Назад КТ мочевого пузыря с контрастом в СПБ

Цена:
от 6 400 руб
Записаться
  • Введение контраста Да
  • Длительность выполнения 20 минут
  • Ограничения по весу 120 кг
  • Ограничения по возрасту От 15 лет
  • Срок получения результата В течение 24 часов
Описание

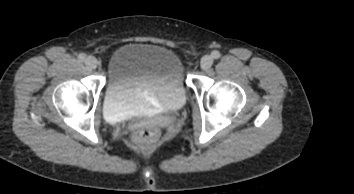
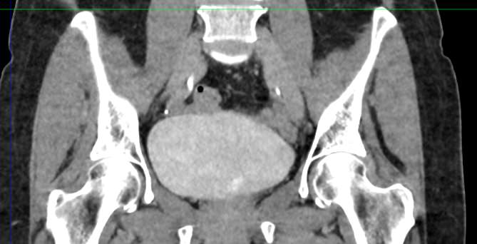
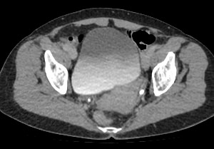
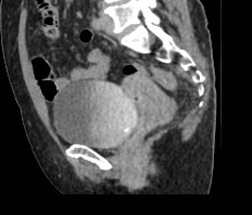
Мультиспиральная КТ мочевого пузыря является частью протокола обследования органов малого таза. Это высокоинформативный рентгенологический метод исследования, позволяющий детально визуализировать мочевой пузырь, нижнюю часть мочеточников, внутренние половые органы, прямую кишку. 

Зачастую подобное исследование проводится при мочекаменной болезни (МКБ) для выявления конкрементов, определения их положения, размеров и плотности. Локализация конкремента существенно влияет на терапевтическое лечение МКБ, а наличие дивертикулов стенки мочевого пузыря на возможность самостоятельного выхода камня.

Также при данном исследовании возможно выявить утолщение стенки мочевого пузыря, что при диффузных изменениях может соответствовать проявлениям цистита, а локальные или неравномерные утолщения – характеризовать патологический процесс обусловленный новообразованиями.

Используемые при КТ рентгеновские лучи, проходя через органы и ткани, в разной степени поглощаются ими. Это фиксируется детекторами аппарата, и на основе полученных данных образуются подробные снимки исследуемой зоны, а с помощью цифровых приложений строятся 3D-модели органов малого таза.

Для улучшения визуализации патологических образований, в частности, при подозрении на опухолевый процесс, проводится внутривенное болюсное контрастирование. Методика контрастного усиления основана на введении в вену контрастного препарата, который в большей степени накапливается в патологически измененных участках и обеспечивает их яркую визуализацию на фоне здоровых тканей. Контрастирование дает возможность определить врачу границы опухоли, оценить степень прорастания в соседние органы и ткани, выявить опухоли минимальных размеров (как первичного, так и метастатического характера).

В наших диагностических центрах КТ мочевого пузыря с контрастом выполняется на современных мультиспиральных компьютерных томографах экспертного класса TOSHIBA AQUILION. Различные версии аппаратов способны одномоментно выполнять множество тончайших срезов анатомической области малого таза, что позволяет получать изображения органов в мельчайших подробностях. При этом инновационные возможности томографов обеспечивают низкую дозу рентгеновского облучения для пациента. 

Мультиспиральная КТ используется для диагностики аномалий развития мочевого пузыря, травматических повреждений, воспалительных заболеваний и опухолевых процессов органов малого таза. Преимуществами данного исследования является высокая скорость сканирования и доступная цена. Однако в ряде случаев может быть более предпочтительно выполнение магнитно-резонансной томографии, которая обладает высокой чувствительностью и информативностью для обследования органов и мягких тканей малого таза. В клинике «Доступная медицина» обследование мочевого пузыря входит в протокол МРТ малого таза и его можно пройти на нашем современном оборудовании экспертного уровня

Показания к КТ мочевого пузыря с контрастом

Свернуть/развернуть
  • новообразования как злокачественные, так и злокачественные;
  • уретероцеле
  • инфекции;
  • травмы;
  • мочекаменная болезнь

Подготовка к КТ мочевого пузыря с контрастом

Свернуть/развернуть

Чтобы получить качественные и достоверные результаты, необходимо заранее подготовиться к данному исследованию. Газы в кишечнике могут давать артефакты на полученных изображениях. Поэтому за 2-3 дня до исследования рекомендуется исключить из рациона пищу, повышающую газообразование (сладкое, мучное, жирное, бобовые, газированные напитки, капусту) и принимать «Эспумизан» по 2 капсулы 3 раза в день (если есть проблемы с газообразованием!). В день исследования «Эспумизан» принимать не нужно. 

За 3-4 часа до исследования следует отказаться от приема пищи.

Данное исследование проводится с наполненным мочевым пузырем. Для этого примерно за 1 час до процедуры нужно выпить 0,5 — 1 литр воды и не мочиться до окончания исследования.

Желательно принести с собой медицинскую документацию, относящуюся к зоне исследования:

  • направление от лечащего врача;
  • выписки из амбулаторных карт и стационаров;
  • результаты предыдущих исследований (МР-снимки, CD/DVD диски, снимки КТ, результаты УЗИ).

Контрастное вещество выводится из организма преимущественно почками. Поэтому применение контраста требует оценки выделительной функции почек. Для этого необходимо предоставить анализ крови с контролем уровня креатинина давностью не более, чем 14 дней с момента сдачи биоматериала.

Для введения контраста в локтевую вену предварительно устанавливается венозный катетер. В определенный момент во время исследования контраст вводится в вену при помощи дозирующего устройства. Поступление контраста в кровоток может сопровождаться в течение нескольких минут ощущением теплоты во всем теле, появлением неприятного привкуса во рту, в дальнейшем этот дискомфорт полностью исчезает. 

После окончания процедуры контраст выводится из организма в течение суток. Поэтому, если пациентка является кормящей мамой, то в течение следующих 24-48 часов после исследования нельзя прикладывать ребенка к груди, молоко при этом нужно сцеживать и выливать.

Пациент ложится спиной на подвижную кушетку томографа. В течение всего периода исследования необходимо не двигаться для получения качественных результатов. 

Врач и рентгенолаборант находятся в соседнем помещении за стеклянной перегородкой. В аппарат вмонтировано переговорное устройство для связи с врачом. Кроме того, вызвать персонал можно, нажав на специальное сигнальное устройство.

Противопоказания для проведения КТ мочевого пузыря с контрастом

Свернуть/развернуть

Компьютерная томография не проводится во время беременности на любом сроке, так как рентгеновское излучение, которое предусмотрено методикой КТ, оказывает вредное воздействие на плод.

Также в наших центрах невозможно выполнить КТ пациентам с массой тела, превышающей 120 кг (подвижные части томографов имеют ограничения по весу).

Противопоказания для введения йодсодержащих контрастных препаратов:

  • наличие в анамнезе аллергических реакций на йодсодержащие контрастные препараты; 
  • имеющиеся заболевания почек с выраженным снижением функции почек;
  • при застойной сердечной недостаточности;
  • при некоторых заболеваниях щитовидной железы (гипертиреоз, тиреотоксикоз);
  • в случае тяжелого течения бронхиальной астмы;
  • при декомпенсированном сахарном диабете.

Что показывает КТ мочевого пузыря с контрастом

Свернуть/развернуть
  • новообразования как злокачественные, так и злокачественные;
  • незаращение урахуса
  • уретероцеле
  • инфекции (цистит);
  • травмы (разрыв мочевого пузыря)
  • наличие конкрементов в полости мочевого пузыря, интрамуральном и предпузырном отделах мочеточников.
  • лимфаденопатию
  • увеличение размеров предстательной железы

Запишитесь на КТ мочевого пузыря с контрастом по удобному адресу

Записаться
Фильтр по услугам КТ с контрастом

Введение контраста

С контрастом Без контраста

Станция метро

Площадь Восстания Проспект Просвещения Нарвская Рыбацкое Девяткино Гражданский проспект Академическая Политехническая Площадь Мужества Лесная Выборгская Площадь Ленина Чернышевская Владимирская Пушкинская Технологический институт Балтийская Кировский завод Автово Ленинский проспект Проспект Ветеранов Парнас Озерки Удельная Пионерская Чёрная речка Петроградская Горьковская Невский проспект Сенная площадь Фрунзенская Московские ворота Электросила Парк Победы Московская Звёздная Купчино Беговая Зенит Приморская Василеостровская Гостиный двор Маяковская Площадь Александра Невского Елизаровская Ломоносовская Пролетарская Обухово Спасская Достоевская Лиговский проспект Площадь Александра Невского Новочеркасская Ладожская Проспект Большевиков Улица Дыбенко Комендантский проспект Старая Деревня Крестовский остров Чкаловская Спортивная Адмиралтейская Садовая Звенигородская Обводный канал Волковская Бухарестская Международная Проспект Славы Дунайская Шушары Богатырская Каменка Театральная Горный институт Путиловская Юго-Западная Кудрово Шуваловский проспект Каретная Боровая Заставская Броневая

Возраст пациента

Взрослому Ребенку от 15 лет

Пол пациента

Мужчине Женщине

Программы страхования

ДМС Платно ОМС

Цены

Услуги, соответствующие запросу, не найдены.

КТ головного мозга с контрастом
руб
От 6 400 руб
КТ околоносовых пазух с контрастом
руб
От 6 400 руб
КТ орбит с контрастом
руб
От 6 400 руб
КТ носоглотки с контрастом
руб
От 6 400 руб
КТ щитовидной железы с контрастом
руб
От 6 400 руб
КТ лимфатических узлов с контрастом
руб
От 6 400 руб
КТ гортани с контрастом
руб
От 6 400 руб
КТ шеи с контрастом
руб
От 6 600 руб
КТ легких с контрастом
руб
От 6 400 руб
КТ почек с контрастом
руб
От 6 400 руб
КТ печени с контрастом
руб
От 6 400 руб
КТ селезенки с контрастом
руб
От 6 400 руб
КТ поджелудочной железы с контрастом
руб
От 6 400 руб
КТ надпочечников с контрастом
руб
От 6 400 руб
КТ мочевого пузыря с контрастом
руб
От 6 400 руб
КТ одной анатомической зоны с контрастом
руб
От 6 400 руб
КТ брюшной полости и забрюшинного пространства с контрастом
руб
От 6 400 руб
КТ таза с контрастом
руб
От 6 400 руб
КТ верхней конечности с контрастом
руб
От 6 400 руб
КТ нижних конечностей с контрастом
руб
От 7 500 руб
от бифуркации аорты до коленного сустава
руб
От 7 500 руб
от бифуркации аорты до стопы
руб
От 9 500 руб
Контраст 100 мл (до 100 кг)
руб
3 500 руб
Контраст 150 мл (от 100 кг до 120 кг)
руб
4 500 руб

Адреса диагностических центров "Доступная Медицина"

Преимущества наших диагностических центров

Доступные цены

Приемлемые цены
на все услуги

Качественный сервис

Контроль качества
оказываемых услуг

Лучшие специалисты

Высококвалифицированные врачи

Новейшее оборудование

Современные томографы с высочайшим качеством визуализации

Близость к метро

Мы находимся в непосредственной близости от метро и остановок общественного транспорта

Лицензии

Современные томографы с высочайшим качеством визуализации

Назад
Вперед
Ключникова Екатерина Игоревна
Информация проверена главным врачом клиники Domedica24
Ключникова Екатерина Игоревна
Стаж более 8 лет, главный врач, врач-рентгенолог 1 категории
Площадь Стачек, 9">
ул. 1-я Советская, 8">