КТ поджелудочной железы в СПБ
- Введение контраста Нет
- Длительность выполнения 10 минут
- Ограничения по весу 120 кг
- Ограничения по возрасту От 15 лет
- Срок получения результата В течение дня
Поджелудочная железа выполняет в организме ряд жизненно важных функций. Она вырабатывает пищеварительные ферменты и гормоны, регулирующие обменные процессы в организме (инсулин, глюкагон). Нарушения в работе железы ведут к негативным последствиям для процесса пищеварения, а также к расстройствам углеводного обмена, что вызывает развитие такого опасного заболевания как сахарный диабет. Кроме того, орган часто подвержен развитию опухолевых образований. Поэтому важно своевременно выявить патологию поджелудочной железы и подобрать эффективное лечение.
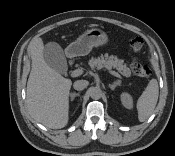
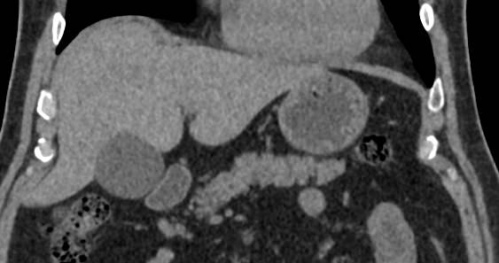
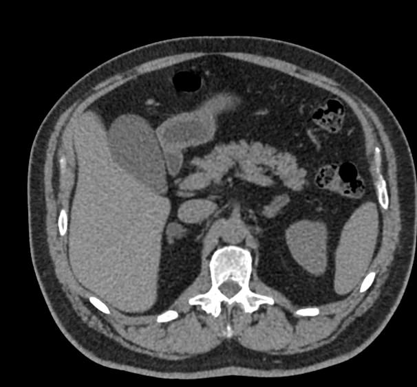
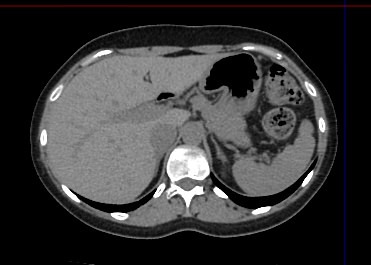
Современным высокоинформативным способом выявления патологических изменений поджелудочной железы является мультиспиральная компьютерная томография с прицельным сканированием органа.
Диагностика заболеваний поджелудочной железы в нашей клинике проводится на современном мультиспиральном компьютерном томографе экспертного класса TOSHIBA AQUILION CXL. Аппарат производит послойное сканирование исследуемой зоны. Увеличенное количество детекторов, которыми оснащен томограф, дает возможность проводить исследование за короткий промежуток времени, что позволяет значительно снизить лучевую нагрузку на организм пациента.
При помощи специальных цифровых приложений данные, полученные при сканировании, преобразуются в трехмерные изображения органа, что дополнительно повышает точность и достоверность диагностики заболеваний поджелудочной железы.
При необходимости более детальной визуализации структуры железы, особенно в случае подозрения на развитие опухоли, врач-рентгенолог может назначить КТ поджелудочной железы с контрастом. Для этого применяются йодсодержащие контрастные препараты, которые вводятся пациенту внутривенно.
Контрастирование позволяет отличить зоны воспаления, деструкции, разрастания фиброзной ткани и опухолевой трансформации от сохраненной паренхимы поджелудочной железы. КТ поджелудочной железы с контрастированием дает исчерпывающую информацию о состоянии органа и патологических процессах в нем.
- Показания для проведения КТ поджелудочной железы.
- Что покажет КТ поджелудочной железы
- Как подготовиться к КТ поджелудочной железы
- Когда нельзя проводить КТ поджелудочной железы
Показания для проведения КТ поджелудочной железы.
КТ поджелудочной железы выполняется при:
- боли в верхней части живота (область ниже грудины);
- снижении массы тела;
- желтухе;
- рвоте;
- ожирении;
- развитие диабета;
- нарушении в работе кишечного тракта, проблемах с пищеварением;
- для контроля над состоянием после операций и наблюдение за ходом лечения.
- при травмах брюшной полост
Что покажет КТ поджелудочной железы
- злокачественные и доброкачественные опухоли, включая инсулиному, глюкагоному, випому, гастриному, рак поджелудочной железы;
- кальцинаты в панкреатических протоках;
- острую и хроническую формы панкреатита;
- кисты и псевдокисты поджелудочной железы
Как подготовиться к КТ поджелудочной железы
Пациент поможет лечащему врачу и нам, если предоставит максимум имеющейся у него медицинской документации:
- результаты УЗИ, МРТ, предыдущих КТ, тестов на опухолевые маркеры;
- выписки из историй болезни или амбулаторной карты;
- заключения специалистов;
- направление на данное обследование.
Перед проведением компьютерной томографии с контрастированием пациенты должны сдать анализ на креатинин крови не позднее, чем за 14 суток до обследования. По его результатам специалистами центра принимается решение о проведении процедуры. Анализ можно сделать в нашей лаборатории.
До процедуры пациент не должен принимать пищу не менее 2-3 часов. Пациентам с сахарным диабетом разрешается принимать пищу до обследования по необходимости.
Предупреждаем пациентов, желающих сделать в наших центрах компьютерную томографию поджелудочной железы о возможном появлении на послойных снимках артефактов. Это может произойти, если вам накануне КТ делали рентген брюшной полости с бариевой взвесью. Также к таким последствиям, затрудняющим визуализацию органа, могут привести расположенные в теле пациента медицинские и инородные металлические предметы. Об их наличии следует предупреждать специалистов наших центров.
Пациенты с сахарным диабетом, которым нужно пройти такое компьютерное сканирование с контрастом должны отказаться от приема препаратов Метформин, Глюкофаж на срок до 48 часов перед исследованием и до 48 часов после него.
Когда нельзя проводить КТ поджелудочной железы
Существуют абсолютные и относительные противопоказания к проведению КТ поджелудочной железы. Запрещено выполнять такую диагностическую процедуру во время беременности и при превышении максимально допустимых значений нагрузки на стол томографа. Эта цифра ограничивается показателем веса пациента в 120 кг. Из-за лучевой нагрузки не рекомендуем проводить КТ этого органа детям и подросткам, заменив его на безопасные УЗИ или МРТ.
Лечащий врач должен с осторожностью назначать такую процедуру в следующих случаях:
- кормление грудью. Не менее чем на 24-48 часов после КТ с контрастированием придется воздержаться от грудного вскармливания (молоко сцедить и вылить);
- почечная недостаточность в анамнезе. Необходимо предварительно сделать анализ на креатинин крови для определения возможности проведения такой процедуры.
КТ поджелудочной железы с контрастированием противопоказана при аллергических реакциях на йодсодержащие контрастные препараты.
Также существует ряд заболеваний и состояний, при которых проведение компьютерного сканирования этого органа может быть затруднено:
- декомпенсированный сахарный диабет;
- тяжелое течение бронхиальной астмы;
- лечение радиоактивным йодом;
- патологии щитовидной железы;
- печеночная недостаточность;
- миеломная болезнь.
Если из-за наличия противопоказаний невозможно сделать КТ поджелудочной железы, назначается магнитно-резонансная томография. В нашей клинике можно пройти МРТ поджелудочной железы, исследование выполняется на современном высокопольном томографе экспертного уровня.
Запишитесь на КТ поджелудочной железы по удобному адресу
ЗаписатьсяСтанция метро
Площадь Восстания Проспект Просвещения Нарвская Рыбацкое Девяткино Гражданский проспект Академическая Политехническая Площадь Мужества Лесная Выборгская Площадь Ленина Чернышевская Владимирская Пушкинская Технологический институт Балтийская Кировский завод Автово Ленинский проспект Проспект Ветеранов Парнас Озерки Удельная Пионерская Чёрная речка Петроградская Горьковская Невский проспект Сенная площадь Фрунзенская Московские ворота Электросила Парк Победы Московская Звёздная Купчино Беговая Зенит Приморская Василеостровская Гостиный двор Маяковская Площадь Александра Невского Елизаровская Ломоносовская Пролетарская Обухово Спасская Достоевская Лиговский проспект Площадь Александра Невского Новочеркасская Ладожская Проспект Большевиков Улица Дыбенко Комендантский проспект Старая Деревня Крестовский остров Чкаловская Спортивная Адмиралтейская Садовая Звенигородская Обводный канал Волковская Бухарестская Международная Проспект Славы Дунайская Шушары Богатырская Каменка Театральная Горный институт Путиловская Юго-Западная Кудрово Шуваловский проспект Каретная Боровая Заставская БроневаяРайон
Центральный Выборгский Кировский Адмиралтейски Василеостровский Калининский Колпинский Красногвардейский Красносельски Кронштадтский Курортный Московский Невский Петроградский Петродворцовый Приморский Пушкинский ФрунзенскийГород
Санкт-Петербург Бокситогорск Бугры Волосово Волхов Всеволожск Выборг Высоцк Гатчина Ивангород Каменногорск Кингисепп Кириши Кировск Колтуши Коммунар Кудрово Лодейное Поле Луга Любань Мурино Никольское Новая Ладога Отрадное Пикалёво Подпорожье Приморск Приозерск Светогорск Сертолово Сланцы Сосновый Бор Сясьстрой Тельмана Тихвин Тосно ШлиссельбургЦены
Услуги, соответствующие запросу, не найдены.
Адреса диагностических центров "Доступная Медицина"
Преимущества наших диагностических центров
Доступные цены
Приемлемые цены
на все услуги
Качественный сервис
Контроль качества
оказываемых услуг
Лучшие специалисты
Высококвалифицированные врачи
Новейшее оборудование
Современные томографы с высочайшим качеством визуализации
Близость к метро
Мы находимся в непосредственной близости от метро и остановок общественного транспорта
Наше оборудование
КТ-СПЕЦИАЛИСТЫ
Лицензии
Современные томографы с высочайшим качеством визуализации
Статьи наших врачей