КТ лучезапястного сустава в СПБ
- Введение контраста Нет
- Длительность выполнения 10 минут
- Ограничения по весу 120 кг
- Ограничения по возрасту От 15 лет
- Срок получения результата В течение дня
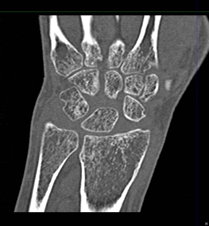
Лучезапястный сустав имеет сложное строение. Это комбинированное сочленение между костями предплечья и кистью руки. Сустав имеет множество анатомических структур, включая мелкие кости запястья (трехгранную, полулунную, ладьевидную, гороховидную, кость-трапецию, трапециевидную, головчатую и крючковидную), а также внутрисуставные диски, связки, мышцы и сухожилия, обеспечивающие гибкость и высокую подвижность сустава.
Различные травмы и заболевания лучезапястного сустава вызывают нарушения функции верхней конечности и негативно сказываются на способности человека к самообслуживанию и трудовой деятельности. Сложное строение лучезапястного сустава затрудняет диагностику заболеваний и травматических повреждений сустава. Одним из наиболее информативных методов исследования области лучезапястного сустава является мультиспиральная компьютерная томография.
Метод КТ основан на использовании ионизирующего излучения и способности тканей поглощать рентгеновские лучи. Костные ткани обладают высокой плотностью и способны активно поглощать рентгеновские лучи, поэтому они хорошо видны на снимках КТ. В отличие от обычного рентгена компьютерный томограф послойно сканирует исследуемую область в нескольких плоскостях, благодаря чему получаются снимки в мельчайших подробностях. Затем с помощью цифровой обработки данных, полученных при КТ-сканировании, создаются объемные модели области исследования.
Таким образом, мультиспиральная компьютерная томография позволяет оценить состояние всех структур лучезапястного сустава, выявить травматические повреждения, признаки воспалительных заболеваний, диагностировать аномалии развития и опухолевые образования. При травмах на снимках и трехмерных изображениях хорошо видны фрагменты костных отломков, эти данные используются при подготовке к оперативным вмешательствам. После операции результаты КТ позволяют оценить правильность репозиции костных структур, выявить послеоперационные осложнения, отследить в динамике процесс восстановления тканей.
В наших медицинских центрах обследование лучезапястного сустава проводится на современных мультиспиральных компьютерных томографах последнего поколения TOSHIBA AQUILION. Инновационные возможности аппаратов позволяют получать детальные снимки и цифровые трехмерные изображения в мельчайших подробностях, при этом методика скоростного мультисрезового сканирования дает возможность максимально снизить дозу рентгеновского облучения для пациента.
Для повышения диагностических возможностей метода в ряде случаев используется внутривенное введение контрастных препаратов на основе йода. Контраст улучшает визуализацию патологически измененных тканей, что помогает в диагностике ряда заболеваний. В частности, контрастное усиление используют при подозрении на опухолевые заболевания. Методика контрастирования позволяет оценить структуру опухоли, ее границы, степень прорастания в соседние ткани, на основе этих данных назначается наиболее эффективная тактика лечения.
Часто при необходимости обследования мягких тканей области лучезапястного сустава лечащий врач может порекомендовать провести другой высокоинформативный лучевой метод исследования – магнитно-резонансную томографию. Метод МРТ основан на применении внешнего магнитного поля и имеет наибольшую чувствительность при обследовании именно мягкотканных структур. Сделать МРТ лучезапястного сустава можно в нашей клинике
на современном высокопольном магнитно-резонансном томографе экспертного уровня.
- Показания к КТ лучезапястного сустава
- Подготовка к проведению КТ лучезапястного сустава
- Противопоказания для КТ лучезапястного сустава
- Что покажет КТ лучезапястного сустава
Показания к КТ лучезапястного сустава
- травмы лучезапястного сустава;
- артроз или артрит;
- посттравматические изменения;
- опухоли (доброкачественные и злокачественные);
- подагра и ревматоидный артрит (коллагенозы)
- вывих и перелом лучезапястного сустава;
- остеомиелит;
- инородные тела вокруг сустава, в мягких тканях.
- ограниченность движений запястья;
- отек в области сустава;
- покраснение в области кисти;
- болевые ощущения как в покое, так и при движении кистью;
- деформация сустава;
Подготовка к проведению КТ лучезапястного сустава
Данное исследование не требует специальной подготовки, поэтому мультиспиральная КТ может выполняться как в плановом порядке, так и в экстренной ситуации, например, при травмах лучезапястного сустава.
Для более точной диагностики, желательно сравнить снимки с имеющимися предыдущими результатами исследований, поэтому мы просим принести с собой все документы, которые относятся к зоне сканирования:
- Направление от лечащего врача;
- Рентгеновские снимки, CD/DVD диски предыдущих КТ или МРТ области лучезапястного сустава;
- Выписки из амбулаторных карт и стационаров;
- Заключения профильных специалистов.
Если пациенту требуется использование контраста, то в этом случае необходимо за 2 недели до даты исследования сдать анализ крови для оценки уровня креатинина. Этот показатель показывает состояние функции почек и имеет важное значение, так как контраст выводится из организма преимущественно почками. При резко выраженном снижении функции почек пациенту нельзя вводить контраст, тогда проводится только нативная КТ.
При необходимости введения контрастного вещества пациентам, принимающим по поводу сахарного диабета Метформин или Глюкофаж (а также другие препараты, содержащие Метформин), требуется посоветоветоваться с эндокринологом о временной отмене данных препаратов за 48 часов до КТ черепа с контрастированием и на 48 часов после исследования.
Женщинам в период лактации нужно иметь в виду, что контраст также выводится и с грудным молоком. Поэтому мы рекомендуем кормящим мамам в течение 24-48 часов после процедуры с введением контраста не прикладывать малыша к груди (предварительно сделайте ребенку запас грудного молока).
Если запланировано применение контрастного усиления, то пациенту в периферическую вену предварительно ставится венозный катетер. Во время сканирования контраст вводится с помощью автоматического шприца (инжектора), подключенного к катетеру. В момент поступления контраста в кровь может появиться ощущение жара, прилива к телу, неприятный привкус во рту, но этот дискомфорт быстро проходит.
Пациент во время исследования лежит на выдвижной части томографа лицом вверх. Стол вместе с пациентом двигается в кольце аппарата, при этом отверстие кольца широкое, вокруг пространство свободное.
Чтобы получились качественные снимки, мы просим пациента не двигаться во время сканирования.
Медицинский персонал в течение процедуры находится в соседнем кабинете за стеклянным окном. При необходимости пациент может разговаривать с врачом при помощи голосовой связи, которой оснащен томограф.
Противопоказания для КТ лучезапястного сустава
Нативная КТ имеет мало противопоказаний. В частности, КТ не проводится в течение всего срока беременности из-за того, что рентгеновские лучи, на использовании которых основана методика компьютерной томографии, могут вызвать пороки развития плода во время внутриутробного развития.
Кроме того, в связи с техническими характеристиками томографов в наших медицинских центрах нельзя выполнить КТ пациентам с массой тела более 120 кг (ограничения касаются выдвижного стола томографа).
В ряде случаев противопоказания касаются применения контрастных препаратов. КТ с контрастированием противопоказано в следующих случаях:
- Если у пациента ранее были аллергические реакции на йодсодержащий контрастный препарат;
- В случае резко выраженной почечной недостаточности;
- При заболеваниях щитовидной железы с явлениями гипертиреоза и тиреотоксикоза;
- При застойной сердечной недостаточности;
- В случае тяжелого течения бронхиальной астмы;
- При декомпенсированном сахарном диабете.
Что покажет КТ лучезапястного сустава
- аномалии строения сустава;
- трещины и переломы костей;
- повреждения околосуставных структур;
- повреждения связочного аппарата;
- изменения воспалительного характера;
- гнойные и некротические процессы;
- патологический выпот в суставе;
- деформации костей;
- новообразования;
- остеопороз (при визуальной оценке).
- форму сустава;
- целостность и расположение костей, которые его образуют;
- размер суставных щелей;
- состояние суставных поверхностей костей, образующих лучезапястный сустав
- состояние субхондральной кости и наличие в ней кист;
- изменения периоста и эндоста
Запишитесь на КТ лучезапястного сустава по удобному адресу
ЗаписатьсяСтанция метро
Площадь Восстания Проспект Просвещения Нарвская Рыбацкое Девяткино Гражданский проспект Академическая Политехническая Площадь Мужества Лесная Выборгская Площадь Ленина Чернышевская Владимирская Пушкинская Технологический институт Балтийская Кировский завод Автово Ленинский проспект Проспект Ветеранов Парнас Озерки Удельная Пионерская Чёрная речка Петроградская Горьковская Невский проспект Сенная площадь Фрунзенская Московские ворота Электросила Парк Победы Московская Звёздная Купчино Беговая Зенит Приморская Василеостровская Гостиный двор Маяковская Площадь Александра Невского Елизаровская Ломоносовская Пролетарская Обухово Спасская Достоевская Лиговский проспект Площадь Александра Невского Новочеркасская Ладожская Проспект Большевиков Улица Дыбенко Комендантский проспект Старая Деревня Крестовский остров Чкаловская Спортивная Адмиралтейская Садовая Звенигородская Обводный канал Волковская Бухарестская Международная Проспект Славы Дунайская Шушары Богатырская Каменка Театральная Горный институт Путиловская Юго-Западная Кудрово Шуваловский проспект Каретная Боровая Заставская БроневаяРайон
Центральный Выборгский Кировский Адмиралтейски Василеостровский Калининский Колпинский Красногвардейский Красносельски Кронштадтский Курортный Московский Невский Петроградский Петродворцовый Приморский Пушкинский ФрунзенскийГород
Санкт-Петербург Бокситогорск Бугры Волосово Волхов Всеволожск Выборг Высоцк Гатчина Ивангород Каменногорск Кингисепп Кириши Кировск Колтуши Коммунар Кудрово Лодейное Поле Луга Любань Мурино Никольское Новая Ладога Отрадное Пикалёво Подпорожье Приморск Приозерск Светогорск Сертолово Сланцы Сосновый Бор Сясьстрой Тельмана Тихвин Тосно ШлиссельбургЦены
Услуги, соответствующие запросу, не найдены.
Адреса диагностических центров "Доступная Медицина"
Преимущества наших диагностических центров
Доступные цены
Приемлемые цены
на все услуги
Качественный сервис
Контроль качества
оказываемых услуг
Лучшие специалисты
Высококвалифицированные врачи
Новейшее оборудование
Современные томографы с высочайшим качеством визуализации
Близость к метро
Мы находимся в непосредственной близости от метро и остановок общественного транспорта
Наше оборудование
КТ-СПЕЦИАЛИСТЫ
Лицензии
Современные томографы с высочайшим качеством визуализации
Статьи наших врачей