Назад МРТ черепно-мозговых нервов в СПБ

4 600
/
По акции в Рыбацком
3 200
руб
Записаться на прием
4 600 руб
По акции в Рыбацком
3 200 руб
Записаться
  • Длительность выполнения 15 минут
  • Срок получения результата В течение дня
  • Введение контраста Нет
  • Ограничения по возрасту От 15 лет
  • Ограничения по весу 120 кг
Воспроизвести
Описание

Одной из актуальных проблем неврологии и нейрохирургии является поражение черепно-мозговых нервов, которое возникает на фоне различных заболеваний.

У человека в состав нервной системы входит 12 пар черепных нервов. Ядра, из которых берет начало каждый нерв, расположены в головном мозге и представляют собой скопления тел нейронов. Образованные в ядре нервные волокна выходят из черепа сквозь анатомические отверстия и далее направляются к органам чувств и мышцам. В зависимости от того, какой нерв поражен (вследствие опухоли, инфекции, травмы, воспаления, инсульта и др), происходит выпадение той или иной его функции. Это определяет разнообразие неврологической симптоматики.

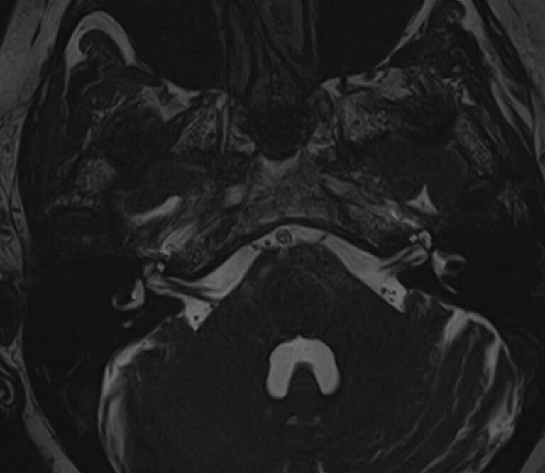
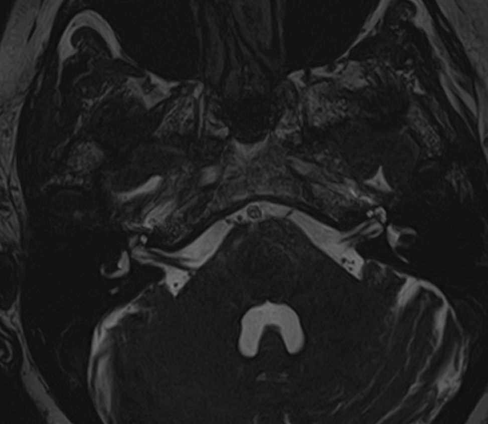
Магнитно-резонансная томография позволяет детально визуализировать изменения черепных нервов и прилегающих структур. В клинике «Доступная медицина» для точной диагностики причин поражения черепно-мозговых нервов применяется новейший высокопольный 32-канальный томограф TOSHIBA VANTAGE TITAN 1,5 Тесла, который обладает высокой чувствительностью и способностью определить минимальные изменения исследуемого органа.

Для обнаружения и уточнения характера изменений черепно-мозговых нервов также применяется МРТ с контрастным усилением. Для этого используется безопасный контрастный препарат на основе солей гадолиния.

Показания к МРТ черепно-мозговых нервов:

Свернуть/развернуть
  • снижение слуха на одно ухо и звон в ухе;
  • воспалительные заболевания головного мозга и сосудов;
  • нарушение зрения, глотания;
  • боли и онемение одной половине лица;
  • невриты или невропатии головы, шеи;
  • спазмы мышц лица;
  • подозрение на онкологическое заболевание.

 

Магнитно-резонансная томография черепно-мозговых нервов показана пациентам с симптомами, указывающими на их дисфункцию: боли неясного происхождения, нарушение чувствительности, атрофия мышц рта, лица, головы.

Исследование проводят при подозрении на инфекционные, воспалительные, демиелинизирующие или опухолевые процессы, которые могут быть следствием следующих заболеваний:

  • опухоли нерва или прилегающих тканей, метастазы;
  • неврит;
  • рассеянный склероз;
  • нервно-сосудистая компрессия;
  • нейрофиброматоз и другие врожденные заболевания.

Также МРТ широко используется для отслеживания динамики патологического процесса и оценки эффективности лечебных мероприятий.

Симптомы поражения ЧМН

Свернуть/развернуть

Признаки нарушения функций ЧМН разнообразны. Причинами поражения могут быть серьезные заболевания, которые требуют незамедлительного обращения к врачу. Для установления точного диагноза в комплексе с другими методами используют МРТ и КТ головного мозга. Оба исследования имеют свои особенности. Компьютерная томография позволяет хорошо визуализировать изменения костной ткани. На МР-изображениях лучше просматриваются мягкотканные структуры, поэтому МРТ головного мозга с прицельным осмотром черепно-мозговых нервов является методом выбора в подобных случаях.

  • изменения в восприятии запахов, обонятельные галлюцинации;
  • выпадения полей зрения, уменьшение его остроты;
  • птоз (опущение век), косоглазие, уменьшение амплитуды движения глазных яблок, стойкое изменение размера одного зрачка без связи с реакцией на свет;
  • повышенное или недостаточное слезоотделение;
  • болевые ощущения или нарушение чувствительности кожи лица;
  • паралич жевательной и/или мимической мускулатуры с изменением симметрии;
  • непроизвольные подёргивания головой; затруднение поворота головы, поднимание руки выше горизонтальной линии;
  • нарушение чувствительности языка, сухость во рту;
  • изменение восприятия вкусовых ощущений;
  • невозможность проглотить сухую пищу;
  • трудности при разговоре, изменение голоса в сочетании с нарушением функционирования желудочно-кишечного тракта, дыхания, перебоями в работе сердца;
  • головокружения и нарушение координации движений.

Подготовка к МРТ черепно-мозговых нервов

Свернуть/развернуть

Одним из преимуществ данного метода обследования является быстрота и отсутствие специальной подготовки. 

Необходимо принести с собой медицинскую документацию, относящуюся к зоне исследования:

  • направление от лечащего врача;
  • выписки из амбулаторных карт и стационаров;
  • результаты предыдущих исследований (МР-снимки, СD/DVD диски, снимки КТ).

Женщины должны проинформировать врача о наличии беременности.

В соседнем помещении нужно оставить все электронные устройства, металлические предметы, украшения, одежду с элементами из металла. Во время процедуры пациент располагается на столе томографа, лежа на спине.

Время проведения стандартной МРТ черепно-мозговых нервов без контрастирования составляет около 20-30 минут, если планируется введение контраста — еще дополнительно 15-20 минут. Нужно приготовиться к тому, что придется лежать неподвижно, в противном случае невозможно получить качественные снимки.

Медработники будут находиться в соседнем помещении и наблюдать за пациентом через окно. В аппарат вмонтировано переговорное устройство, вызвать персонал можно, нажав на специальное сигнальное устройство. 

Введение контраста производится внутривенно, непосредственно во время исследования. Контраст выводится из организма в течение последующих суток, поэтому кормящим матерям необходимо прервать грудное вскармливание на 24-48 часов после исследования, молоко сцеживать и выливать.

Противопоказания для проведения МРТ черепно-мозговых нервов:

Свернуть/развернуть
  • наличие в теле пациента ферромагнитных протезов или электронных устройств (пластины, штифты, сосудистые клипсы, кава-фильтры, стенты, искусственные клапаны сердца, ортодонтические конструкции, имплантаты внутреннего уха, искусственные водители ритма, кардиостимуляторы, инсулиновые помпы); если протез изготовлен из материала, относящегося к парамагнетикам или диамагнетикам (алюминий, титан), необходимо предоставить справку из учреждения, где он был установлен — на основании этих сведений и, учитывая расположение протеза по отношению к исследуемой области, врач примет решение о возможности проведения МРТ или предложит другой метод обследования;
  • металлические осколки, дробины, пирсинг, который невозможно удалить, металлизированные татуировки;
  • тяжелое общее состояние пациента (отсутствие сознания, проведения ИВЛ);
  • первый триместр беременности, когда плод наиболее уязвим и необходимо исключить любое неблагоприятное воздействие;
  • беременность на любом сроке является противопоказанием для введения контраста;
  • боязнь закрытых пространств (клаустрофобия);
  • вес пациента, превышающий 120 кг (ограничение по весу выдвижного стола томографа);
  • аллергические реакции на контрастное вещество; 
  • снижение функции почек (в случае если планируется введение контраста, всем пациентам проводится исследование уровня креатинина в крови не позднее, чем за 14 дней до исследования).

Запишитесь на МРТ черепно-мозговых нервов по удобному адресу

Записаться
Фильтр по услугам МРТ головы

Введение контраста

С контрастом Без контраста

Станция метро

Площадь Восстания Нарвская Проспект Просвещения Рыбацкое Девяткино Гражданский проспект Академическая Политехническая Площадь Мужества Лесная Выборгская Площадь Ленина Чернышевская Владимирская Пушкинская Технологический институт Балтийская Кировский завод Автово Ленинский проспект Проспект Ветеранов Парнас Озерки Удельная Пионерская Чёрная речка Петроградская Горьковская Невский проспект Сенная площадь Фрунзенская Московские ворота Электросила Парк Победы Московская Звёздная Купчино Беговая Зенит Приморская Василеостровская Гостиный двор Маяковская Площадь Александра Невского Елизаровская Ломоносовская Пролетарская Обухово Спасская Достоевская Лиговский проспект Площадь Александра Невского Новочеркасская Ладожская Проспект Большевиков Улица Дыбенко Комендантский проспект Старая Деревня Крестовский остров Чкаловская Спортивная Адмиралтейская Садовая Звенигородская Обводный канал Волковская Бухарестская Международная Проспект Славы Дунайская Шушары Богатырская Каменка Театральная Горный институт Путиловская Юго-Западная Кудрово Шуваловский проспект Каретная Боровая Заставская Броневая

Возраст пациента

Взрослому Ребенку от 15 лет

Пол пациента

Мужчине Женщине

Тип аппарата

Открытый Закрытый

Мощность МРТ

1.5 Тл 3 Тесла

Программы страхования

ДМС Платно ОМС

Цены

Услуги, соответствующие запросу, не найдены.

МРТ головного мозга
руб
4 600 / 3 200 руб
Подробнее
МР-ангиография головного мозга
руб
4 600 / 3 200 руб
Подробнее
МР-венография головного мозга
руб
4 600 / 3 200 руб
Подробнее
МРТ черепно-мозговых нервов
руб
4 600 / 3 200 руб
Подробнее
МРТ головного мозга и МР-ангиография головного мозга
руб
7 600 / 6 200 руб
Подробнее
МРТ головного мозга и МР-венография головного мозга
руб
7 600 / 6 200 руб
Подробнее
МРТ гипофиза
руб
От 7 600 / 6 200 руб
Подробнее
МРТ орбит
руб
4 600 / 3 200 руб
Подробнее
МРТ придаточных пазух носа
руб
4 600 / 3 200 руб
Подробнее
МРТ внутреннего уха
руб
5 400 / 4 000 руб
Подробнее
МРТ головного мозга и гипофиза
руб
От 11 300 / 9 200 руб
Подробнее
МРТ головного мозга+мосто-мозжечкового угла
руб
7 600 / 6 600 руб
Подробнее
МРТ головного мозга + МРТ орбит
руб
7 600 / 6 200 руб
Подробнее
МРТ головного мозга + черепно-мозговые нервы
руб
7 600 / 6 600 руб
Подробнее

Адреса диагностических центров "Доступная Медицина"

Преимущества наших диагностических центров

Доступные цены

Приемлемые цены
на все услуги

Качественный сервис

Контроль качества
оказываемых услуг

Лучшие специалисты

Высококвалифицированные врачи

Новейшее оборудование

Современные томографы с высочайшим качеством визуализации

Близость к метро

Мы находимся в непосредственной близости от метро и остановок общественного транспорта

Лицензии

Современные томографы с высочайшим качеством визуализации

Назад
Вперед
Ключникова Екатерина Игоревна
Информация проверена главным врачом клиники Domedica24
Ключникова Екатерина Игоревна
Стаж более 8 лет, главный врач, врач-рентгенолог 1 категории
Площадь Стачек, 9">
ул. 1-я Советская, 8">