Назад КТ чревного ствола с функциональными пробами на вдохе и выдохе

Цена:
7 600 руб
Записаться
  • Срок получения результата В течение 24 часов
Описание

Чревный ствол – это крупный короткий сосуд, который отходит от брюшной части аорты и кровоснабжает часть органов брюшной полости: желудок, поджелудочной железу, 12-перстную кишку, печень и селезенку. При патологии чревного ствола и других висцеральных ветвей аорты возникает хроническая абдоминальная ишемия – заболевание, которое развивается на фоне сужения просвета чревного ствола и является причиной появления хронических болей в животе, нарушения функции органов пищеварения, прогрессирующего похудения.

Причинами развития стеноза чревного ствола чаще всего становится атеросклероз. При этом атеросклеротическая бляшка постепенно закрывает просвет сосуда, тем самым нарушая кровообращение органов пищеварения. Сужение просвета чревного ствола также может развиться на фоне неспецифического аортоартериита, аномалий развития висцеральных ветвей аорты, при сдавлении чревного ствола извне ножками диафрагмы, серповидной связкой печени, волокнами солнечного сплетения, опухолями близлежащих органов.

При возникновении подозрения на стеноз чревного ствола за счет экстравазальной компрессии при синдроме Данбара исследование проводится с функциональными пробами, на вдохе и на выдохе для уточнения зависимости степени сужения от фазы дыхания. При выполнении функциональных проб также возможно определить сдавление правой почечной артерии или левой почечной вены.

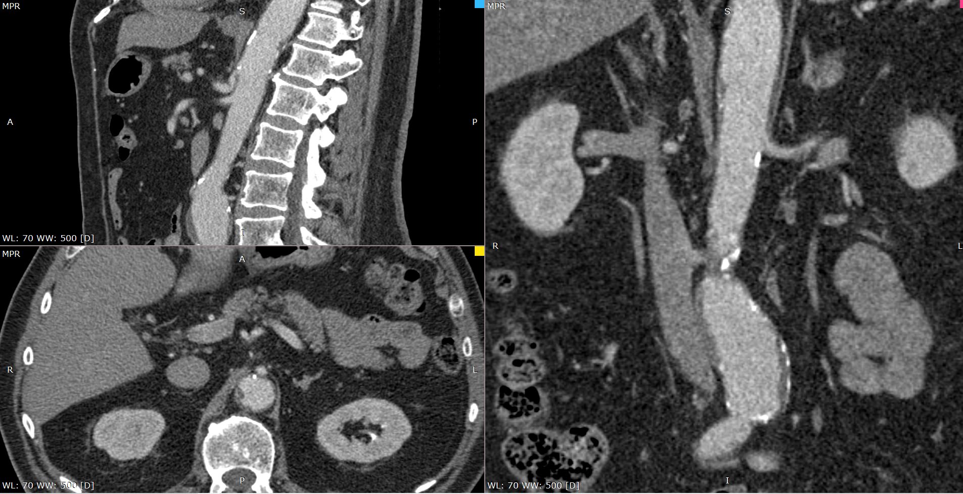
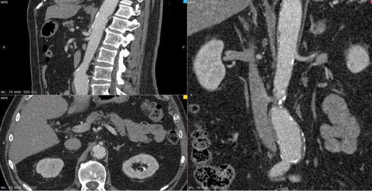
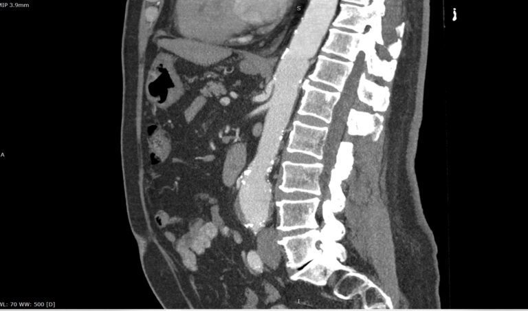
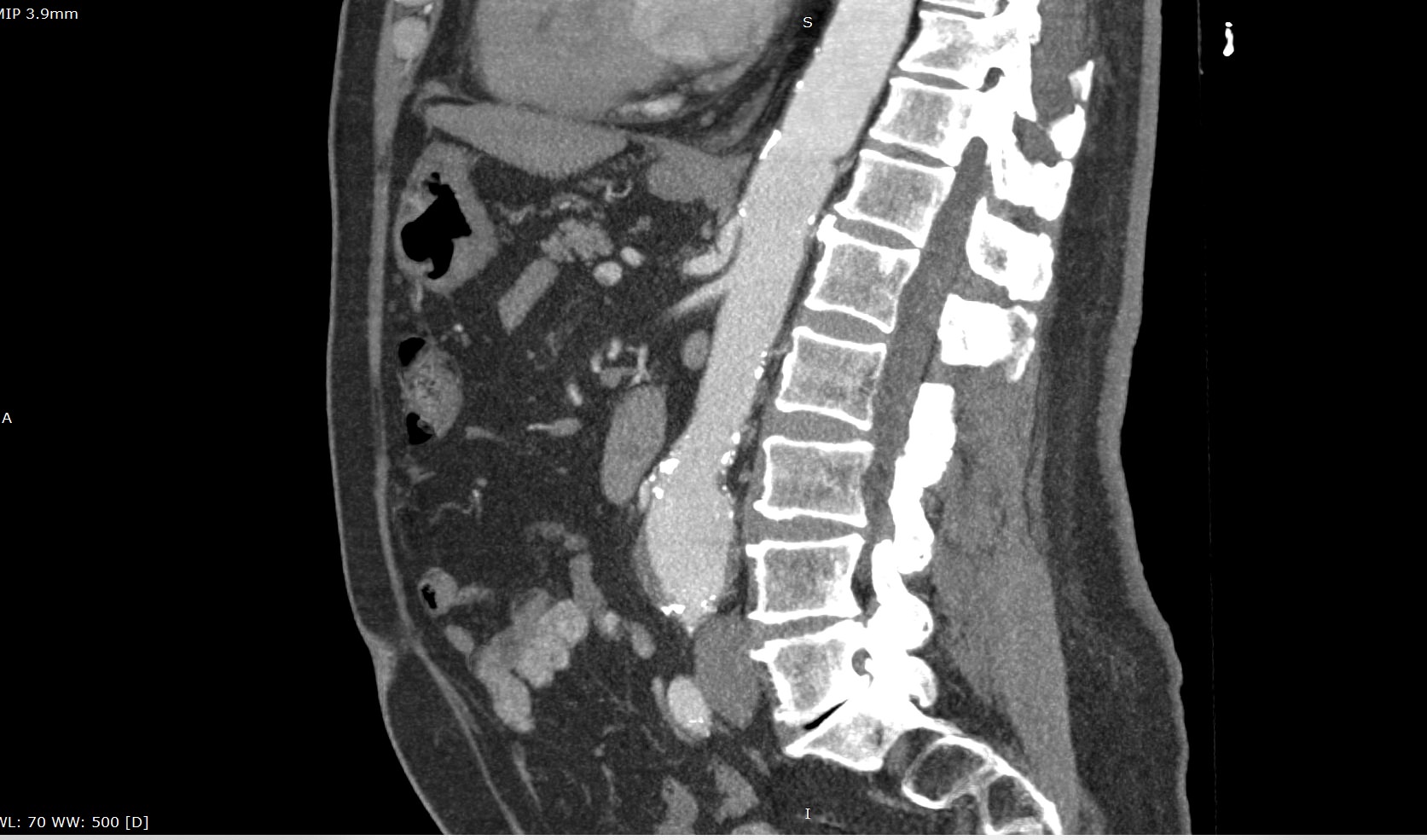
Мультиспиральная компьютерная томография с внутривенным болюсным контрастированием является быстрым, безопасным и неинвазивным (то есть не требующий вмешательства в организм пациента) способом диагностики патологии чревного ствола. Метод основан на использовании ионизирующего излучения и способности тканей поглощать рентгеновские лучи.

В диагностических центрах «Доступная медицина» КТ чревного ствола выполняется на современных мультиспиральных компьютерных томографах экспертного класса TOSHIBA AQUILION. Аппараты послойно сканируют исследуемую область с шагом от 0,5 мм, при этом для улучшения визуализации сосудистого русла в вену пациента вводится йодсодержащий контрастный препарат. 

Контраст хорошо поглощает рентгеновские лучи, что обеспечивает высокую контрастность изображений брюшной аорты и висцеральных ветвей на снимках. С помощью инновационных цифровых приложений данные, полученные при сканировании, реконструируются в трехмерные изображения сосудистой системы. Методика обеспечивает точную и достоверную диагностику стенозов чревного ствола, при этом современные технологии, применяемые при сканировании, сводят к минимуму лучевую нагрузку на пациента.

Когда назначается КТ чревного ствола?

Свернуть/развернуть

Поводом для назначения мультиспиральной компьютерной томографии чревного ствола являются:

  • Подозрение на хроническую абдоминальную ишемию с признаками нарушения кровоснабжения органов пищеварительной системы;
  • Уточнение результатов, полученных при других исследованиях (УЗИ брюшной полости, рентгенография, эндоскопические исследования)
  • Подготовка к оперативному вмешательству и оценка эффективности проведенной операции.

Что покажет КТ чревного ствола?

Свернуть/развернуть

На снимках мультиспиральной компьютерной томографии с контрастированием хорошо визуализируется брюшная часть аорты, чревный ствол, брыжеечные артерии. При этом можно выявить признаки поражения висцеральных ветвей аорты, то есть сужение просвета сосудов за счет: 

  • формирования атеросклеротической бляшки;
  • утолщения сосудистой стенки воспалительного характера; 
  • сдавления чревного ствола извне нейрофиброзной тканью чревного сплетения, связками печени, ножками диафрагмы, опухолями близлежащих органов брюшной полости.

Подготовка к КТ чревного ствола

Свернуть/развернуть

Компьютерная томография является быстрой безболезненной процедурой. Специальная подготовка к исследованию не нужна.

Мы рекомендуем принести с собой все документы, которые касаются области исследования:

  • Направление лечащего врача;
  • Выписка из истории болезни или амбулаторной карты;
  • Рентгеновские снимки, CD/DVD диски предыдущих КТ или МРТ исследований брюшной полости, брюшной аорты, чревного ствола;
  • Заключения специалистов.

Введение контрастного вещества требует оценки выделительной функции почек. Для этого необходимо предоставить результат анализа крови на уровень креатинина (показатель, отражающий функцию почек). Анализ нужно сдать в течение 2-х недель до даты исследования. 

Пациентам, принимающим по поводу сахарного диабета Метформин (Глюкофаж) или другие метформинсодержащие препараты, необходимо, по согласованию с эндокринологом, прекратить прием данного препарата за 48 часов до исследования с контрастированием и на 48 часов после введения контраста.

Контрастный препарат вводится внутривенно через предварительно установленный в локтевую вену венозный катетер. Введение контраста осуществляется с помощью автоматического шприца (инжектора). При поступлении контраста в кровь можно почувствовать теплоту и неприятный привкус во рту, но эти ощущения кратковременны и проходят через 1-2 минуты.

При проведении мультиспиральной КТ с внутривенным болюсным контрастированием кормящим женщинам, необходимо на 24-48 часов после процедуры с введением контраста прервать грудное вскармливание, предварительно сделав запас грудного молока, при этом молоко сцеживать и выливать.

Пациент располагается лежа на специальном столе, который двигается в раме томографа. По сравнению с МРТ отверстие томографа широкое, вокруг пространство полностью открытое и свободное. 

Врач находится в соседнем помещении, наблюдает за пациентом через окно. Общение с врачом происходит через переговорное устройство, вмонтированное в аппарат.

Противопоказания для проведения КТ чревного ствола

Свернуть/развернуть

Компьютерную томографию не рекомендуется выполнять беременным женщинам в течение всего срока беременности из-за вредного воздействия на плод рентгеновского излучения. 

Также технически невозможно выполнить КТ чревного ствола при массе тела пациента, превышающей 120 кг, так как подвижная часть томографов, установленных в наших центрах, не рассчитана на такой вес. 

Также имеются противопоказания для введения контрастного препарата. К ним относятся:

  • аллергическая реакция на йодсодержащий контрастный препарат в анамнезе; 
  • заболевания почек с резким снижением их функции;
  • застойная сердечная недостаточность;
  • заболевания щитовидной железы с признаками гипертиреоза и тиреотоксикоза;
  • тяжелое течение бронхиальной астмы;
  • декомпенсированный сахарный диабет.

Запишитесь на КТ чревного ствола с функциональными пробами на вдохе и выдохе по удобному адресу

Записаться
Фильтр по услугам КТ сосудов

Введение контраста

С контрастом Без контраста

Станция метро

Площадь Восстания Проспект Просвещения Нарвская Рыбацкое Девяткино Гражданский проспект Академическая Политехническая Площадь Мужества Лесная Выборгская Площадь Ленина Чернышевская Владимирская Пушкинская Технологический институт Балтийская Кировский завод Автово Ленинский проспект Проспект Ветеранов Парнас Озерки Удельная Пионерская Чёрная речка Петроградская Горьковская Невский проспект Сенная площадь Фрунзенская Московские ворота Электросила Парк Победы Московская Звёздная Купчино Беговая Зенит Приморская Василеостровская Гостиный двор Маяковская Площадь Александра Невского Елизаровская Ломоносовская Пролетарская Обухово Спасская Достоевская Лиговский проспект Площадь Александра Невского Новочеркасская Ладожская Проспект Большевиков Улица Дыбенко Комендантский проспект Старая Деревня Крестовский остров Чкаловская Спортивная Адмиралтейская Садовая Звенигородская Обводный канал Волковская Бухарестская Международная Проспект Славы Дунайская Шушары Богатырская Каменка Театральная Горный институт Путиловская Юго-Западная Кудрово Шуваловский проспект Каретная Боровая Заставская Броневая

Возраст пациента

Взрослому Ребенку от 15 лет

Пол пациента

Мужчине Женщине

Программы страхования

ДМС Платно ОМС

Цены

Услуги, соответствующие запросу, не найдены.

КТ сосудов головного мозга
руб
6 400 руб
КТ сосудов шеи
руб
6 400 руб
КТ сосудов шеи и головного мозга (брахиоцефальных артерий)
руб
9 100 руб
КТ грудного отдела аорты и ее ветвей
руб
9 500 руб
КТ коронарных артерий (коронарография)
руб
9 500 руб
КТ легочной артерии и ее ветвей
руб
10 600 руб
КТ брюшного отдела аорты и ее ветвей
руб
9 500 руб
КТ нижней полой вены
руб
8 600 руб
КТ чревного ствола с функциональными пробами на вдохе и выдохе
руб
7 600 руб
КТ воротной вены
руб
6 400 руб
КТ сосудов почек
руб
10 600 руб
КТ сосудов малого таза
руб
6 400 руб
КТ брюшного отдела аорты и сосудов (артерий) нижних конечностей
руб
13 500 руб
КТ сосудов верхних конечностей (1 рука)
руб
6 400 руб
КТ сосудов (артерий) нижних конечностей (2 ноги)
руб
От 7 500 руб
от бифуркации аорты до коленного сустава
руб
7 500 руб
от бифуркации аорты до стопы
руб
9 500 руб

Адреса диагностических центров "Доступная Медицина"

Преимущества наших диагностических центров

Доступные цены

Приемлемые цены
на все услуги

Качественный сервис

Контроль качества
оказываемых услуг

Лучшие специалисты

Высококвалифицированные врачи

Новейшее оборудование

Современные томографы с высочайшим качеством визуализации

Близость к метро

Мы находимся в непосредственной близости от метро и остановок общественного транспорта

Лицензии

Современные томографы с высочайшим качеством визуализации

Назад
Вперед
Ключникова Екатерина Игоревна
Информация проверена главным врачом клиники Domedica24
Ключникова Екатерина Игоревна
Стаж более 8 лет, главный врач, врач-рентгенолог 1 категории
Площадь Стачек, 9">
ул. 1-я Советская, 8">