КТ шейного отдела позвоночника в СПБ
- Введение контраста Нет
- Длительность выполнения 10 минут
- Ограничения по весу 120 кг
- Ограничения по возрасту От 15 лет
- Срок получения результата В течение дня
Мультиспиральная компьютерная томография является современным наиболее информативным способом диагностики заболеваний позвоночника. Так как методика основана на применении рентгеновского излучения, изображения лучше всего показывают плотные структуры – костную ткань, но при этом также дифференцируются хрящи и связочный аппарат позвоночника.
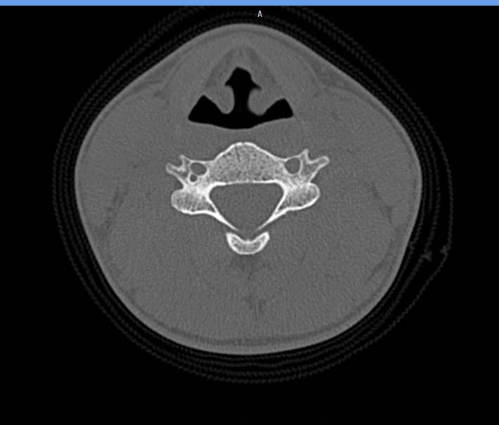
На снимках КТ хорошо визуализируются позвоночные суставы, суставные поверхности, межпозвонковые диски, которые часто подвержены дегенеративно-дистрофическим процессам. На томограммах также можно оценить состояние позвоночного канала, в котором располагается спинной мозг, выявить участки его сужения и предположить степень воздействия на спинномозговые структуры.
При обследовании шейного отдела позвоночника оценивается область основания черепа, семь шейных позвонков, верхние грудные позвонки. Помимо костных структур мультиспиральная КТ показывает состояние близлежащих органов и тканей: трахеи, пищевода, лимфатических узлов, кровеносных сосудов на исследуемом уровне.
В медицинских центрах «Доступная медицина» сканирование шейного отдела позвоночника проводится на новейших мультиспиральных компьютерных томографах последнего поколения TOSHIBA AQUILION, которые оснащены высокочувствительными детекторами. Увеличенное количество детекторов позволяет производить 64 и 128 срезов (в зависимости от модификации аппарата), сканируя область исследования с толщиной среза от 0,5 мм за несколько секунд.
Такая скорость сканирования обусловливает минимальное рентгеновское облучение пациента во время исследования. При этом инновационные возможности аппаратов обеспечивают высокое качество изображений и, кроме того, позволяют воссоздать наглядную трехмерную модель позвоночного столба на исследуемом уровне.
В некоторых случаях (например, при подозрении на опухоли позвоночника) для улучшения визуализации опухолевых образований дополнительно применяется контрастное усиление путем внутривенного введения йодсодержащих контрастных препаратов. Контрастное вещество, попадая в кровоток, хорошо распределяется по кровеносной системе и фиксируется в патологических очагах, которые, как правило, имеют высокую степень кровоснабжения.
Контраст поглощает рентгеновские лучи и на КТ изображениях ярко визуализируется на фоне окружающих здоровых тканей. Таким образом, методика внутривенного болюсного контрастирования позволяет выявлять опухолевые образования на начальной стадии развития, когда своевременное лечение может дать наибольший эффект.
Компьютерная томография, как и любой другой метод диагностики, имеет свои противопоказания. В этом случае поможет другой высокоинформативный метод обследования позвоночника – магнитно-резонансная томография. В нашей клинике вы можете пройти МРТ шейного отдела позвоночника на новейшем высокопольном магнитно-резонансном томографе экспертного класса.
- Показания к проведению КТ шейного отдела позвоночника
- Подготовка к КТ шейного отдела позвоночника
- Противопоказания для проведения КТ шейного отдела позвоночника
- КТ шейного отдела позвоночника показывает
Показания к проведению КТ шейного отдела позвоночника
- грыжи межпозвоночных дисков.
- необходимость диагностирования переломов костей.
- аномалии строения позвонков.
- диагностика ревматических заболеваний.
- сужение просвета позвоночного канала.
- сильные рецидивирующие головные боли.
- сдавливание кровеносных сосудов.
- несоответствие симптомов результатам проведенных ранее диагностических процедур.
- радикулопатия шейного отдела позвоночника.
- шейная миелопатия.
- определение природы новообразований и наличия метастазов.
- травмы позвонков и мягких тканей.
- искривление позвоночника со сглаженным естественным изгибом — лордозом, сколиоз – отклонение позвоночного столба в сторону.
Подготовка к КТ шейного отдела позвоночника
Специальная подготовка для КТ шейного отдела позвоночника не нужна.
Мы просим перед исследованием предоставить врачу-рентгенологу всю медицинскую документацию, которая относится к зоне исследования. В перечень необходимых документов входит:
- Направление от лечащего врача;
- Выполненные ранее рентгеновские снимки позвоночника, CD/DVD диски предыдущих КТ и МРТ исследований позвоночника;
- Выписки из амбулаторных карт и стационаров;
- Заключения профильных специалистов.
Так как контраст выводится из организма преимущественно почками, перед исследованием с контрастированием необходимо предоставить показатели креатинина крови – это показатель, характеризующий функцию почек. Анализ крови нужно сдать не более, чем за 14 дней до даты исследования.
Пациентам, которые принимают по поводу сахарного диабета такие сахароснижающие препараты, как Метформин или Глюкофаж, необходимо отменить прием данных препаратов за 48 часов до исследования с контрастированием и на 48 часов после введения контраста (временную отмену данных препаратов необходимо согласовать с эндокринологом).
Для введения контраста в локтевую вену предварительно устанавливается венозный катетер. Контрастный препарат вводится с помощью автоматического дозирующего устройства (инжектора). При введении контраста может появиться неприятный привкус во рту, ощущение прилива, жара во всем теле, но этот дискомфорт проходит через 1-2 минуты. Контрастное вещество выводится из организма преимущественно почками в течение последующих суток.
Если контрастное усиление проводится кормящей женщине, то мы рекомендуем сделать для малыша запас грудного молока и на 24-48 часов после процедуры с введением контраста исключить грудное вскармливание, при этом молоко сцеживать и выливать.
Чтобы получить качественные изображения на снимках, от пациента требуется сохранять неподвижность в течение всей процедуры. Врач находится в смежном помещении за стеклянной перегородкой. Общаться с медперсоналом можно с помощью встроенного в аппарат переговорного устройства.
Противопоказания для проведения КТ шейного отдела позвоночника
Компьютерная томография является лучевым методом исследования, то есть проводится с использованием рентгеновского излучения. Поэтому методика КТ не применяется во время беременности, так как ионизирующее излучение оказывает повреждающее действие на развивающийся плод.
Кроме того, из-за технических возможностей томографов невозможно выполнить КТ пациентам с массой тела более 120 кг (ограничения по весу имеют выдвижные столы томографов).
Противопоказания для введения контраста:
- аллергия на йодсодержащие контрастные вещества;
- заболевания почек с резко выраженными явлениями почечной недостаточности;
- застойная сердечная недостаточность;
- заболевания щитовидной железы с признаками гипертиреоза, тиреотоксикоза;
- тяжелое течение бронхиальной астмы;
- декомпенсированный сахарный диабет.
КТ шейного отдела позвоночника показывает
- трещины, переломы позвонков и другие последствия полученных пациентом травм;
- очаги кровотечений, гематомы;
- дископатии, межпозвоночные грыжи (протрузии, экструзии);
- ревматические заболевания;
- развитие патологических процессов при болезнях дегенеративно-дистрофического характера (таких как остеохондроз, спондилоартроз, спондилез)
- остеопороз (визуальная оценка)
- остеомиелит; туберкулез
Запишитесь на КТ шейного отдела позвоночника по удобному адресу
ЗаписатьсяСтанция метро
Площадь Восстания Проспект Просвещения Нарвская Рыбацкое Девяткино Гражданский проспект Академическая Политехническая Площадь Мужества Лесная Выборгская Площадь Ленина Чернышевская Владимирская Пушкинская Технологический институт Балтийская Кировский завод Автово Ленинский проспект Проспект Ветеранов Парнас Озерки Удельная Пионерская Чёрная речка Петроградская Горьковская Невский проспект Сенная площадь Фрунзенская Московские ворота Электросила Парк Победы Московская Звёздная Купчино Беговая Зенит Приморская Василеостровская Гостиный двор Маяковская Площадь Александра Невского Елизаровская Ломоносовская Пролетарская Обухово Спасская Достоевская Лиговский проспект Площадь Александра Невского Новочеркасская Ладожская Проспект Большевиков Улица Дыбенко Комендантский проспект Старая Деревня Крестовский остров Чкаловская Спортивная Адмиралтейская Садовая Звенигородская Обводный канал Волковская Бухарестская Международная Проспект Славы Дунайская Шушары Богатырская Каменка Театральная Горный институт Путиловская Юго-Западная Кудрово Шуваловский проспект Каретная Боровая Заставская БроневаяРайон
Центральный Выборгский Кировский Адмиралтейски Василеостровский Калининский Колпинский Красногвардейский Красносельски Кронштадтский Курортный Московский Невский Петроградский Петродворцовый Приморский Пушкинский ФрунзенскийГород
Санкт-Петербург Бокситогорск Бугры Волосово Волхов Всеволожск Выборг Высоцк Гатчина Ивангород Каменногорск Кингисепп Кириши Кировск Колтуши Коммунар Кудрово Лодейное Поле Луга Любань Мурино Никольское Новая Ладога Отрадное Пикалёво Подпорожье Приморск Приозерск Светогорск Сертолово Сланцы Сосновый Бор Сясьстрой Тельмана Тихвин Тосно ШлиссельбургЦены
Услуги, соответствующие запросу, не найдены.
Адреса диагностических центров "Доступная Медицина"
Преимущества наших диагностических центров
Доступные цены
Приемлемые цены
на все услуги
Качественный сервис
Контроль качества
оказываемых услуг
Лучшие специалисты
Высококвалифицированные врачи
Новейшее оборудование
Современные томографы с высочайшим качеством визуализации
Близость к метро
Мы находимся в непосредственной близости от метро и остановок общественного транспорта
Наше оборудование
КТ-СПЕЦИАЛИСТЫ
Лицензии
Современные томографы с высочайшим качеством визуализации
Статьи наших врачей