Назад МРТ мосто-мозжечкового угла в СПБ

7 600
/
По акции в Рыбацком
6 600
руб
Записаться на прием
7 600 руб
По акции в Рыбацком
6 600 руб
Записаться
  • Срок получения результата В течение дня
  • Ограничения по весу 120 кг
Воспроизвести
Описание

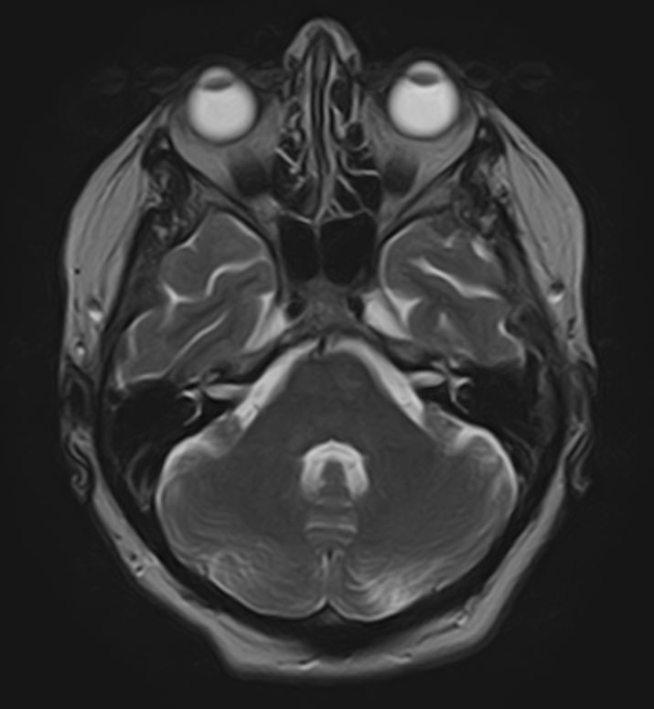
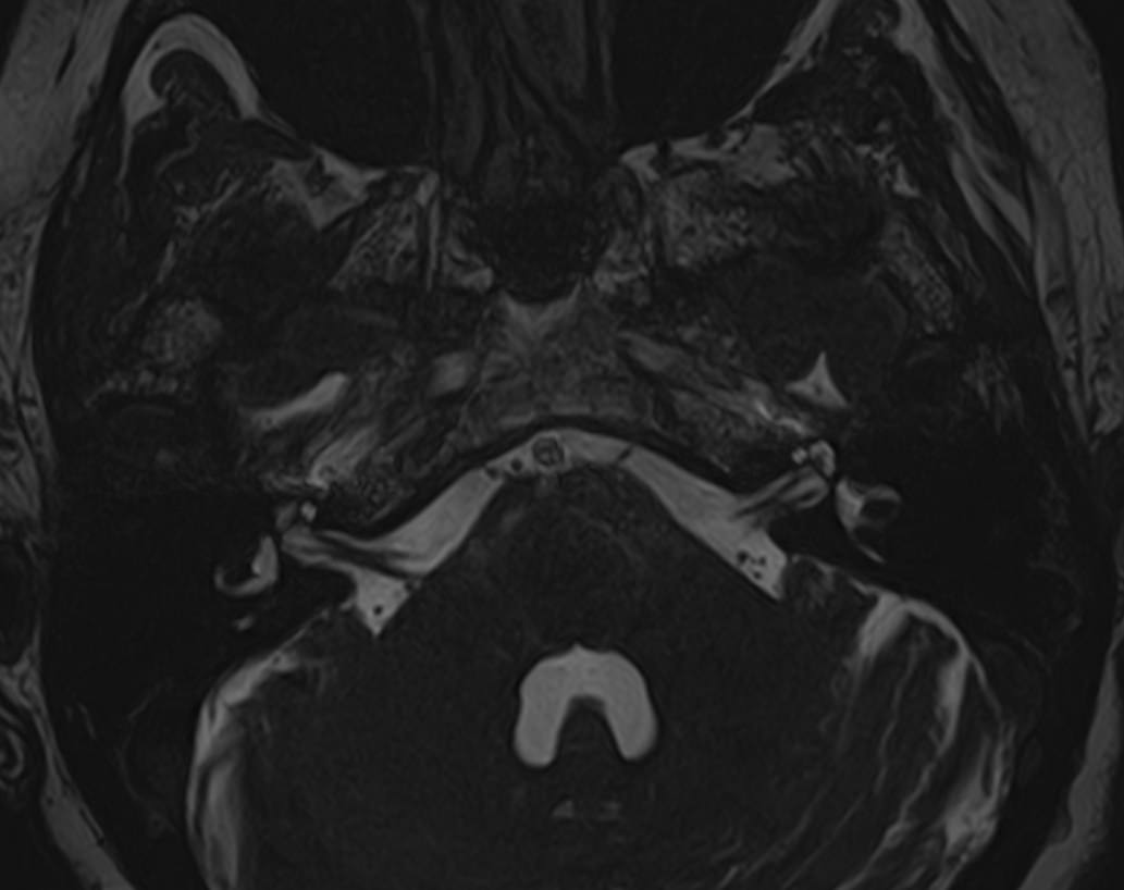
Мосто-мозжечковый угол — это пространство вблизи основания черепа в виде углубления между анатомическими образованиями: продолговатым мозгом, мозжечком и Варолиевым мостом. В этой области располагаются волокна многих черепно-мозговых нервов (например, лицевого, тройничного, преддверно-улиткового), проходят мозговые артерии и многочисленные вены мозжечка.

В мосто-мозжечковом угле часто развиваются воспалительные процессы (арахноидиты) с формированием в дальнейшем арахноидальных кист. Могут выявляться аневризмы расположенных здесь артерий. Но чаще всего в этой области образуются объемные образования, как злокачественные, так и доброкачественные, которые сдавливают расположенные там нервные волокна, кровеносные сосуды и пути ликворного оттока. Наиболее часто встречающаяся опухоль этой области — невринома преддверно-улиткового нерва. В большинстве случаев она имеет доброкачественный характер, развивается, как правило, у людей трудоспособного возраста, преимущественно у женщин. Реже встречаются менингиомы и холестеатомы мосто-мозжечкового угла. 

Самым информативным, при этом быстрым и безопасным, методом диагностики опухолей мосто-мозжечкового угла на сегодняшний день является магнитно-резонансная томография с контрастированием. В клинике «Доступная медицина» проводится эффективная диагностика патологии мосто-мозжечкового угла с использованием новейшего томографа TOSHIBA VANTAGE TITAN 1,5 Тесла. Высокая мощность магнитного поля 1,5 Тесла позволяет получить подробное изображение этой труднодоступной для диагностики области в различных плоскостях. 

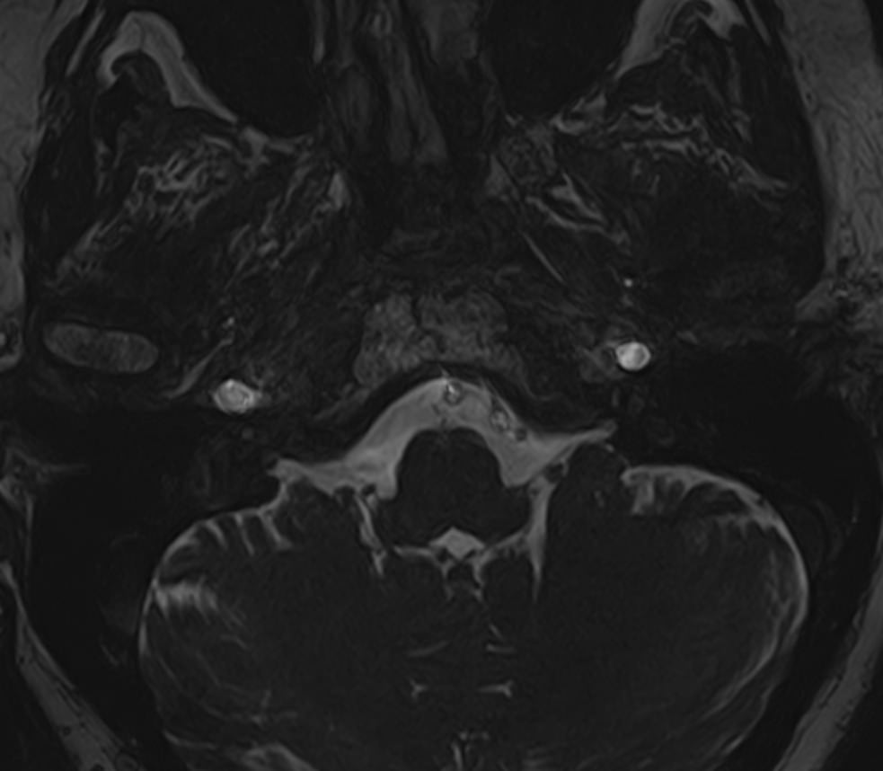
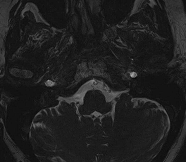
Контрастирование проводится контрастным веществом на основе солей гадолиния (химический элемент, относящийся к редкоземельным металлам). Применяемый контрастный препарат накапливается в патологическом очаге, за счет чего при сканировании усиливается его яркость изображения. Это дает возможность выявить опухоли малых размеров (до 3 мм) и назначить своевременное лечение. Кроме того, контраст заполняет просвет сосудов, благодаря чему на снимках появляется детальное изображение сосудистой сети. Это позволяет диагностировать патологическую извитость, аневризмы, мальформации, при вазоневральном конфликте — зоны сдавления черепно-мозгового нерва кровеносным сосудом. 

При каких симптомах необходимо проведение МРТ мосто-мозжечкового угла

Свернуть/развернуть
  • шум в ушах (данный симптом может быть в течение длительного времени единственным проявлением растущей невриномы слухового нерва);
  • снижение слуха, вплоть до глухоты;
  • частые, упорные головные боли;
  • парестезия кожи лица, слабость мимических лицевых мышц;
  • исчезновение роговичного рефлекса (рефлекторное смыкание век при касании роговицы), слезотечение;
  • уменьшение вкусовых ощущений;
  • нарушения координации, шаткость походки, головокружение, снижение мышечного тонуса;
  • слабость в конечностях.

Показания для МРТ мосто-мозжечкового угла

Свернуть/развернуть
  • нейросенсорная тугоухость (для исключения невриномы слухового нерва);
  • подозрение на опухоли мосто-мозжечкового угла;
  • для исключения сосудистой патологии в области мосто-мозжечкового угла (аневризмы, сосудистые мальформации, тромбозы, обнаружение зоны вазоневрального конфликта).

воспалительные заболевания головного мозга, арахноидит, подозрение на формирование арахноидальной кисты;

Подготовка к МРТ мосто-мозжечкового угла

Свернуть/развернуть

Данное исследование не требует специальной подготовки.

Необходимо принести с собой медицинскую документацию, относящуюся к зоне исследования:

  • направление от лечащего врача;
  • выписки из амбулаторных карт и стационаров;
  • результаты предыдущих исследований (МР-снимки, СD/DVD диски, снимки КТ).

Некоторые протезы и имплантаты могут быть изготовлены из материалов, не препятствующих проведению МРТ. Для этого необходимо предоставить сведения об установленном имплантате (справка из медучреждения, где он был установлен). Если его расположение не будет создавать помех для визуализации исследуемой области, врач-рентгенолог примет решение о возможности проведения МРТ.

Во время данного исследования проводится внутривенное введение контраста, поэтому при  подозрении на почечную недостаточность важно провести контроль уровня креатинина крови (показатель, характеризующий функцию почек). Необходимо предоставить в клинику анализ крови давностью не более 2 недель. 

Необходимо проинформировать врача о возможной беременности, а также об аллергических реакциях на лекарственные препараты и контрастные вещества. 

Перед исследованием нужно снять любые гаджеты, украшения, металлические предметы, в том числе, пластиковые карты, часы, слуховые аппараты. 

Пациента укладывают на спину на выдвижной стол томографа и дополнительно фиксируют, так как для получения качественных изображений в течение всего обследования нельзя двигаться. 

Медицинский персонал во время процедуры находится в соседнем помещении, для связи в аппарат вмонтировано переговорное устройство. Чтобы вызвать медработника, достаточно нажать на сигнальную грушу, которая дается в руку пациенту. 

Введение контраста производится непосредственно во время исследования. Для этого предварительно устанавливают венозный катетер, через который с помощью дозирующего устройства в вену подается контраст с необходимой скоростью. При введении контрастного препарата в первые минуты возможно ощущение теплоты или холода во всем теле, металлический привкус во рту. В дальнейшем эти ощущения проходят. Если исследование проводится кормящей женщине, то необходимо приостановить грудное кормление на 24-48 часов после исследования, молоко в это время сцеживать и выливать.

Противопоказания для проведения МРТ мосто-мозжечкового угла

Свернуть/развернуть
  • любые ферромагнитные металлические предметы в теле, в том числе, спицы, пластины, винты, штифты, ортодонтические конструкции, а также инородные тела из металла (пули, осколки, пирсинг, который невозможно снять, татуировки с использованием металлосодержащих красок);
  • имплантированные электронные устройства, работа которых может нарушиться при воздействии магнитного поля (кардиостимуляторы, дефибрилляторы, вживленные слуховые аппараты, инсулиновые помпы);
  • беременность в первом триместре является противопоказанием для проведения МРТ, введение контраста противопоказано в течение всего срока беременности;
  • заболевания почек с явлениями почечной недостаточности являются противопоказанием для МРТ с контрастом (контрастное вещество,  используемое во время исследования, выводится из организма преимущественно почками);
  • МРТ не проводится, если масса тела пациента превышает 120 кг (ограничение аппарата по весу);
  • в случае клаустрофобии, при высоком риске возникновения панических атак во время нахождения внутри пространства томографа.

Запишитесь на МРТ головного мозга+мосто-мозжечкового угла по удобному адресу

Записаться
Фильтр по услугам МРТ головы

Введение контраста

С контрастом Без контраста

Станция метро

Площадь Восстания Нарвская Проспект Просвещения Рыбацкое Девяткино Гражданский проспект Академическая Политехническая Площадь Мужества Лесная Выборгская Площадь Ленина Чернышевская Владимирская Пушкинская Технологический институт Балтийская Кировский завод Автово Ленинский проспект Проспект Ветеранов Парнас Озерки Удельная Пионерская Чёрная речка Петроградская Горьковская Невский проспект Сенная площадь Фрунзенская Московские ворота Электросила Парк Победы Московская Звёздная Купчино Беговая Зенит Приморская Василеостровская Гостиный двор Маяковская Площадь Александра Невского Елизаровская Ломоносовская Пролетарская Обухово Спасская Достоевская Лиговский проспект Площадь Александра Невского Новочеркасская Ладожская Проспект Большевиков Улица Дыбенко Комендантский проспект Старая Деревня Крестовский остров Чкаловская Спортивная Адмиралтейская Садовая Звенигородская Обводный канал Волковская Бухарестская Международная Проспект Славы Дунайская Шушары Богатырская Каменка Театральная Горный институт Путиловская Юго-Западная Кудрово Шуваловский проспект Каретная Боровая Заставская Броневая

Возраст пациента

Взрослому Ребенку от 15 лет

Пол пациента

Мужчине Женщине

Тип аппарата

Открытый Закрытый

Мощность МРТ

1.5 Тл 3 Тесла

Программы страхования

ДМС Платно ОМС

Цены

Услуги, соответствующие запросу, не найдены.

МРТ головного мозга
руб
4 600 / 3 200 руб
Подробнее
МР-ангиография головного мозга
руб
4 600 / 3 200 руб
Подробнее
МР-венография головного мозга
руб
4 600 / 3 200 руб
Подробнее
МРТ черепно-мозговых нервов
руб
4 600 / 3 200 руб
Подробнее
МРТ головного мозга и МР-ангиография головного мозга
руб
7 600 / 6 200 руб
Подробнее
МРТ головного мозга и МР-венография головного мозга
руб
7 600 / 6 200 руб
Подробнее
МРТ гипофиза
руб
От 7 600 / 6 200 руб
Подробнее
МРТ орбит
руб
4 600 / 3 200 руб
Подробнее
МРТ придаточных пазух носа
руб
4 600 / 3 200 руб
Подробнее
МРТ внутреннего уха
руб
5 400 / 4 000 руб
Подробнее
МРТ головного мозга и гипофиза
руб
От 11 300 / 9 200 руб
Подробнее
МРТ головного мозга+мосто-мозжечкового угла
руб
7 600 / 6 600 руб
Подробнее
МРТ головного мозга + МРТ орбит
руб
7 600 / 6 200 руб
Подробнее
МРТ головного мозга + черепно-мозговые нервы
руб
7 600 / 6 600 руб
Подробнее

Адреса диагностических центров "Доступная Медицина"

Преимущества наших диагностических центров

Доступные цены

Приемлемые цены
на все услуги

Качественный сервис

Контроль качества
оказываемых услуг

Лучшие специалисты

Высококвалифицированные врачи

Новейшее оборудование

Современные томографы с высочайшим качеством визуализации

Близость к метро

Мы находимся в непосредственной близости от метро и остановок общественного транспорта

Лицензии

Современные томографы с высочайшим качеством визуализации

Назад
Вперед
Ключникова Екатерина Игоревна
Информация проверена главным врачом клиники Domedica24
Ключникова Екатерина Игоревна
Стаж более 8 лет, главный врач, врач-рентгенолог 1 категории
Площадь Стачек, 9">
ул. 1-я Советская, 8">