КТ ОГК + функциональная проба на выдохе в СПБ
- Срок получения результата В течение дня
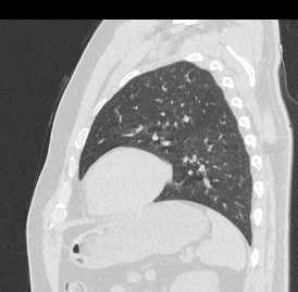
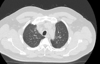
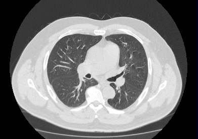
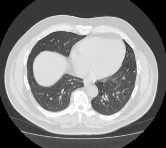
Мультиспиральная компьютерная томография органов грудной клетки представляет собой рентгеновское исследование костных структур грудной клетки, легочной ткани, бронхиального дерева, органов средостения.
Информативность МСКТ органов грудной клетки дополняет функциональная проба, то есть методика проведения сканирования на вдохе (инспираторная КТ) и на выдохе (экспираторная КТ). При выполнении КТ на вдохе с задержкой дыхания удается добиться максимального контраста между наполненными воздухом легкими и более плотными структурами, такими как плевра, стенки бронхов и кровеносные сосуды. Кроме того, на фоне пневматизированных легких хорошо видны очаговые и диффузные патологические изменения.
При экспираторной пробе (пробе на выдохе) можно выявить воздушные ловушки (то есть стойкое повышение пневматизации легочной ткани) на фоне пневмонитов, бронхиолитов, обструктивных заболеваний легких, эмфиземы.
Компьютерная томография в нашей клинике проводится на современных мультиспиральных томографах, которые производят тончайшие срезы исследуемой области и создают трехмерные изображения всех структур грудной клетки высокой четкости и контрастности. Увеличенное количество детекторов, которыми оснащены аппараты, обеспечивают быстрое сканирование зоны исследования при минимальных дозах рентгеновского облучения.
При необходимости уточнения характера патологических очагов, в частности, при подозрении на опухоли, тромбоэмболию легочной артерии, дополнительно внутривенно вводится контраст на основе йода. Контрастное вещество способно накапливаться в патологически измененных участках, а также выявлять дефекты контрастирования легочных артерий. С помощью контрастирования возможно выявить сосудистую патологию, диагностировать опухолевый процесс на самой ранней стадии, дифференцировать доброкачественные и злокачественные опухоли.
- Показания для проведения КТ ОГК + функциональная проба на выдохе
- Как подготовиться к КТ ОГК с функциональной пробой на выдохе
- Противопоказания для проведения КТ ОГК с функциональной пробой на выдохе
Показания для проведения КТ ОГК + функциональная проба на выдохе
- выявление и контроль бронхообструкции при заболеваниях легких, таких как бронхиальная астма, хронический обструктивный бронхит;
- оценка объема нормально функционирующей паренхимы легких при выраженной эмфиземе, бронхоэктатической болезни;
- необходимость проведения дифференциальной диагностики между воспалительными изменениями и проявлениями обструкции терминальных бронхиол;
- выявление и контроль интерстициальных заболеваний легких;
- оценка последствий воспалительных заболеваний легких, в том числе после перенесенной вирусной пневмонии COVID-19.
Как подготовиться к КТ ОГК с функциональной пробой на выдохе
Исследование проводится без предварительной подготовки.
До начала исследования необходимо предоставить следующую медицинскую документацию:
- Направление от лечащего врача;
- Выполненные ранее рентгеновские снимки легких, CD/DVD диски предыдущих КТ-исследований легких;
- Выписки из амбулаторных карт и стационаров;
- Заключения профильных специалистов.
Пациентам, которым планируется введение контрастного вещества, необходимо исследование уровня креатинина крови, отражающего функцию почек. Анализ крови действителен в течение 14 дней до даты исследования.
Пациентам, принимающим по поводу сахарного диабета такие препараты, как Метформин или Глюкофаж, необходимо прекратить прием данных препаратов за 48 часов до исследования с контрастированием и на 48 часов после введения контраста (отмену сахароснижающих препаратов следует согласовать с эндокринологом).
Контрастный препарат вводится внутривенно через предварительно установленный в локтевую вену венозный катетер. При введении контраста можно почувствовать теплоту и неприятный привкус во рту, эти ощущения полностью проходят через 1-2 минуты.
Если исследование с контрастированием проводится кормящей женщине, то пациентке необходимо на 24-48 часов после процедуры с введением контраста прервать грудное вскармливание, предварительно сделав запас грудного молока, при этом молоко сцеживать и выливать.
Чтобы исключить размытость изображений на снимках и получить качественный результат исследования, от пациента требуется сохранять неподвижность в течение всей процедуры. В определенные моменты нужно будет глубоко вдохнуть и задержать дыхание, затем выдохнуть и вновь задержать дыхание. Необходимо следовать указаниям врача, которые будут передаваться через вмонтированное в аппарат переговорное устройство.
Противопоказания для проведения КТ ОГК с функциональной пробой на выдохе
Так как исследование предусматривает использование рентгеновского излучения, компьютерная томография не проводится во время беременности.
Из-за технических возможностей аппарата КТ ограничена для пациентов с весом более 120 кг, так как подвижная часть томографа не рассчитана на такой вес.
При необходимости проведения КТ ОГК с контрастированием могут быть противопоказания для введения контраста. К ним относятся:
- аллергия на йодсодержащие контрастные вещества;
- заболевания почек со снижением их функции;
- сердечная недостаточность;
- заболевания щитовидной железы;
- тяжелое течение бронхиальной астмы;
- декомпенсированный сахарный диабет.
Запишитесь на КТ ОГК + функциональная проба на выдохе по удобному адресу
ЗаписатьсяСтанция метро
Площадь Восстания Проспект Просвещения Нарвская Рыбацкое Девяткино Гражданский проспект Академическая Политехническая Площадь Мужества Лесная Выборгская Площадь Ленина Чернышевская Владимирская Пушкинская Технологический институт Балтийская Кировский завод Автово Ленинский проспект Проспект Ветеранов Парнас Озерки Удельная Пионерская Чёрная речка Петроградская Горьковская Невский проспект Сенная площадь Фрунзенская Московские ворота Электросила Парк Победы Московская Звёздная Купчино Беговая Зенит Приморская Василеостровская Гостиный двор Маяковская Площадь Александра Невского Елизаровская Ломоносовская Пролетарская Обухово Спасская Достоевская Лиговский проспект Площадь Александра Невского Новочеркасская Ладожская Проспект Большевиков Улица Дыбенко Комендантский проспект Старая Деревня Крестовский остров Чкаловская Спортивная Адмиралтейская Садовая Звенигородская Обводный канал Волковская Бухарестская Международная Проспект Славы Дунайская Шушары Богатырская Каменка Театральная Горный институт Путиловская Юго-Западная Кудрово Шуваловский проспект Каретная Боровая Заставская БроневаяРайон
Центральный Выборгский Кировский Адмиралтейски Василеостровский Калининский Колпинский Красногвардейский Красносельски Кронштадтский Курортный Московский Невский Петроградский Петродворцовый Приморский Пушкинский ФрунзенскийГород
Санкт-Петербург Бокситогорск Бугры Волосово Волхов Всеволожск Выборг Высоцк Гатчина Ивангород Каменногорск Кингисепп Кириши Кировск Колтуши Коммунар Кудрово Лодейное Поле Луга Любань Мурино Никольское Новая Ладога Отрадное Пикалёво Подпорожье Приморск Приозерск Светогорск Сертолово Сланцы Сосновый Бор Сясьстрой Тельмана Тихвин Тосно ШлиссельбургЦены
Услуги, соответствующие запросу, не найдены.
Адреса диагностических центров "Доступная Медицина"
Преимущества наших диагностических центров
Доступные цены
Приемлемые цены
на все услуги
Качественный сервис
Контроль качества
оказываемых услуг
Лучшие специалисты
Высококвалифицированные врачи
Новейшее оборудование
Современные томографы с высочайшим качеством визуализации
Близость к метро
Мы находимся в непосредственной близости от метро и остановок общественного транспорта
Наше оборудование
КТ-СПЕЦИАЛИСТЫ
Лицензии
Современные томографы с высочайшим качеством визуализации
Статьи наших врачей