Назад МР-венография головного мозга в СПБ

4 600
/
По акции в Рыбацком
3 200
руб
Записаться на прием
4 600 руб
По акции в Рыбацком
3 200 руб
Записаться
  • Длительность выполнения 10 минут
  • Срок получения результата В течение дня
  • Ограничения по весу 120 кг
  • Введение контраста Нет
  • Ограничения по возрасту от 15 лет
Воспроизвести
Описание

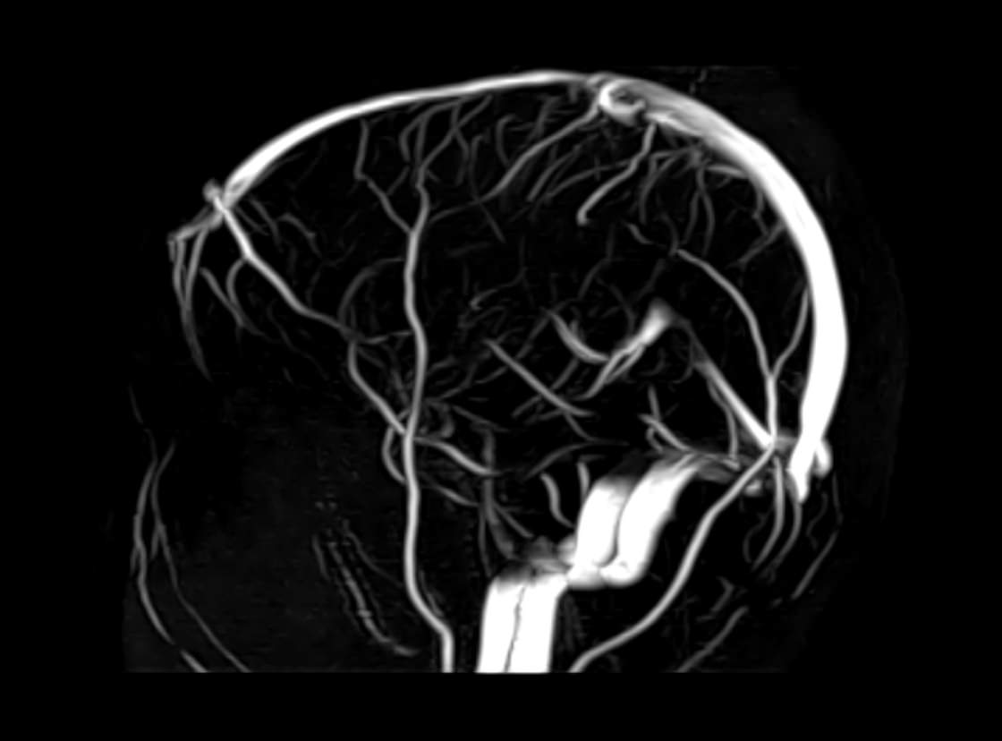
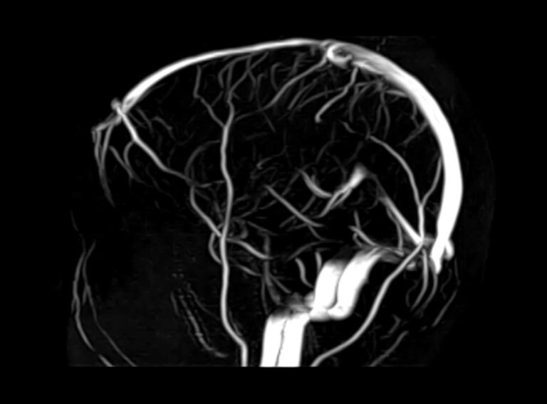
Магнитно-резонансная венография головного мозга позволяет детально изучить особенности анатомического и функциональной состояния венозного русла головы и шеи. С помощью данного исследования можно исключить многие серьезные заболевания сосудов головного мозга и начать своевременное лечение.

Когда назначается МР-венография

Свернуть/развернуть

Врачи рекомендуют пройти обследование при наличии следующих показаний:

  • головные боли неизвестного происхождения
  • нарушение памяти, сна
  • головокружение, шум в ушах
  • расстройство сознания, поведения
  • ухудшение зрения
  • ослабление внимания и прочие симптомы, которые могут указывать на сосудистую патологию
  • признаки высокого внутричерепного давления
  • черепно-мозговые травмы, свежие и перенесенные, и так далее

Также проведение исследования рекомендуется сделать перед операцией.

Что определяет МР-венография?

Свернуть/развернуть

При помощи данного метода можно эффективно диагностировать следующие патологии и заболевания:

  • сосудистые мальформации (аномальное сообщение между веной и артерией, смешивание венозной и артериальной крови);
  • прорастание опухоли головного мозга в сосуд;
  • тромбоз венозных синусов и вен;
  • аномалии положения и развития вен;
  • венозный застой;
  • артерио-венозные мальформации — неправильное соединение сосудов врожденного характера;
  • стенозы (сужение) сосудов.

МРТ вен мозга необходима перед хирургическими вмешательствами, для послеоперационного контроля и наблюдения за выявленным заболеванием в динамике.

Как нужно подготовиться к МР-венографии головного мозга

Свернуть/развернуть

К процедуре МР-венографии не требуется специальной подготовки. Предварительно необходимо сообщить врачу о наличии вживленных электронных устройств и металлических протезов. Женщинам следует сообщить о возможной беременности. 

Необходимо принести с собой медицинскую документацию, относящуюся к зоне исследования:

  • направление от лечащего врача;
  • выписки из амбулаторных карт и стационаров;
  • результаты предыдущих исследований (МР-снимки, СD/DVD диски).

Перед тем как проводить исследование, нужно снять с себя все гаджеты, украшения, одежду с металлическими застежками и пуговицами.

Необходимо быть готовым к тому, что придется в течение 20-30 минут сохранять неподвижность, находясь при этом внутри тоннеля томографа. Аппарат производит достаточно сильный шум, но это особенность данной технологии. Для уменьшения звукового эффекта пациенту надеваются наушники. 

Медперсонал находится в соседнем помещении, при необходимости вызова нужно нажать на сигнальное устройство.

Когда нельзя провести МР-венографию головного мозга

Свернуть/развернуть
  • если у пациента имеются вживленные электронные устройства (кардиостимуляторы, водители ритма, инсулиновая помпа, кохлеарные имплантаты);
  • при наличии в теле ферромагнитных элементов (имплантатов, сосудистых скоб, протезов, пластин, штифтов, а также осколков, дроби, неснимаемого пирсинга и др.);
  • женщинам в первом триместре беременности, когда плод наиболее чувствителен к различным неблагоприятным воздействиям;
  • если у пациента наблюдается клаустрофобия, это может оказаться препятствием для проведения МР-венографии головного мозга;
  • также невозможно провести данное исследование при общем тяжелом состоянии пациента (кома, необходимость ИВЛ);
  • вес пациента более 120 кг (ограничение по весу выдвижного стола томографа).

Запишитесь на МР-венография головного мозга по удобному адресу

Записаться
Фильтр по услугам МРТ головы

Введение контраста

С контрастом Без контраста

Станция метро

Площадь Восстания Нарвская Проспект Просвещения Рыбацкое Девяткино Гражданский проспект Академическая Политехническая Площадь Мужества Лесная Выборгская Площадь Ленина Чернышевская Владимирская Пушкинская Технологический институт Балтийская Кировский завод Автово Ленинский проспект Проспект Ветеранов Парнас Озерки Удельная Пионерская Чёрная речка Петроградская Горьковская Невский проспект Сенная площадь Фрунзенская Московские ворота Электросила Парк Победы Московская Звёздная Купчино Беговая Зенит Приморская Василеостровская Гостиный двор Маяковская Площадь Александра Невского Елизаровская Ломоносовская Пролетарская Обухово Спасская Достоевская Лиговский проспект Площадь Александра Невского Новочеркасская Ладожская Проспект Большевиков Улица Дыбенко Комендантский проспект Старая Деревня Крестовский остров Чкаловская Спортивная Адмиралтейская Садовая Звенигородская Обводный канал Волковская Бухарестская Международная Проспект Славы Дунайская Шушары Богатырская Каменка Театральная Горный институт Путиловская Юго-Западная Кудрово Шуваловский проспект Каретная Боровая Заставская Броневая

Возраст пациента

Взрослому Ребенку от 15 лет

Пол пациента

Мужчине Женщине

Тип аппарата

Открытый Закрытый

Мощность МРТ

1.5 Тл 3 Тесла

Программы страхования

ДМС Платно ОМС

Цены

Услуги, соответствующие запросу, не найдены.

МРТ головного мозга
руб
4 600 / 3 200 руб
Подробнее
МР-ангиография головного мозга
руб
4 600 / 3 200 руб
Подробнее
МР-венография головного мозга
руб
4 600 / 3 200 руб
Подробнее
МРТ черепно-мозговых нервов
руб
4 600 / 3 200 руб
Подробнее
МРТ головного мозга и МР-ангиография головного мозга
руб
7 600 / 6 200 руб
Подробнее
МРТ головного мозга и МР-венография головного мозга
руб
7 600 / 6 200 руб
Подробнее
МРТ гипофиза
руб
От 7 600 / 6 200 руб
Подробнее
МРТ орбит
руб
4 600 / 3 200 руб
Подробнее
МРТ придаточных пазух носа
руб
4 600 / 3 200 руб
Подробнее
МРТ внутреннего уха
руб
5 400 / 4 000 руб
Подробнее
МРТ головного мозга и гипофиза
руб
От 11 300 / 9 200 руб
Подробнее
МРТ головного мозга+мосто-мозжечкового угла
руб
7 600 / 6 600 руб
Подробнее
МРТ головного мозга + МРТ орбит
руб
7 600 / 6 200 руб
Подробнее
МРТ головного мозга + черепно-мозговые нервы
руб
7 600 / 6 600 руб
Подробнее

Адреса диагностических центров "Доступная Медицина"

Преимущества наших диагностических центров

Доступные цены

Приемлемые цены
на все услуги

Качественный сервис

Контроль качества
оказываемых услуг

Лучшие специалисты

Высококвалифицированные врачи

Новейшее оборудование

Современные томографы с высочайшим качеством визуализации

Близость к метро

Мы находимся в непосредственной близости от метро и остановок общественного транспорта

Лицензии

Современные томографы с высочайшим качеством визуализации

Назад
Вперед
Ключникова Екатерина Игоревна
Информация проверена главным врачом клиники Domedica24
Ключникова Екатерина Игоревна
Стаж более 8 лет, главный врач, врач-рентгенолог 1 категории
Площадь Стачек, 9">
ул. 1-я Советская, 8">