КТ стопы в СПБ
- Введение контраста Нет
- Длительность выполнения 10 минут
- Ограничения по весу 120 кг
- Ограничения по возрасту От 15 лет
- Срок получения результата В течение дня
Стопа является самой удаленной частью нижней конечности и состоит из трех отделов: предплюсны, плюсны и собственно пальцев. Стопа представляет собой целый комплекс костей, соединенных между собой посредством тугих суставов.
Благодаря особенностям строения костей, а также наличию прочных связок, крепких мышц и сухожилий, стопа имеет сводчатую форму. Различают продольные своды и поперечный свод, которые обеспечивают эластичность стопы и ее амортизирующие свойства при ходьбе.
Различные патологические процессы вызывают нарушения функции стоп и ограничивают двигательную активность человека.
При ослаблении мышц и связочного аппарата развивается плоскостопие, стопа уплощается, деформируется и теряет свои пружинящие свойства, что негативно отражается на осанке и походке человека.
Стопы человека часто подвергаются травматическим повреждениям при ударах, падениях, прыжках с высоты и долгой монотонной нагрузке (например, при постоянном передвижении на каблуках или беге на длинные дистанции), в результате могут возникать ушибы, переломы костей, вывихи суставов, растяжения связок. Причинами нарушения функции стоп также могут быть воспалительные процессы в суставах (ревматоидный артрит, подагра, бурсит головок плюсневых костей) и связочного аппарата (подошвенный фасциит). Кроме того, ограничение функции стопы может возникнуть на фоне инфекционного поражения костей при остеомиелите, а также при диабетической остеоартропатии (осложнении сахарного диабета).
Диагностика заболеваний области стопы затруднена из-за сложного строения и наличия большого количества костей, сухожилий и связок. При обычном рентгене изображения костных структур накладываются друг на друга, что существенно снижает качество диагностики, но остается наиболее значимым в случае выявления плоскостопия (при выполнении исследования с полной статической нагрузкой). В нашей клинике также можно сделать рентген стоп.
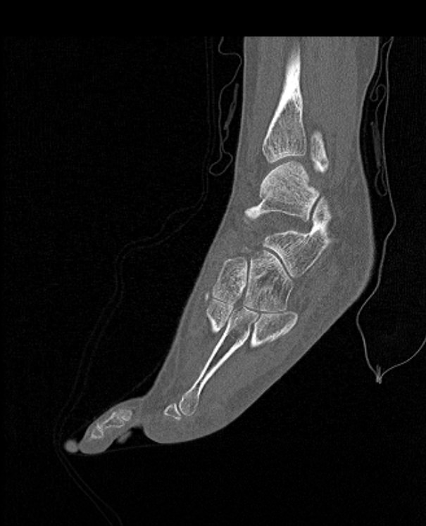
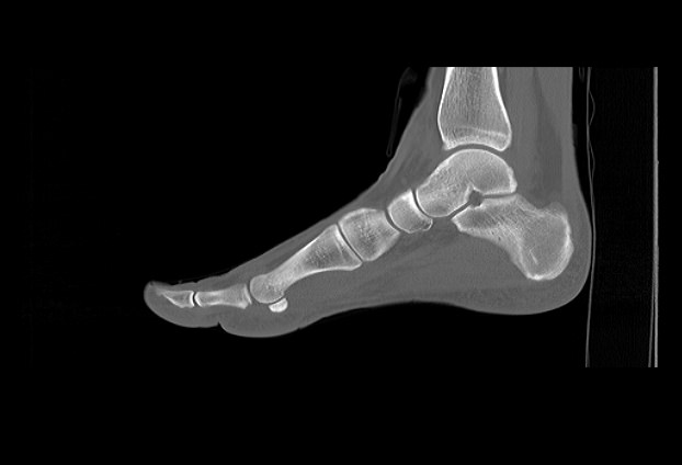
Наиболее точным и информативным методом обследования костных структур стопы является мультиспиральная компьютерная томография. КТ относится к лучевым методам исследования, то есть для визуализации внутренних органов применяется сканирование при помощи рентгеновского излучения, а затем полученные данные проходят цифровую обработку. В результате получается объемная реконструкция исследуемой области, которую можно увеличить, повернуть в разные стороны, оценить расположение анатомических структур и измененных участков в пространстве.
В наших диагностических центрах обследование стопы выполняется на современных мультиспиральных компьютерных томографах последнего поколения TOSHIBA AQUILION. С помощью аппаратов проводится скоростное мультисрезовое сканирование, во время которого одновременно производится большое количество снимков высокого разрешения. При этом уменьшена доза рентгеновского облучения для пациента.
С помощью мультиспиральной КТ проводится точная диагностика травм стопы, позволяющая оценить расположение костных отломков. Метод КТ применяется для визуализации костей стопы при планировании хирургического вмешательства, затем в послеоперационном периоде для оценки правильности репозиции костных отломков и для контроля процессов регенерации кости.
Метод КТ наибольшую информацию дает о состоянии костных структур, так как кости в большей степени поглощают рентгеновские лучи и поэтому хорошо видны на снимках. Для повышения диагностических возможностей метода, в частности, для улучшения визуализации мягких тканей, мышц и связочного аппарата дополнительно используется контрастное усиление.
Для этого в вену пациенту вводится контрастный препарат на основе йода. Он улучшает визуализацию сосудистой системы, а также концентрируется в патологических участках и обеспечивает их яркую контрастность на фоне окружающих тканей. С помощью методики контрастирования удается выявлять участки воспаления, а также различные опухолевые образования. Контраст дает возможность оценить структуру опухоли, точную локализацию, границы опухоли и степень прорастания в соседние ткани. Эти данные позволяют назначить в дальнейшем наиболее эффективный план лечения.
В ряде случаев для визуализации мягких тканей стопы более предпочтительным может быть метод магнитно-резонансной томографии, основанный на применении внешнего магнитного поля. МРТ наиболее информативен именно для диагностики патологии мягкотканных структур. В этом случае врач может направить на МРТ области стопы. В нашей клинике МРТ стопы можно пройти на современном высокопольном магнитно-резонансном томографе экспертного уровня.
- Показания к КТ стопы
- Подготовка к КТ стопы
- Противопоказания для проведения КТ стопы
- Что показывает КТ стопы
Показания к КТ стопы
- травмы стопы;
- подозрение на опухоль;
- нарушения кровообращения в ногах;
- боли при движении и опоре на стопу;
- вальгусная деформация.
- артрозы, артриты
- асептический некроз
Подготовка к КТ стопы
Компьютерная томография стопы является быстрой неинвазивной безболезненной процедурой. Специальная подготовка к исследованию не нужна.
Важно принести с собой все документы, касающиеся зоны исследования. В перечень документов входит:
- Направление лечащего врача;
- Выписка из истории болезни или амбулаторной карты;
- Рентгеновские снимки, CD/DVD диски предыдущих КТ и МРТ исследований нижних конечностей, области стоп;
- Заключения специалистов.
Если планируется введение контрастного вещества, то необходимо предоставить результат анализа крови на уровень креатинина (показатель, отражающий функцию почек). Дело в том, что контраст выводится преимущественно почками, поэтому при резко выраженной почечной недостаточности контрастирование не проводится. Анализ действителен не более 2 недель с момента забора крови.
Пациентам, принимающим по поводу сахарного диабета Метформин (Глюкофаж) или другие метформинсодержащие препараты, необходимо прекратить прием данного препарата за 48 часов до исследования с контрастированием и на 48 часов после введения контраста. По поводу временной отмены данных препаратов нужно посоветоваться с эндокринологом.
Контрастный препарат вводится внутривенно с помощью автоматического шприца (инжектора). Инжектор подключается к предварительно установленному в локтевую вену венозному катетеру. При введении контраста можно почувствовать теплоту во всем теле и неприятный привкус во рту, но эти дискомфортные ощущения проходят через 1-2 минуты.
Если требуется выполнить КТ с контрастированием кормящей женщине, то мы рекомендуем таким пациенткам на 24-48 часов после процедуры с введением контраста прервать грудное вскармливание, предварительно сделав запас грудного молока. При этом молоко нужно сцеживать из груди и выливать.
Пациент во время процедуры исследования располагается лежа на специальном столе, который двигается в раме томографа. По сравнению с МРТ отверстие томографа широкое, вокруг пространство полностью открытое и свободное.
Врач находится в соседнем помещении, наблюдает за пациентом через окно, общение происходит через переговорное устройство, вмонтированное в аппарат. Пациент при необходимости может вызвать медицинский персонал, нажав на специальную сигнальную кнопку.
Противопоказания для проведения КТ стопы
КТ не рекомендуется выполнять беременным женщинам из-за вредного воздействия на плод рентгеновского излучения. Поэтому мы просим женщин обязательно сообщить врачу о наличии у них возможной беременности.
Кроме того, технически невозможно выполнить КТ стопы из-за веса пациента, превышающего 120 кг, так как подвижная часть томографа имеет ограничения по весу.
При необходимости проведения КТ стопы с внутривенным болюсным контрастированием пациент может иметь противопоказания для введения контрастного препарата. К ним относятся:
- аллергическая реакция на йодсодержащий контрастный препарат в анамнезе;
- заболевания почек с выраженным снижением их функции;
- застойная сердечная недостаточность;
- заболевания щитовидной железы с явлениями гипертиреоза и тиреотоксикоза;
- тяжелое течение бронхиальной астмы;
- декомпенсированный сахарный диабет.
Что показывает КТ стопы
- переломы и трещины костей с нарушением структур, образованием костных отломков и их смещением;
- полные и неполные вывихи;
- смещения суставных поверхностей;
- деформирующий остеоартроз;
- ревматизм;
- подагру (деформация суставной щели, остеопороз);
- остеомиелит (секвестрация, патологические переломы);
- гематомы и абсцессы (скопления крови или гнойных масс);
- дистрофические заболевания;
- аномалии развития и т. д.
- первичных новообразований и метастаз;
- асептического некроза костной структуры
- тромбозов сосудов, изменений стенок артерий и вен;
- экзостоз;
- пяточная шпора;
- кровоизлияние в суставную сумку;
- перелом Джонса
Запишитесь на КТ стопы по удобному адресу
ЗаписатьсяСтанция метро
Площадь Восстания Проспект Просвещения Нарвская Рыбацкое Девяткино Гражданский проспект Академическая Политехническая Площадь Мужества Лесная Выборгская Площадь Ленина Чернышевская Владимирская Пушкинская Технологический институт Балтийская Кировский завод Автово Ленинский проспект Проспект Ветеранов Парнас Озерки Удельная Пионерская Чёрная речка Петроградская Горьковская Невский проспект Сенная площадь Фрунзенская Московские ворота Электросила Парк Победы Московская Звёздная Купчино Беговая Зенит Приморская Василеостровская Гостиный двор Маяковская Площадь Александра Невского Елизаровская Ломоносовская Пролетарская Обухово Спасская Достоевская Лиговский проспект Площадь Александра Невского Новочеркасская Ладожская Проспект Большевиков Улица Дыбенко Комендантский проспект Старая Деревня Крестовский остров Чкаловская Спортивная Адмиралтейская Садовая Звенигородская Обводный канал Волковская Бухарестская Международная Проспект Славы Дунайская Шушары Богатырская Каменка Театральная Горный институт Путиловская Юго-Западная Кудрово Шуваловский проспект Каретная Боровая Заставская БроневаяРайон
Центральный Выборгский Кировский Адмиралтейски Василеостровский Калининский Колпинский Красногвардейский Красносельски Кронштадтский Курортный Московский Невский Петроградский Петродворцовый Приморский Пушкинский ФрунзенскийГород
Санкт-Петербург Бокситогорск Бугры Волосово Волхов Всеволожск Выборг Высоцк Гатчина Ивангород Каменногорск Кингисепп Кириши Кировск Колтуши Коммунар Кудрово Лодейное Поле Луга Любань Мурино Никольское Новая Ладога Отрадное Пикалёво Подпорожье Приморск Приозерск Светогорск Сертолово Сланцы Сосновый Бор Сясьстрой Тельмана Тихвин Тосно ШлиссельбургЦены
Услуги, соответствующие запросу, не найдены.
Адреса диагностических центров "Доступная Медицина"
Преимущества наших диагностических центров
Доступные цены
Приемлемые цены
на все услуги
Качественный сервис
Контроль качества
оказываемых услуг
Лучшие специалисты
Высококвалифицированные врачи
Новейшее оборудование
Современные томографы с высочайшим качеством визуализации
Близость к метро
Мы находимся в непосредственной близости от метро и остановок общественного транспорта
Наше оборудование
КТ-СПЕЦИАЛИСТЫ
Лицензии
Современные томографы с высочайшим качеством визуализации
Статьи наших врачей