Назад Рентген грудной клетки в СПб

Дополнительная проекция
600
руб
1 проекция
1 600
руб
В 2-х проекциях
2 100
руб
Записаться на прием
Дополнительная проекция
Цена:
600 руб
1 проекция
Цена:
1 600 руб
В 2-х проекциях
Цена:
2 100 руб
Записаться
  • Длительность выполнения 15 минут
Воспроизвести
Описание

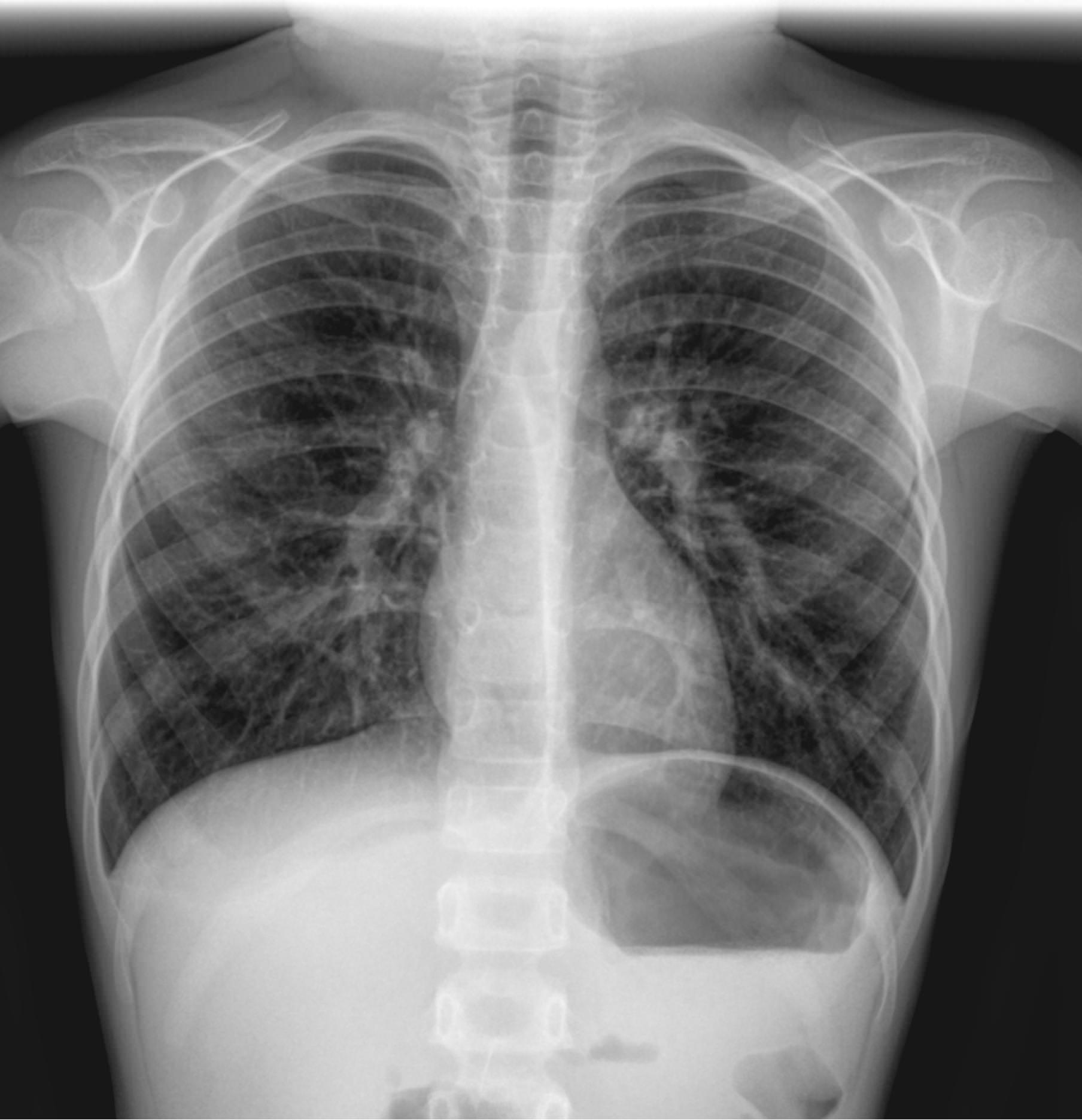
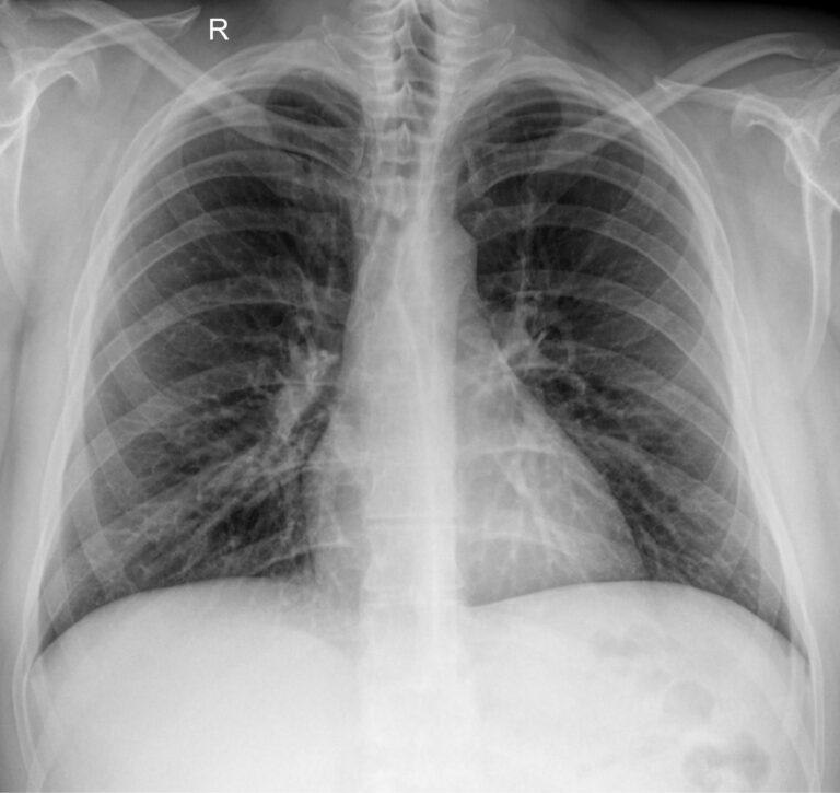
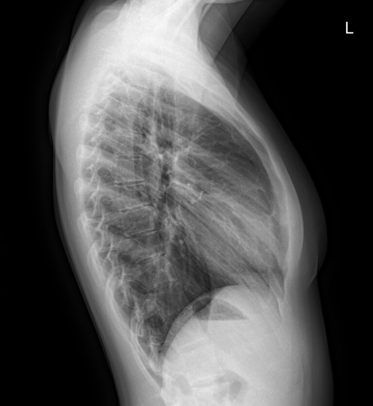
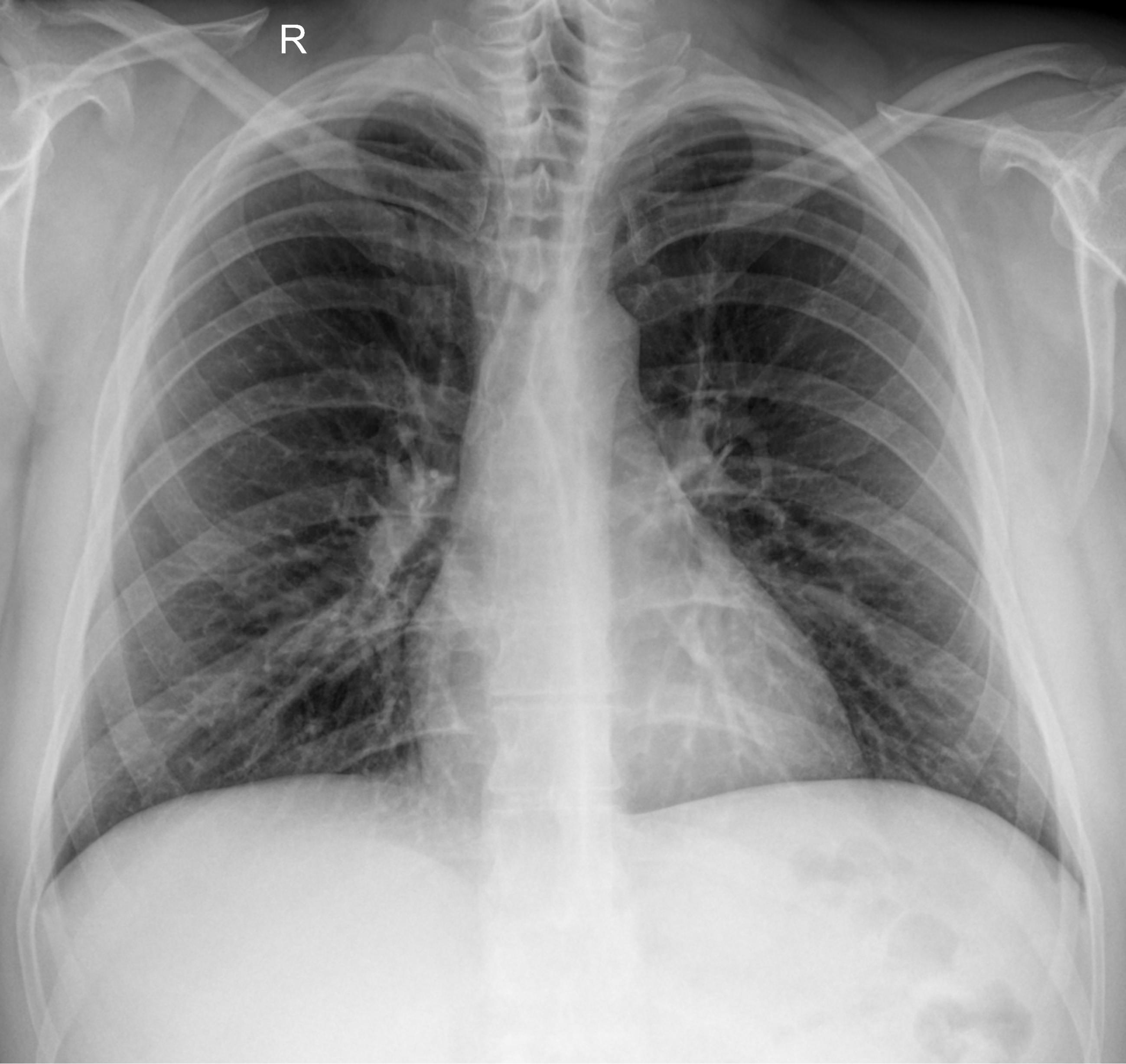
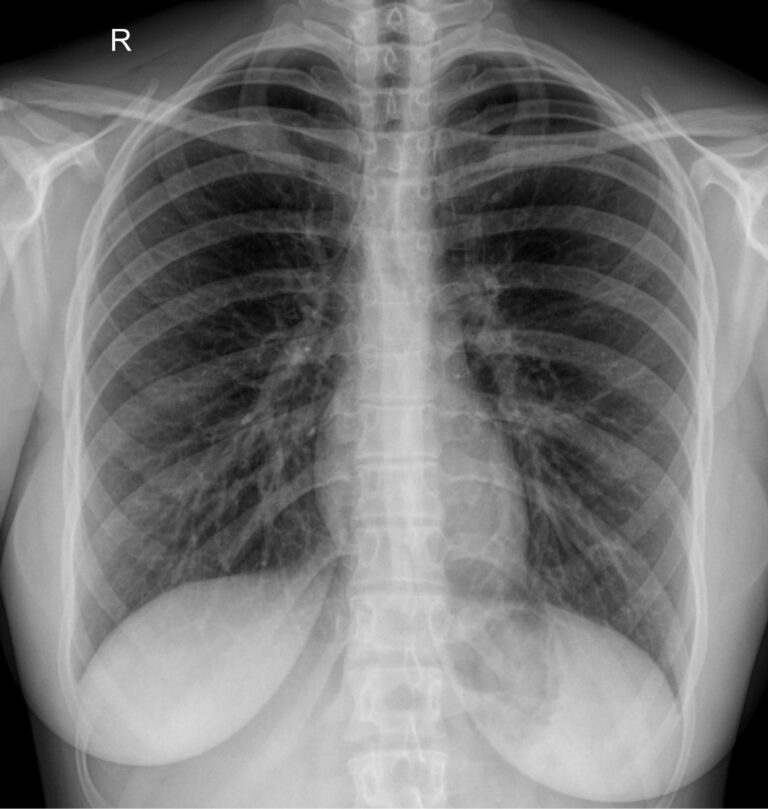
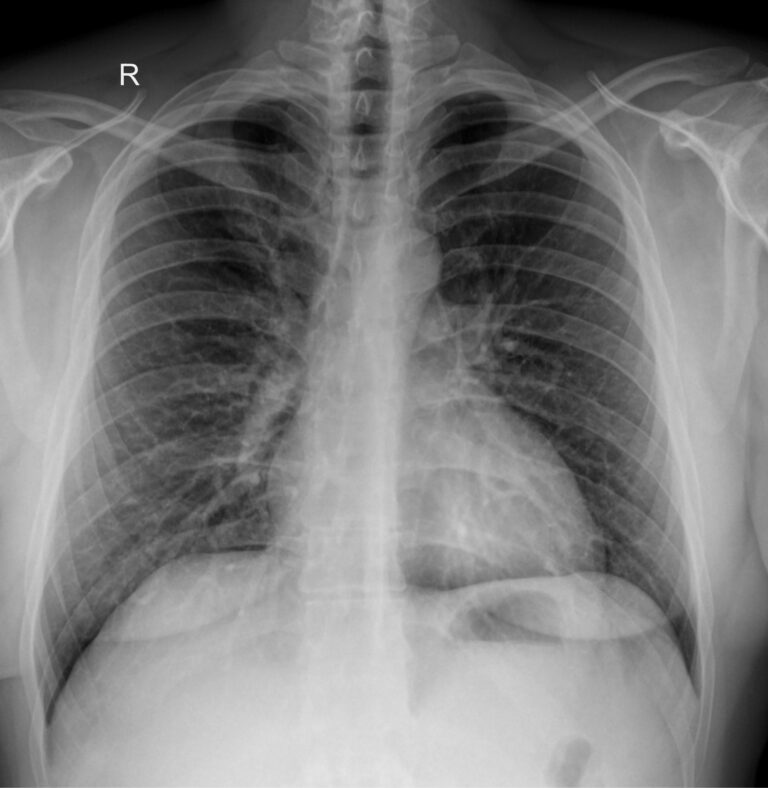
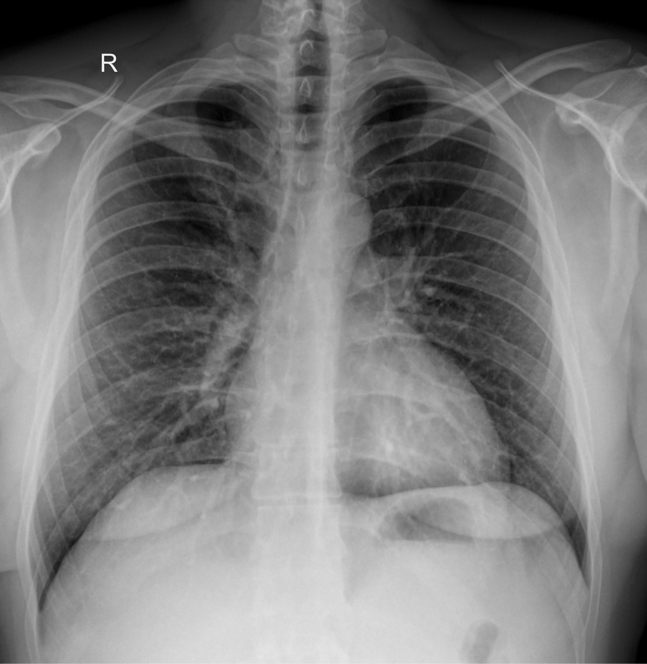
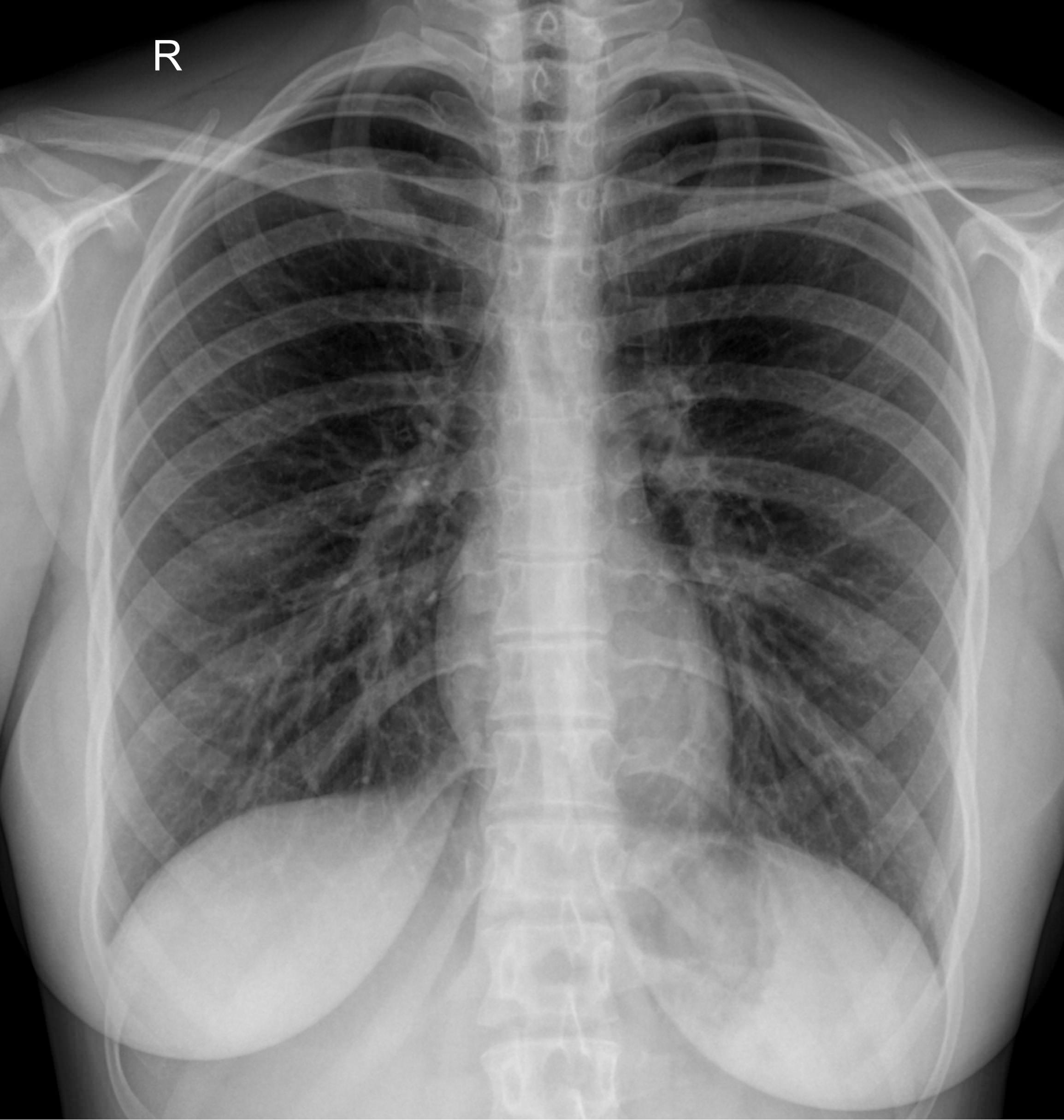
Диагностика с помощью рентгеновского излучения основана на его способности проходить сквозь живые и неживые объекты. В том числе, через тело человека. Органы разной плотности поглощают разное количество излучения, в результате на классическом негативном снимке наиболее плотные образования, кости, отображаются самыми светлыми, а наполненные воздухом ― почти черными. Мягкие ткани визуализируются как пятна серых оттенков. Участки, цвет и форма которых не типичны, говорят о патологии. 

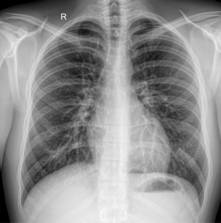
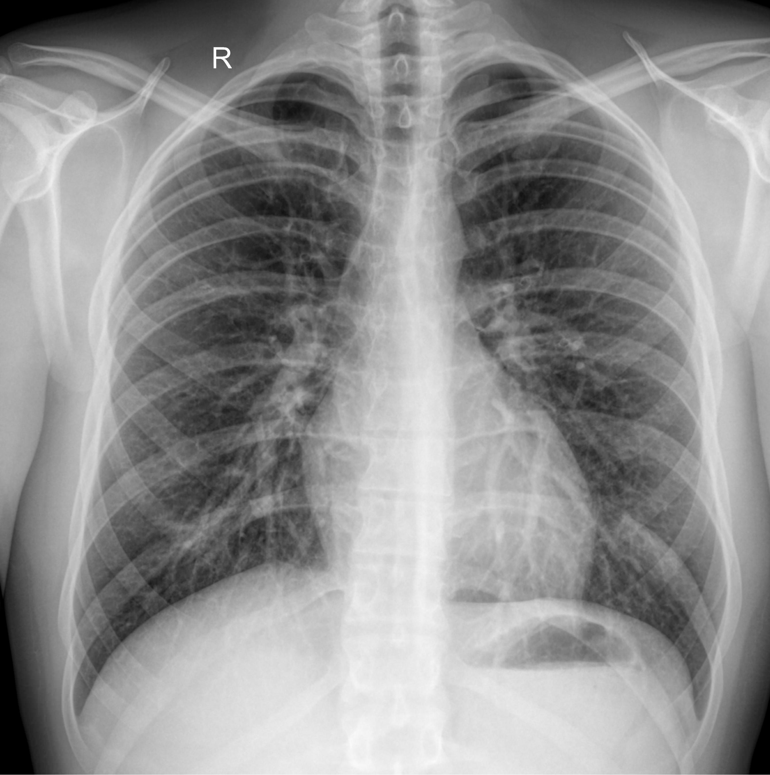
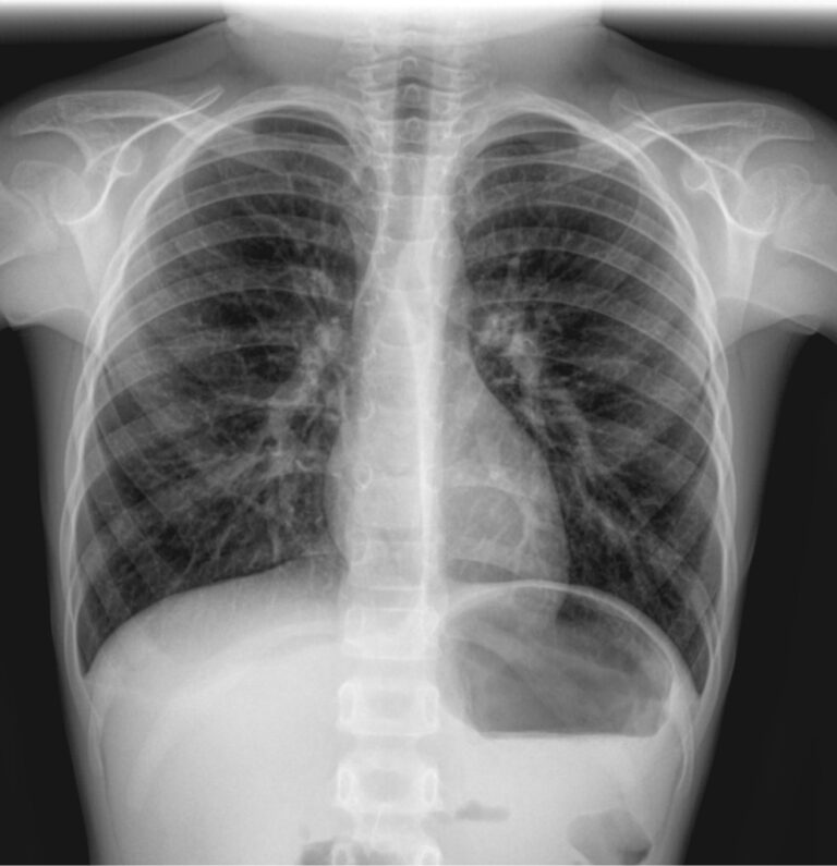
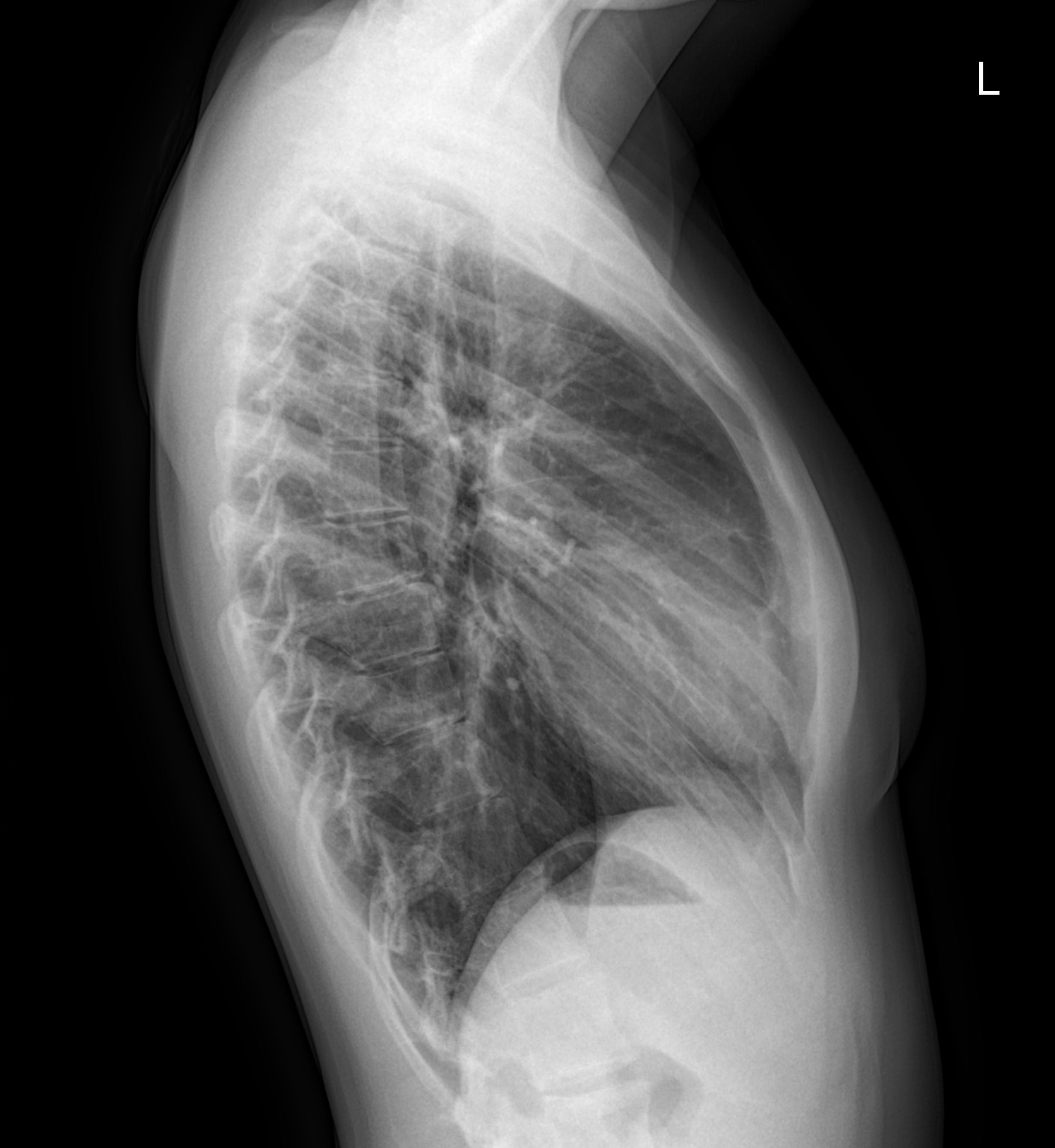
Снимок грудной клетки используют, чтобы получить изображение расположенных здесь органов: легких и дыхательных путей, контуров сердца с сосудами, а также позвоночника и костей. Обычно для диагноза достаточно одного снимка ― в прямой проекции, когда лучи идут сзади наперед. Иногда врач назначает снимок в боковой проекции, то есть слева или справа. Это необходимо, если требуется более точно определить сегмент поражения или достоверно исключить патологический процесс. Крайне редко требуются косые проекции, но они тоже бывают.

Получение рентгенограммы ― неинвазивная и безболезненная процедура с крайне низкой лучевой нагрузкой, позволяющая быстро и точно выявить явные повреждения тканей.

Кому назначают рентген грудной клетки

Свернуть/развернуть

Этот вид диагностики относится к первичным методам обследования пациентов, предъявляющих следующие жалобы:

  • Кашель, который длительно не проходит;
  • Мокрота;
  • Кровь в мокроте;
  • Одышка;
  • Боль в груди или спине: постоянная, ноющая или возникающая при движении;
  • Слабость, быстрая утомляемость, повышение температуры.

Врач ― терапевт, хирург, травматолог, пульмонолог, кардиолог или онколог ― направит на рентгеновское обследование, если необходимо подтвердить или исключить:

  • Туберкулез;
  • Пневмонию и другие патологии легких;
  • Плевриты;
  • Паразитарные заболевания, например, эхинококкоз;
  • Профессиональные поражения легких;
  • Онкологию;
  • Травмы костей, в том числе ― застарелые.

Что показывает рентген грудной клетки

Свернуть/развернуть

На рентгенограмме видны следующие образования, расположенные в грудной клетке: 

  • Мягкие ткани: грудные мышцы, кожные складки;
  • Костный скелет: ребра, ключицы, грудина, нечетко ― позвонки, в пожилом возрасте ― хрящи;
  • Легочные поля: определяются их прозрачность, симметричность, легочный рисунок;
  • Корни легких: топография, форма, структура, ширина;
  • Средостение: положение сердца и сосудов, формирующих его дуги;
  • Купол диафрагмы: четкость, местонахождение;
  • Синусы: свободные или заполненные.

В протоколе описываются только патологические изменения. При патологии могут быть обнаружены:

  • Отклонения от нормальной рентгенограммы;
  • Новообразования;
  • Патологические включения;
  • Травмы, переломы;
  • Инородные тела.

Подготовка и проведение процедуры

Свернуть/развернуть

Диагностика органов грудной клетки с помощью рентгена не требует специальной подготовки или диеты и может проводится в любое время. 

Пациент снимает одежду с верхней половины туловища, убирает все металлические предметы, например, часы или украшения, и закалывает волосы. Затем рентгенолаборант помогает надеть защитную накидку, показывает, куда встать и какую принять позу:

  • Для прямой или задне-передней проекции необходимо плотно прижаться грудью и плечами к пластине, руки упереть в бока или взяться за специальные поручни;
  • Если дополнительно требуется боковая проекция, пациент встает и прижимается боком, подняв руки над головой.

По команде врача необходимо вдохнуть и задержать дыхание на 2-3 секунды, до разрешения специалиста. При этом необходимо замереть и не двигаться. Затем можно одеваться. Таким образом сама процедура занимает около 5 минут, во время нее вы ничего не будете чувствовать.

Зачастую для описания снимка врачу понадобится не больше часа, после чего заключение вместе с CD диском выдается на руки или отправляется на электронную почту вам или вашему лечащему врачу.

Противопоказания

Свернуть/развернуть

Рентгенологический аппарат, который используется в клинике «Доступная медицина», за одну процедуру испускает минимальное количество излучения ― 0,02 мЗв. Это составляет малую часть от рекомендуемой предельно допустимой дозы облучения в год ― 100 мЗв. То есть диагностическая доза мала и позволяет проводить столько исследований в год, сколько необходимо.

Однако есть абсолютные и относительные противопоказания: беременным женщинам на любом сроке не рекомендуется проводить обследование грудной клетки, а детям до 18 лет его проводят только по рекомендации лечащего врача. При необходимости выполнить исследование, как и во всех остальных случаях, обязательно используют защитные свинцовые фартуки и накидки, закрывающие жизненно-важные органы.

Кормящим матерям мы рекомендуем кормить ребенка в течение 1 суток после исследования заранее сцеженным молоком или сухими смесями. Свое молоко сцеживать и выливать.

Запишитесь на Рентген грудной клетки по удобному адресу

Записаться
Фильтр по услугам Рентген органов грудной клетки

Станция метро

Площадь Восстания Проспект Просвещения Нарвская Рыбацкое Девяткино Гражданский проспект Академическая Политехническая Площадь Мужества Лесная Выборгская Площадь Ленина Чернышевская Владимирская Пушкинская Технологический институт Балтийская Кировский завод Автово Ленинский проспект Проспект Ветеранов Парнас Озерки Удельная Пионерская Чёрная речка Петроградская Горьковская Невский проспект Сенная площадь Фрунзенская Московские ворота Электросила Парк Победы Московская Звёздная Купчино Беговая Зенит Приморская Василеостровская Гостиный двор Маяковская Площадь Александра Невского Елизаровская Ломоносовская Пролетарская Обухово Спасская Достоевская Лиговский проспект Площадь Александра Невского Новочеркасская Ладожская Проспект Большевиков Улица Дыбенко Комендантский проспект Старая Деревня Крестовский остров Чкаловская Спортивная Адмиралтейская Садовая Звенигородская Обводный канал Волковская Бухарестская Международная Проспект Славы Дунайская Шушары Богатырская Каменка Театральная Горный институт Путиловская Юго-Западная Кудрово Шуваловский проспект Каретная Боровая Заставская Броневая

Возраст пациента

Взрослому Ребенку от 15 лет

Пол пациента

Мужчине Женщине

Количество проекций

Одна Две

Введение контраста

С контрастом Без контраста

Цены

Услуги, соответствующие запросу, не найдены.

Адреса диагностических центров "Доступная Медицина"

Преимущества наших диагностических центров

Доступные цены

Приемлемые цены
на все услуги

Качественный сервис

Контроль качества
оказываемых услуг

Лучшие специалисты

Высококвалифицированные врачи

Новейшее оборудование

Современные томографы с высочайшим качеством визуализации

Близость к метро

Мы находимся в непосредственной близости от метро и остановок общественного транспорта

Лицензии

Современные томографы с высочайшим качеством визуализации

Назад
Вперед
Ключникова Екатерина Игоревна
Информация проверена главным врачом клиники Domedica24
Ключникова Екатерина Игоревна
Стаж более 8 лет, главный врач, врач-рентгенолог 1 категории
Площадь Стачек, 9">
ул. 1-я Советская, 8">