Назад МРТ яичников в СПБ

7 800
/
По акции в Рыбацком
6 400
руб
Записаться на прием
7 800 руб
По акции в Рыбацком
6 400 руб
Записаться
  • Длительность выполнения 40 минут
  • Срок получения результата В течение дня
  • Ограничения по весу 120 кг
  • Ограничения по возрасту От 15 лет
  • Введение контраста Нет
Описание

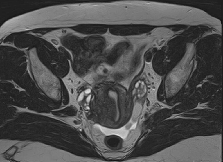
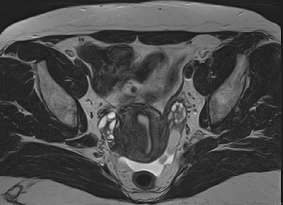
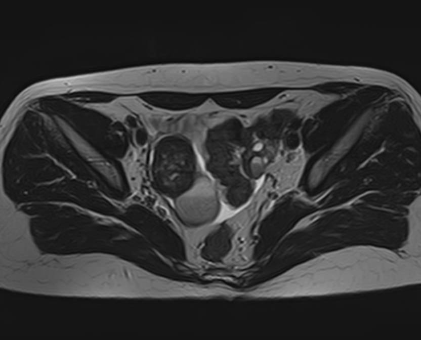
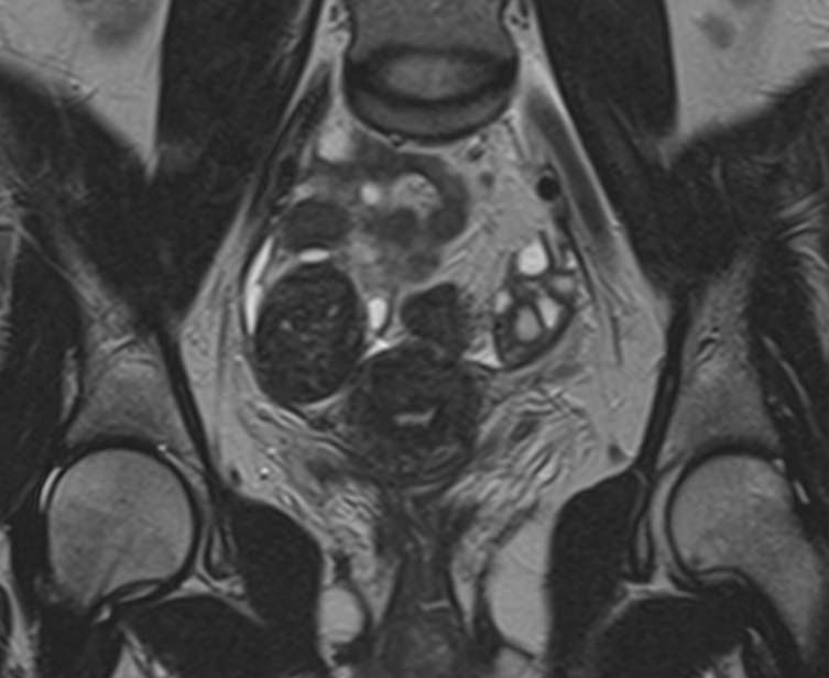
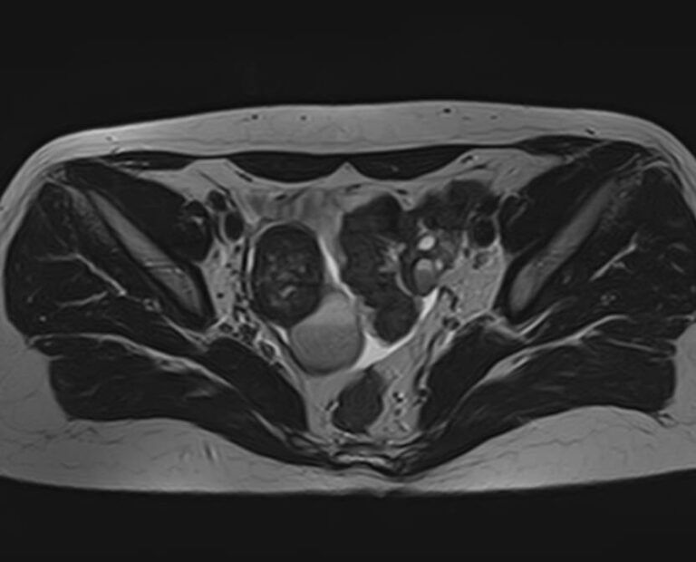
В клинике «Доступная медицина» МРТ яичников выполняется на современном томографе экспертного класса TOSHIBA VANTAGE TITAN 1,5 Тесла, который производит послойное сканирование анатомической области яичников в трех различных плоскостях с последующей цифровой обработкой полученных данных и построением трехмерных изображений исследуемой зоны.

Преимуществами МР сканирования является его высокая информативность, при этом безопасность, так как в основе метода лежит воздействие внешнего магнитного поля без использования рентгеновского излучения, что особенно важно при обследовании органов репродуктивной системы.

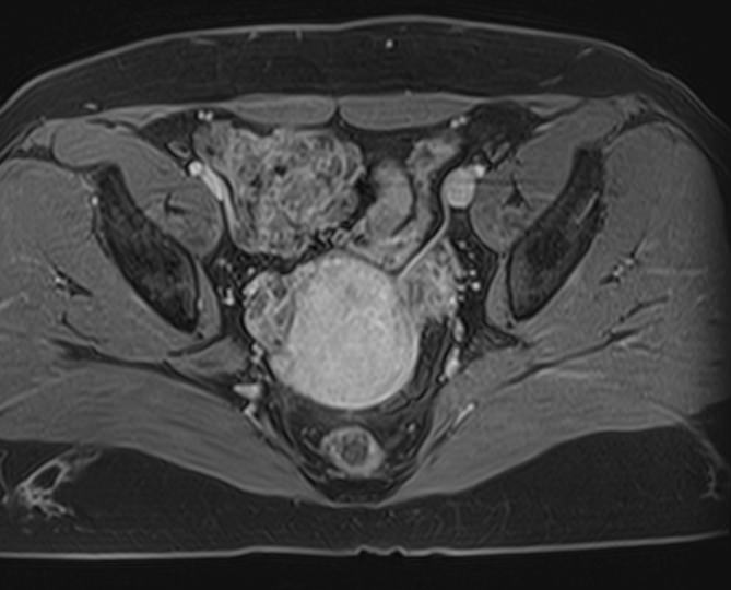
Стандартная МРТ яичников без контрастирования дает детальную информацию о состоянии яичников и окружающих тканей, но при необходимости уточнения патологических изменений, при проведении дифференциальной диагностики, внутривенно вводится контрастное вещество.

С помощью контрастного усиления повышаются шансы обнаружить минимальные изменения в органах, так как контраст избирательно фиксируется в патологических очагах, давая яркое свечение. В первую очередь, речь идет о выявлении опухолей на самых ранних стадиях развития, что имеет решающее значение в плане прогноза для жизни и здоровья пациентки.
Для контрастирования применяются препараты, содержащие соли химического элемента гадолиния (Омнискан, Гадовист и др).

ПОКАЗАНИЯ К МРТ ЯИЧНИКОВ

Свернуть/развернуть

В большинстве случаев магнитно-резонансная томография яичников назначается в том случае, когда другие виды исследования (например, УЗИ) оказываются не показательными. Исследование необходимо в таких случаях:

  • Болевые ощущения в нижней части живота;
  • Подозрение на наличие доброкачественных и злокачественных новообразований;
  • Женское бесплодие;
  • Подозрение на нарушение функционирования яичников;
  • Нерегулярный менструальный цикл;
  • Врожденные аномалии строения яичников.

Специалисты могут назначить магнитно-резонансную томографию яичников и после хирургических вмешательств. В этом случае диагностика помогает отслеживать динамику.

Что показывает МРТ яичников?

На МР-исследовании могут быть обнаружены:

  • пороки развития;
  • снижение числа фолликулов или их отсутствие;
  • функциональность имеющихся фолликулов;
  • кисты;
  • острое и хроническое воспаление, абсцессы;
  • опухолевые процессы.

Подготовка к исследованию

Свернуть/развернуть

Чтобы получить качественные и достоверные результаты, необходимо заранее подготовиться к данному исследованию. Требуется соблюдение диеты для уменьшения количества газов в кишечнике, которые могут дать артефакты на полученных изображениях.

За три дня до исследования рекомендуется исключить из рациона пищу, повышающую газообразование (сладкое, мучное, жирное, бобовые, газированные напитки, капусту) и принимать «Эспумизан» по 2 капсулы 3 раза в день (если есть проблемы с газообразованием!). В день исследования «Эспумизан» принимать не нужно. 

За 3-4 часа до исследования следует отказаться от приема пищи.

За 30-40 минут до исследования необходимо выпить 2 таблетки «Но-шпы» для снижения перистальтики кишечника. 

Необходимо принести с собой медицинскую документацию, относящуюся к зоне исследования:

  • направление от лечащего врача;
  • выписки из амбулаторных карт и стационаров;
  • результаты предыдущих исследований (МР-снимки, CD/DVD диски, снимки КТ, результаты УЗИ).

Также необходимо сообщить врачу о всех вживленных протезах и электронных устройствах, а также о возможной беременности. 

Кроме того, нужно предоставить справки об имеющихся имплантатах, так как они могут быть изготовлены из материалов, позволяющих проводить МРТ. Если их расположение не создает помех для визуализации исследуемой зоны, врач-рентгенолог примет решение о возможности проведения МРТ.

Если запланировано применение контраста, то пациентке с подозрением на снижение функции почек необходимо предоставить анализ крови с контролем уровня креатинина давностью не более, чем 14 дней до исследования.

Для введения контраста в локтевую вену предварительно устанавливается венозный катетер. В определенный момент во время исследования контраст вводится в вену при помощи дозирующего устройства. Поступление контраста в кровоток может сопровождаться в течение нескольких минут ощущением теплоты во всем теле, появлением неприятного привкуса во рту, в дальнейшем этот дискомфорт полностью исчезает. 

После окончания процедуры контраст выводится из организма в течение суток. Поэтому, если пациентка является кормящей мамой, то в течение следующих 24-48 часов после исследования нельзя прикладывать ребенка к груди, молоко при этом нужно сцеживать и выливать.

Непосредственно перед процедурой нужно убрать все электронные устройства, мобильные телефоны, пластиковые карты и металлические предметы, снять украшения, пирсинг, одежду с металлической фурнитурой. 

Пациентка ложится спиной на подвижную кушетку томографа. В течение всего периода исследования необходимо не двигаться для получения качественных результатов. 

 Врач и рентгенолаборант находятся в соседнем помещении за стеклянной перегородкой. В аппарат вмонтировано переговорное устройство для связи с врачом. Кроме того, вызвать персонал можно, нажав на специальное сигнальное устройство. По желанию разрешается присутствие родственника или близкого человека при проведении процедуры.

Противопоказания к МРТ яичников

Свернуть/развернуть

МРТ противопоказано при: 

  • наличии в теле пациентки металлических изделий медицинского назначения – это могут быть сосудистые клипсы, стенты, кава-фильтры, суставные протезы, спицы, штифты, пластины), а также при наличии инородных металлических предметов (дробь, пули, осколки, татуировки с использованием металлосодержащих красок);
  • наличии вживленных электронных устройств, это могут быть кардиостимуляторы, водители ритма, кохлеарные имплантаты, нейростимуляторы, инсулиновые помпы;
  • при беременности до 13 недель, когда нежелательно воздействие на плод любых неблагоприятных факторов;
  • если вес пациентки превышает 120 кг (данное ограничение связано с техническими особенностями томографа);
  • если пациентка испытывает клаустрофобию (из-за риска развития панической атаки во время пребывания внутри цилиндрической части томографа);
  • противопоказаниями для введения контраста является наличие в анамнезе аллергических реакций на контрастное вещество, беременность на любом сроке, хроническая почечная недостаточность.

Когда выполняется МРТ яичников

Свернуть/развернуть
  • Для исключения некоторых видов опухолей и дифференциальной диагностики с другими заболеваниями тазовых органов и придатков матки.
  • С целью поиска причины нарушения фертильной функции при лечении бесплодия.
  • Для принятия решения о хирургическом лечении и планирования операций. Так, МРТ прикисте яичника, например, помогает установить, необходима ли операция и определиться с предполагаемым объемом вмешательства.
  • При болевом синдроме в области низа живота.
  • Для динамического наблюдения за проблемой и контроля эффективности её лечения.
  • Для контроля малоинвазивных процедур, таких как биопсия.

МРТ яичников: что показывает процедура

  • Апоплексию яичника (разрыв придатка, сопровождающийся попаданием крови в брюшную полость и сильным болевым синдромом);
  • Новообразования яичников (кисты, фибромы, рак);
  • Признаки доброкачественного или злокачественного характера опухоли;
  • Врожденные аномалии развития придатков;
  • Признаки синдрома поликистозных яичников;
  • Вовлеченность в опухолевый процесс соседних органов.

Запишитесь на МРТ яичников по удобному адресу

Записаться
Фильтр по услугам МРТ органов малого таза

Введение контраста

С контрастом Без контраста

Станция метро

Площадь Восстания Нарвская Проспект Просвещения Рыбацкое Девяткино Гражданский проспект Академическая Политехническая Площадь Мужества Лесная Выборгская Площадь Ленина Чернышевская Владимирская Пушкинская Технологический институт Балтийская Кировский завод Автово Ленинский проспект Проспект Ветеранов Парнас Озерки Удельная Пионерская Чёрная речка Петроградская Горьковская Невский проспект Сенная площадь Фрунзенская Московские ворота Электросила Парк Победы Московская Звёздная Купчино Беговая Зенит Приморская Василеостровская Гостиный двор Маяковская Площадь Александра Невского Елизаровская Ломоносовская Пролетарская Обухово Спасская Достоевская Лиговский проспект Площадь Александра Невского Новочеркасская Ладожская Проспект Большевиков Улица Дыбенко Комендантский проспект Старая Деревня Крестовский остров Чкаловская Спортивная Адмиралтейская Садовая Звенигородская Обводный канал Волковская Бухарестская Международная Проспект Славы Дунайская Шушары Богатырская Каменка Театральная Горный институт Путиловская Юго-Западная Кудрово Шуваловский проспект Каретная Боровая Заставская Броневая

Возраст пациента

Взрослому Ребенку от 15 лет

Пол пациента

Мужчине Женщине

Тип аппарата

Открытый Закрытый

Мощность МРТ

1.5 Тл 3 Тесла

Программы страхования

ДМС Платно ОМС

Цены

Услуги, соответствующие запросу, не найдены.

Адреса диагностических центров "Доступная Медицина"

Преимущества наших диагностических центров

Доступные цены

Приемлемые цены
на все услуги

Качественный сервис

Контроль качества
оказываемых услуг

Лучшие специалисты

Высококвалифицированные врачи

Новейшее оборудование

Современные томографы с высочайшим качеством визуализации

Близость к метро

Мы находимся в непосредственной близости от метро и остановок общественного транспорта

Лицензии

Современные томографы с высочайшим качеством визуализации

Назад
Вперед
Ключникова Екатерина Игоревна
Информация проверена главным врачом клиники Domedica24
Ключникова Екатерина Игоревна
Стаж более 8 лет, главный врач, врач-рентгенолог 1 категории
Площадь Стачек, 9">
ул. 1-я Советская, 8">