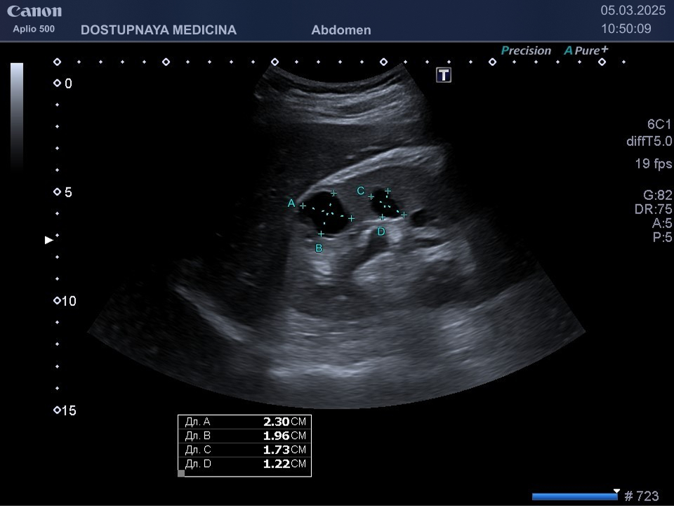
Киста почки – это тонкостенное образование в почке или над ней, заполненное жидкостью.
Чаще всего кисты почек протекают бессимптомно и являются случайной находкой во время ультразвукового исследования. При увеличении кисты в размерах может появиться боль в поясничной области в результате раздражения образованием нервных окончаний почки. Большая киста может сдавливать сосуды почек, приводя к нарушению кровотока в органе вплоть до полной гибели органа с развитием почечной недостаточности. Киста, локализованная в почечном синусе, может сдавить лоханку и чашечки почки, что приводит к нарушению оттока мочи вплоть до гидронефротической трансформации почки с полной утратой её функции. Поэтому очень важен периодический контроль размеров кисты не реже 1 раза в 6-12 месяцев.
В зависимости от локализации выделяют:
- субкапсулярные кисты почек, которые располагаются под почечной фасцией
- интрапаренхиматозные кисты почек, которые локализуются в ткани почки
- синусные кисты почек, которые находятся в области ворот почки и лоханки




Причиной образования кисты почки является избыточная пролиферация эпителия почечных канальцев или механическое препятствие, затрудняющее отток лимфы по лимфатическим протокам внутри почки или в её капсуле под воздействием тех или иных факторов (мочекаменная болезнь, травмы, рецидивирующие инфекции почек и мочевыводящих путей, врождённые дефекты и аномалии почек) Немаловажное значение имеет наследственная предрасположенность, а именно мутации в генах PKD1 и PKD2 (аббревиатура от Polycystic Kidney Disease), а также мутация гена PKHD1(аббревиатура от Polycystic Kidney and Hepatic Disease), что приводит к нарушению работы механосенсорных ресничек и избыточной пролиферации эпителия почечных канальцев.
В случаях отягощённого семейного анамнеза необходим более тщательный контроль за размерами и количеством кист в почках, так как поликистоз почек может развиваться как в детском, так и в зрелом и пожилом взрослом возрасте.
Сонографическими критериями поликистозной болезни почек при наличии этой болезни у родителей следует считать наличие двух и более кист в одной или обеих почках в возрасте меньше 30 лет, наличие двух и более кист в каждой почке в возрасте 30-59 лет и наличие четырёх кист в каждой почке в возрасте 60 лет и более.
В моей практике неоднократно встречались пациенты, у которых ранее находили две или три небольшие кисты почек, а уже через три года я выявлял у них при ультразвуковом исследовании полную кистозную трансформацию одной почки и множественные кисты больших размеров во второй почке.


Лечение кист почек:
Кисты небольших размеров (до 3 см), как правило, не требуют никакого лечения, необходимо лишь контролировать размеры и количество кист не реже 1 раза в 6-12 месяцев. Кисты от 3 до 5 см можно пунктировать и дренировать под контролем УЗИ с последующим введением в них склерозирующего препарата. Более крупные кисты (больше 5 см), как правило, иссекают лапароскопически. Медикаментозного лечения кист на данный момент не существует.
Существует классификация кист Bosniak по степени онкологической опасности:
- Bosniak 1- простая киста с тонкими стенками (до 2 мм) с жидким содержимым, без перегородок и солидного компонента, требует наблюдение 1 раз в полгода.
- Bosniak 2 – киста с перегородками и толщиной стенки 3мм или простая киста больше 3 см, требует наблюдение 1 раз в 2 месяца
- Bosniak 3- мультинодулярные, геморрагические кисты, кисты с крупными кальцинатами и солидным компонентом, требуют оперативного лечения в связи с высоким риском цистаденокарциномы.
Автор статьи врач ультразвуковой диагностики ООО «Доступная медицина», врач онколог, врач хирург высшей категории Цветков Евгений Анатольевич.