Инсульт – остро развившееся нарушение мозгового кровообращения, характеризующееся определенной неврологической симптоматикой. Причины происхождения инсульта могут быть разные, но все они сводятся к нарушению целостности сосудов (аневризма, десекция стенки сосуда), их закупорке тромбами и врожденным аномалиям строения сосудов (артерио-венозные мальформации (АВМ) и др.). В клинической классификации выделяют несколько видов инсультов, но принципиально их разделяют на ишемический и геморрагический. В зависимости от локализации инсульта и его характера, последствия от него могут быть крайне разнообразными (от бессимптомного течения с минимальными признаками до потерей сознания и инвалидизации пациента).Важно помнить, что такое состояние является неотложным, где терапия и диагностика должны проводиться в первые часы для минимизации последствий инсульта.

Как будет проходить восстановительный период напрямую связано с своевременной диагностикой инсульта. Как правило, при подозрении на инсульт, а это бывает при относительно бессимптомном течении, пациент незамедлительно обращается в ближайший диагностический центр, где рассказывает свои жалобы и ему рекомендуется сделать МРТ головного мозга. Врач уже с первых слов понимает о каком заболевании идет речь и предпочитает выбору МРТ диагностики инсульта, так как на МРТ можно с абсолютной достоверностью определить, какой вид инсульта произошел, а также его примерную причину и локализацию и не проводить лучевую нагрузку на пациента. Также, есть группа лиц с определенными заболеваниями (гипер- и дислипидемии, гипертоническая болезнь и др.), которым в качестве наблюдения за своим состоянием здоровья рекомендуется проводить МРТ головного мозга. Выявление незначительных сдвигов в целостности головного мозга, его паренхимы и питающих сосудов поможет своевременно насторожиться и во время начать терапию.


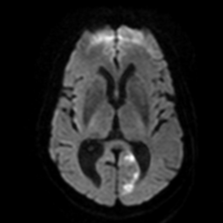
Острый период очень хорошо визуализируется на МРТ в отличие от КТ и позволяет определить тип и вид поражения головного мозга и провести дифференциальную диагностик ишемической патологии: гематомы, в результате разрыва аневризмы; кровоизлияния из АВМ; кровоизлияния в опухолевидный очаг. Признаками ишемического инсульта являются: снижение плотности ткани поврежденной области; повышенная интенсивность МР-сигнала в зоне ишемии; признаки повышенной отечности на вовлеченных участках (будет наблюдаться отек головного мозга, так как это является патологической реакцией головного мозга на токсические агенты, но в зоне вовлеченных участках отек будет больше).
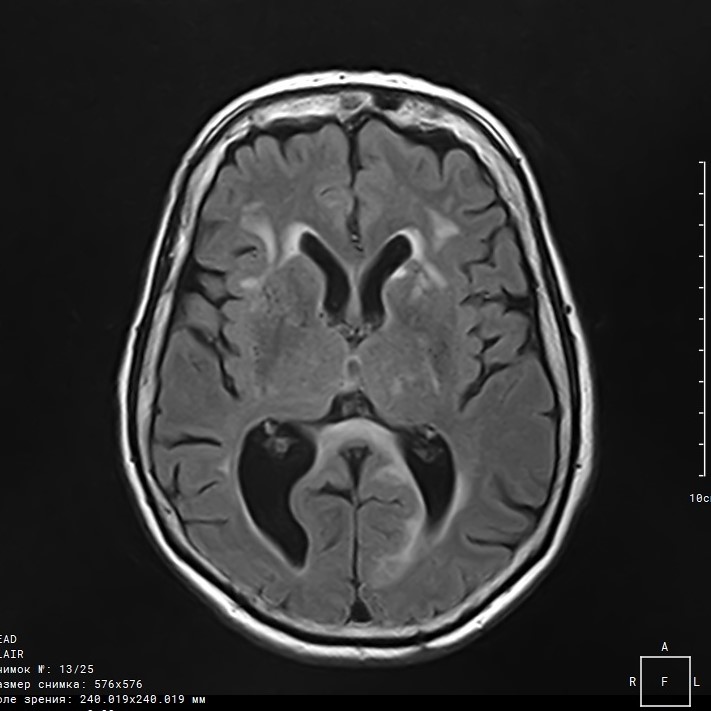
Степень детекции геморрагических инсультов на МРТ тоже достаточно высока и позволяет выявить гематомы различной локализации. В крови содержится гемоглобин, который обладает определенными МР свойствами, а его сгустки очень хорошо визуализируются.
Существует определенный протокол МРТ диагностики при инсульте, включающий в себя 4 вида МР исследований в течении 24 часов. Так, особый интерес представляет DWI – диффузно взвешенная МРТ, которая делается через 3 часа после предполагаемого острого периода. Так как на DWI будут видны отечные структуры головного мозга, что очень важно в комплексной МР диагностике. DWI улавливает микро-движения молекул воды через клеточные мембраны.
При первых подозрениях на инсульт рекомендуем Вам незамедлительно вызвать скорую помощь или обратиться в ближайшую больницу.