Назад КТ орбит с контрастом в СПб

Цена:
от 6 400 руб
Записаться
  • Срок получения результата В течение 24 часов
Описание

Орбиты (или глазницы) – это костные углубления в лицевом черепе, где расположены глазные яблоки, окруженные жировой клетчаткой, а также слезные железы, слезные каналы, сосуды, нервы, мышцы и связки глаза. Такая небольшая по объему область содержит важные анатомические структуры, обеспечивающие нормальную функцию органа зрения.

Кроме того, область орбиты тесно связана с близлежащими структурами – полостью черепа с расположенным в ней головным мозгом, а также с полостью носа, околоносовыми пазухами и носоглоткой. Различные патологические процессы могут развиваться как в самой глазнице, так и в околоорбитальных структурах, но при этом распространяться на область орбит. 

Сложное строение глазницы и взаимосвязь с соседними анатомическими структурами затрудняет диагностику заболеваний глазного яблока и его придатков. Одним из наиболее информативных методов обследования органа зрения и окружающих тканей является мультиспиральная компьютерная томография. Кроме высокой информативности методика отличается быстротой и неинвазивностью (то есть не требует вмешательства в организм человека). Принцип получения изображений построен на применении ионизирующего излучения и разной способности тканей поглощать рентгеновские лучи. 

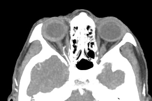
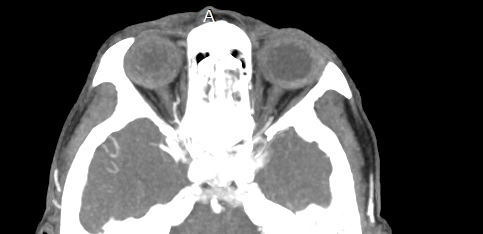
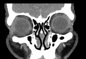
Мультиспиральная компьютерная томография лучше всего визуализирует ткани с высокой плотностью, к которым, в частности, относится костная ткань. Это делает КТ незаменимой при диагностике травматических повреждений глазниц, а также для выявления инородных тел орбит.

Для более детальной визуализации мягких тканей глазниц дополнительно применяется контрастное усиление. Для этого пациенту внутривенно вводится йодсодержащий контрастный препарат, благодаря которому становятся видны патологические образования размером до 1 мм. Методика позволяет обнаружить патологию еще до появления симптомов заболевания, когда лечение наиболее эффективно. 

Новейшее оборудование наших медицинских центров представлено современными мультиспиральными компьютерными томографами экспертного класса TOSHIBA AQUILION. Различные версии аппаратов способны выполнять одновременно множество тончайших срезов исследуемой зоны. Благодаря этому получаются детальные изображения высокого качества за несколько секунд. Толщина срезов при этом составляет от 0,5 мм, что позволяет выявить патологические процессы на самых ранних стадиях развития, тем самым повысить шансы больного на успешное лечение.

На основе результатов сканирования аппараты выстраивают трехмерные модели органов и тканей, что дает возможность увидеть их точное пространственное расположение по отношению друг к другу. 

Помимо высокой точности и информативности томографы обеспечивают минимальную дозу рентгеновского облучения для пациента. 

В некоторых ситуациях для оценки состояния мягких тканей глазниц или структур глазных нервов, а также прилегающих к ним областей более предпочтительной является методика магнитно-резонансной томографии. В этих случаях врач направляет пациента на МРТ орбит. Данное исследование можно провести в условиях нашей клиники на новейшем высокопольном 32-канальном томографе экспертного уровня.

Показания для КТ орбит с контрастом

Свернуть/развернуть

Поводом для назначения мультиспиральной КТ орбит с контрастом могут стать следующие симптомы:

  • боли в голове и глазных яблоках неясного происхождения;
  • резкое снижение зрения, выпадение полей зрения;
  • нарушения двигательной активности глаз;
  • травма лица и перелом стенок орбит;
  • рентгеноконтрастные инородные тела орбиты;
  • онкологические заболевания глаза, в том числе и вторичного (неопластического) генеза, прорастание опухолей из смежных областей;
  • повреждение и нарушение взаимоотношений мягких структур орбиты (глазное яблоко, мышцы, слезные железы);
  • обследование пациента перед челюстно-лицевыми операциями;
  • планирование и разметка перед пластическими операциями;
  • поражение слезных каналов и воспаление слезного мешка;
  • эндокринная офтальмопатия (разрастание ретробульбарной жировой клетчатки на фоне заболеваний щитовидной железы);
  • асимметричность глаз;

Кроме того, исследование назначается при необходимости визуализации глазных орбит перед проведением оперативного вмешательства и в послеоперационном периоде для оценки успешности проведенной операции.

Что показывает КТ орбит с контрастом

Свернуть/развернуть

На снимках КТ хорошо видны костные структуры глазниц, глазные яблоки, ретробульбарная клетчатка, слезные железы, канальцы, слезные мешки, носослезные каналы.

Мультиспиральная КТ с контрастом позволяет выявить:

  • инородные тела в глазницах;
  • воспалительные заболевания глазных яблок и придатков глаза;
  • врожденные аномалии развития, 
  • конкременты слезных каналов (дакриолиты), 
  • доброкачественные и злокачественные опухоли, в том числе, которые исходят из окружающих тканей.
  • поражения зрительного нерва;
  • травматические повреждения глазниц.

Подготовка к КТ орбит с контрастом

Свернуть/развернуть

Нативное исследование (то есть без применения контраста) не требует специальной подготовки, компьютерная томография с контрастированием требует определенной подготовки.

Желательно предоставить врачу все документы, которые относятся к зоне исследования. В перечень документов входят:

  • Направление лечащего врача;
  • Выписка из истории болезни или амбулаторной карты;
  • Рентгеновские снимки, CD/DVD диски предыдущих КТ- и МРТ-исследований головного мозга, орбит;
  • Заключения специалистов.

Так как контрастное вещество выводится из организма преимущественно почками, то необходимо в течение 2 недель до исследования сдать анализ крови на креатинин для оценки функциональной способности почек. При наличии почечной недостаточности контрастирование не проводится. В этом случае врач сможет предложить другой метод визуализации зоны орбит. 

Пациентам, которые принимают по поводу сахарного диабета такие сахароснижающие препараты, как Метформин, Глюкофаж или другие метформинсодержащие препараты, необходимо отменить прием данных лекарств за 48 часов до исследования с контрастированием и на 48 часов после введения контраста (чтобы согласовать временную отмену данных препаратов, необходимо проконсультироваться с эндокринологом).

Контрастный препарат вводится внутривенно через установленный в периферическую вену венозный катетер с помощью автоматического устройства (инжектора). В момент введения контраста может появиться неприятный привкус во рту, ощущение тепла во всем теле, но этот дискомфорт через пару минут быстро исчезает. Контрастное вещество в течение последующих суток полностью выводится из организма.

Кормящим женщинам, нуждающимся в проведении КТ орбит с контрастированием, необходимо на 24-48 часов после процедуры с введением контраста прервать грудное вскармливание, при этом молоко сцеживать и выливать. Предварительно мы рекомендуем сделать для ребенка запас грудного молока.

Для получения качественных изображений на снимках, пациента просят не двигаться в течение всей процедуры. Врач-рентгенолог во время исследования находится в соседнем помещении, разделенном с диагностическим кабинетом стеклянной перегородкой. В аппарат вмонтировано переговорное устройство, с помощью которого можно разговаривать с врачом и при необходимости вызвать медицинский персонал.

Противопоказания для проведения КТ орбит с контрастом

Свернуть/развернуть

Компьютерная томография не проводится в течение всего срока беременности, так как рентгеновское излучение, которое применяется во время процедуры КТ, оказывает вредное воздействие на плод.

Также в наших центрах невозможно выполнить КТ пациентам с массой тела более 120 кг из-за ограничения по весу подвижных частей томографов.

Противопоказания для введения йодсодержащих контрастных препаратов:

  • наличие в анамнезе аллергических реакций на йодсодержащие контрастные препараты; 
  • имеющиеся заболевания почек с выраженным снижением функции почек;
  • при застойной сердечной недостаточности;
  • при некоторых заболеваниях щитовидной железы (гипертиреоз, тиреотоксикоз);
  • в случае тяжелого течения бронхиальной астмы;
  • при декомпенсированном сахарном диабете.

Запишитесь на КТ орбит с контрастом по удобному адресу

Записаться
Фильтр по услугам КТ с контрастом

Введение контраста

С контрастом Без контраста

Станция метро

Площадь Восстания Проспект Просвещения Нарвская Рыбацкое Девяткино Гражданский проспект Академическая Политехническая Площадь Мужества Лесная Выборгская Площадь Ленина Чернышевская Владимирская Пушкинская Технологический институт Балтийская Кировский завод Автово Ленинский проспект Проспект Ветеранов Парнас Озерки Удельная Пионерская Чёрная речка Петроградская Горьковская Невский проспект Сенная площадь Фрунзенская Московские ворота Электросила Парк Победы Московская Звёздная Купчино Беговая Зенит Приморская Василеостровская Гостиный двор Маяковская Площадь Александра Невского Елизаровская Ломоносовская Пролетарская Обухово Спасская Достоевская Лиговский проспект Площадь Александра Невского Новочеркасская Ладожская Проспект Большевиков Улица Дыбенко Комендантский проспект Старая Деревня Крестовский остров Чкаловская Спортивная Адмиралтейская Садовая Звенигородская Обводный канал Волковская Бухарестская Международная Проспект Славы Дунайская Шушары Богатырская Каменка Театральная Горный институт Путиловская Юго-Западная Кудрово Шуваловский проспект Каретная Боровая Заставская Броневая

Возраст пациента

Взрослому Ребенку от 15 лет

Пол пациента

Мужчине Женщине

Программы страхования

ДМС Платно ОМС

Цены

Услуги, соответствующие запросу, не найдены.

КТ головного мозга с контрастом
руб
От 6 400 руб
КТ околоносовых пазух с контрастом
руб
От 6 400 руб
КТ орбит с контрастом
руб
От 6 400 руб
КТ носоглотки с контрастом
руб
От 6 400 руб
КТ щитовидной железы с контрастом
руб
От 6 400 руб
КТ лимфатических узлов с контрастом
руб
От 6 400 руб
КТ гортани с контрастом
руб
От 6 400 руб
КТ шеи с контрастом
руб
От 6 600 руб
КТ легких с контрастом
руб
От 6 400 руб
КТ почек с контрастом
руб
От 6 400 руб
КТ печени с контрастом
руб
От 6 400 руб
КТ селезенки с контрастом
руб
От 6 400 руб
КТ поджелудочной железы с контрастом
руб
От 6 400 руб
КТ надпочечников с контрастом
руб
От 6 400 руб
КТ мочевого пузыря с контрастом
руб
От 6 400 руб
КТ одной анатомической зоны с контрастом
руб
От 6 400 руб
КТ брюшной полости и забрюшинного пространства с контрастом
руб
От 6 400 руб
КТ таза с контрастом
руб
От 6 400 руб
КТ верхней конечности с контрастом
руб
От 6 400 руб
КТ нижних конечностей с контрастом
руб
От 7 500 руб
от бифуркации аорты до коленного сустава
руб
От 7 500 руб
от бифуркации аорты до стопы
руб
От 9 500 руб
Контраст 100 мл (до 100 кг)
руб
3 500 руб
Контраст 150 мл (от 100 кг до 120 кг)
руб
4 500 руб

Адреса диагностических центров "Доступная Медицина"

Преимущества наших диагностических центров

Доступные цены

Приемлемые цены
на все услуги

Качественный сервис

Контроль качества
оказываемых услуг

Лучшие специалисты

Высококвалифицированные врачи

Новейшее оборудование

Современные томографы с высочайшим качеством визуализации

Близость к метро

Мы находимся в непосредственной близости от метро и остановок общественного транспорта

Лицензии

Современные томографы с высочайшим качеством визуализации

Назад
Вперед
Ключникова Екатерина Игоревна
Информация проверена главным врачом клиники Domedica24
Ключникова Екатерина Игоревна
Стаж более 8 лет, главный врач, врач-рентгенолог 1 категории
Площадь Стачек, 9">
ул. 1-я Советская, 8">