КТ почек, мочеточников и мочевого пузыря (КТ-урография) в СПБ
- Введение контраста Нет
- Длительность выполнения 10/20 минут
- Ограничения по весу 120 кг
- Ограничения по возрасту От 15 лет
- Срок получения результата В течение дня
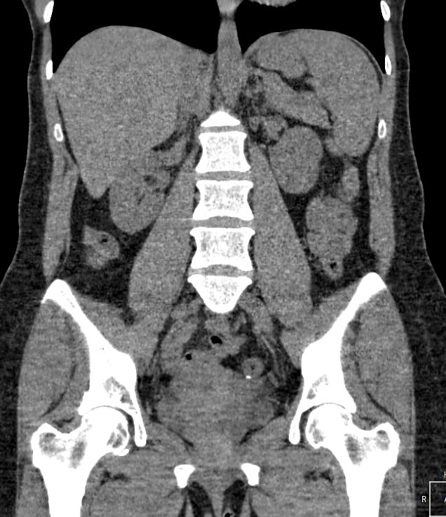
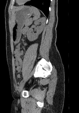
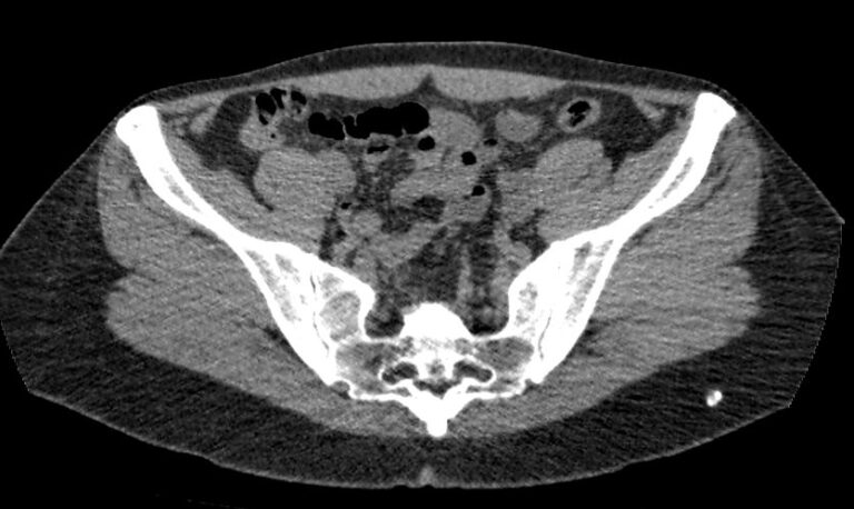
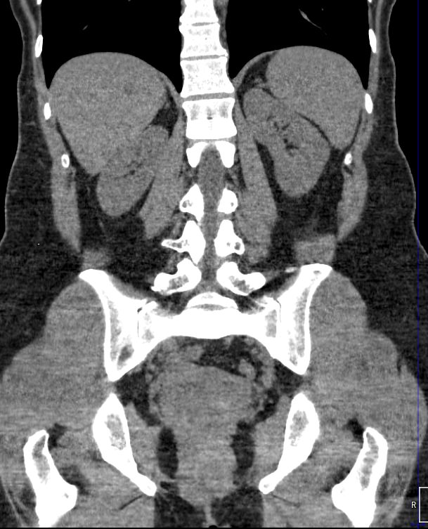
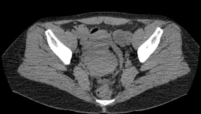
Мультиспиральная компьютерная томография – это один из наиболее информативных методов обследования органов мочевыделительной системы.
Методика КТ позволяет оценить анатомическое строение почек, надпочечников, состояние мочеточников и мочевого пузыря, кроме того, дает возможность визуализировать сосудистую систему и регионарные лимфатические узлы.
Сканирование применяется для выявления воспалительных заболеваний почек, чашечно-лоханочной системы, мочеточников и мочевого пузыря, также позволяет обнаружить конкременты на фоне мочекаменной болезни, диагностировать доброкачественные и злокачественные новообразования, точно классифицировать кистозные образования по системе Bosniak, что особенно важно для урологов и нефрологов, а также определить степень поражения регионарных лимфатических узлов. Кроме того, КТ используется для диагностики травматических повреждений органов мочевыделения, аномалий развития почечно-лоханочной системы, дает максимальную информацию для хирурга при планировании оперативного вмешательства.
Компьютерная томография базируется на использовании ионизирующего излучения. Рентгеновские лучи проникают в организм человека и в разной степени поглощаются органами и тканями, благодаря чему можно получить детальное изображения исследуемой области высокой четкости и контрастности.
В наших медицинских центрах обследование выполняется на современных мультиспиральных компьютерных томографах экспертного класса TOSHIBA AQUILION. Аппараты послойно сканируют исследуемую зону, получая детальные изображения органов и тканей высокого качества, в том числе, в 3D-формате. Современное оборудование позволяет при этом минимизировать лучевую нагрузку на организм пациента.
В случае необходимости информативность исследования может быть увеличена за счет контрастного усиления. Чаще всего эта методика применяется для диагностики опухолевых процессов. Йодсодержащий контрастный препарат вводится внутривенно и в большом количестве накапливается в опухолевых узлах благодаря тому, что опухоли имеют хорошо развитую систему кровоснабжения.
Контраст активно поглощает рентгеновские лучи, поэтому патологические образования становятся хорошо видны на снимках. Это позволяет выявлять опухоли минимальных размеров. Кроме того, с помощью контрастного усиления можно определить точные размеры и границы опухоли, оценить степень прорастания ее в соседние органы и ткани, обнаружить поражение регионарных лимфоузлов. Применение контрастирования также помогает отличить доброкачественные опухоли от злокачественных, выявить воспалительные изменения почек, чашечно-лоханочной системы, мочеточников и мочевого пузыря.
Наряду с компьютерной томографией для диагностики патологии мочевыделительной системы используется еще один высокоточный и информативный метод исследования – магнитно-резонансная томография. МРТ наилучшим образом визуализирует именно мягкотканные структуры, поэтому широко применяется для диагностики патологии почек и мочевыводящих путей. В нашей клинике МРТ почек можно пройти на новейшем высокопольном 32-канальном магнитно-резонансном томографе экспертного уровня.
- Показания к КТ почек, мочеточников, мочевого пузыря
- Подготовка к КТ почек, мочеточников и мочевого пузыря
- Противопоказания для проведения КТ почек, мочеточников и мочевого пузыря
- Что показывает КТ почек, мочеточников, мочевого пузыря
Показания к КТ почек, мочеточников, мочевого пузыря
- боли в области почек, мочеточников, мочевом пузыре (пояснице, тазу)
- признаки воспаления
- нарушения мочеиспускания
- болезненность при мочеиспускании
- наличие камней в почках, мочеточниках, мочевом пузыре;
- гидронефроз;
- травмах брюшины;
- контроле за ходом лечения при использовании химиотерапии;
- перед операцией;
- при злокачественной гипертонии.
- острых состояниях, требующих неотложного хирургического вмешательства;
Подготовка к КТ почек, мочеточников и мочевого пузыря
Чтобы получить снимки высокого качества, к данному исследованию необходимо подготовиться. Из-за того, что газы в кишечнике могут создавать помехи при сканировании, в течение 2-3 дней рекомендуется придерживаться диеты, исключающей продукты, которые усиливают газообразование.
В эти дни необходимо отказаться от употреблению в пищу сладкого, мучного, бобовых (горох, фасоль), овощей, всех видов капусты, кондитерских изделий.
При выраженном метеоризме мы рекомендуем в течение 2 дней принимать «Эспумизан» по 2 капсулы 3 раза в день. Непосредственно в день исследования «Эспумизан» принимать не нужно.
За 3-4 часа до исследования следует отказаться от приема пищи.
Желательно принести с собой медицинскую документацию, относящуюся к зоне исследования:
- Направление лечащего врача;
- Выписка из истории болезни или амбулаторной карты;
- Рентгеновские снимки, CD/DVD диски предыдущих КТ или МРТ-исследований почек, органов малого таза;
- Заключения профильных специалистов.
При необходимости введения контраста, необходимо предоставить анализ крови с контролем уровня креатинина давностью не более, чем 14 дней с момента сдачи биоматериала.
Пациентам, принимающим по поводу сахарного диабета Метформин (Глюкофаж или другие метформинсодержащие препараты), необходимо согласовать с эндокринологом временную отмену данного препарата за 48 часов до исследования с контрастированием и на 48 часов после введения контраста.
Для введения контраста в локтевую вену предварительно устанавливается венозный катетер. В определенный момент во время исследования контраст вводится в вену при помощи дозирующего устройства. Поступление контраста в кровоток может сопровождаться в течение нескольких минут ощущением теплоты во всем теле, появлением неприятного привкуса во рту, в дальнейшем этот дискомфорт полностью исчезает.
После окончания процедуры контраст выводится из организма в течение суток. Поэтому кормящим матерям мы рекомендуем в течение следующих 24-48 часов после исследования не прикладывать ребенка к груди, молоко при этом нужно сцеживать и выливать.
Во время исследования пациент ложится спиной на подвижную кушетку томографа. Для получения качественных результатов нельзя двигаться во время процедуры сканирования.
Врач и рентгенолаборант находятся в соседнем помещении за стеклянной перегородкой. В аппарат вмонтировано переговорное устройство для связи с врачом.
Противопоказания для проведения КТ почек, мочеточников и мочевого пузыря
Компьютерная томография не проводится во время беременности на любом сроке, так как рентгеновское излучение, которое применяется во время исследования, оказывает вредное воздействие на плод.
Также в наших центрах невозможно выполнить КТ пациентам с массой тела, превышающей 120 кг (подвижные части томографов имеют ограничения по весу).
Противопоказания для введения йодсодержащих контрастных препаратов:
- наличие в анамнезе аллергических реакций на йодсодержащие контрастные препараты;
- имеющиеся заболевания почек с выраженным снижением функции почек;
- застойная сердечная недостаточность;
- некоторые заболевания щитовидной железы (гипертиреоз, тиреотоксикоз);
- тяжелое течение бронхиальной астмы;
- декомпенсированный сахарный диабет.
Что показывает КТ почек, мочеточников, мочевого пузыря
- опущение почек;
- аномалии развития почек, мочетоников
- доброкачественные и злокачественные новообразования;
- камни (конкременты);
- уретероцеле
- сосудистую патологию (сосудисто-мочеточниковый конфликт, инфаркт почки);
- последствия оперативных вмешательств;
- увеличение лимфоузлов в брюшной полости, забрюшинном пространстве и малом тазу;
- травматические изменения
- патологии сосудов малого таза.
Запишитесь на КТ почек, мочеточников и мочевого пузыря по удобному адресу
ЗаписатьсяСтанция метро
Площадь Восстания Проспект Просвещения Нарвская Рыбацкое Девяткино Гражданский проспект Академическая Политехническая Площадь Мужества Лесная Выборгская Площадь Ленина Чернышевская Владимирская Пушкинская Технологический институт Балтийская Кировский завод Автово Ленинский проспект Проспект Ветеранов Парнас Озерки Удельная Пионерская Чёрная речка Петроградская Горьковская Невский проспект Сенная площадь Фрунзенская Московские ворота Электросила Парк Победы Московская Звёздная Купчино Беговая Зенит Приморская Василеостровская Гостиный двор Маяковская Площадь Александра Невского Елизаровская Ломоносовская Пролетарская Обухово Спасская Достоевская Лиговский проспект Площадь Александра Невского Новочеркасская Ладожская Проспект Большевиков Улица Дыбенко Комендантский проспект Старая Деревня Крестовский остров Чкаловская Спортивная Адмиралтейская Садовая Звенигородская Обводный канал Волковская Бухарестская Международная Проспект Славы Дунайская Шушары Богатырская Каменка Театральная Горный институт Путиловская Юго-Западная Кудрово Шуваловский проспект Каретная Боровая Заставская БроневаяРайон
Центральный Выборгский Кировский Адмиралтейски Василеостровский Калининский Колпинский Красногвардейский Красносельски Кронштадтский Курортный Московский Невский Петроградский Петродворцовый Приморский Пушкинский ФрунзенскийГород
Санкт-Петербург Бокситогорск Бугры Волосово Волхов Всеволожск Выборг Высоцк Гатчина Ивангород Каменногорск Кингисепп Кириши Кировск Колтуши Коммунар Кудрово Лодейное Поле Луга Любань Мурино Никольское Новая Ладога Отрадное Пикалёво Подпорожье Приморск Приозерск Светогорск Сертолово Сланцы Сосновый Бор Сясьстрой Тельмана Тихвин Тосно ШлиссельбургЦены
Услуги, соответствующие запросу, не найдены.
Адреса диагностических центров "Доступная Медицина"
Преимущества наших диагностических центров
Доступные цены
Приемлемые цены
на все услуги
Качественный сервис
Контроль качества
оказываемых услуг
Лучшие специалисты
Высококвалифицированные врачи
Новейшее оборудование
Современные томографы с высочайшим качеством визуализации
Близость к метро
Мы находимся в непосредственной близости от метро и остановок общественного транспорта
Наше оборудование
КТ-СПЕЦИАЛИСТЫ
Лицензии
Современные томографы с высочайшим качеством визуализации
Статьи наших врачей