Назад Рентген крестцового отдела позвоночника и копчика

Цена:
1 900 руб
Записаться
  • Длительность выполнения 15 минут
Описание

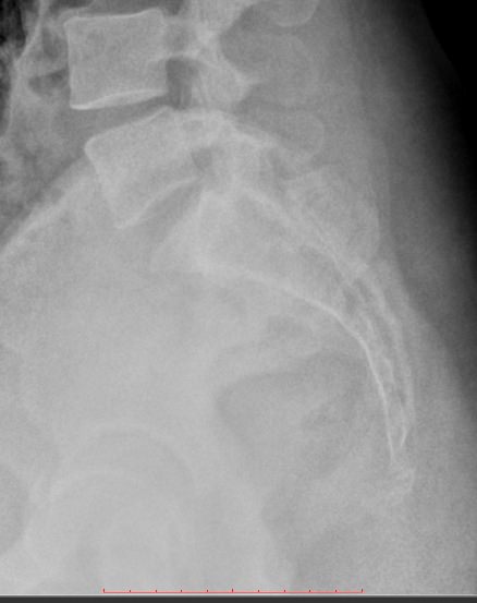
Крестец представляет собой 5 позвонков, сросшиеся в единую, треугольной формы, кость. Она соединяет позвоночник с костями таза, образуя его заднюю часть, участвует в обеспечении вертикального положения тела, распределении нагрузки на тазовые органы и нижние конечности. Большинство патологий приходится на место перехода поясничного отдела позвоночника в крестец, то есть на 5-й поясничный и 1-й крестцовый позвонки.

При длительно сохраняемом вынужденном положении, сидя или в наклон, а также профессиональным поднятии и переноске тяжести, в этой области развиваются различные дегенеративно-дистрофические заболевания: спондилез, спондилоартроз, остеохондроз. В результате формируется корешковый и другие синдромы, проявляющиеся болями разной локализации. Реже встречаются аномалии развития, инфекционные и опухолевые поражения костной ткани крестца. Самостоятельные переломы крестца редки, они возникают в результате ДТП или падений с высоты и обычно сопровождаются множественными переломами костей таза. В большинстве случаев травмы крестца ограничиваются ушибами.

Копчик состоит из 3-5 рудиментарных позвонков, которые у большинства людей срастаются в возрасте от 12 до 40 лет. К нему крепятся мышцы тазового дна, удерживающие и регулирующие работу органов малого таза ― мочеполовых и конечных отделов ЖКТ. Сустав между крестцом и копчиком малоподвижен и отклоняется только во время родов, что иногда, при крупном плоде, приводит к перелому или подвывиху. Однако чаще травма случается при падении на ягодицы, особенно в зимнее время на скользкой дороге.

Рентгенографическое исследование при болях в нижней части спины хорошо визуализирует состояние костной ткани, дает возможность подтвердить диагноз и назначить наиболее эффективное лечение. Снимки выполняются в 2 проекциях: прямой и боковой. На рентгенограмму обычно попадают: 5-й поясничный позвонок, крестец и копчик. В прямой проекции также видны крестцово-подвздошные суставы.

Кому назначают рентген крестцового отдела позвоночника и копчика?

Свернуть/развернуть

Для исключения патологий крестца и копчика врач ― терапевт, невролог или травматолог-ортопед ― направляет пациента на рентгенографию при следующих жалобах:

  • Боль в нижней части спины, в области крестца;
  • Боль отдает в ногу, вызывая хромоту;
  • Наблюдаются парестезии ― ощущение онемения на разных участках пораженной ноги;
  • Могут страдать тазовые органы ― есть нарушение мочеиспускания, проблемы с эрекцией у мужчин, альгодисменорея и другие патологии половой сферы у женщин.

На приеме жалобы подтверждаются положительными тестами, которые проводит врач: просит согнуться или особым образом повернуть ногу и пальпирует триггерные точки.

Что покажет рентген крестцового отдела позвоночника и копчика?

Свернуть/развернуть
  • Смещение копчиковых позвонков относительно крестца ― есть или нет;
  • Состояние крестцового канала и крестцовых отверстий ― изменений нет или есть деформация, сужение, остеофиты; 
  • Изменения в крестцово-подвздошных сочленениях ― контуры, рентгеновская суставная щель;
  • Структура костной ткани ― есть ли воспаление, склероз или остеопороз;
  • Травмы, переломы;
  • Новообразования;
  • Мягкие ткани ― без изменений или отечные, с включениями или без.

Нужна ли подготовка к рентгену крестцового отдела позвоночника и копчика?

Свернуть/развернуть

Да, в этом виде исследования требуется подготовка:

  • За 2-3 дня исключить газообразующие продукты ― выпечку, свежие овощи и фрукты, молочные;
  • Перейти на легкие в переваривании блюда ― каши, нежирное мясо;
  • Сделать очищающую клизму вечером накануне обследования и утром за час до него.

В кабинете пациент раздевается до белья, надевает защитную накидку на верхнюю часть тела и ложится на стол на спину. Ноги нужно согнуть в коленях и упереться подошвами в стол. Во время снимка, который длится 1-2 секунды, дышать можно, а двигаться нет.

Затем рентгенолаборант помогает принять положение для бокового снимка: лежа на боку, руки заведены за голову, ноги слегка согнуты. Длительность экспозиции ― те же 2 секунды, во время которых постарайтесь не шевелиться.

Снимки можно получить на руки сразу, описание ― через несколько часов.

Противопоказания

Свернуть/развернуть

Данное исследование противопоказано детям до 18 лет и беременным. Рентген крестца возможен только в сложных, экстренных случаях, когда риск невыявленной травмы выше, чем наносимый облучением вред.

Запишитесь на Рентген крестцового отдела позвоночника и копчика по удобному адресу

Записаться
Фильтр по услугам Рентген костно-суставной системы

Станция метро

Площадь Восстания Проспект Просвещения Нарвская Рыбацкое Девяткино Гражданский проспект Академическая Политехническая Площадь Мужества Лесная Выборгская Площадь Ленина Чернышевская Владимирская Пушкинская Технологический институт Балтийская Кировский завод Автово Ленинский проспект Проспект Ветеранов Парнас Озерки Удельная Пионерская Чёрная речка Петроградская Горьковская Невский проспект Сенная площадь Фрунзенская Московские ворота Электросила Парк Победы Московская Звёздная Купчино Беговая Зенит Приморская Василеостровская Гостиный двор Маяковская Площадь Александра Невского Елизаровская Ломоносовская Пролетарская Обухово Спасская Достоевская Лиговский проспект Площадь Александра Невского Новочеркасская Ладожская Проспект Большевиков Улица Дыбенко Комендантский проспект Старая Деревня Крестовский остров Чкаловская Спортивная Адмиралтейская Садовая Звенигородская Обводный канал Волковская Бухарестская Международная Проспект Славы Дунайская Шушары Богатырская Каменка Театральная Горный институт Путиловская Юго-Западная Кудрово Шуваловский проспект Каретная Боровая Заставская Броневая

Возраст пациента

Взрослому Ребенку от 15 лет

Пол пациента

Мужчине Женщине

Количество проекций

Одна Две

Введение контраста

С контрастом Без контраста

Цены

Услуги, соответствующие запросу, не найдены.

Рентген черепа (1 проекция)
руб
1 400 руб
Рентген черепа (2 проекции)
руб
1 900 руб
Рентген турецкого седла
руб
1 400 руб
Рентген придаточных пазух носа
руб
1 400 руб
Рентген придаточных пазух носа (2 проекции)
руб
1 900 руб
Рентген костей носа при искривлении носовой перегородки
руб
1 400 руб
Рентген нижней челюсти (2 проекции)
руб
1 900 руб
Рентген атланто-аксиального сочленения
руб
1 400 руб
Рентген шейного отдела позвоночника (2 проекции)
руб
1 900 руб
Функциональные исследования позвоночника (шейный отдел)
руб
3 200 руб
Рентген шейного отдела позвоночника с функциональными пробами + С1 позвонок
руб
3 600 руб
Рентген грудного отдела позвоночника (2 проекции)
руб
1 900 руб
Рентген поясничного-крестцового отдела позвоночника (2 проекции)
руб
1 900 руб
Функциональные исследования позвоночника (поясничный отдел)
руб
3 200 руб
Рентген крестцового отдела позвоночника и копчика (2 проекции)
руб
1 900 руб
Рентген крестцово-подвздошного сочленения (3 проекции)
руб
2 100 руб
Рентген копчика (2 проекции)
руб
1 900 руб
Рентген копчика с функциональными пробами
руб
2 600 руб
Рентген позвоночника при сколиозе в прямой проекции (стичинг)
руб
1 600 руб
Рентген позвоночника при нарушении статики в боковой проекции (стичинг)
руб
1 600 руб
Рентген позвоночника на кифосколиоз в прямой и боковой проекциях (стичинг)
руб
2 600 руб
Рентген ключицы (2 проекции)
руб
1 900 руб
Рентген обеих ключиц (1 проекция)
руб
2 100 руб
Рентген обеих ключиц (2 проекции)
руб
3 100 руб
Рентген ребер (прицельно)
руб
1 400 руб
Рентген лопатки (2 проекции)
руб
1 900 руб
Рентген обеих лопаток (2 проекции)
руб
3 100 руб
Рентген акромиально-ключичного сочленения (2 проекции)
руб
1 900 руб
Рентген обоих акромиально-ключичных сочленений (1 проекция)
руб
2 100 руб
Рентген обоих акромиально-ключичных сочленений (2 проекции)
руб
3 100 руб
Рентген грудино-ключичных сочленений
руб
1 400 руб
Рентген плечевого сустава (2 проекции) (Рентген плеча)
руб
1 900 руб
Рентген обоих плечевых суставов (2 проекции)
руб
3 100 руб
Рентген плечевой кости (2 проекции) (Рентген плеча)
руб
1 900 руб
Рентген локтевого сустава (2 проекции) (Рентген локтя)
руб
1 900 руб
Рентген предплечья (2 проекции) (Рентген локтевой и лучевой костей)
руб
1 900 руб
Рентген лучезапястного сустава (2 проекции)
руб
1 900 руб
Рентген пястно-запястных суставов
руб
1 400 руб
Рентген пястно-фаланговых суставов
руб
1 400 руб
Рентген межфалангового сустава (2 проекции) (прицельно)
руб
1 900 руб
Рентген кисти (2 проекции)
руб
1 900 руб
Рентген обеих кистей (1 проекция)
руб
2 100 руб
Рентген обеих кистей (2 проекции)
руб
3 100 руб
Рентген кистей для определения костного возраста
руб
2 100 руб
Рентген костей таза (Рентген подвздошной, лонной и седалищной костей)
руб
1 400 руб
Рентген тазобедренного сустава (2 проекции)
руб
1 900 руб
Рентген тазобедренных суставов (1 проекция)
руб
2 100 руб
Рентген тазобедренных суставов (2 проекции)
руб
3 100 руб
Рентген тазобедренных суставов в прямой проекции и по Лаунштейну
руб
2 600 руб
Рентген бедренной кости (2 проекции)
руб
1 900 руб
Рентген обеих бедренных костей (1 проекция)
руб
2 100 руб
Рентген обеих бедренных костей (2 проекции)
руб
3 100 руб
Рентген коленного сустава (2 проекции)
руб
1 900 руб
Рентген обоих коленных суставов (1 проекция)
руб
2 100 руб
Рентген обоих коленных суставов (2 проекции)
руб
3 100 руб
Рентген пателло-феморального сочленения с обеих сторон
руб
1 900 руб
Рентген костей голени (2 проекции) (Рентген большеберцовой и малоберцовой костей)
руб
1 900 руб
Рентген костей голени обеих ног (1 проекция)
руб
2 100 руб
Рентген костей голени обеих ног (2 проекции)
руб
3 100 руб
Рентген голеностопного сустава (2 проекции)
руб
1 900 руб
Рентген голеностопных суставов (1 проекция)
руб
2 100 руб
Рентген голеностопных суставов (2 проекции)
руб
3 100 руб
Рентген пяточных костей в боковой проекции
руб
1 400 руб
Рентген пяточных костей (2 проекции)
руб
1 900 руб
Рентген стоп в прямой проекции
руб
2 100 руб
Рентген стопы (2 проекции)
руб
1 900 руб
Рентген стоп в боковой проекции
руб
2 100 руб
Рентген стоп в двух проекциях (Рентген плюсне-фаланговых суставов, Рентген предплюсне-плюсневого сочленения)
руб
3 100 руб
Рентген одной стопы на продольное плоскостопие
руб
1 400 руб
Рентген одной стопы на поперечное плоскостопие
руб
1 400 руб
Рентген одной стопы на продольное и поперечное плоскостопие
руб
1 900 руб
Рентген обеих стоп на продольное плоскостопие
руб
2 100 руб
Рентген обеих стоп на поперечное плоскостопие
руб
2 100 руб
Рентген обеих стоп на продольное и поперечное плоскостопие (Рентген стоп на плоскостопие для военкомата, Рентген стоп на плоскостопие с полной статической нагрузкой)
руб
3 100 руб
Рентген ног (ститчинг)
руб
2 100 руб
Рентген ног (стичинг) 2 проекции/с функциональными пробами
руб
3 100 руб
Дополнительная проекция
руб
600 руб

Адреса диагностических центров "Доступная Медицина"

Преимущества наших диагностических центров

Доступные цены

Приемлемые цены
на все услуги

Качественный сервис

Контроль качества
оказываемых услуг

Лучшие специалисты

Высококвалифицированные врачи

Новейшее оборудование

Современные томографы с высочайшим качеством визуализации

Близость к метро

Мы находимся в непосредственной близости от метро и остановок общественного транспорта

Лицензии

Современные томографы с высочайшим качеством визуализации

Назад
Вперед
Ключникова Екатерина Игоревна
Информация проверена главным врачом клиники Domedica24
Ключникова Екатерина Игоревна
Стаж более 8 лет, главный врач, врач-рентгенолог 1 категории
Площадь Стачек, 9">
ул. 1-я Советская, 8">