Назад МРТ головного мозга и МР-венография головного мозга в СПБ

7 600
/
По акции в Рыбацком
6 200
руб
Записаться на прием
7 600 руб
По акции в Рыбацком
6 200 руб
Записаться
  • Введение контраста Нет
  • Длительность выполнения 20 минут
  • Ограничения по весу 120 кг
  • Ограничения по возрасту от 15 лет
  • Срок получения результата В течение дня
Воспроизвести
Описание

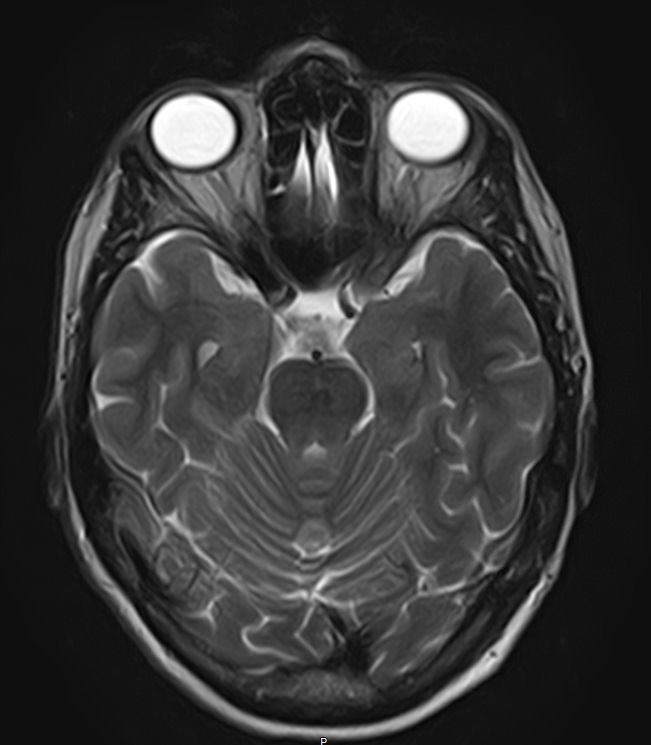
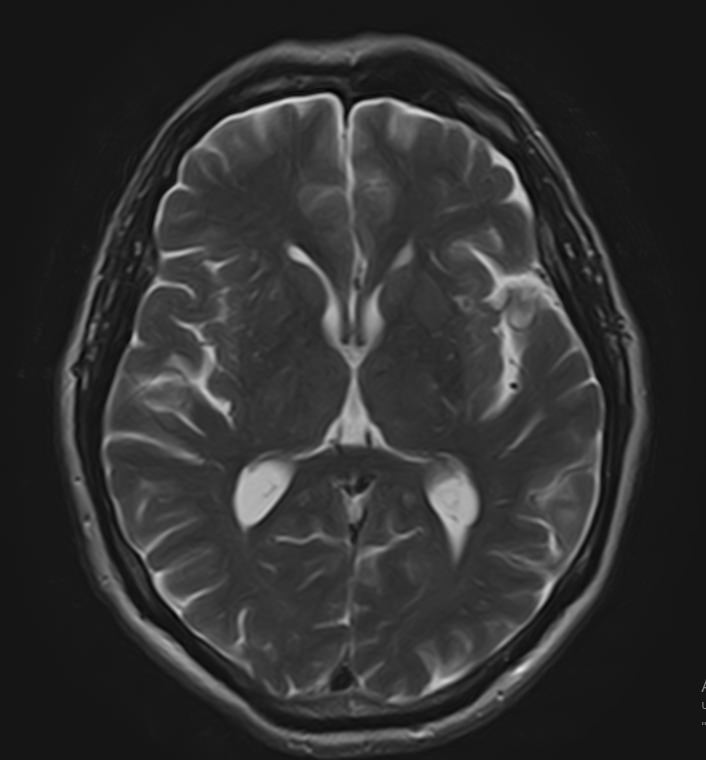
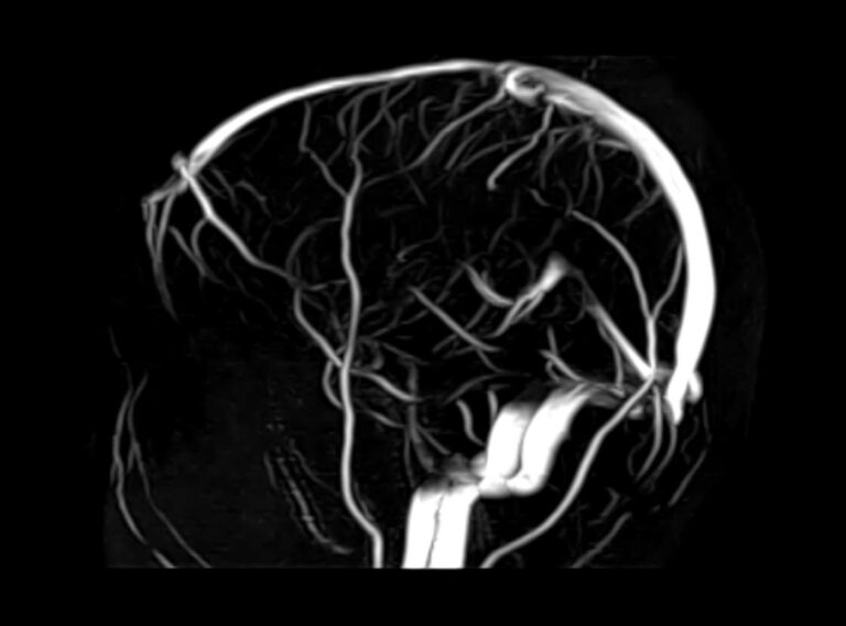
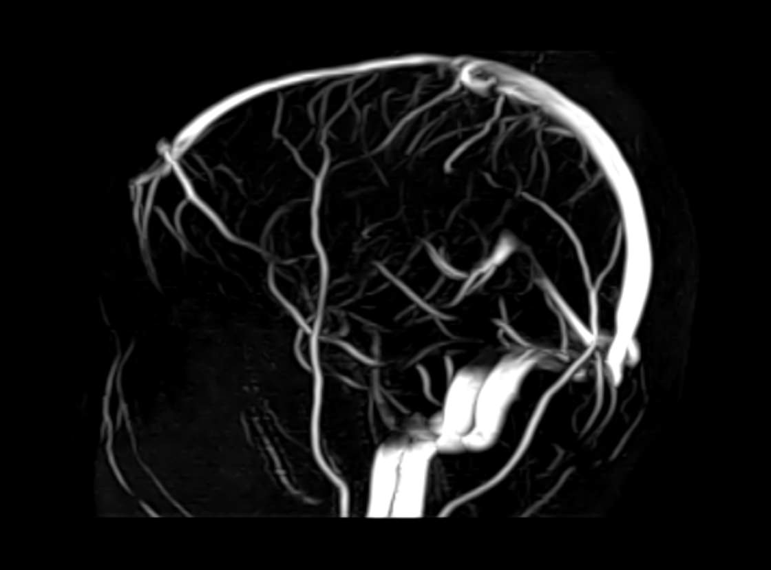
МРТ головного мозга является высокоинформативным методом исследования центральной нервной системы, который дает возможность оценить состояние всех структур головного мозга и поставить правильный диагноз. Стандартную МРТ головного мозга дополняет МР-венография, которая позволяет получить детальную картину строения и функционального состояния венозной системы мозга.

В клинике «Доступная медицина» проводится МРТ головного мозга и МР-венография головного мозга на современном аппарате TOSHIBA VANTAGE TITAN 1,5 Тесла, который обладает высокой чувствительностью и соответствует всем мировым стандартам качества диагностики. Напряженность магнитного поля 1,5 Тесла обеспечивает высокую четкость изображения и позволяет выявлять заболевания на ранних стадиях развития. Процедура МРТ безопасна, так как томограф не испускает рентгеновского излучения, полностью безболезненна и имеет доступную стоимость.

Когда показано проведение МРТ головного мозга и МР-венография головного мозга

Свернуть/развернуть
  • частые головные боли, изменение характера и частоты возникновения головных болей;
  • головокружение, шум в ушах, нарушения координации;
  • выраженное ухудшение памяти, снижение внимания, расстройства психики;
  • эпизоды потери сознания, обмороки, эпилептические припадки;
  • онемение и слабость в конечностях;
  • нарушения речи, выраженное снижение слуха, зрения;
  • подозрение на развитие опухоли;
  • травмы головы;
  • нейродегенеративные заболевания, рассеянный склероз;
  • аномалии развития, подозрение на аневризму, тромбозы сосудов головного мозга.

Что показывает МРТ головного мозга и МР-венография головного мозга

Свернуть/развернуть

В рамках проведения МРТ головного мозга и МР-венографии можно выявить:

  • очаги ишемического и геморрагического инсульта, область поражения, признаки отека головного мозга, стадию развития заболевания;
  • доброкачественные и злокачественные новообразования, их точную локализацию, стадию развития процесса, проводить динамическое наблюдение за опухолевым процессом на фоне лечения;
  • признаки демиелинизирующих заболеваний (рассеянный склероз), выявить очаги поражения миелиновой оболочки нервных волокон, определить стадию заболевания;
  • характерные признаки дегенеративных заболеваний головного мозга (болезнь Альцгеймера, старческая деменция, болезнь Паркинсона), определить изменения коры головного мозга и подкорковых структур;
  • поражение структур головного мозга на фоне травм, гематомы головного мозга;
  • изменения, характерные для психических расстройств различного генеза (эндогенных и экзогенных), после вирусных инфекций, черепно-мозговых травм, отравлений токсическими веществами, на фоне наследственных заболеваний;
  • участки сужения, извитость, образование петель и перегибов сосудов;
  • нарушения оттока крови за счет тромбообразования в венозном русле;
  • ангиомы, сосудистые мальформации.

Как нужно подготовиться к исследованию

Свернуть/развернуть

К МРТ головного мозга с МР-венографией особая подготовка не нужна. 

Необходимо принести с собой медицинскую документацию, относящуюся к зоне исследования:

  • направление от лечащего врача;
  • выписки из амбулаторных карт и стационаров;
  • результаты предыдущих исследований (МР-снимки, СD/DVD диски, снимки КТ).

Необходимо убрать все электронные устройства, металлические предметы, украшения, металлизированный макияж. При наличии имплантата, изготовленного из материала, относящегося к парамагнетикам или диамагнетикам (алюминий, титан), необходимо предоставить справку из учреждения, где он был установлен — на основании этих сведений и, учитывая расположение протеза по отношению к исследуемой области, врач примет решение о возможности проведения МРТ или предложит другой метод обследования.

При необходимости введения контраста требуется контроль уровня креатинина в крови (особенно при подозрении на снижение функции почек), анализ крови должен быть сдан не позднее, чем за 14 дней до даты исследования. 

Время выведения контраста составляет не менее суток, поэтому кормящие женщины должны прервать грудное вскармливание на 24-48 часов после процедуры, сцеженное молоко нужно выливать.

Во время обследования нельзя двигаться, иначе снимки не получатся качественными. При соблюдении всех правил процедура абсолютно безопасна и, в случае необходимости, может проводиться неоднократно в течение короткого периода времени. Небольшой дискомфорт может доставлять громкий звук и постукивание прибора, что обусловлено технологией процесса. Чтобы уменьшить шум, можно воспользоваться берушами или наушниками. В руку пациенту дается сигнальное устройство в виде груши для связи с персоналом. В случае волнения или тревожности пациента перед процедурой возможно присутствие сопровождающего во время проведения исследования.

В каких случаях нельзя проводить МРТ головного мозга и МР-венографию головного мозга

Свернуть/развернуть
  • если в теле пациента имеются металлические протезы, зубные металлоконструкции, брекет-системы, сосудистые скобы, а также электронные имплантаты (кардиостимуляторы, водители ритма, имплантаты внутреннего уха);
  • женщинам в I триместре беременности;
  • при избыточном весе пациента более 120 кг;
  • при общем тяжелом состоянии пациента;
  • в случае клаустрофобии (боязни закрытых пространств);
  • аллергия на контраст, снижение функции почек.

Запишитесь на МРТ головного мозга и МР-венография головного мозга по удобному адресу

Записаться
Фильтр по услугам МРТ головы

Введение контраста

С контрастом Без контраста

Станция метро

Площадь Восстания Нарвская Проспект Просвещения Рыбацкое Девяткино Гражданский проспект Академическая Политехническая Площадь Мужества Лесная Выборгская Площадь Ленина Чернышевская Владимирская Пушкинская Технологический институт Балтийская Кировский завод Автово Ленинский проспект Проспект Ветеранов Парнас Озерки Удельная Пионерская Чёрная речка Петроградская Горьковская Невский проспект Сенная площадь Фрунзенская Московские ворота Электросила Парк Победы Московская Звёздная Купчино Беговая Зенит Приморская Василеостровская Гостиный двор Маяковская Площадь Александра Невского Елизаровская Ломоносовская Пролетарская Обухово Спасская Достоевская Лиговский проспект Площадь Александра Невского Новочеркасская Ладожская Проспект Большевиков Улица Дыбенко Комендантский проспект Старая Деревня Крестовский остров Чкаловская Спортивная Адмиралтейская Садовая Звенигородская Обводный канал Волковская Бухарестская Международная Проспект Славы Дунайская Шушары Богатырская Каменка Театральная Горный институт Путиловская Юго-Западная Кудрово Шуваловский проспект Каретная Боровая Заставская Броневая

Возраст пациента

Взрослому Ребенку от 15 лет

Пол пациента

Мужчине Женщине

Тип аппарата

Открытый Закрытый

Мощность МРТ

1.5 Тл 3 Тесла

Программы страхования

ДМС Платно ОМС

Цены

Услуги, соответствующие запросу, не найдены.

МРТ головного мозга
руб
4 600 / 3 200 руб
Подробнее
МР-ангиография головного мозга
руб
4 600 / 3 200 руб
Подробнее
МР-венография головного мозга
руб
4 600 / 3 200 руб
Подробнее
МРТ черепно-мозговых нервов
руб
4 600 / 3 200 руб
Подробнее
МРТ головного мозга и МР-ангиография головного мозга
руб
7 600 / 6 200 руб
Подробнее
МРТ головного мозга и МР-венография головного мозга
руб
7 600 / 6 200 руб
Подробнее
МРТ гипофиза
руб
От 7 600 / 6 200 руб
Подробнее
МРТ орбит
руб
4 600 / 3 200 руб
Подробнее
МРТ придаточных пазух носа
руб
4 600 / 3 200 руб
Подробнее
МРТ внутреннего уха
руб
5 400 / 4 000 руб
Подробнее
МРТ головного мозга и гипофиза
руб
От 11 300 / 9 200 руб
Подробнее
МРТ головного мозга+мосто-мозжечкового угла
руб
7 600 / 6 600 руб
Подробнее
МРТ головного мозга + МРТ орбит
руб
7 600 / 6 200 руб
Подробнее
МРТ головного мозга + черепно-мозговые нервы
руб
7 600 / 6 600 руб
Подробнее

Адреса диагностических центров "Доступная Медицина"

Преимущества наших диагностических центров

Доступные цены

Приемлемые цены
на все услуги

Качественный сервис

Контроль качества
оказываемых услуг

Лучшие специалисты

Высококвалифицированные врачи

Новейшее оборудование

Современные томографы с высочайшим качеством визуализации

Близость к метро

Мы находимся в непосредственной близости от метро и остановок общественного транспорта

Лицензии

Современные томографы с высочайшим качеством визуализации

Назад
Вперед
Ключникова Екатерина Игоревна
Информация проверена главным врачом клиники Domedica24
Ключникова Екатерина Игоревна
Стаж более 8 лет, главный врач, врач-рентгенолог 1 категории
Площадь Стачек, 9">
ул. 1-я Советская, 8">