ОМС

Цены

Услуги, соответствующие запросу, не найдены.

МРТ головного мозга
руб
4 600 / 3 200 руб
Подробнее
МР-ангиография головного мозга
руб
4 600 / 3 200 руб
Подробнее
МР-венография головного мозга
руб
4 600 / 3 200 руб
Подробнее
МРТ черепно-мозговых нервов
руб
4 600 / 3 200 руб
Подробнее
МРТ головного мозга и МР-ангиография головного мозга
руб
7 600 / 6 200 руб
Подробнее
МРТ головного мозга и МР-венография головного мозга
руб
7 600 / 6 200 руб
Подробнее
МРТ гипофиза
руб
От 7 600 / 6 200 руб
Подробнее
МРТ орбит
руб
4 600 / 3 200 руб
Подробнее
МРТ придаточных пазух носа
руб
4 600 / 3 200 руб
Подробнее
МРТ внутреннего уха
руб
5 400 / 4 000 руб
Подробнее
МРТ головного мозга и гипофиза
руб
От 11 300 / 9 200 руб
Подробнее
МРТ головного мозга+мосто-мозжечкового угла
руб
7 600 / 6 600 руб
Подробнее
МРТ головного мозга + МРТ орбит
руб
7 600 / 6 200 руб
Подробнее
МРТ головного мозга + черепно-мозговые нервы
руб
7 600 / 6 600 руб
Подробнее

Адреса диагностических центров "Доступная Медицина"

Преимущества наших диагностических центров

Доступные цены

Приемлемые цены
на все услуги

Качественный сервис

Контроль качества
оказываемых услуг

Лучшие специалисты

Высококвалифицированные врачи

Новейшее оборудование

Современные томографы с высочайшим качеством визуализации

Близость к метро

Мы находимся в непосредственной близости от метро и остановок общественного транспорта

Лицензии

Современные томографы с высочайшим качеством визуализации

Назад
Вперед
Ключникова Екатерина Игоревна
Информация проверена главным врачом клиники Domedica24
Ключникова Екатерина Игоревна
Стаж более 8 лет, главный врач, врач-рентгенолог 1 категории
Площадь Стачек, 9">
ул. 1-я Советская, 8">