Назад КТ сосудов головного мозга в СПБ

Цена:
6 400 руб
Записаться
  • Введение контраста Да/нет
  • Длительность выполнения 20 минут
  • Ограничения по весу 120 кг
  • Ограничения по возрасту От 15 лет
  • Срок получения результата В течение 24 часов
Описание

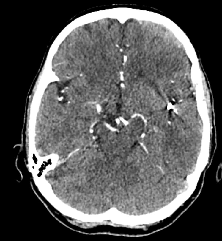
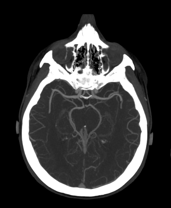
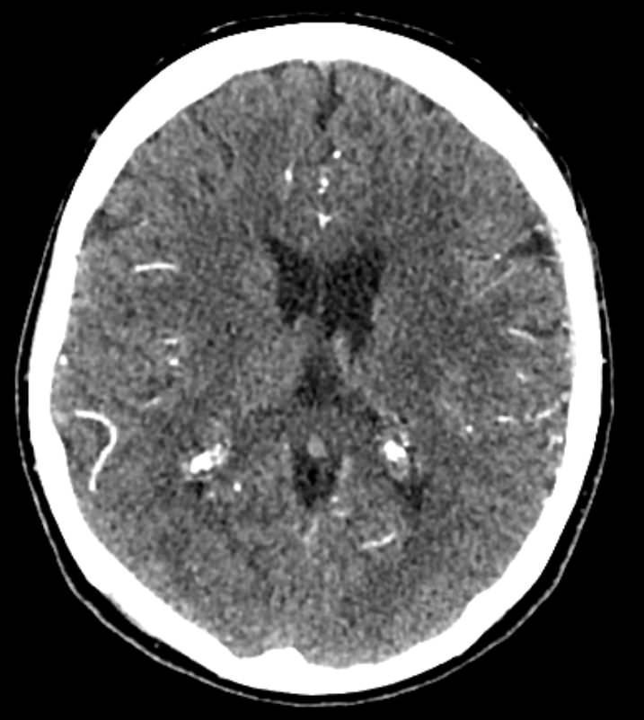
Мультиспиральная компьютерная томография сосудов головного мозга (КТ-ангиография) относится к лучевым методам исследования и применяется для оценки состояния сосудистого русла головного мозга. КТ-ангиография основана на применении рентгеновского излучения, при этом обязательно проводится контрастирование сосудов головного мозга. 

Процедура заключается в том, что трубка томографа вращается вокруг анатомической зоны исследования и с помощью рентгеновских лучей делает послойные снимки, которые затем реконструируются в трехмерные изображения сосудистой системы в мельчайших подробностях. При этом по сравнению с классической ангиографией компьютерная томография не требует вмешательства в организм пациента и проводится в амбулаторных условиях. 

Высокая диагностическая информативность КТ-ангиографии в сочетании с быстротой и неинвазивностью делают эту процедуру безопасной и эффективной методикой обследования сосудов головного мозга у пациентов с неврологической симптоматикой. Но особенную ценность КТ сосудов головного мозга имеет в плане скринингового обследования. Это позволяет выявлять аневризмы (расширение стенки артерии), патологическую извитость, аномалии развитии (артериовенозные мальформации), сужения просвета сосудов за счет атеросклеротических бляшек или экстравазальной, например вертеброгенной, компрессии и другие серьезные заболевания, которые долгое время могут протекать бессимптомно.

КТ-ангиография головного мозга в нашей клинике проводится на современных мультиспиральных компьютерных томографах последнего поколения TOSHIBA AQUILION. Благодаря инновационным компьютерным программам получаются детализированные снимки высокого качества и 3D-модели сосудистой системы головного мозга. При этом аппараты обеспечивают пониженный уровень лучевой нагрузки на организм пациента. 

Для лучшей визуализации сосудов в обязательном порядке в вену пациента вводится йодсодержащий контрастный препарат. Контрастное вещество поглощает рентгеновские лучи, поэтому даже мелкие сосуды становятся хорошо видны на фоне окружающих тканей. 

Наряду с КТ-ангиографией также проводится МР-ангиография головного мозга, которая обеспечивает высокую информативность и достоверность диагностики патологии сосудов головного мозга. Какое исследование предпочтительнее, в каждом конкретном случае решает лечащий врач. Это зависит от целей обследования, показаний, наличия противопоказаний, результатов предыдущих исследований. При необходимости в нашей клинике МР-ангиографию головного мозга можно пройти на новейшем высокопольном 32-канальном магнитно-резонансном томографе экспертного класса, обеспечивающем высокое качество диагностики.

Показания для КТ ангиографии головного мозга

Свернуть/развернуть
  • наличие головных болей непонятного происхождения;
  • оценка атеросклеротического поражения сосудов с целью выявления риска инсульта;
  • системные и церебральные васкулиты;
  • риск возникновения кровоизлияния;
  • для оценки состояния больного после оперативного вмешательства;
  • наличие злокачественных и доброкачественных новообразований головного мозга;
  • любые аномалии развития сосудов.
  • аномалии развития и воспалительные процессы
  • синдром сдавливания сосудов при опухолях
  • прорастание в сосуды злокачественных новообразований
  • головокружения и шум в ушах, причины которых не установлены;
  • аномалии развития костных структур головы;
  • травмы головы;
  • выявление расширения сосудов (аневризм);
  • признаки недостаточности мозгового кровообращения
  • воспалительные заболевания (абсцессы)
  • артериальный  и венозный тромбозы.

Подготовка к КТ сосудов головного мозга

Свернуть/развернуть

Специальная подготовка к КТ-ангиографии сосудов головного мозга не нужна. 

Важно принести с собой все документы, касающиеся зоны исследования. В перечень документов входит:

  • Направление лечащего врача;
  • Выписка из истории болезни или амбулаторной карты;
  • Рентгеновские снимки ангиографии сосудов головного мозга, CD/DVD диски предыдущих КТ и МРТ исследований головного мозга, КТ-ангиографии, МР-ангиографии сосудов головного мозга;
  • Заключения специалистов.

Для проведения КТ-ангиографии требуется введение контрастного вещества, поэтому необходимо оценить функциональную способность почек (контраст выводится из организма преимущественно почками и может оказывать негативное влияние на почки). Для этого нужно сдать анализ крови на уровень креатинина (показатель, отражающий функцию почек). При выраженной почечной недостаточности введение контраста противопоказано. Анализ действителен не более 2 недель с момента забора крови.

Пациентам, принимающим по поводу сахарного диабета Метформин (Глюкофаж) или другие метформинсодержащие препараты, необходимо прекратить прием данного препарата за 48 часов до исследования с контрастированием и на 48 часов после введения контраста. По поводу временной отмены данных препаратов нужно посоветоваться с эндокринологом.

Контрастный препарат вводится внутривенно с помощью автоматического шприца (инжектора). Инжектор подключается к предварительно установленному в локтевую вену венозному катетеру. При введении контраста можно почувствовать теплоту во всем теле и неприятный привкус во рту, но эти дискомфортные ощущения проходят через 1-2 минуты.

Если требуется выполнить КТ-ангиографию сосудов головного мозга кормящей женщине, то мы рекомендуем таким пациенткам на 24-48 часов после процедуры с введением контраста прервать грудное вскармливание, предварительно сделав запас грудного молока. При этом молоко нужно сцеживать из груди и выливать.

Пациент во время процедуры исследования располагается лежа на специальном столе, который двигается в раме томографа. По сравнению с МРТ отверстие томографа широкое, вокруг пространство полностью открытое и свободное. 

Врач находится в соседнем помещении, наблюдает за пациентом через окно, общение происходит через переговорное устройство, вмонтированное в аппарат. Пациент при необходимости может вызвать медицинский персонал, нажав на специальную сигнальную кнопку.

Какие есть противопоказания для проведения КТ сосудов головного мозга

Свернуть/развернуть

КТ не рекомендуется выполнять беременным женщинам из-за вредного воздействия на плод рентгеновского излучения. Поэтому мы просим женщин обязательно сообщить врачу о наличии у них возможной беременности. 

Кроме того, в наших диагностических центрах технически невозможно выполнить КТ-ангиографию пациентам с массой тела, превышающей 120 кг, так как подвижная часть томографа имеет ограничения по весу. 

Противопоказания для введения контрастного препарата:

  • аллергическая реакция на йодсодержащий контрастный препарат в анамнезе; 
  • заболевания почек с выраженным снижением их функции;
  • застойная сердечная недостаточность;
  • заболевания щитовидной железы с явлениями гипертиреоза и тиреотоксикоза;
  • тяжелое течение бронхиальной астмы;
  • декомпенсированный сахарный диабет.

Что показывает КТ ангиография сосудов головного мозга

Свернуть/развернуть
  • аневризмы (выпячивания) артерий
  • врожденные аномалии (мальформации)
  • вариант строения Виллизиева круга
  • атеросклероз
  • тромбоз, эмболия
  • сужение просвета, перегибы, петлеобразование
  • вовлечение артерий в опухолевый процесс
  • кровотечения;
  • ишемический инсульт с наличием неовазогенеза
  • геморрагический инсульт (кровоизлияние);
  • перелом основания черепа;
  • гематомы и травмы;
  • воспалительные процессы (энцефалит, абсцесс);
  • патологии развития тканей;
  • наличие инородных тел в исследуемой области;
  • новообразования головы.

Запишитесь на КТ сосудов головного мозга по удобному адресу

Записаться
Фильтр по услугам КТ сосудов

Введение контраста

С контрастом Без контраста

Станция метро

Площадь Восстания Проспект Просвещения Нарвская Рыбацкое Девяткино Гражданский проспект Академическая Политехническая Площадь Мужества Лесная Выборгская Площадь Ленина Чернышевская Владимирская Пушкинская Технологический институт Балтийская Кировский завод Автово Ленинский проспект Проспект Ветеранов Парнас Озерки Удельная Пионерская Чёрная речка Петроградская Горьковская Невский проспект Сенная площадь Фрунзенская Московские ворота Электросила Парк Победы Московская Звёздная Купчино Беговая Зенит Приморская Василеостровская Гостиный двор Маяковская Площадь Александра Невского Елизаровская Ломоносовская Пролетарская Обухово Спасская Достоевская Лиговский проспект Площадь Александра Невского Новочеркасская Ладожская Проспект Большевиков Улица Дыбенко Комендантский проспект Старая Деревня Крестовский остров Чкаловская Спортивная Адмиралтейская Садовая Звенигородская Обводный канал Волковская Бухарестская Международная Проспект Славы Дунайская Шушары Богатырская Каменка Театральная Горный институт Путиловская Юго-Западная Кудрово Шуваловский проспект Каретная Боровая Заставская Броневая

Возраст пациента

Взрослому Ребенку от 15 лет

Пол пациента

Мужчине Женщине

Программы страхования

ДМС Платно ОМС

Цены

Услуги, соответствующие запросу, не найдены.

КТ сосудов головного мозга
руб
6 400 руб
КТ сосудов шеи
руб
6 400 руб
КТ сосудов шеи и головного мозга (брахиоцефальных артерий)
руб
9 100 руб
КТ грудного отдела аорты и ее ветвей
руб
9 500 руб
КТ коронарных артерий (коронарография)
руб
9 500 руб
КТ легочной артерии и ее ветвей
руб
10 600 руб
КТ брюшного отдела аорты и ее ветвей
руб
9 500 руб
КТ нижней полой вены
руб
8 600 руб
КТ чревного ствола с функциональными пробами на вдохе и выдохе
руб
7 600 руб
КТ воротной вены
руб
6 400 руб
КТ сосудов почек
руб
10 600 руб
КТ сосудов малого таза
руб
6 400 руб
КТ брюшного отдела аорты и сосудов (артерий) нижних конечностей
руб
13 500 руб
КТ сосудов верхних конечностей (1 рука)
руб
6 400 руб
КТ сосудов (артерий) нижних конечностей (2 ноги)
руб
От 7 500 руб
от бифуркации аорты до коленного сустава
руб
7 500 руб
от бифуркации аорты до стопы
руб
9 500 руб

Адреса диагностических центров "Доступная Медицина"

Преимущества наших диагностических центров

Доступные цены

Приемлемые цены
на все услуги

Качественный сервис

Контроль качества
оказываемых услуг

Лучшие специалисты

Высококвалифицированные врачи

Новейшее оборудование

Современные томографы с высочайшим качеством визуализации

Близость к метро

Мы находимся в непосредственной близости от метро и остановок общественного транспорта

Лицензии

Современные томографы с высочайшим качеством визуализации

Назад
Вперед
Ключникова Екатерина Игоревна
Информация проверена главным врачом клиники Domedica24
Ключникова Екатерина Игоревна
Стаж более 8 лет, главный врач, врач-рентгенолог 1 категории
Площадь Стачек, 9">
ул. 1-я Советская, 8">