КТ лимфатических узлов в СПБ
- Введение контраста Нет
- Длительность выполнения 10 минут
- Ограничения по весу 120 кг
- Ограничения по возрасту От 15 лет
- Срок получения результата В течение дня
Лимфатические узлы расположены по всему телу, вблизи органов, по ходу крупных кровеносных сосудов. Они выполняют функцию биологического фильтра, препятствующего распространению инфекции и раковых клеток. Изменения со стороны лимфатических узлов могут свидетельствовать о патологии близлежащих органов и тканей, либо быть признаком лимфопролиферативных и гематологических заболеваний.
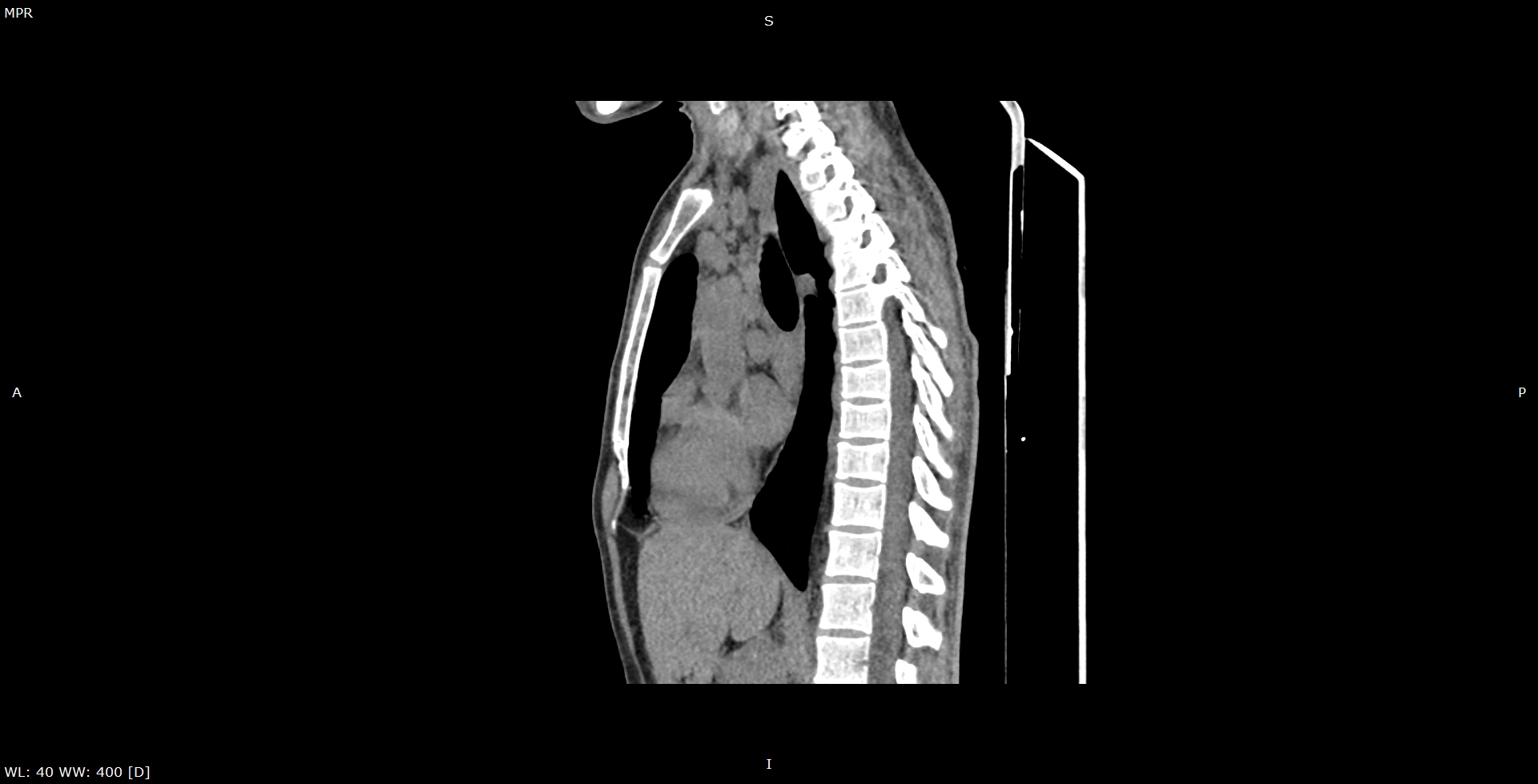
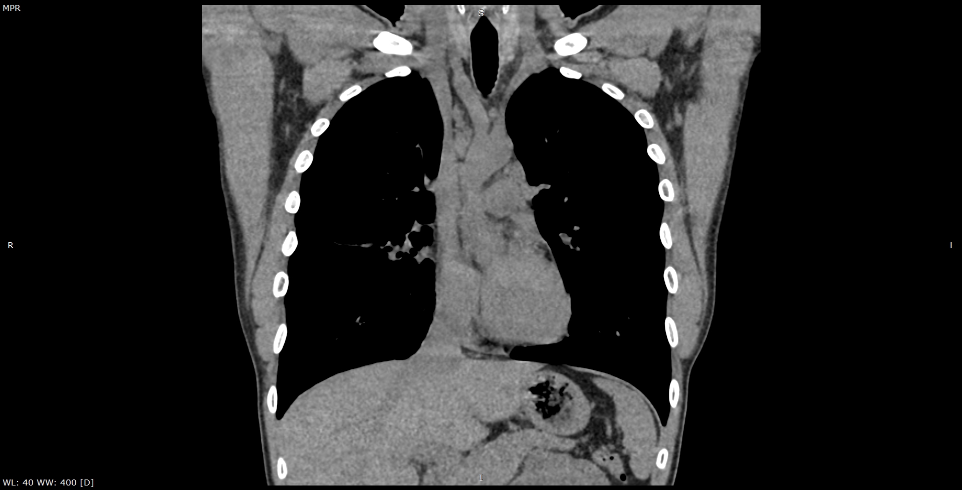
Мультиспиральная КТ лимфатических узлов направлено на изучение структуры лимфоузлов и их взаимоотношения с близлежащими органами и окружающими тканями. Исследование проводится прицельно в той области, где имеются увеличенные болезненные или безболезненные лимфатические узлы.
В клинике «Доступная медицина» исследование проводится на современном компьютерном томографе экспертного класса TOSHIBA AQUILION CXL, производящего большое количество тончайших срезов исследуемой зоны и преобразующего полученные данные в 3D-изображения высокой четкости и контрастности. Аппарат оснащен большим количеством высокочувствительных детекторов, которые улавливают сигналы при сканировании за несколько секунд, что существенно сокращает время исследования и снижает лучевую нагрузку на организм пациента.
При необходимости выявления злокачественной инфильтрации лимфоузлов, исключения их метастатического поражения проводится КТ лимфоузлов с контрастным усилением. Внутривенно введенный контрастный препарат, имеющий в своем составе йодсодержащее вещество, накапливается в измененных тканях и делает их более четкими для визуализации. МСКТ с внутривенным болюсным контрастированием дает возможность диагностировать онкологические процессы на ранней стадии, что имеет решающее значение для эффективного и своевременного лечения.
- Показания к КТ лимфатических узлов шеи
- Что покажет КТ лимфатических узлов
- Подготовка к КТ лимфатических узлов
- Когда невозможно провести КТ лимфатических узлов
Показания к КТ лимфатических узлов шеи
- бактериальные или вирусные инфекционные заболевания;
- патологии щитовидной железы;
- доброкачественная или злокачественная лимфома;
- заболевания слюнных желез;
- болезни соединительной ткани;
- травмирование мягких тканей в области шеи.
- развитие флегмон.
- скопление гноя в челюстно-лицевой части.
- воспалительный процесс
- подозрение на новообразование злокачественного характера.
- ночное повышение температуры тела.
- постепенное снижение массы тела.
Что покажет КТ лимфатических узлов
Изучая КТ-изображения, полученные в результате этой диагностической процедуры, врач оценивает:
- метастазирование в лимфоузлы злокачественных образований;
- общую структуру и размеры региональных лимфатических узлов;
- контуры лимфатических узлов и их деформацию;
- взаимодействие узлов с близлежащими органами и тканями;
- неоднородность, образование конгломератов, пакетов узлов;
- гиперплазию и инфильтрацию прилегающих к узлу тканей.
С помощью КТ лимфатических узлов возможно диагностировать:
- гипоплазию;
- лимфангиомы;
- лимфадениты;
- лимфаденопатии;
- лимфомы, включая и лимфогранулематоз Ходжкина и неходжкинские лимфомы;
- лимфолейкоцитоз;
- лимфосаркомы;
- метастазы в лимфоузлы;
- СПИД.
Подготовка к КТ лимфатических узлов
- при исследовании лимфоузлов грудной полости и шеи не требуется специально готовиться;
- если изучаются лимфоузлы брюшной полости или забрюшинного пространства за 2-3 часа не есть;
- при визуализации лимфоузлов малого таза необходимо наполнить мочевой пузырь к моменту начала сканирования.
При проведении томографии с контрастированием необходимо предварительно исключить риски нефротоксической реакции у пациентов с заболеваниями почек. Для этого сдается анализ крови на креатинин.
Будем признательны пациентам, предоставившим специалистам центров максимально возможный объем медицинской документации, касающейся их заболевания. Среди таких документов:
- направление от лечащего врача;
- результаты, в том числе и описания предыдущих рентген-исследований, УЗИ, лабораторных тестов, анализов на онко-маркеры;
- заключения профильных специалистов;
- выписки из историй болезни и амбулаторных карт.
При необходимости выполнения этого исследования с контрастом, пациентам с сахарным диабетом, принимающим Метформин или Глюкофаж, необходимо отказаться от его приема:
- за 48 часов до КТ;
- на 48 часов после КТ.
Когда невозможно провести КТ лимфатических узлов
Противопоказаниями к проведению компьютерного сканирования лимфоузлов являются:
- беременность;
- клаустрофобия и психические расстройства, при которых пациент не может контролировать свою двигательную активность;
- тяжелые органные недостаточности.
Относительными противопоказаниями к проведению компьютерного сканирования лимфатических узлов с контрастированием являются:
- выраженная почечная недостаточность;
- тяжелые формы сахарного диабета, астмы, гипертериоза, миеломной болезни;
- выраженная печеночная недостаточность;
- аллергические реакции на вводимые в организм контрастные вещества.
Относительным противопоказанием к проведению этого информативного диагностического исследования является вскармливание грудью. Кормящим мамам можно пройти это обследование, предварительно сделав запас молока, не прикладывая ребенка к груди на протяжении 24-48 часов после него, сцеживая и утилизируя молоко.
В сети петербургских клиник «Доступная медицина» это исследование не проводится пациентам, имеющим вес свыше 120 килограммов (из-за технических ограничений столов томографов).
Запишитесь на КТ лимфатических узлов по удобному адресу
ЗаписатьсяСтанция метро
Площадь Восстания Проспект Просвещения Нарвская Рыбацкое Девяткино Гражданский проспект Академическая Политехническая Площадь Мужества Лесная Выборгская Площадь Ленина Чернышевская Владимирская Пушкинская Технологический институт Балтийская Кировский завод Автово Ленинский проспект Проспект Ветеранов Парнас Озерки Удельная Пионерская Чёрная речка Петроградская Горьковская Невский проспект Сенная площадь Фрунзенская Московские ворота Электросила Парк Победы Московская Звёздная Купчино Беговая Зенит Приморская Василеостровская Гостиный двор Маяковская Площадь Александра Невского Елизаровская Ломоносовская Пролетарская Обухово Спасская Достоевская Лиговский проспект Площадь Александра Невского Новочеркасская Ладожская Проспект Большевиков Улица Дыбенко Комендантский проспект Старая Деревня Крестовский остров Чкаловская Спортивная Адмиралтейская Садовая Звенигородская Обводный канал Волковская Бухарестская Международная Проспект Славы Дунайская Шушары Богатырская Каменка Театральная Горный институт Путиловская Юго-Западная Кудрово Шуваловский проспект Каретная Боровая Заставская БроневаяРайон
Центральный Выборгский Кировский Адмиралтейски Василеостровский Калининский Колпинский Красногвардейский Красносельски Кронштадтский Курортный Московский Невский Петроградский Петродворцовый Приморский Пушкинский ФрунзенскийГород
Санкт-Петербург Бокситогорск Бугры Волосово Волхов Всеволожск Выборг Высоцк Гатчина Ивангород Каменногорск Кингисепп Кириши Кировск Колтуши Коммунар Кудрово Лодейное Поле Луга Любань Мурино Никольское Новая Ладога Отрадное Пикалёво Подпорожье Приморск Приозерск Светогорск Сертолово Сланцы Сосновый Бор Сясьстрой Тельмана Тихвин Тосно ШлиссельбургЦены
Услуги, соответствующие запросу, не найдены.
Адреса диагностических центров "Доступная Медицина"
Преимущества наших диагностических центров
Доступные цены
Приемлемые цены
на все услуги
Качественный сервис
Контроль качества
оказываемых услуг
Лучшие специалисты
Высококвалифицированные врачи
Новейшее оборудование
Современные томографы с высочайшим качеством визуализации
Близость к метро
Мы находимся в непосредственной близости от метро и остановок общественного транспорта
Наше оборудование
КТ-СПЕЦИАЛИСТЫ
Лицензии
Современные томографы с высочайшим качеством визуализации
Статьи наших врачей