КТ предплечья в СПБ
- Введение контраста Нет
- Длительность выполнения 10 минут
- Ограничения по весу 120 кг
- Ограничения по возрасту От 15 лет
- Срок получения результата В течение дня
Предплечье – это часть руки между локтевым и лучезапястным суставами. Предплечье состоит из двух костей – лучевой и локтевой, которые относятся к трубчатым костям. Лучевая и локтевая кости участвуют в образовании локтевого и лучезапястного суставов, а также посредством двух суставов соединены между собой.
Такое сложное анатомическое строение области предплечья обеспечивает различные движения руки, включая не только сгибание и разгибание, но и круговые движения вокруг оси предплечья (ротацию). Травмы и заболеваний предплечья приводят к нарушению функции верхней конечности, что снижает способность человека к самообслуживанию и трудоспособность.
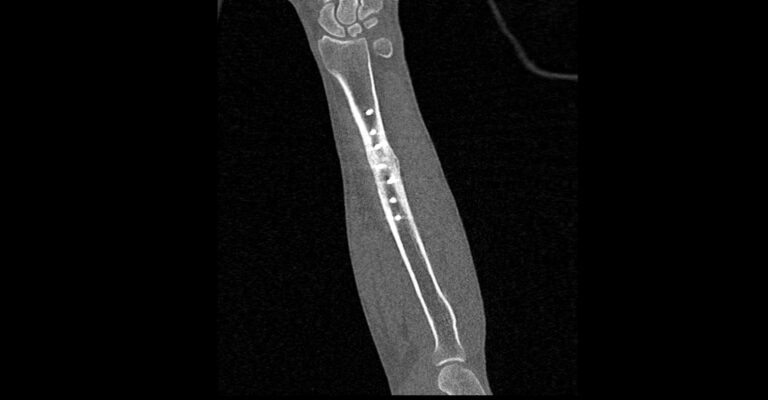
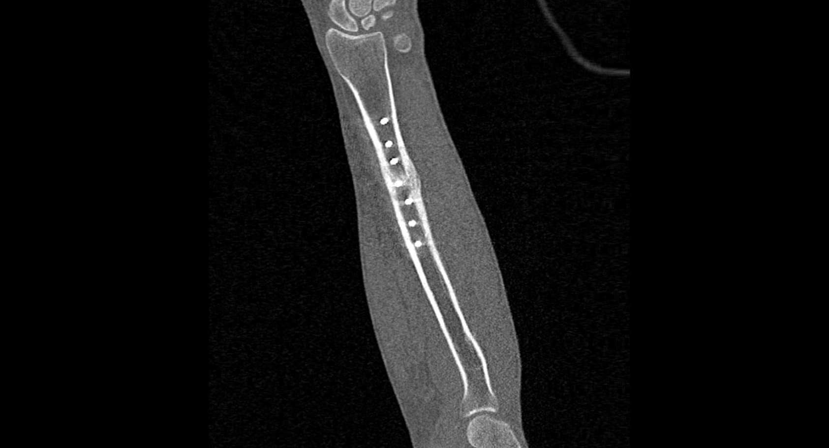
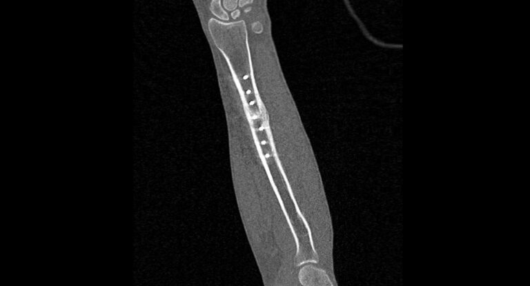
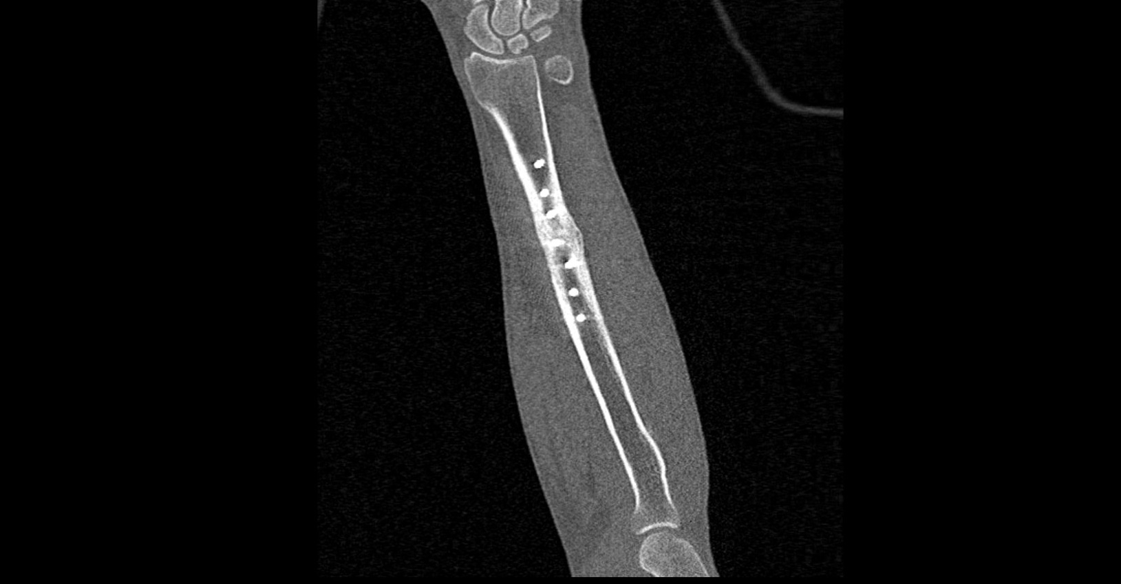
Мультиспиральная компьютерная томография является наиболее точным и информативным методом диагностики патологии предплечья. Метод КТ основан на применении рентгеновского излучения и лучше всего подходит для оценки состояния костных структур, так как кости в большей степени поглощают рентгеновские лучи и ярко визуализируются на снимках.
В диагностических центрах «Доступная медицина» сканирование области предплечья проводится на современных мультиспиральных компьютерных томографах экспертного класса TOSHIBA AQUILION. Аппараты при помощи рентгеновских лучей послойно сканируют исследуемую область, делая одномоментно множество тончайших срезов толщиной от 0,5 мм. В результате получаются детализированные изображения высокого уровня четкости и контрастности, при этом томографы обеспечивают минимум лучевой нагрузки на организм пациента.
Полученные при сканировании данные в дальнейшем проходят цифровую обработку, и на их основе создаются трехмерные изображения области предплечья.
Мультиспиральная КТ позволяет диагностировать деформации костей на фоне аномалий развития, различные вывихи, переломы костей предплечья, ушибы мягких тканей и надкостницы. КТ помогает обнаружить участки деструкции костной ткани, воспалительные изменения, опухолевые процессы. Результаты КТ дают информацию для хирурга и травматолога перед операцией о расположении осколков кости, а после операции позволяют оценить правильность репозиции костных отломков, проследить процессы регенерации кости, вовремя выявить различные осложнения (воспаление, смещение отломков, очаги деструкции костной ткани).
При подозрении на опухоли костей предплечья дополнительно назначается КТ с контрастированием, так как методика контрастного усиления обладает большей информативностью по сравнению с нативным (то есть без использования контраста) исследованием. Для этого пациенту внутривенно вводится контрастный препарат на основе йода, который концентрируется в патологических образованиях и обеспечивает их яркую контрастность на фоне окружающих тканей. С помощью методики контрастирования можно визуализировать опухолевые образования минимальных размеров, оценить структуру опухоли, степень ее прорастания в окружающие ткани, что дает возможность определить наиболее эффективную тактику лечения.
В некоторых случаях при подозрении на опухолевый процесс врач может порекомендовать выполнить магнитно-резонансное исследование, так как метод МРТ наиболее информативен при обследовании мягкотканных структур. При необходимости исследования области предплечья в нашей клинике можно пройти МРТ мягких тканей конечностей на современном высокопольном 32-канальном магнитно-резонансном томографе экспертного уровня.
- Показания к КТ костей предплечья
- Подготовка к КТ предплечья
- Противопоказания для проведения КТ предплечья
- Что показывает КТ костей предплечья
Показания к КТ костей предплечья
- травмы костей, ушибы мягких тканей.
- заболевания суставов ( артрит или артроз).
- заболевания костной ткани ( остеомиелит).
- метастазы
- новообразования как доброкачественные, так и злокачественные.
- болевые ощущения в области предплечья, причина которых неизвестны.
- боль в области предплечья невыясненных причин, а также другие симптомы разных болезней
Подготовка к КТ предплечья
Мультиспиральная компьютерная томография является быстрой и безболезненной процедурой, она не требует предварительной подготовки.
Для сравнения данных с предыдущими результатами обследований мы рекомендуем принести в день исследования врачу-рентгенологу все документы, касающиеся зоны исследования. К таким документам относятся:
- Направление лечащего врача;
- Выписка из истории болезни или амбулаторной карты;
- Рентгеновские снимки, CD/DVD диски предыдущих КТ или МРТ-исследований верхних конечностей;
- Заключения профильных специалистов.
Так как контраст выводится из организма преимущественно почками, при выполнении процедуры с введением контрастного вещества предварительно требуется оценить функциональную способность почек. Для этого пациенту нужно сдать анализ крови на уровень креатинина (показатель, отражающий функцию почек). Анализ крови действителен не более 2 недель с момента забора биоматериала.
Пациентам, принимающим по поводу сахарного диабета Метформин (Глюкофаж или другие метформинсодержащие препараты), необходимо согласовать с эндокринологом временную отмену данного препарата за 48 часов до исследования с контрастированием и на 48 часов после введения контраста.
Введение контрастного препарата осуществляется с помощью специального дозирующего устройства. Оно подключается к предварительно установленному в периферическую вену венозному катетеру. В момент введения контраста может быть ощущение тепла или жара во всем теле и неприятный привкус во рту, но этот дискомфорт полностью исчезает через 1-2 минуты.
Если необходимо проведение внутривенного болюсного контрастирования женщине в период лактации, то мы рекомендуем предварительно сделать запас грудного молока, а после процедуры с введением контраста не прикладывать ребенка к груди в течение 24-48 часов, при этом молоко нужно сцеживать и выливать.
Исследование проводится лежа на спине на выдвижном столе томографа, который плавно передвигается в кольцевой раме томографа.
Врач-рентгенолог и рентгенолаборант находятся в соседнем помещении, отделенном от диагностического кабинета стеклянной перегородкой. Связь с пациентом осуществляется через переговорное устройство, встроенное в томограф.
Противопоказания для проведения КТ предплечья
Компьютерная томография основана на использовании рентгеновского излучения, поэтому может негативно влиять на плод во время внутриутробного развития. Учитывая это, КТ не проводится женщинам в течение всего периода беременности.
Кроме того, компьютерные томографы имеют ограничения по весу, поэтому в наших центрах невозможно выполнить КТ пациентам с массой тела, превышающей 120 кг.
В некоторых случаях у пациента могут быть ограничения для введения контрастного препарата. Поэтому контрастирование не проводится:
- если ранее отмечались аллергические реакции на йодсодержащие контрастные препараты;
- если у пациента имеются заболевания почек с развитием выраженной почечной недостаточности;
- при наличии застойной сердечной недостаточности;
- если имеются заболевания щитовидной железы с явлениями гипертиреоза, тиреотоксикоза;
- в случае тяжелого течения бронхиальной астмы;
- при декомпенсированном сахарном диабете.
Что показывает КТ костей предплечья
- переломы и трещины,
- гематомы,
- воспаления в костях и суставах,
- переломы костей с наличием фрагментов в мягких тканях,
- аномальное развитие суставов и тканей.
- новообразования, как дорокачественны так и злокачественные.
- повреждения сосудов,
- наличие инородных тел.
Запишитесь на КТ предплечья по удобному адресу
ЗаписатьсяСтанция метро
Площадь Восстания Проспект Просвещения Нарвская Рыбацкое Девяткино Гражданский проспект Академическая Политехническая Площадь Мужества Лесная Выборгская Площадь Ленина Чернышевская Владимирская Пушкинская Технологический институт Балтийская Кировский завод Автово Ленинский проспект Проспект Ветеранов Парнас Озерки Удельная Пионерская Чёрная речка Петроградская Горьковская Невский проспект Сенная площадь Фрунзенская Московские ворота Электросила Парк Победы Московская Звёздная Купчино Беговая Зенит Приморская Василеостровская Гостиный двор Маяковская Площадь Александра Невского Елизаровская Ломоносовская Пролетарская Обухово Спасская Достоевская Лиговский проспект Площадь Александра Невского Новочеркасская Ладожская Проспект Большевиков Улица Дыбенко Комендантский проспект Старая Деревня Крестовский остров Чкаловская Спортивная Адмиралтейская Садовая Звенигородская Обводный канал Волковская Бухарестская Международная Проспект Славы Дунайская Шушары Богатырская Каменка Театральная Горный институт Путиловская Юго-Западная Кудрово Шуваловский проспект Каретная Боровая Заставская БроневаяРайон
Центральный Выборгский Кировский Адмиралтейски Василеостровский Калининский Колпинский Красногвардейский Красносельски Кронштадтский Курортный Московский Невский Петроградский Петродворцовый Приморский Пушкинский ФрунзенскийГород
Санкт-Петербург Бокситогорск Бугры Волосово Волхов Всеволожск Выборг Высоцк Гатчина Ивангород Каменногорск Кингисепп Кириши Кировск Колтуши Коммунар Кудрово Лодейное Поле Луга Любань Мурино Никольское Новая Ладога Отрадное Пикалёво Подпорожье Приморск Приозерск Светогорск Сертолово Сланцы Сосновый Бор Сясьстрой Тельмана Тихвин Тосно ШлиссельбургЦены
Услуги, соответствующие запросу, не найдены.
Адреса диагностических центров "Доступная Медицина"
Преимущества наших диагностических центров
Доступные цены
Приемлемые цены
на все услуги
Качественный сервис
Контроль качества
оказываемых услуг
Лучшие специалисты
Высококвалифицированные врачи
Новейшее оборудование
Современные томографы с высочайшим качеством визуализации
Близость к метро
Мы находимся в непосредственной близости от метро и остановок общественного транспорта
Наше оборудование
КТ-СПЕЦИАЛИСТЫ
Лицензии
Современные томографы с высочайшим качеством визуализации
Статьи наших врачей