Назад КТ печени с контрастом в СПБ

Цена:
от 6 400 руб
Записаться
  • Введение контраста Да
  • Длительность выполнения 20 минут
  • Ограничения по весу 120 кг
  • Ограничения по возрасту От 15 лет
  • Срок получения результата В течение 24 часов
Описание

Печень – орган в брюшной полости, который выполняет ряд жизненно важных  функций в организме, включая выработку желчи, синтез холестерина и многих белков плазмы крови, обезвреживание и удаление из организма токсинов и чужеродных веществ. 

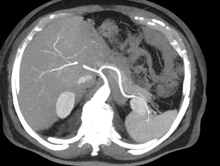
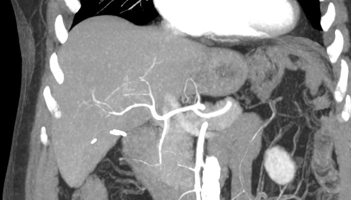
Печеночная ткань имеет обильное кровоснабжение, поэтому часто ультразвуковая диагностика заболеваний печени затруднена. Одним из наиболее информативных методов диагностики является мультиспиральная КТ печени, которая может проводиться в стандартном режиме и с внутривенным болюсным контрастированием. Введение йодсодержащего контрастного вещества значительно повышает диагностическую ценность компьютерной томографии и позволяет, в частности, выявить злокачественное образование на ранней стадии, отличить доброкачественный процесс от злокачественного, визуализировать изменения внутрипеченочных желчных протоков и многие другие патологические процессы.

Мультиспиральная компьютерная томография является быстрым высокоточным и доступным методом исследования, позволяющим обнаружить тяжелые заболевания на ранних стадиях, поставить точный и достоверный диагноз и назначить своевременное лечение.

В нашей клинике сканирование печени выполняется на современных компьютерных томографах экспертного класса TOSHIBA AQUILION, которые производят послойное сканирование исследуемого органа с последующей цифровой обработкой полученных данных для создания трехмерных изображений печени высокого качества и контрастности. Увеличенное количество детекторов, вмонтированных в аппараты, обеспечивает быстрое время исследования и пониженные дозы рентгеновского излучения, получаемого пациентом.

Показания к КТ печени с контрастом

Свернуть/развернуть
  • печень значительно увеличилась в размерах;
  • слизистая и кожа приобрели желтоватый оттенок;
  • болезненные ощущения в области подреберья справа;
  • наблюдаются регулярные нарушения пищеварения;
  • частое вздутие живота из-за интенсивного газообразования;
  • анализы ферментов печени показывают отклонение от нормы.
  • ощущение под правым ребром болей и сдавливания;
  • горечь во рту, приступы тошноты;
  • постоянная слабость.
  • механическая желтуха;
  • оценка состояния узлов лимфатической системы при онкологии;
  • контроль органа после хирургического вмешательства;
  • оценка эффективности терапии рака
  • кисты;
  • сосудистые заболевания;
  • нарушенное кровообращение, тромбоз;
  • нарушение проходимости желчных протоков;
  • воспалительный процесс различной этиологии;
  • злокачественные опухоли и метастазы;
  • различные заболевания печени (цирроз, гепатиты, жировая дистрофия);
  • доброкачественные новообразования, кисты (гемангиомы, тератомы, фибромы, поликистоз);
  • паразитарные заболевания
  • травмы и посттравматические изменения

Подготовка к КТ печени с контрастом

Свернуть/развернуть

Чтобы получить снимки высокого качества, к данному исследованию необходимо подготовиться. Из-за того, что газы в кишечнике могут создавать помехи при сканировании, в течение 2-3 дней рекомендуется придерживаться диеты, исключающей продукты, которые усиливают газообразование. 

В эти дни необходимо отказаться от употреблению в пищу сладкого, мучного, бобовых (горох, фасоль), овощей, всех видов капусты, кондитерских изделий. 

При выраженном метеоризме мы рекомендуем в течение 2 дней принимать «Эспумизан» по 2 капсулы 3 раза в день. Непосредственно в день исследования «Эспумизан» принимать не нужно. 

За 3-4 часа до исследования следует отказаться от приема пищи.

Желательно принести с собой медицинскую документацию, относящуюся к зоне исследования:

  • Направление лечащего врача;
  • Выписка из истории болезни или амбулаторной карты;
  • Рентгеновские снимки, CD/DVD диски предыдущих КТ или МРТ-исследований брюшной полости и печени;
  • Заключения профильных специалистов.

 

Введение контраста требует оценки функции почек, поэтому необходимо предоставить анализ крови с контролем уровня креатинина давностью не более 14 дней с момента сдачи биоматериала.

Пациентам, принимающим по поводу сахарного диабета Метформин (Глюкофаж или другие метформинсодержащие препараты), необходимо согласовать с эндокринологом временную отмену данного препарата за 48 часов до исследования с контрастированием и на 48 часов после введения контраста.

Для введения контраста в локтевую вену предварительно устанавливается венозный катетер. В определенный момент во время исследования контраст вводится в вену при помощи дозирующего устройства. Поступление контраста в кровоток может сопровождаться в течение нескольких минут ощущением теплоты во всем теле, появлением неприятного привкуса во рту, в дальнейшем этот дискомфорт полностью исчезает. 

После окончания процедуры контраст выводится из организма в течение суток. Поэтому кормящим матерям мы рекомендуем в течение следующих 24-48 часов после исследования с контрастированием не прикладывать ребенка к груди, молоко при этом нужно сцеживать и выливать.

Во время исследования пациент ложится спиной на подвижную кушетку томографа. Для получения качественных результатов нельзя двигаться во время процедуры сканирования.

Врач и рентгенолаборант находятся в соседнем помещении за стеклянной перегородкой. В аппарат вмонтировано переговорное устройство для связи с врачом.

Противопоказания для проведения КТ печени с контрастом

Свернуть/развернуть

Компьютерная томография не проводится во время беременности на любом сроке, так как рентгеновское излучение, которое применяется во время исследования, оказывает вредное воздействие на плод.

Также в наших центрах невозможно выполнить КТ пациентам с массой тела, превышающей 120 кг (подвижные части томографов имеют ограничения по весу).

Противопоказания для введения йодсодержащих контрастных препаратов:

  • наличие в анамнезе аллергических реакций на йодсодержащие контрастные препараты; 
  • имеющиеся заболевания почек с выраженным снижением функции почек;
  • застойная сердечная недостаточность;
  • некоторые заболевания щитовидной железы (гипертиреоз, тиреотоксикоз);
  • тяжелое течение бронхиальной астмы;
  • декомпенсированный сахарный диабет.

В случае наличия противопоказаний к проведению КТ в нашей клинике можно выполнить МРТ печени на новейшем высокопольном 32-канальном магнитно-резонансном томографе экспертного класса по доступной цене.  

Что покажет КТ печени с контрастом

Свернуть/развернуть
  • доброкачественные опухоли (гемангиома и пр.);
  • паразитарные заболевания (эхинококкоз и пр);
  • цирроз;
  • желчнокаменную болезнь;
  • воспалительные заболевания (абсцессы и пр);
  • рак печени или желчного пузыря.
  • болезнь Кароли
  • гепатоз
  • травматические и посттравматические изменения (подкапсульная гематома и пр)
  • тромбоз воротной вены
  • лимфаденопатию

Запишитесь на КТ печени с контрастом по удобному адресу

Записаться
Фильтр по услугам КТ с контрастом

Введение контраста

С контрастом Без контраста

Станция метро

Площадь Восстания Проспект Просвещения Нарвская Рыбацкое Девяткино Гражданский проспект Академическая Политехническая Площадь Мужества Лесная Выборгская Площадь Ленина Чернышевская Владимирская Пушкинская Технологический институт Балтийская Кировский завод Автово Ленинский проспект Проспект Ветеранов Парнас Озерки Удельная Пионерская Чёрная речка Петроградская Горьковская Невский проспект Сенная площадь Фрунзенская Московские ворота Электросила Парк Победы Московская Звёздная Купчино Беговая Зенит Приморская Василеостровская Гостиный двор Маяковская Площадь Александра Невского Елизаровская Ломоносовская Пролетарская Обухово Спасская Достоевская Лиговский проспект Площадь Александра Невского Новочеркасская Ладожская Проспект Большевиков Улица Дыбенко Комендантский проспект Старая Деревня Крестовский остров Чкаловская Спортивная Адмиралтейская Садовая Звенигородская Обводный канал Волковская Бухарестская Международная Проспект Славы Дунайская Шушары Богатырская Каменка Театральная Горный институт Путиловская Юго-Западная Кудрово Шуваловский проспект Каретная Боровая Заставская Броневая

Возраст пациента

Взрослому Ребенку от 15 лет

Пол пациента

Мужчине Женщине

Программы страхования

ДМС Платно ОМС

Цены

Услуги, соответствующие запросу, не найдены.

КТ головного мозга с контрастом
руб
От 6 400 руб
КТ околоносовых пазух с контрастом
руб
От 6 400 руб
КТ орбит с контрастом
руб
От 6 400 руб
КТ носоглотки с контрастом
руб
От 6 400 руб
КТ щитовидной железы с контрастом
руб
От 6 400 руб
КТ лимфатических узлов с контрастом
руб
От 6 400 руб
КТ гортани с контрастом
руб
От 6 400 руб
КТ шеи с контрастом
руб
От 6 600 руб
КТ легких с контрастом
руб
От 6 400 руб
КТ почек с контрастом
руб
От 6 400 руб
КТ печени с контрастом
руб
От 6 400 руб
КТ селезенки с контрастом
руб
От 6 400 руб
КТ поджелудочной железы с контрастом
руб
От 6 400 руб
КТ надпочечников с контрастом
руб
От 6 400 руб
КТ мочевого пузыря с контрастом
руб
От 6 400 руб
КТ одной анатомической зоны с контрастом
руб
От 6 400 руб
КТ брюшной полости и забрюшинного пространства с контрастом
руб
От 6 400 руб
КТ таза с контрастом
руб
От 6 400 руб
КТ верхней конечности с контрастом
руб
От 6 400 руб
КТ нижних конечностей с контрастом
руб
От 7 500 руб
от бифуркации аорты до коленного сустава
руб
От 7 500 руб
от бифуркации аорты до стопы
руб
От 9 500 руб
Контраст 100 мл (до 100 кг)
руб
3 500 руб
Контраст 150 мл (от 100 кг до 120 кг)
руб
4 500 руб

Адреса диагностических центров "Доступная Медицина"

Преимущества наших диагностических центров

Доступные цены

Приемлемые цены
на все услуги

Качественный сервис

Контроль качества
оказываемых услуг

Лучшие специалисты

Высококвалифицированные врачи

Новейшее оборудование

Современные томографы с высочайшим качеством визуализации

Близость к метро

Мы находимся в непосредственной близости от метро и остановок общественного транспорта

Лицензии

Современные томографы с высочайшим качеством визуализации

Назад
Вперед
Ключникова Екатерина Игоревна
Информация проверена главным врачом клиники Domedica24
Ключникова Екатерина Игоревна
Стаж более 8 лет, главный врач, врач-рентгенолог 1 категории
Площадь Стачек, 9">
ул. 1-я Советская, 8">