МР-холангиография в СПБ
- Срок получения результата В течение дня
- Ограничения по весу 120 кг
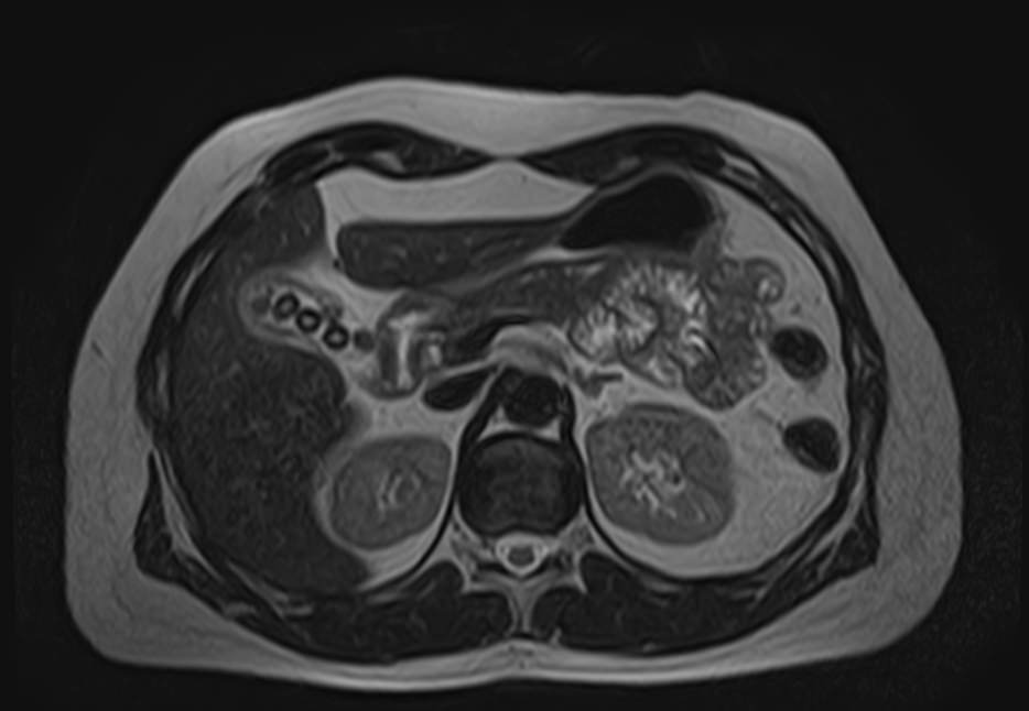
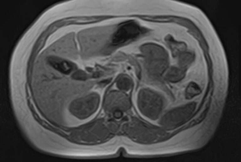
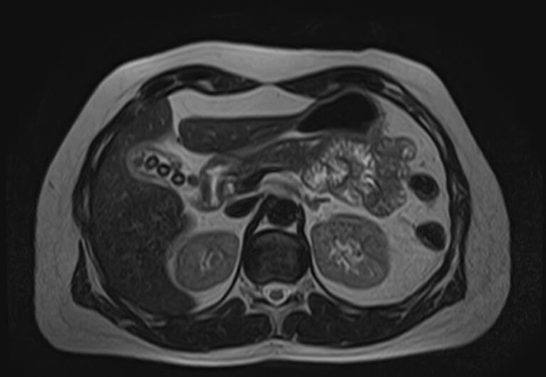
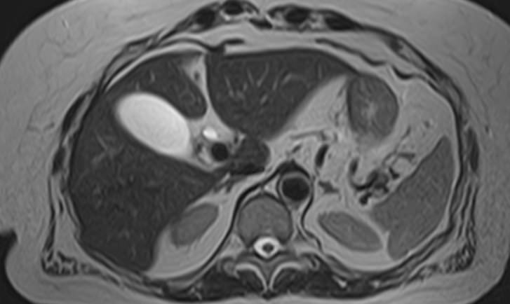
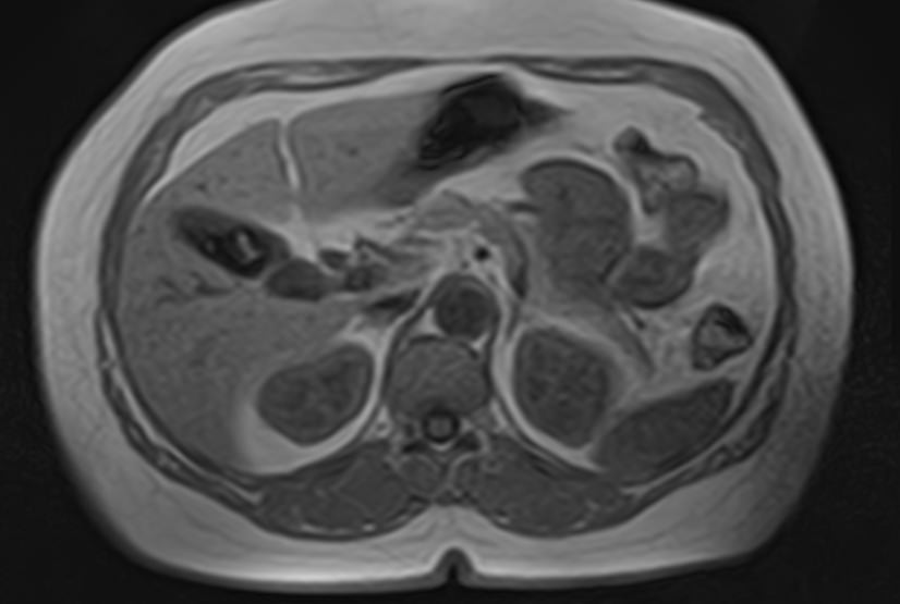
Магнитно-резонансная холангиография – это неинвазивный и безопасный метод исследования, который используется для визуализации желчевыводящих путей, включая внутри- и внепеченочные желчные протоки, панкреатический (Вирсунгов) проток и общий желчный проток (холедох). МРТ позволяет оценить анатомические особенности билиарной системы и определить патологию расположенных рядом структур.
В норме желчь вырабатывается клетками печени и скапливается в желчном пузыре – естественном резервуаре желчи. Во время приема пищи желчь вместе с панкреатическими ферментами через общий желчный проток попадает в просвет 12-перстной кишки и обеспечивает переваривание пищи и усвоение жиров.
Патология билиарной системы проявляется в виде непроходимости желчных протоков и затруднением оттока желчи. Нарушение отделения желчи может быть вызвано наличием камней, развитием объемного образования внутри протока или сдавлением протока опухолью извне.
В клинике «Доступная медицина» МР-холангиография выполняется на современном высокопольном томографе закрытого типа TOSHIBA VANTAGE TITAN 1,5 Тесла. Путем послойного сканирования и построения объемных изображений с высокой четкостью и детализацией, аппарат позволяет диагностировать причины возникновения закупорки желчных протоков.
Метод МР-холангиографии имеет высокую информативность и может назначаться перед проведением классической ЭРХПГ (эндоскопической ретроградной холангиопанкреатографии). Преимуществами МР-холангиографии является неинвазивность, отсутствие вредного рентгеновского излучения. Кроме того, исследование не сопряжено с риском развития таких осложнений как острый панкреатит, холангит и др. При этом МР-холангиография имеет важное значение, так как может использоваться как альтернатива ЭРХПГ, если к последней имеются противопоказания, например, аллергические реакции на йодсодержащие контрастные вещества.
- При каких симптомах можно заподозрить непроходимость желчевыводящих путей
- Показания для проведения МР-холангиографии
- Что покажет МР-холангиография
- Как правильно подготовиться к МР-холангиографии
- В каких случаях нельзя выполнить МР-холангиографию
При каких симптомах можно заподозрить непроходимость желчевыводящих путей
Основные признаки нарушения оттока желчи:
- Боли в правом подреберье;
- Желтушность склер и кожных покровов;
- Кожный зуд в сочетании со слабостью, утомляемостью;
- Появление синячков на коже, кровоточивость десен;
- Моча темного цвета;
- Обесцвеченный стул;
- Повышение уровня печеночных ферментов и щелочной фосфатазы в анализах крови.
Показания для проведения МР-холангиографии
- Подозрение на холедохолитиаз (наличие конкрементов в общем желчном протоке).
- Во время предоперационной подготовки к хирургическим вмешательствам на желчевыводящих путях.
- При невозможности проведения ЭРХПГ (в случае наличия противопоказаний у пациента).
- Подозрение на развитие опухолевых процессов данной анатомической области с признаками сдавления желчных протоков и нарушением оттока желчи.
- Развитие постхолецистэктомического синдрома после оперативного удаления желчного пузыря.
- Выявление аномалий развития билиарного тракта.
Что покажет МР-холангиография
С помощью магнитно-резонансной холангиографии можно выявить следующие патологии:
- Острое или хроническое воспаление панкреатобилиарной системы;
- Закупорка протоков конкрементами;
- Доброкачественные и злокачественные опухоли внутри просвета протоков или новообразования, исходящие из окружающих тканей;
- Рубцовые деформации, спайки, стриктуры желчевыводящих путей.
- Аномалии развития желчевыводящей системы.
Как правильно подготовиться к МР-холангиографии
Важно подготовиться к данному исследованию с помощью диеты, чтобы уменьшить количество газов в кишечнике, которые могут создавать помехи для визуализации исследуемой области.
За три дня до исследования мы рекомендуем исключить из рациона пищу, повышающую газообразование (сладкое, мучное, жирное, бобовые, газированные напитки, капусту) и принимать «Эспумизан» по 2 капсулы 3 раза в день (если есть проблемы с газообразованием!). В день исследования «Эспумизан» принимать не нужно.
За 3-4 часа до исследования нужно отказаться от приема пищи.
За 30-40 минут до исследования необходимо выпить 2 таблетки «Но-шпы» для снижения перистальтики кишечника.
Необходимо принести с собой медицинскую документацию, относящуюся к зоне исследования:
- направление от лечащего врача;
- выписки из амбулаторных карт и стационаров;
- результаты предыдущих исследований (МР-снимки, CD/DVD диски, результаты УЗИ, снимки КТ).
В случае наличия каких-либо протезов или имплантатов, материал которых не препятствует проведению МРТ, необходимо предоставить справку об этом из учреждения, где они были установлены.
Перед исследованием необходимо снять одежду с металлической фурнитурой, убрать пирсинг, украшения, из карманов выложить мобильные телефоны, пластиковые карты, любые электронные устройства, металлические предметы.
Пациент укладывается на спину на мобильном столе томографа, при этом нельзя двигаться, иначе можно получить нечеткость изображений исследуемой области. Для исключения двигательной активности пациента дополнительно фиксируют с помощью специальных приспособлений.
Томограф во время работы издает громкий шум, поэтому для уменьшения этого дискомфорта можно воспользоваться берушами или наушниками.
Врач и рентгенолаборант находятся в смежном помещении, которые разделены прозрачной перегородкой. Для вызова персонала служит сигнальное устройство в виде груши, которое во время исследования находится в руке пациента.
Некоторые пациенты могут испытывать волнение, поэтому разрешается присутствие сопровождающего в течение всего времени исследования.
В каких случаях нельзя выполнить МР-холангиографию
Противопоказаниями для МР-холангиографии являются:
- наличие в теле пациента ферромагнитных металлических имплантатов или протезов (это могут быть сосудистые скобы, стенты, кава-фильтры, протезы, спицы, штифты, пластины, ортодонтические конструкции) и инородных металлических фрагментов (дробь, пули, осколки, татуировки с использованием металлосодержащих красок);
- вживленные электронные устройства, такие как кардиостимуляторы, водители ритма, кохлеарные имплантаты, нейростимуляторы, инсулиновые помпы;
- беременность до 13 недель, когда плод наиболее чувствителен к воздействию неблагоприятных факторов;
- вес пациента, превышающий 120 кг (ограничение связано с техническими особенностями томографа);
- клаустрофобия (из-за риска развития панической атаки во время пребывания в тоннеле аппарата).
Запишитесь на МР-холангиография по удобному адресу
ЗаписатьсяСтанция метро
Площадь Восстания Нарвская Проспект Просвещения Рыбацкое Девяткино Гражданский проспект Академическая Политехническая Площадь Мужества Лесная Выборгская Площадь Ленина Чернышевская Владимирская Пушкинская Технологический институт Балтийская Кировский завод Автово Ленинский проспект Проспект Ветеранов Парнас Озерки Удельная Пионерская Чёрная речка Петроградская Горьковская Невский проспект Сенная площадь Фрунзенская Московские ворота Электросила Парк Победы Московская Звёздная Купчино Беговая Зенит Приморская Василеостровская Гостиный двор Маяковская Площадь Александра Невского Елизаровская Ломоносовская Пролетарская Обухово Спасская Достоевская Лиговский проспект Площадь Александра Невского Новочеркасская Ладожская Проспект Большевиков Улица Дыбенко Комендантский проспект Старая Деревня Крестовский остров Чкаловская Спортивная Адмиралтейская Садовая Звенигородская Обводный канал Волковская Бухарестская Международная Проспект Славы Дунайская Шушары Богатырская Каменка Театральная Горный институт Путиловская Юго-Западная Кудрово Шуваловский проспект Каретная Боровая Заставская БроневаяРайон
Центральный Кировский Выборгский Невский Адмиралтейский Василеостровский Калининский Колпинский Красногвардейский Красносельский Кронштадтский Курортный Московский Петроградский Петродворцовый Приморский Пушкинский ФрунзенскийГород
Санкт-Петербург Бокситогорск Бугры Волосово Волхов Всеволожск Выборг Высоцк Гатчина Ивангород Каменногорск Кингисепп Кириши Кировск Колтуши Коммунар Кудрово Лодейное Поле Луга Любань Мурино Никольское Новая Ладога Отрадное Пикалёво Подпорожье Приморск Приозерск Светогорск Сертолово Сланцы Сосновый Бор Сясьстрой Тельмана Тихвин Тосно ШлиссельбургЦены
Услуги, соответствующие запросу, не найдены.
Адреса диагностических центров "Доступная Медицина"
Преимущества наших диагностических центров
Доступные цены
Приемлемые цены
на все услуги
Качественный сервис
Контроль качества
оказываемых услуг
Лучшие специалисты
Высококвалифицированные врачи
Новейшее оборудование
Современные томографы с высочайшим качеством визуализации
Близость к метро
Мы находимся в непосредственной близости от метро и остановок общественного транспорта
Наше оборудование
МРТ-специалисты
Лицензии
Современные томографы с высочайшим качеством визуализации
Статьи наших врачей