КТ коленного сустава в СПБ
- Введение контраста Нет
- Длительность выполнения 10 минут
- Ограничения по весу 120 кг
- Ограничения по возрасту От 15 лет
- Срок получения результата В течение дня
Коленный сустав является самым крупным сочленением скелета и играет важную роль в осуществлении двигательной активности человека. Из-за интенсивных физических нагрузок, избыточного веса, сопутствующих эндокринных, метаболических и ишемических заболеваний в костных структурах, хрящах и связочном аппарате коленного сустава могут развиваться различные патологические процессы. Это становится причиной нарушения функции нижней конечности.
Патология коленного сустава чаще всего связана с травматическими повреждениями: ушибы, вывихи, переломы костей, повреждения менисков, разрывы связок и сухожилий. Также достаточно часто встречаются воспалительные, дегенеративно-дистрофические изменения, инфекционные поражения, а также доброкачественные и злокачественные опухоли в области коленных суставов.
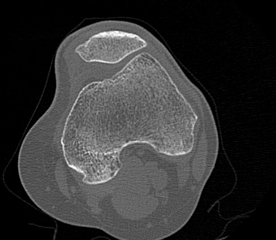
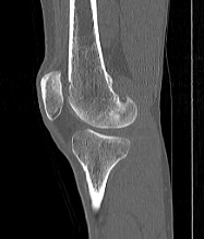
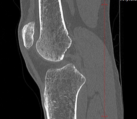
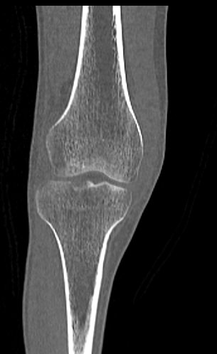
Одним из наиболее информативных методов исследования коленных суставов является мультиспиральная компьютерная томография. КТ относится к лучевым методам исследования и основана на применении ионизирующего излучения с последующей цифровой обработкой данных, полученных при КТ-сканировании.
В наших медицинских центрах обследование коленного сустава проводится на современных мультиспиральных компьютерных томографах последнего поколения TOSHIBA AQUILION. При помощи рентгеновских лучей аппараты послойно сканируют в разных плоскостях исследуемую область с толщиной среза от 0,5 мм. В результате получаются детальные снимки и цифровые трехмерные изображения коленного сустава в мельчайших подробностях. Помимо точности и достоверности диагностики современные компьютерные томографы обеспечивают для пациента минимальную дозу рентгеновского облучения.
Мультиспиральная компьютерная томография дает возможность оценить структуру костной ткани, выявить переломы, воспалительные изменения, участки деструкции костей и диагностировать опухолевые образования. Мультиспиральная КТ часто применяется в ортопедии и травматологии. За счет быстроты, доступности и неинвазивности (то есть обследование выполняется без вмешательства в организм) метод незаменим при травмах сустава, а также при планировании оперативных вмешательств, например, в случае эндопротезирования сустава. В послеоперационном периоде КТ помогает оценить эффективность проведенной операции, вовремя выявить осложнения и отследить процесс восстановления.
КТ позволяет хорошо визуализировать плотные структуры, такие как кости, благодаря их способности активно поглощать рентгеновские лучи. Чтобы улучшить визуализацию мягких тканей дополнительно применяется контрастное усиление. Для этого пациенту внутривенно вводится йодсодержащий контрастный препарат, который обладает высокой способностью поглощать рентгеновские лучи и при концентрации в патологических участках обеспечивает их яркую визуализацию на снимках КТ. С помощью контрастирования удается обнаруживать опухоли минимальных размеров, что значительно улучшает прогноз в плане лечения и выздоровления.
При наличии противопоказаний для проведения КТ с контрастированием врач может порекомендовать для обследования коленного сустава другой высокоинформативный метод исследования, дающий наиболее точную информацию о состоянии именно мягкотканных структур, – это магнитно-резонансная томография. Метод МРТ основан на применении внешнего магнитного поля без использования рентгеновского облучения.
В нашей клинике можно пройти МРТ коленного сустава на новейшем высокопольном 32-канальном магнитно-резонансном томографе экспертного класса по доступной цене.
- Показания для проведения КТ коленного сустава
- Как подготовиться к КТ коленного сустава?
- Противопоказания для КТ коленного сустава
- Что показывает КТ коленного сустава
Показания для проведения КТ коленного сустава
- переломы костей;
- дегенеративно-дистрофические заболевания (артроз);
- воспалительные поражения колена (артриты, синовиты);
- повреждения связочно-сухожильного аппарата;
- скопления патологического экссудата (жидкости) в суставной сумке;
- кисты Бейкера
- костные наросты (остеофиты);
- доброкачественные или злокачественные новообразования;
- врожденные нарушения и аномалии строения;
- остеохондропатии;
- воспалительные или дегенеративные поражения, вызванные аутоиммунными патологиями;
- разрыв мягкотканных структур.
- боли в колене;
- травмы колена;
- острый или хронический болевой синдром в состоянии покоя и (или) при сгибании-разгибании коленного сустава;
- отек, припухлость кожи;
- гиперемия (покраснение) кожи, повышение местной температуры;
- снижение объема движений;
- утренняя скованность движений;
- треск, хруст, щелчки при ходьбе, сгибании-разгибании сочленения;
- синдром гипермобильности сустава с его избыточной подвижностью;
- видимая деформация колена, увеличение его в размерах.
Как подготовиться к КТ коленного сустава?
Компьютерная томография не требует специальной подготовки и может проводиться как в плановом порядке, так и по экстренным показаниям, например, при травмах нижних конечностей с повреждением коленного сустава.
Для более точной диагностики мы рекомендуем перед исследованием предоставить врачу-рентгенологу все документы, касающиеся зоны исследования. В перечень необходимых документов входит:
- Направление лечащего врача;
- Выписка из истории болезни или амбулаторной карты;
- Рентгеновские снимки, CD/DVD диски предыдущих КТ или МРТ исследований коленных суставов;
- Заключения профильных специалистов.
В случае необходимости введения контрастного вещества, пациенту требуется сдать анализ крови на уровень креатинина (показатель, отражающий функцию почек) в течение 14 дней до даты исследования.
Пациентам, принимающим по поводу сахарного диабета Метформин (Глюкофаж) или другие метформинсодержащие препараты, необходимо, по согласованию с эндокринологом, прекратить прием данного препарата за 48 часов до исследования с контрастированием и на 48 часов после введения контраста.
Для введения контрастного препарата пациенту предварительно устанавливается в локтевую вену венозный катетер. В момент введения контраста может быть ощущение тепла или жара во всем теле и неприятный привкус во рту, но этот дискомфорт полностью исчезает через 1-2 минуты.
Если планируется проведение внутривенного болюсного контрастирования женщине в период лактации, то мы рекомендуем предварительно сделать запас грудного молока, а после процедуры с введением контраста не прикладывать ребенка к груди в течение 24-48 часов, при этом молоко нужно сцеживать и выливать.
Во время исследования пациент ложится спиной на выдвижной стол томографа. Врач во время исследования находится в соседнем помещении. Наблюдение за пациентом происходит через стеклянную перегородку, связь осуществляется при помощи вмонтированного в аппарат переговорного устройства.
Противопоказания для КТ коленного сустава
Компьютерная томография является лучевым методом исследования и предполагает использование рентгеновского излучения. Поэтому во время беременности данное исследование не проводится из-за риска вредного воздействия на плод.
Кроме того, в нашей клинике невозможно выполнить КТ коленного сустава пациентам с массой тела более 120 кг. Данное ограничение обусловлено техническими характеристиками томографа.
Кроме ограничений для выполнения компьютерной томографии у пациента также могут быть противопоказания для введения контрастного препарата.
Контрастирование противопоказано в следующих случаях:
- если у пациента ранее отмечались аллергические реакции на йодсодержащие контрастные препараты;
- если у пациента имеются заболевания почек с развитием выраженной почечной недостаточности;
- при наличии застойной сердечной недостаточности;
- если имеются заболевания щитовидной железы с явлениями гипертиреоза, тиреотоксикоза;
- в случае тяжелого течения бронхиальной астмы;
- при декомпенсированном сахарном диабете.
Что показывает КТ коленного сустава
- переломы костей;
- артроз;
- артрит;
- скопление жидкости в суставе;
- кисту Бейкера;
- костные наросты на поверхности сустава;
- новообразования
- полные или неполные вывихи — по смещению образующих сустав элементов относительно друг друга;
- деформирующий остеоартроз, ревматический полиартрит
- злокачественную или доброкачественную опухоль
- гемартроз
- абсцесс.
Запишитесь на КТ коленного сустава по удобному адресу
ЗаписатьсяСтанция метро
Площадь Восстания Проспект Просвещения Нарвская Рыбацкое Девяткино Гражданский проспект Академическая Политехническая Площадь Мужества Лесная Выборгская Площадь Ленина Чернышевская Владимирская Пушкинская Технологический институт Балтийская Кировский завод Автово Ленинский проспект Проспект Ветеранов Парнас Озерки Удельная Пионерская Чёрная речка Петроградская Горьковская Невский проспект Сенная площадь Фрунзенская Московские ворота Электросила Парк Победы Московская Звёздная Купчино Беговая Зенит Приморская Василеостровская Гостиный двор Маяковская Площадь Александра Невского Елизаровская Ломоносовская Пролетарская Обухово Спасская Достоевская Лиговский проспект Площадь Александра Невского Новочеркасская Ладожская Проспект Большевиков Улица Дыбенко Комендантский проспект Старая Деревня Крестовский остров Чкаловская Спортивная Адмиралтейская Садовая Звенигородская Обводный канал Волковская Бухарестская Международная Проспект Славы Дунайская Шушары Богатырская Каменка Театральная Горный институт Путиловская Юго-Западная Кудрово Шуваловский проспект Каретная Боровая Заставская БроневаяРайон
Центральный Выборгский Кировский Адмиралтейски Василеостровский Калининский Колпинский Красногвардейский Красносельски Кронштадтский Курортный Московский Невский Петроградский Петродворцовый Приморский Пушкинский ФрунзенскийГород
Санкт-Петербург Бокситогорск Бугры Волосово Волхов Всеволожск Выборг Высоцк Гатчина Ивангород Каменногорск Кингисепп Кириши Кировск Колтуши Коммунар Кудрово Лодейное Поле Луга Любань Мурино Никольское Новая Ладога Отрадное Пикалёво Подпорожье Приморск Приозерск Светогорск Сертолово Сланцы Сосновый Бор Сясьстрой Тельмана Тихвин Тосно ШлиссельбургЦены
Услуги, соответствующие запросу, не найдены.
Адреса диагностических центров "Доступная Медицина"
Преимущества наших диагностических центров
Доступные цены
Приемлемые цены
на все услуги
Качественный сервис
Контроль качества
оказываемых услуг
Лучшие специалисты
Высококвалифицированные врачи
Новейшее оборудование
Современные томографы с высочайшим качеством визуализации
Близость к метро
Мы находимся в непосредственной близости от метро и остановок общественного транспорта
Наше оборудование
КТ-СПЕЦИАЛИСТЫ
Лицензии
Современные томографы с высочайшим качеством визуализации
Статьи наших врачей