Зачастую, при назначении исследований сосудов различными методами, Вы можете задаваться вопросами: В чем отличие этих методов: КТ, МРТ и УЗИ сосудов? Зачем делать несколько исследований, а не сделать одно? Что является наиболее безопасным и оптимальным для меня? На эти вопросы мы в первую очередь постараемся ответить, попутно раскрываю суть и цели назначения каждого исследования. Разберем на примере исследований сосудов головного мозга, так как данная область является наиболее значимой и востребованной на настоящее время, и может быть исследована вышеизложенными методиками.
Если подходить фундаментально, то во всех изложенных исследованиях используются разные принципы работы (визуализации). МРТ базируется на принципе электромагнитного отклика от ядер атомов водорода (т.к. любая живая ткань включает в свой состав водород, углерод, кислород), аппарат фиксирует отклики и формирует на основании них картинку на томографе. Если речь идет о КТ исследовании, то здесь нужно учитывать тот факт, что используются рентгеновские лучи, которые в зависимости от плотностных характеристик дают представлении о физическом состоянии веществ. Принцип работы УЗИ аппарата основан на распространении ультразвуковых сигналов (эхо-сигналов), отражении их от окружающих тканей, фиксации отраженных эхо-сигналов. Из-за разных плотностных и структурных особенностей тканей на экране УЗИ-аппарата формируются разные по величине и интенсивности изображения, которые и отображают морфофункциональные особенности исследуемой области. Для наглядной визуализации, изложенную выше информацию, систематизируем в таблицу.
| Принцип работы | Особенности | |
| МРТ | Фиксация электромагнитного отклика от ядер атомов водорода | -Отсутствие лучевой нагрузки; -Прицельная диагностика; -Время, затрачиваемое на одно исследование, примерно 15-17 мин |
| КТ | Фиксация различного времени и скорости прохождения рентгеновских лучей сквозь ткани | -Наличие лучевой нагрузки; -Обширная область исследования; -Возможность послойного изучения рентгеновской плотности тканей, изменяемой при различных заболеваниях |
| УЗИ | Распространение ультразвуковых сигналов, отражение их от разных по плотности органов и фиксация отраженных сигналов | -Отсутствие лучевой нагрузки; -Экономичность, доступность и неинвазивность исследований |
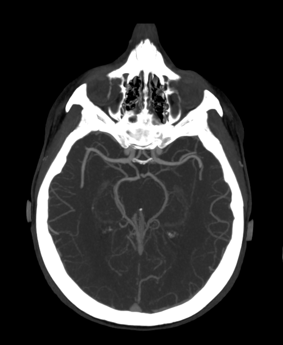
МРТ сосудов, в отличие от КТ, является наиболее безопасным исследованием и не сопровождается лучевой нагрузкой, и зачастую нет необходимости вводить контрастные вещества для повышения визуализации. В этой связи, МР-ангиографию можно делать пациентам с сопутствующими патологиями, беременным и детям необходимое количество раз. Также, немало важной особенностью МРТ является возможность оценки не только самих сосудов, но и их взаимодействия с тканями головного мозга. Стоит отметить, для МРТ характерна определенная область исследования и время, затрачиваемое на исследование, составляет 10-15 минут.

КТ-ангиография сосудов проводится строго по показаниям и имеет ряд особенностей. В первую очередь, учитывается лучевая нагрузка и необходимость введения контрастного вещества, именно поэтому КТ-ангиографию не стоит проводить беременным женщинам и детям до 5 лет (если не имеются жизненные показания).

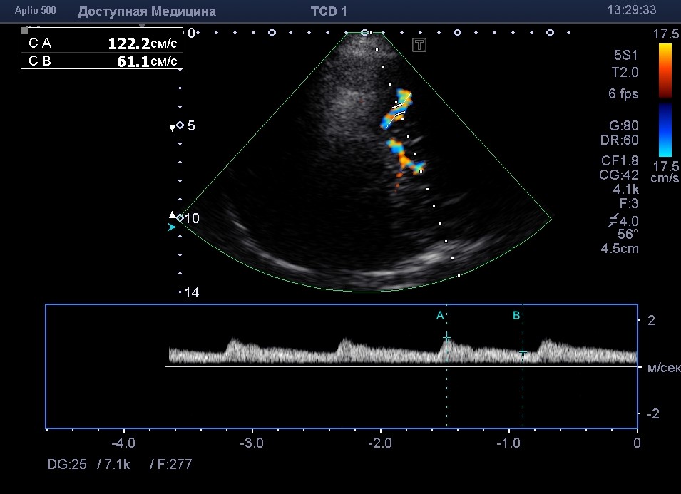
На ультразвуковом аппарате представляется возможность, в различных режимах и настройках аппаратуры оценить состояние кровотока в исследуемом сосуде. Также, представляется возможным найти патологическое образование вблизи анатомической проекции сосуда или выявить патологические изменения в артериях (аневризму, стеноз, тромбоз). Стоит отметить, что УЗ метод исследования может затрагивать, только поверхностно расположенные сосуды и не нуждается в статичной фиксации пациента, в отличие от КТ и МРТ.

В клинической практике МР-ангиография является скрининговым методом и только лишь при выявлении каких-либо патологических изменений в сосудах или близлежащих тканях назначают КТ-ангиографию, которая позволяет более детально изучить найденную патологию. УЗ метод является дополнительным и помогает оценить состояние кровотока.