Необходимость в исследовании легких различными диагностическими методами зачастую появляется при возникновении симптомов затрудняющих нормальному осуществлению дыхательной деятельности (“респираторные” синдромы). Так после первичного приема у лечащего врача, с целью верификации (уточнения) диагноза, а также дифференцировки (отсеиванию) с другими заболеваниями становится необходимым проведение ряда диагностических исследований. В контексте легочной ткани и дыхательных путей, такими исследованиями рентгенография/флюорография, КТ и МРТ.
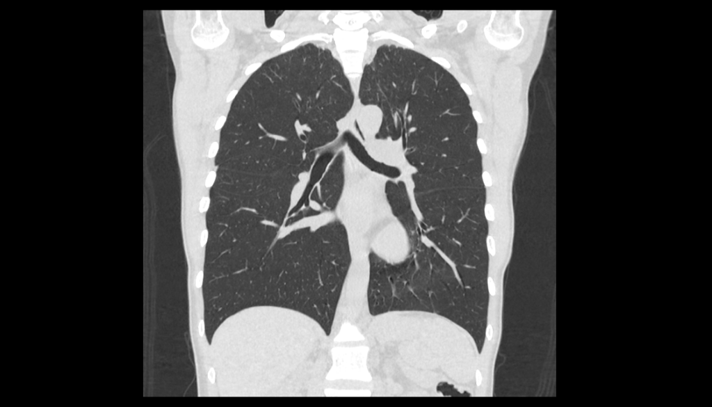
КТ
Как известно, хорошо себя зарекомендовал и попал в массы КТ во время пандемии, ассоциированной с новой коронавирусной инфекцией. Действительно, всего лишь за считанные секунды, томограф делает множество срезов, которые потом моделирует в объемное изображение и выдает на экран. Степень визуализации является достаточной, чтобы сразу же подтвердить или заподозрить ту или иную патологию. Немаловажным, является возможность проведения КТ с контрастным усилением, которое имеет высокую диагностическую ценность в поиске мельчайших злокачественных новообразований (показывает дефекты накопления, а также оценивает кровоток в сосудах, питающих легочную ткань) и патологий сосудов (мальформации, аневризмы, тромбоз сосудов и т.д.). Стоит помнить, что КТ является методом лучевой диагностики и предполагает при проведении исследования лучевую нагрузку, к которой без надобности не стоит прибегать.

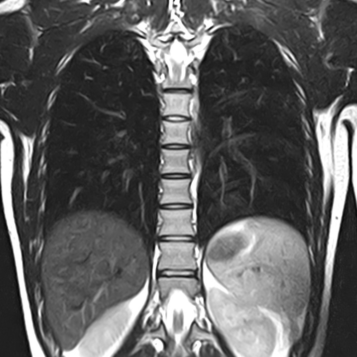
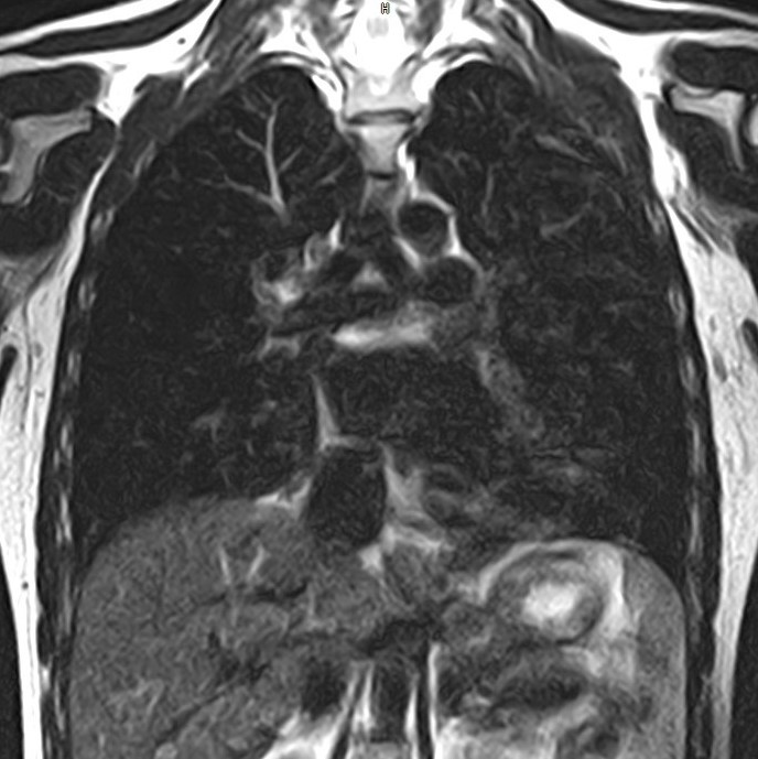
МРТ
Данный метод из всего списка является самым инновационным и современным. Благодаря своему принципу работы, МРТ дает четкую визуализацию с высоким разрешением. Такое исследование, в рамках органов грудной клетки, используется для исследования органов средостения. К сожалению, такое исследование не подходит для визуализации мельчайших очагов поражения в легочной ткани. Но стоит отметить, что существенным плюсом является отсутствие лучевой нагрузки, а вот существенным минусом со стороны пациента являются дороговизна исследования, длительность проведения исследования, а также наличие ряда относительных и абсолютных противопоказаний.


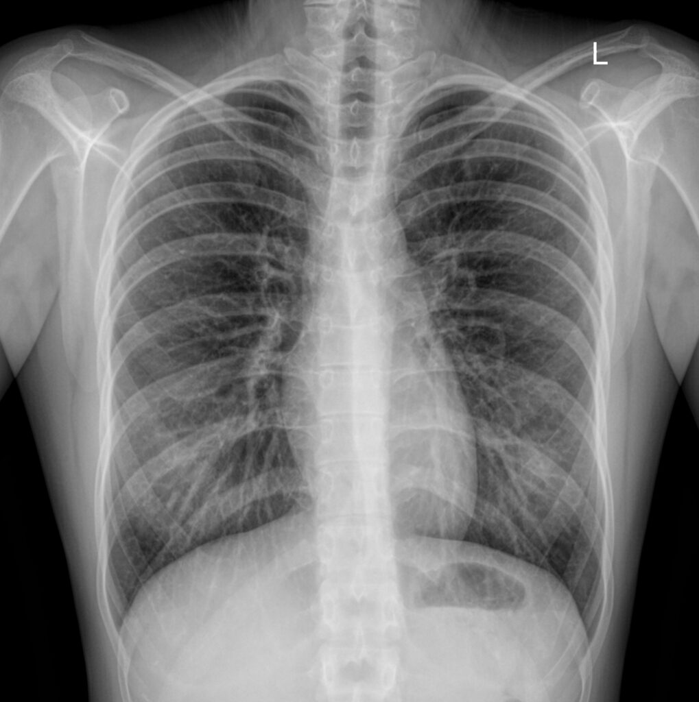
Рентгенография
Такой подход хорошо себя зарекомендовал в клинической практике в качестве быстрого скрининга патологий дыхательной системы и переломов ребер и был введен в перечень обязательных диагностических исследований при поступлении в клинику. При рентгенографии доза облучения крайне мала и никоим образом не сказывается пагубно на состоянии здоровья пациента в настоящем и будущем. Однако, если в качестве обзорного и быстрого исследования данный метод является приемлемым и хорошо себя зарекомендовал, то для выявления мелких патологий данный метод не подходит, так как разрешающая способность рентгена является недостаточной. Но все же в качестве быстрого скрининга такой метод является наиболее оправданным и подходящим, за исключением случаев, когда лечащий врач с большей долей вероятности уверен, что искомая патология будет плохо визуализирована на рентгене. Принципиальные разницы рентгенографии и флюорографии будут изложены в рамках другой статьи.
