Назад МРТ копчика в СПБ

4 600
/
По акции в Рыбацком
3 200
руб
Записаться на прием
4 600 руб
По акции в Рыбацком
3 200 руб
Записаться
  • Длительность выполнения 10-30 минут
  • Срок получения результата В течение дня
  • Введение контраста Нет
  • Ограничения по весу 120 кг
  • Ограничения по возрасту От 15 лет
Описание

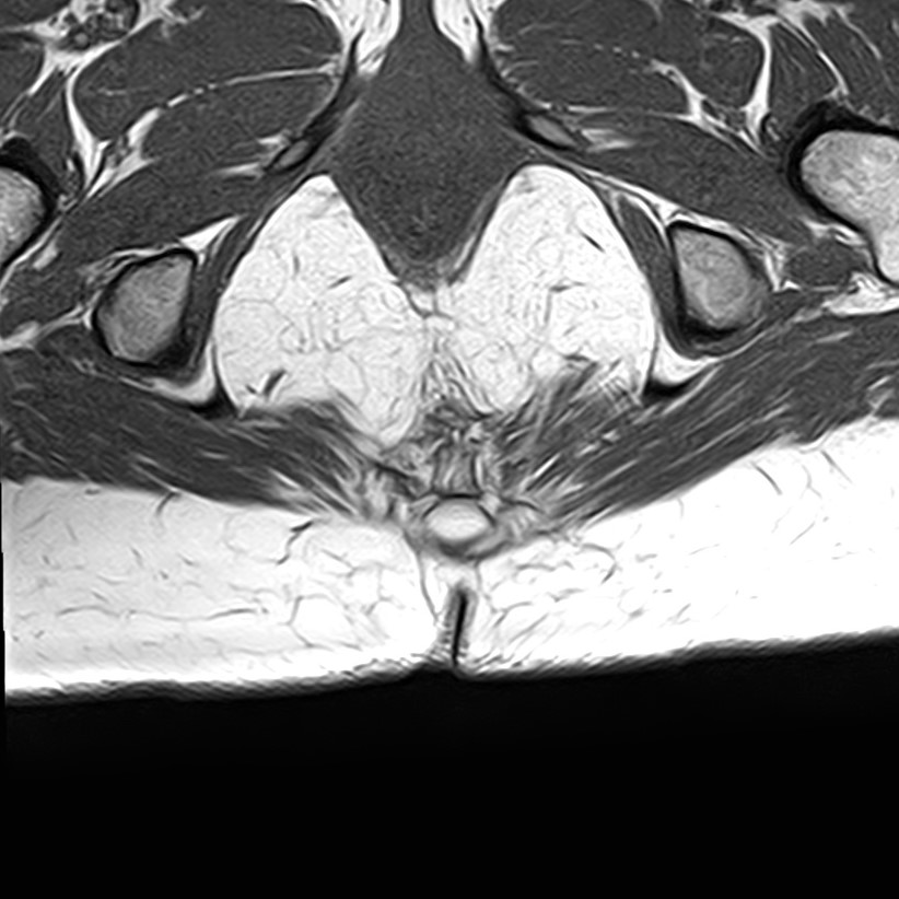
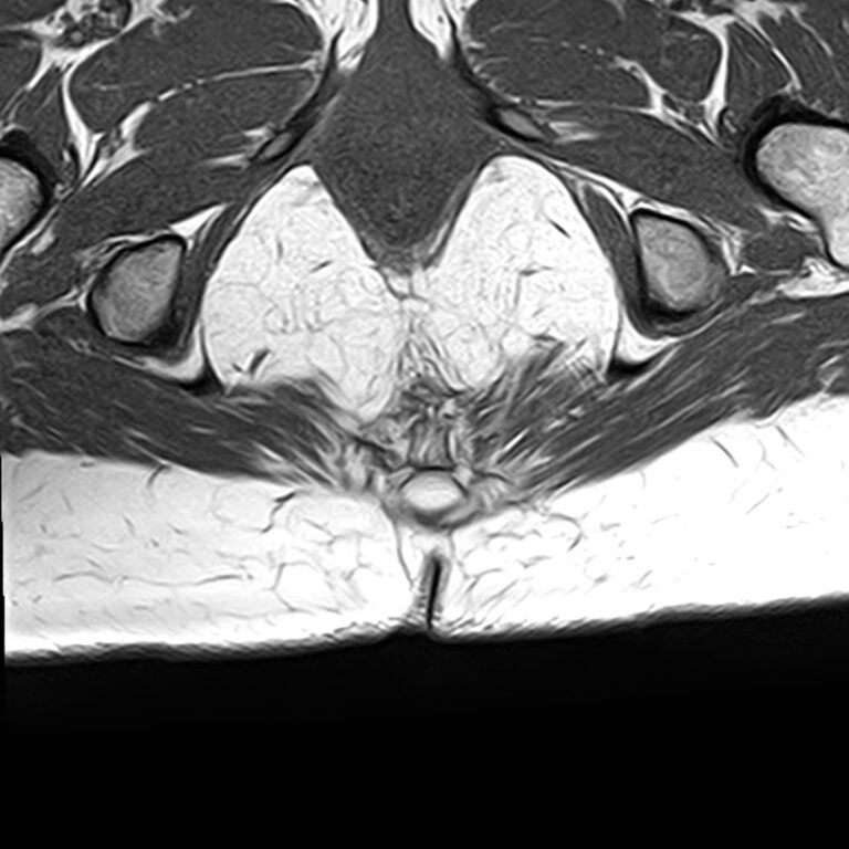
Копчик — самая нижняя часть позвоночного столба, которая состоит из 3-5 сросшихся позвонков и образующих единую копчиковую кость. Копчик является рудиментарным органом, то есть утратившим в ходе эволюции свое функциональное значение. Но несмотря на это, он имеет важное значение для человека, так как к копчику прикрепляется часть ягодичных мышц, сухожилия, связки и мышцы тазового дна. Спереди копчика располагается важное нервное сплетение, иннервирующее органы малого таза. 

Боль в области копчика, которая называется кокцигодинией, является характерным симптомом различной патологии данной анатомической области и часто сочетается с заболеваниями органов малого таза. 

Магнитно-резонансная томография копчика является высокоинформативным методом выявления причин возникновения кокцигодинии. В клинике «Доступная медицина» диагностика осуществляется на новейшем высокопольном томографе закрытого типа TOSHIBA VANTAGE TITAN 1,5 Тесла, обеспечивающем высочайшее качество изображений исследуемой зоны. 

Томограф позволяет детально визуализировать как костные структуры копчика, так и окружающие мягкие ткани данной анатомической области, включая мышцы, связки, нервные сплетение, сосуды и прилежащие органы малого таза. МРТ копчика дает возможность диагностировать патологические процессы в самом копчике и выявить их взаимосвязь с патологией окружающих структур.

Стандартная МРТ копчика, которая выполняется в большинстве случаев, не предусматривает применения контраста. Но иногда необходимо введение контрастного вещества для лучшей визуализации патологических изменений в тканях. Контраст избирательно накапливается в очаге поражения, что можно оценить визуально и в цифровом выражении. Так контрастирование помогает выявлять новообразования размером от 1 мм, что повышает шансы пациента на получение своевременного лечения и выздоровление.

В качестве контрастного вещества применяются препараты на основе солей гадолиния, которые, как правило, хорошо переносятся и выводятся из организма преимущественно почками в течение суток после введения.

Показания к проведению МРТ копчика

Свернуть/развернуть

Направление на обследование копчика с помощью томографа пациент может получить в случаях:

  • Аномалии в копчиковой области;
  • Возможное смещение, перелом;
  • Предположение на опухоль, метастазы;
  • Подозрение на синдром конского хвоста;
  • Болевой синдром;
  • Для подтверждения предыдущих исследований;
  • Для выявления динамики лечения.

    Копчик состоит из костной ткани. Она лучше «видна» с помощью лучевых методов. Магнитно-резонансная томография более чувствительна к рыхлым, насыщенным водой структурам. МРТ позволяет хорошо визуализировать мышцы, нервы, сосуды, соединительную ткань, подкожно-жировую клетчатку и дерму.

Сделать МРТ копчика рекомендуют в следующих ситуациях:

Свернуть/развернуть
  • боли в крестцовом отделе неясного генеза;
  • дисфункции органов малого таза (недержание кала мочи, бесплодие и пр.);
  • нарушения подвижности нижних конечностей;
  • пальпируемые новообразования в области копчика;
  • локальное покраснение и отек в области копчика;
  • подозрение на гнойный процесс;
  • перенесенная травма крестца и пр.

МРТ актуальна при диагностике опухолей. Исследование позволяет визуализировать новообразования и провести первичную дифференциацию доброкачественного и злокачественного процесса.

Какая нужна подготовка к исследованию

Свернуть/развернуть

При проведении стандартной МРТ копчика без контрастирования специальная подготовка не нужна. 

Необходимо принести с собой медицинскую документацию, относящуюся к зоне исследования:

  • направление от лечащего врача;
  • выписки из амбулаторных карт и стационаров;
  • результаты предыдущих исследований (МР-снимки, СD/DVD диски, снимки КТ).

Если планируется введение контраста у пациента с подозрением на почечную недостаточность, необходимо за 2 недели до исследования сдать биохимический анализ крови для контроля уровня креатинина (показатель, отражающий функцию почек).

В случае наличия каких-либо протезов или имплантатов, материал которых не препятствует проведению МРТ, необходимо предоставить справку об этом из учреждения, где они были установлены. 

Контраст вводится внутривенно через предварительно установленный в вену катетер и может сопровождаться появлением чувства теплоты во всем теле, неприятного привкуса во рту. Эти явления кратковременны и через пару минут исчезают. Введенный контраст удаляется из организма преимущественно почками в течение последующих суток. Поэтому кормящим женщинам нужно приостановить грудное кормление на 24-48 часов после исследования, при этом проводить сцеживание молока.

Перед исследованием необходимо снять одежду с металлической фурнитурой. Также необходимо убрать пирсинг, другие украшения, часы, из карманов выложить мобильные телефоны, пластиковые карты, любые электронные устройства, гаджеты или предметы, которые могут содержать металл. 

Во время сканирования пациент лежит внутри туннеля томографа, при этом нельзя двигаться, иначе можно получить нечеткость изображений исследуемой области. Томограф во время работы издает громкий шум, поэтому для уменьшения этого дискомфорта можно воспользоваться берушами или наушниками.

Врач и рентгенолаборант находятся в смежном помещении, между которыми имеется стеклянная перегородка. Для вызова персонала служит сигнальное устройство в виде груши, которое во время исследования находится в руке пациента.

Некоторые пациенты могут испытывать волнение, поэтому разрешается присутствие сопровождающего в диагностическом кабинете во время исследования.

Какие могут быть противопоказания для МРТ копчика

Свернуть/развернуть
  • Противопоказанием является наличие в теле пациента ферромагнитных (то есть способных намагничиваться) металлических предметов медицинского назначения. Это могут быть спицы, винты, штифты, пластины, сосудистые скобы, клипсы, стенты, протезы. При этом некоторые медицинские изделия изготавливаются из материалов, которые позволяют проводить МРТ, также имеет значение, на каком расстоянии они расположены от исследуемой области. В каждом конкретном случае врачом принимается решение о возможности проведения МРТ.
  • Противопоказанием для проведения МРТ также являются любые инородные металлические предметы, находящиеся в теле пациента (осколки, пули, кусочки металлической стружки, неснимаемый пирсинг).
  • Наличие имплантированных электронных устройств, работа которых может нарушиться под влиянием магнитного поля томографа (кардиостимуляторы, водители ритма, кохлеарные имплантаты, инсулиновые помпы и др).
  • Стандартную МРТ без контрастирования не рекомендуется проводить беременным женщинам в первом триместре из-за риска воздействия на формирующиеся органы плода. 
  • МРТ с контрастированием противопоказано при беременности на любом сроке.
  • Аллергические реакции на контрастное вещество является противопоказанием для введения контраста (если планируется контрастное усиление).
  • Противопоказано введение контраста при хронической почечной недостаточности. 
  • Невозможно выполнить МРТ копчика пациентам с массой тела более 120 кг (ограничение по массе тела связано с конструктивными особенностями томографа).

Если у вас имеются противопоказания к МРТ, в клинике «Доступная медицина» можно выполнить КТ копчика на современном компьютерном томографе экспертного уровня с пониженным уровнем лучевой нагрузки.

Запишитесь на МРТ копчика по удобному адресу

Записаться
Фильтр по услугам МРТ позвоночника

Введение контраста

С контрастом Без контраста

Станция метро

Площадь Восстания Нарвская Проспект Просвещения Рыбацкое Девяткино Гражданский проспект Академическая Политехническая Площадь Мужества Лесная Выборгская Площадь Ленина Чернышевская Владимирская Пушкинская Технологический институт Балтийская Кировский завод Автово Ленинский проспект Проспект Ветеранов Парнас Озерки Удельная Пионерская Чёрная речка Петроградская Горьковская Невский проспект Сенная площадь Фрунзенская Московские ворота Электросила Парк Победы Московская Звёздная Купчино Беговая Зенит Приморская Василеостровская Гостиный двор Маяковская Площадь Александра Невского Елизаровская Ломоносовская Пролетарская Обухово Спасская Достоевская Лиговский проспект Площадь Александра Невского Новочеркасская Ладожская Проспект Большевиков Улица Дыбенко Комендантский проспект Старая Деревня Крестовский остров Чкаловская Спортивная Адмиралтейская Садовая Звенигородская Обводный канал Волковская Бухарестская Международная Проспект Славы Дунайская Шушары Богатырская Каменка Театральная Горный институт Путиловская Юго-Западная Кудрово Шуваловский проспект Каретная Боровая Заставская Броневая

Возраст пациента

Взрослому Ребенку от 15 лет

Пол пациента

Мужчине Женщине

Тип аппарата

Открытый Закрытый

Мощность МРТ

1.5 Тл 3 Тесла

Программы страхования

ДМС Платно ОМС

Цены

Услуги, соответствующие запросу, не найдены.

Комплексная МРТ позвоночника – 3 отдела
руб
10 600 / 9 200 руб
Подробнее
МРТ центральной нервной системы (ЦНС) (головной мозг + 3 отдела позвоночника)
руб
13 400 / 12 200 руб
Подробнее
МРТ шейного отдела и головного мозга
руб
7 600 / 6 200 руб
Подробнее
МРТ крестцово-подвздошных сочленений
руб
4 600 / 3 200 руб
Подробнее
МРТ грудного отдела позвоночника
руб
4 600 / 3 200 руб
Подробнее
МРТ пояснично-крестцового отдела позвоночника
руб
4 600 / 3 200 руб
Подробнее
МРТ шейного отдела позвоночника
руб
4 600 / 3 200 руб
Подробнее
МРТ копчика
руб
4 600 / 3 200 руб
Подробнее
МРТ краниовертебрального перехода
руб
4 600 / 3 200 руб
Подробнее
МРТ одного отдела позвоночника
руб
4 600 / 3 200 руб
Подробнее
МРТ двух отделов позвоночника
руб
7 600 / 6 200 руб
Подробнее
МРТ пояснично-крестцового отдела + копчик
руб
7 600 / 6 200 руб
Подробнее
МРТ грудного и поясничного отдела
руб
7 600 / 6 200 руб
Подробнее
МРТ грудного отдела позвоночника (в режиме металлоподавления в зоне сканирования)
руб
9 000 руб
МРТ шейного отдела позвоночника (в режиме металлоподавления в зоне сканирования)
руб
9 000 руб
МРТ пояснично-крестцового отдела (в режиме металлоподавления в зоне сканирования)
руб
9 000 руб
МРТ двух отделов позвоночника (в режиме металлоподавления в зоне сканирования)
руб
15 000 руб
МРТ всего позвоночника - 3 отдела (в режиме металлоподавления в зоне сканирования)
руб
21 000 руб

Адреса диагностических центров "Доступная Медицина"

Преимущества наших диагностических центров

Доступные цены

Приемлемые цены
на все услуги

Качественный сервис

Контроль качества
оказываемых услуг

Лучшие специалисты

Высококвалифицированные врачи

Новейшее оборудование

Современные томографы с высочайшим качеством визуализации

Близость к метро

Мы находимся в непосредственной близости от метро и остановок общественного транспорта

Лицензии

Современные томографы с высочайшим качеством визуализации

Назад
Вперед
Ключникова Екатерина Игоревна
Информация проверена главным врачом клиники Domedica24
Ключникова Екатерина Игоревна
Стаж более 8 лет, главный врач, врач-рентгенолог 1 категории
Площадь Стачек, 9">
ул. 1-я Советская, 8">