Назад МРТ головного мозга + МР-ангиография головного мозга + МР-венография головного мозга в СПБ

10 400
/
По акции в Рыбацком
9 000
руб
Записаться на прием
10 400 руб
По акции в Рыбацком
9 000 руб
Записаться
  • Срок получения результата В течение дня
  • Ограничения по весу 120 кг
Описание

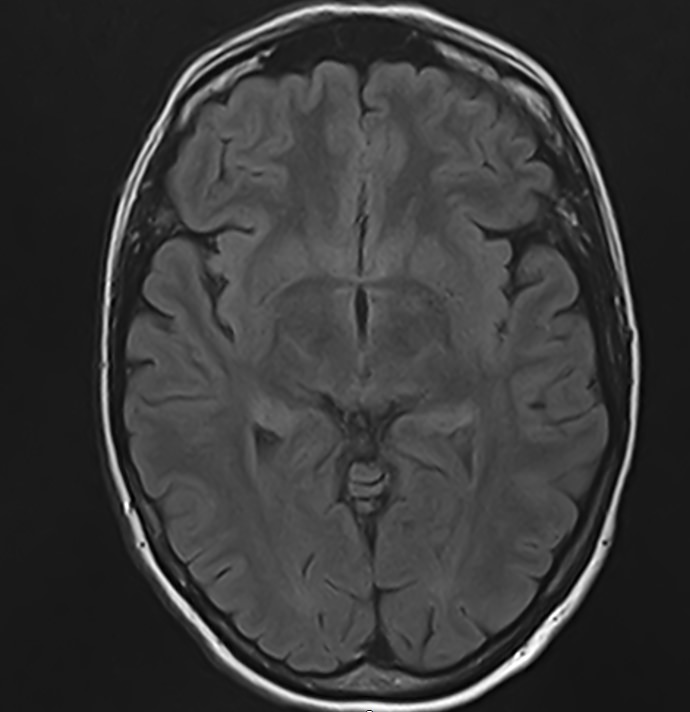
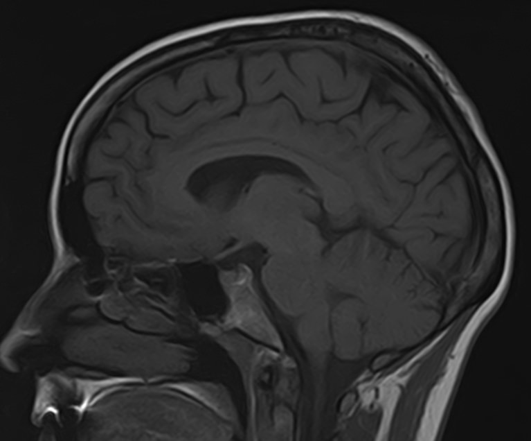
Золотым стандартом современной диагностики патологии головного мозга является магнитно-резонансная томография. Высокая информативность, отсутствие вредного рентгеновского излучения, достаточная быстрота и доступная цена исследования являются основными преимуществами данной методики.

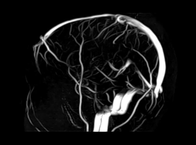
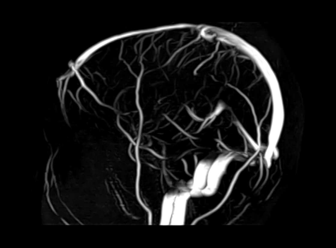
В клинике «Доступная медицина» возможно провести комплексное исследование, при котором проводится одновременно МРТ головного мозга с МР-ангиографией и МР-венографией сосудов головного мозга. Исследование проводится на современном томографе TOSHIBA VANTAGE TITAN 1,5 Тесла, который является аппаратом с высокой разрешающей способностью и используется для точной диагностики заболеваний центральной нервной системы. 

Стандартная МРТ головного мозга дает важную информацию о состоянии и структуре мозговой ткани для выявления большого числа заболеваний, в том числе опухолевых образований, демиелинизирующих заболеваний, воспалительных процессов головного мозга и мозговых оболочек. Стандартную МРТ головного мозга дополняет МР-ангиография, которая отображает состояние артериальной системы кровоснабжения головного мозга. МР-венография головного мозга позволяет детально изучить особенности анатомического и функциональной состояния венозного русла головного мозга.  

Компьютерная программа обрабатывает данные, полученные при сканировании, и формирует объемные изображения как самого мозга, так и сосудистой системы в отдельности без прилегающих тканей. Обе методики применяются одновременно и взаимодополняют друг друга, давая полную диагностическую картину. 

В большинстве случаев МРТ головного мозга + МР-ангиография головного мозга + МР-венография головного мозга проводится без контрастирования. Однако иногда требуется контрастное усиление для улучшения визуализации определенной области мозга или патологического образования. В этом случае пациенту внутривенно вводится контрастный препарат на основе солей гадолиния. Необходимость применения контраста определяется лечащим врачом индивидуально для каждого конкретного пациента.

Что показывает МРТ головного мозга + МР-ангиография головного мозга + МР-венография

Свернуть/развернуть

С помощью  магнитно-резонансной томографии можно диагностировать следующие патологии:

  • опухолевые образования доброкачественного и злокачественного генеза;
  • кистозные образования и псевдокисты;
  • очаги ишемического инсульта, кровоизлияния на фоне геморрагического инсульта;
  • воспалительные процессы со стороны мозговых оболочек и тканей головного мозга (менингиты, энцефалиты);
  • демиелинизирующие заболевания головного мозга, в том числе рассеянный склероз;
  • дегенеративные изменения в структурах головного мозга (болезнь Паркинсона, болезнь Альцгеймера, старческая деменция);
  • травматические повреждения головного мозга, наличие гематом;
  • изменения структуры ткани головного мозга, характерные для эпилепсии;
  • патология со стороны сосудов головного мозга (аневризмы, сужение просвета сосудов, сосудистые мальформации).

Какая нужна подготовка к МРТ головного мозга + МР-ангиографии головного мозга + МР-венография головного мозга

Свернуть/развернуть

Пациенту не требуется специально готовиться к исследованию. 

Необходимо принести с собой медицинскую документацию, относящуюся к зоне исследования:

  • направление от лечащего врача;
  • выписки из амбулаторных карт и стационаров;
  • результаты предыдущих исследований (МР-снимки, СD/DVD диски, снимки КТ).

Необходимо сообщить врачу о всех вживленных протезах и электронных устройствах, предоставить справки о материале, из которых они изготовлены (есть ряд металлов, относящихся к парамагнетикам, позволяющих проводить МРТ). 

Для проведения МРТ с контрастным усилением при подозрении на почечную недостаточность необходимо предоставить биохимический анализ крови с уровнем креатинина (давностью не более 14 дней). 

Контраст вводится внутривенно через предварительно установленный катетер с помощью специального устройства (инжектора), которое регулирует скорость введения и объем раствора. Происходит это в определенный момент во время исследования. При этом может быть кратковременное ощущение тепла или холода в теле, металлический привкус во рту, этот дискомфорт быстро исчезает. 

Контраст выводится из организма в течение суток преимущественно почками. Кормящим женщинам нужно прервать грудное вскармливание на 24-48 часов после процедуры с контрастированием, в это время проводить сцеживание молока.

В соседнем помещении необходимо оставить все электронные гаджеты, украшения и одежду с металлическими предметами. Женщинам может быть предложено удалить макияж, так как он может содержать металлические частицы.

Во время нахождения в туннеле томографа необходимо лежать, не двигаясь, чтобы получить качественный результат. 

Процедура полностью безболезненна, небольшой дискомфорт может доставлять громкий звук и постукивание прибора, что обусловлено технологией процесса. Чтобы уменьшить шум, можно воспользоваться берушами или наушниками. В руку пациенту дается сигнальное устройство в виде груши для связи с персоналом. В случае волнения или тревожности пациента перед процедурой возможно присутствие сопровождающего во время проведения исследования.

В каких случаях противопоказана МРТ головного мозга + МР-ангиография головного мозга + МР-венография:

Свернуть/развернуть
  • вес пациента, превышающий 120 кг, является препятствием для проведения МРТ (ограничение по весу определяется техническими характеристиками томографа);
  • наличие в теле пациента ферромагнитных протезов (пластин, штифтов, спиц, винтов, сосудистых клипс, скоб, искусственных клапанов сердца, за исключением изготовленных из биополимерных материалов) или металлических предметов (дробь, осколки, пирсинг, который нельзя удалить и пр.);
  • если присутствуют вживленные электронные устройства (кардиостимуляторы, водители ритма, кохлеарные имплантаты);
  • пациент испытывает панические атаки в закрытом помещении (клаустрофобия);
  • беременные женщины сроком до 13 недель (в это время необходимо исключить любое воздействие неблагоприятных факторов на плод);
  • исследование с контрастированием противопоказано в течение всего срока беременности;
  • аллергия на контраст (если предполагается введение контраста);
  • заболевания почек со снижением функции почек (противопоказание для введения контраста).

Запишитесь на МРТ головного мозга + МР-ангиография головного мозга + МР-венография головного мозга по удобному адресу

Записаться
Фильтр по услугам Комплексные исследования МРТ

Введение контраста

С контрастом Без контраста

Станция метро

Площадь Восстания Нарвская Проспект Просвещения Рыбацкое Девяткино Гражданский проспект Академическая Политехническая Площадь Мужества Лесная Выборгская Площадь Ленина Чернышевская Владимирская Пушкинская Технологический институт Балтийская Кировский завод Автово Ленинский проспект Проспект Ветеранов Парнас Озерки Удельная Пионерская Чёрная речка Петроградская Горьковская Невский проспект Сенная площадь Фрунзенская Московские ворота Электросила Парк Победы Московская Звёздная Купчино Беговая Зенит Приморская Василеостровская Гостиный двор Маяковская Площадь Александра Невского Елизаровская Ломоносовская Пролетарская Обухово Спасская Достоевская Лиговский проспект Площадь Александра Невского Новочеркасская Ладожская Проспект Большевиков Улица Дыбенко Комендантский проспект Старая Деревня Крестовский остров Чкаловская Спортивная Адмиралтейская Садовая Звенигородская Обводный канал Волковская Бухарестская Международная Проспект Славы Дунайская Шушары Богатырская Каменка Театральная Горный институт Путиловская Юго-Западная Кудрово Шуваловский проспект Каретная Боровая Заставская Броневая

Возраст пациента

Взрослому Ребенку от 15 лет

Пол пациента

Мужчине Женщине

Тип аппарата

Открытый Закрытый

Мощность МРТ

1.5 Тл 3 Тесла

Программы страхования

ДМС Платно ОМС

Цены

Услуги, соответствующие запросу, не найдены.

МР-скрининг всего тела
руб
14 200 руб
МРТ головного мозга + МР-ангиография головного мозга + МР-венография головного мозга
руб
10 400 / 9 000 руб
Подробнее
МРТ головного мозга + МР-ангиография головного мозга + МР-венография головного мозга + черепно-мозговые нервы
руб
13 400 / 12 200 руб
Подробнее
МРТ головного мозга + МРТ шейного отдела позвоночника + МР ангиография шеи
руб
10 400 / 9 000 руб
Подробнее
МРТ головного мозга + МР ангиография головного мозга + МРТ шейного отдела позвоночника
руб
10 400 / 9 000 руб
Подробнее
МРТ головного мозга + МР-ангиография головного мозга + 3 отдела позвоночника
руб
14 900 / 13 500 руб
Подробнее
МРТ головного мозга + МРТ шейного отдела позвоночника + МР-ангиография шеи и головного мозга
руб
13 400 / 12 200 руб
Подробнее
МРТ шейного отдела позвоночника + МР-ангиография шеи
руб
7 600 / 6 200 руб
Подробнее
МРТ головного мозга + МРТ орбит
руб
7 600 / 6 200 руб
Подробнее
МРТ головного мозга и гипофиза
руб
От 11 300 / 9 200 руб
Подробнее
МРТ головного мозга + черепно-мозговые нервы
руб
7 600 / 6 600 руб
Подробнее
МРТ головного мозга + шейного отдела позвоночника
руб
7 600 / 6 200 руб
Подробнее
МР-ангиография шеи и головного мозга
руб
7 600 / 6 200 руб
Подробнее
МРТ брюшной полости + МРТ забрюшинного пространства
руб
8 500 руб
МРТ брюшной полости+МР-холангиография
руб
9 600 / 8 600 руб
Подробнее
МРТ пояснично-крестцового отдела + копчик
руб
7 600 / 6 200 руб
Подробнее
МРТ пояснично-крестцового отдела позвоночника + МРТ крестцово-подвздошных сочленений
руб
7 600 / 6 200 руб
Подробнее
МРТ головного мозга, все отделы позвоночника
руб
13 400 / 12 200 руб
Подробнее
Комплексная МРТ позвоночника – 3 отдела
руб
10 600 / 9 200 руб
Подробнее
МРТ пояснично-крестцового отдела позвоночника + МРТ тазобедренных суставов
руб
8 300 / 6 900 руб
Подробнее
МРТ пояснично-крестцового отдела позвоночника + МРТ коленного сустава
руб
8 300 / 6 900 руб
Подробнее
МРТ шейного отдела позвоночника + МРТ плечевого сустава
руб
8 300 / 6 900 руб
Подробнее
МРТ всего позвоночника – 3 отдела + копчик
руб
13 400 / 12 200 руб
Подробнее

Адреса диагностических центров "Доступная Медицина"

Преимущества наших диагностических центров

Доступные цены

Приемлемые цены
на все услуги

Качественный сервис

Контроль качества
оказываемых услуг

Лучшие специалисты

Высококвалифицированные врачи

Новейшее оборудование

Современные томографы с высочайшим качеством визуализации

Близость к метро

Мы находимся в непосредственной близости от метро и остановок общественного транспорта

Лицензии

Современные томографы с высочайшим качеством визуализации

Назад
Вперед
Ключникова Екатерина Игоревна
Информация проверена главным врачом клиники Domedica24
Ключникова Екатерина Игоревна
Стаж более 8 лет, главный врач, врач-рентгенолог 1 категории
Площадь Стачек, 9">
ул. 1-я Советская, 8">