МРТ почек в СПБ
- Длительность выполнения 40 минут
- Срок получения результата В течение дня
- Ограничения по возрасту От 15 лет
- Ограничения по весу 120 кг
- Введение контраста Нет
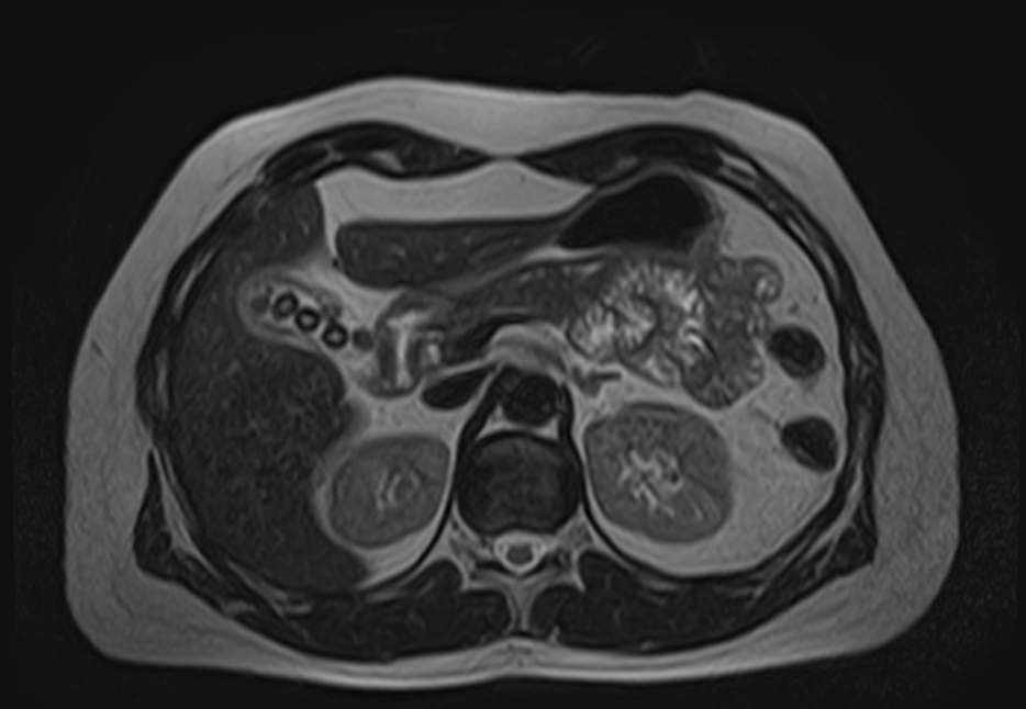
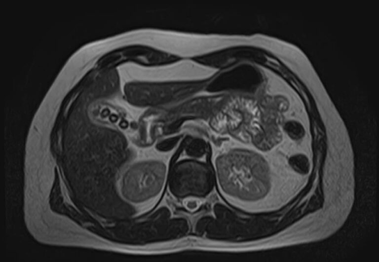
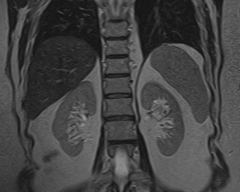
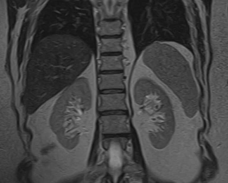
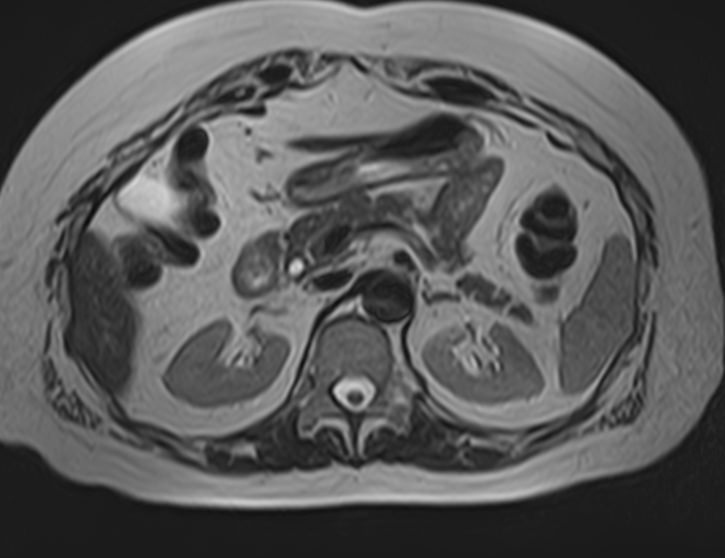
МРТ почек проводится для оценки состояния всех структур этого важнейшего органа выделительной системы, включая паренхиму, чашечки, лоханки почек и сосудистую систему. В клинике «Доступная медицина» исследование выполняется на томографе экспертного уровня TOSHIBA VANTAGE TITAN 1,5 Тесла, который обеспечивает изображения высокой четкости и контрастности, что позволяет проводить точную и достоверную диагностику заболеваний почек.
- Что показывает МРТ почек
- Показания к МРТ почек
- Противопоказания для проведения МРТ почек
- Как нужно подготовиться к МРТ почек
Что показывает МРТ почек
В первую очередь магнитно-резонансное обследование показано пациентам, которые по какой-либо причине не могут подвергаться воздействию рентгеновского излучения или йодсодержащих контрастных препаратов, используемых в КТ. К данной категории относятся беременные женщины и маленькие дети.
МРТ почек и мочевыводящей системы показана при подозрении на злокачественные и доброкачественные опухолевые заболевания (карциномы, ангиолипомы), при ксантогранулематозном пиелонефрите, гематурии.
Уролог или нефролог может назначить магнитно-резонансную томографию при следующих симптомах:
- боли в области поясницы;
- почечных коликах;
- отёках;
- болезненности, зуде при мочеиспускании;
- отклонениях в анализе мочи;
- общем недомогании, лихорадке в сочетании с другими почечными симптомами.
Показания к МРТ почек
МРТ используется для диагностики злокачественных и доброкачественных опухолей почек. При этом большую ценность представляет МРТ почек с введением контрастного вещества. Процедура дает возможность не только выявить новообразования, но и установить степень развития патологического процесса, определить распространение метастазов на близлежащие органы. Только МРТ позволяет обнаружить псевдокапсулу новообразования. Такая информация крайне необходима, если речь идет об оперативном лечении рака почки с возможным сохранением органа. Также методика с высокой точностью определяет кистозные образования, распространение метастазов.
МРТ почек показывает:
- размеры мозгового и коркового слоев;
- расположение анатомических структур органа;
- функциональность;
- возможное вовлечение в патологический процесс питающих сосудов.
Исследование используется при лечении различных воспалительных и дегенеративных процессов почек с целью анализа эффективности проведенной терапии. МРТ почек назначается пациентам при наличии противопоказаний к осуществлению рентгенограммы, урографии, в случае неэффективности КТ, ультразвукового сканирования. Дополнительно во время обследования диагност может выявить заболевания мочевыводящих путей, в частности, мочеточников. Показано проведение магнитно-резонансной томографии при эндокринных патологиях (при расстройстве функций надпочечников), злокачественном течении гипертонической болезни. С помощью МРТ почек удается установить травматические повреждения, подтвердить абсцесс органа, мочекаменную болезнь, врожденные аномалии строения.
Показанием к осуществлению исследования является присутствие у пациента боли неясной этиологии в пояснице или области проекции почек, которая наблюдается продолжительное время, сопровождается патологическими изменениями в анализе мочи, в частности, повышением удельного веса. МРТ позволяет установить причину почечной колики, постоянных головных болей, лихорадки. Озноб, приступы головокружения, отечность мягких тканей тоже являются показаниями к проведению данного исследования, так как подобные симптомы могут свидетельствовать о нарушении выделительной функции органа.
Противопоказания для проведения МРТ почек
- МРТ невозможно выполнить при наличии в организме металлических медицинских изделий (спицы, штифты, винты, сосудистые скобы, клипсы, пластины), а также металлических инородных тел (пули, дробь, осколки), татуировок, нанесенных с помощью красителей на основе металлических соединений. Медицинские протезы могут быть изготовлены из материалов, которые не препятствуют проведению МРТ (например, титан), также имеет значение их расположение по отношению к исследуемому органу. В каждом конкретном случае принимается решение о возможности проведения МРТ.
- Нельзя провести МРТ при наличии у пациента вживленных медицинских электронных устройств, в работе которых может произойти сбой под воздействием индукции магнитного поля томографа (дефибрилляторы, водители ритма, кардиостимуляторы, имплантаты внутреннего уха, нейростимуляторы, инсулиновые помпы).
- При массе тела более 120 кг невозможно выполнить МРТ, так как подвижная часть томографа не рассчитана на больший вес.
- Ограничением для МРТ является беременность до 13 недель (следует оградить формирующиеся органы плода от любых неблагоприятных факторов), МРТ с контрастированием не проводится в течение всего срока беременности.
- Клаустрофобия является препятствием для проведения МРТ из-за риска развития панической атаки, которая может возникнуть во время нахождения в туннеле томографа,
- Введение контраста противопоказано, если ранее отмечались аллергические реакции на контрастное вещество на основе солей гадолиния и при заболеваниях почек, сопровождающихся снижением функции почек.
Как нужно подготовиться к МРТ почек
Чтобы получить качественные результаты, к данной процедуре требуется заранее подготовиться.
За три дня до исследования рекомендуется исключить из рациона пищу, повышающую газообразование (сладкое, мучное, жирное, бобовые, газированные напитки, капусту) и принимать «Эспумизан» по 2 капсулы 3 раза в день (если есть проблемы с газообразованием!). В день исследования «Эспумизан» принимать не нужно.
За 3-4 часа до исследования следует отказаться от приема пищи.
За 30-40 минут до исследования необходимо выпить 2 таблетки «Но-шпы» для снижения перистальтики кишечника.
Необходимо принести с собой медицинскую документацию, относящуюся к зоне исследования:
- направление от лечащего врача;
- выписки из амбулаторных карт и стационаров;
- результаты предыдущих исследований (МР-снимки, СD/DVD диски, снимки КТ).
В случае наличия в теле медицинских изделий, изготовленных из сплавов, которые не препятствуют проведению МРТ, нужно предоставить справку об этом из учреждения, где оно было установлено.
Если исследование будет проводиться с контрастным усилением, при подозрении на почечную недостаточность необходимо сдать биохимический анализ крови с определением уровня креатинина (анализ действителен не более 14 дней).
Контраст вводится внутривенно через предварительно установленный в вену катетер. Затем с помощью специального устройства (инжектора), которое регулирует скорость введения и объем раствора, происходит поступление контраста в кровоток в определенный момент во время исследования. При этом может быть кратковременное ощущение тепла или холода в теле, металлический привкус во рту, но этот дискомфорт быстро исчезает.
Контраст выводится из организма в течение суток преимущественно почками. Женщинам в период грудного вскармливания нужно прервать кормление грудью на 24-48 часов после процедуры с контрастированием, в это время проводить сцеживание молока с его последующей утилизацией.
Непосредственно перед процедурой нужно снять все электронные устройства и металлические предметы, в том числе украшения, пирсинг, одежду с металлическими элементами.
Нужно приготовиться к тому, что следует лежать неподвижно во время исследования, чтобы получить качественные снимки. В случае волнения и тревожности можно принять успокоительное средство, также допускается присутствие близкого человека или родственника.
Медицинские работники во время проведения процедуры находятся в смежном кабинете и наблюдают через стеклянное окно. В руке пациента будет находиться сигнальное устройство в виде груши для вызова медперсонала.
Запишитесь на МРТ почек по удобному адресу
ЗаписатьсяСтанция метро
Площадь Восстания Нарвская Проспект Просвещения Рыбацкое Девяткино Гражданский проспект Академическая Политехническая Площадь Мужества Лесная Выборгская Площадь Ленина Чернышевская Владимирская Пушкинская Технологический институт Балтийская Кировский завод Автово Ленинский проспект Проспект Ветеранов Парнас Озерки Удельная Пионерская Чёрная речка Петроградская Горьковская Невский проспект Сенная площадь Фрунзенская Московские ворота Электросила Парк Победы Московская Звёздная Купчино Беговая Зенит Приморская Василеостровская Гостиный двор Маяковская Площадь Александра Невского Елизаровская Ломоносовская Пролетарская Обухово Спасская Достоевская Лиговский проспект Площадь Александра Невского Новочеркасская Ладожская Проспект Большевиков Улица Дыбенко Комендантский проспект Старая Деревня Крестовский остров Чкаловская Спортивная Адмиралтейская Садовая Звенигородская Обводный канал Волковская Бухарестская Международная Проспект Славы Дунайская Шушары Богатырская Каменка Театральная Горный институт Путиловская Юго-Западная Кудрово Шуваловский проспект Каретная Боровая Заставская БроневаяРайон
Центральный Кировский Выборгский Невский Адмиралтейский Василеостровский Калининский Колпинский Красногвардейский Красносельский Кронштадтский Курортный Московский Петроградский Петродворцовый Приморский Пушкинский ФрунзенскийГород
Санкт-Петербург Бокситогорск Бугры Волосово Волхов Всеволожск Выборг Высоцк Гатчина Ивангород Каменногорск Кингисепп Кириши Кировск Колтуши Коммунар Кудрово Лодейное Поле Луга Любань Мурино Никольское Новая Ладога Отрадное Пикалёво Подпорожье Приморск Приозерск Светогорск Сертолово Сланцы Сосновый Бор Сясьстрой Тельмана Тихвин Тосно ШлиссельбургЦены
Услуги, соответствующие запросу, не найдены.
Адреса диагностических центров "Доступная Медицина"
Преимущества наших диагностических центров
Доступные цены
Приемлемые цены
на все услуги
Качественный сервис
Контроль качества
оказываемых услуг
Лучшие специалисты
Высококвалифицированные врачи
Новейшее оборудование
Современные томографы с высочайшим качеством визуализации
Близость к метро
Мы находимся в непосредственной близости от метро и остановок общественного транспорта
Наше оборудование
МРТ-специалисты
Лицензии
Современные томографы с высочайшим качеством визуализации
Статьи наших врачей