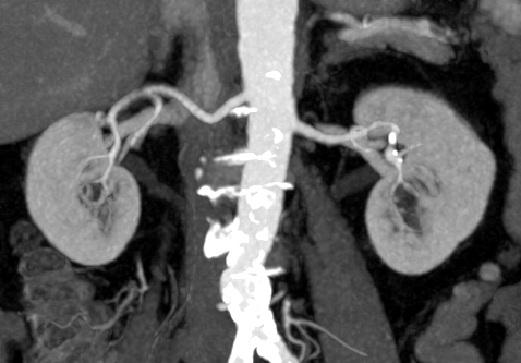
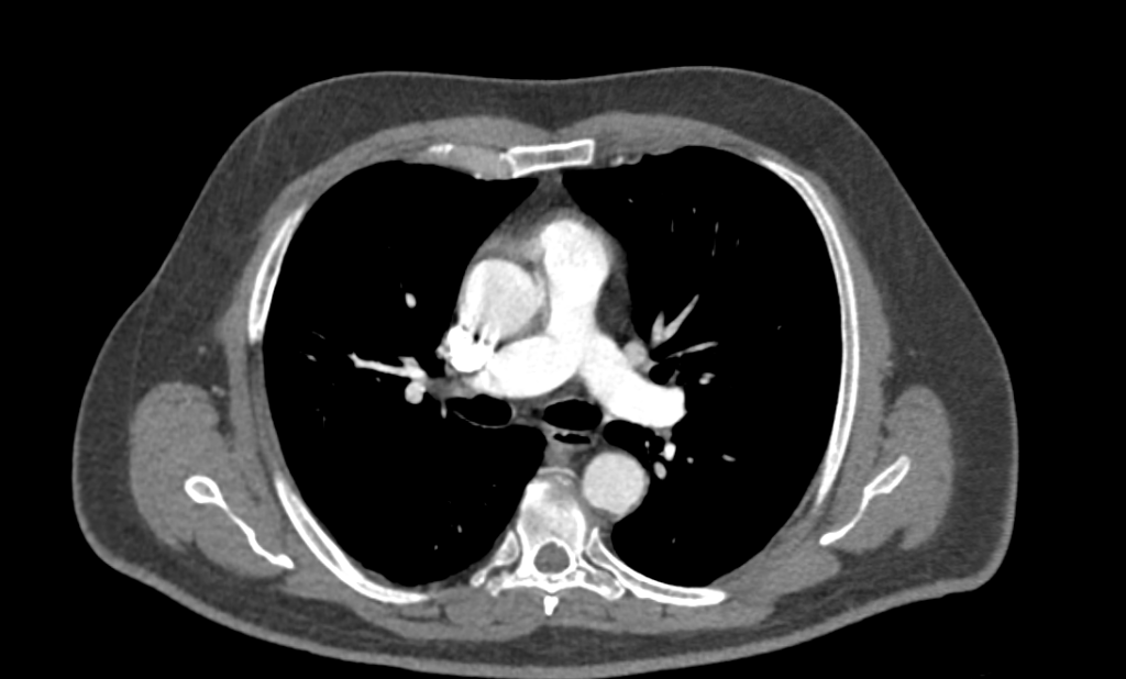
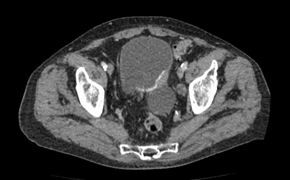
Наряду со стандартной методикой проведения КТ, также хорошо себя зарекомендовала и ее модификация – а именно, проведение КТ с применением контрастных агентов. В качестве контрастного агента используются йодсодержащие препараты.
Данный препарат не токсичен, хорошо выводится организмом пациента в течении суток и не оказывает никакого пагубного воздействия на организм. Контраст может вводиться разными путями (перорально и внутривенно), но внутривенный путь введения наиболее предпочтительный. Контрастное вещество вводится преимущественно в момент проведения исследования с помощью специального медицинского изделия. За счет своих физико-химических свойств, взаимодействуя с рентгеновскими лучами, контраст задерживает их позволяя более точно визуализировать мельчайшие патологии, а также патологии сосудистого русла. После введения контрастный препарат стремительно продвигается по кровеносному руслу, тем самым попадая во все органы и ткани. В зависимости от объекта исследования, выделяют также разный фазы при которых необходимо производить фиксацию изображения. Эффект повышенной степени визуализации реализуется за счет улавливания дефектов накопления (повышения или снижения), например в злокачественных новообразованиях васкуляризация (приток крови) значительно повышена, как следствие контраст сильнее там визуализируется и имеет свойств на некоторое время (секунды) задерживается.

Применение контрастного агента зачастую необходимо в случае проведения первичной дифференциальной диагностики новообразований и уточнения детальной локализации, мониторинге результатов терапевтических/хирургических лечений онкологических заболеваний, а также для оценки сосудистого русла и его физических характеристик. Стоит отметить, что в диагностике сосудистых патологий, таких как мальформации, стенозы и атеросклеротические бляшки данный метод диагностики является “золотым стандартом””.

КТ с контрастом назначается только лечащим врачом и преследует цели как первичной диагностики вышеуказанных патологий, так и уточнения найденных сомнительных очагов при стандартной компьютерной томографии. При назначении такого исследования учитывается ряд противопоказаний, которые могут наблюдаться у пациента, и принимается решение о целесообразности и адекватности проведения исследования. Далее проводится специальная подготовка, которая направлена на изменение пищевого рациона, с целью минимизации газообразования в ЖКТ.
Наиболее частые патологии, требующие проведения КТ с контрастом:
- Сосудистая система (мальформации, стенозы, повреждения сосудов, атеросклеротические бляшки и кальцификаты). Ранняя диагностика факторов риска развития инсульта;
- Новообразования злокачественные и доброкачественные (в случае опухолей КТ с контрастом позволяет выявить ранее заподозренную опухоль, оценить прогрессию роста опухоли, оценить результаты лечения опухолей: химиотерапии или хирургического вмешательства).

Также стоит отметить, что на КТ с применением контрастного вещества достаточно отчетливо и достоверно можно дифференцировать метастазы в соседних органах.