При необходимости обследования легких зачастую, встает вопрос о проведении КТ или рентгенографии. Эти два метода хорошо себя зарекомендовали в клинической практики и прошли проверку временем, но в чем же их принципиальные отличия и что лучше делать?
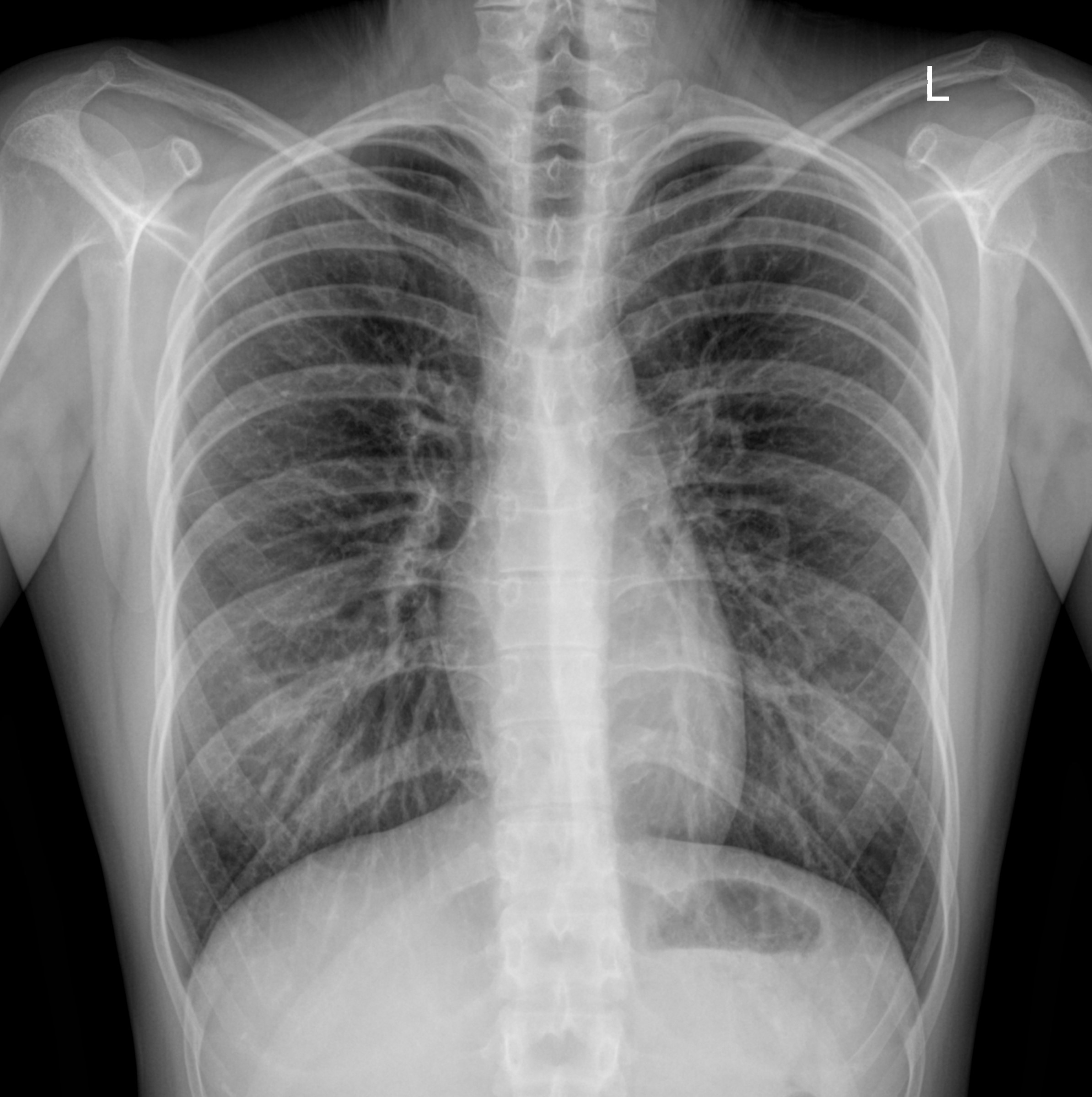
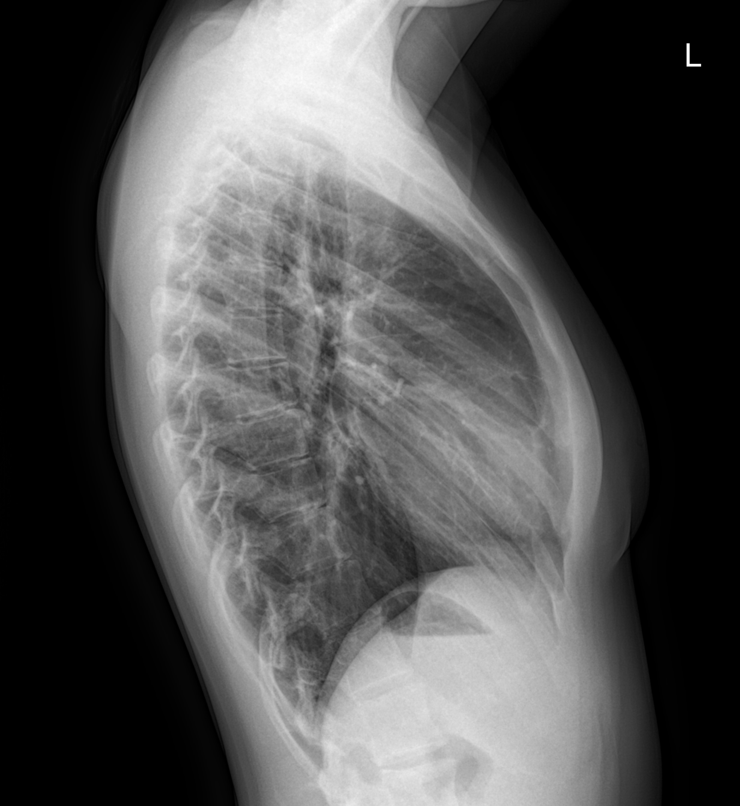
Так, начнем с рентгенографии. Данный метод исследования, как правило, используют для проведения обзорных исследований (скрининга), чтобы установить факт наличия патологии легочной ткани. В своей основе, такое исследование использует рентген-лучи и считывает разность прохождения данных лучей через структуры организма. Разность в прохождении лучей формируется за счет неоднородности плотностных характеристик структур организма. Рентгенография легких как правило делается в двух проекциях: фронтальной и боковой. На рентген-пленке хорошо видно наличие патологических изменений легочной системы (при пневмонии поражение легких 3 и 4 степени, туберкулез, плеврит и т.д.), а вот более мелкие патологические процессы скорее всего будут не визуализированы в виду феномена наложения теней от других органов.


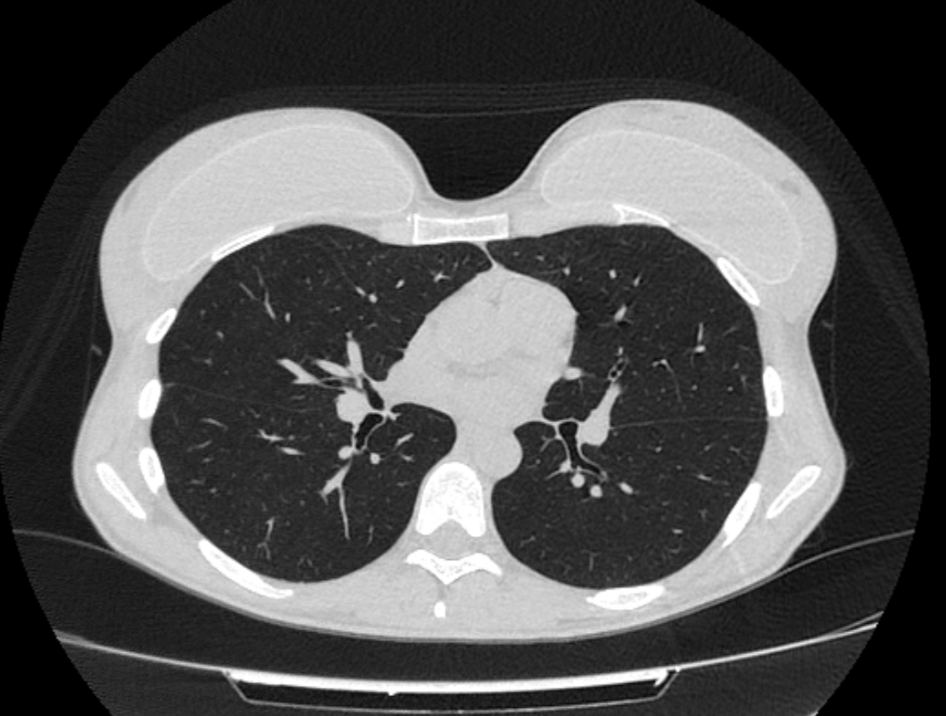
При проведении компьютерной томографии используется тот же принцип прохождения рентген-лучей через ткани с разными плотностями характеристиками. Правда при КТ лучи проходят в разных проекциях под разными углами, формируя множество срезов толщиной до 1 мм, и за счет чего формируется объемное изображение на экране и получается визуализировать мельчайшие патологические изменения. Также высокая четкость и объемность изображения формируется за счет техническими параметрами установок. Рентген-аппарат обладает коэффициентом ослабления в 20%, а КТ установка обладает коэффициентом в 0,5%


КТ и рентгенографию можно также делать с контрастированием для повышения степени детекции злокачественных новообразований и сосудов. Однако, при поиске таких патологий выбор очевиден в сторону КТ, за счет высокой степени визуализации и трехмерности изображения.
Стоит также отметить, что при проведении таких исследований пациент получает дозу облучения, которая равна приблизительно при КТ – 2,5 мЗв, а при рентгенографии – 0,1 мЗв. Такие дозы облучения на организм являются безопасными и целесообразными. В год по нормативам Минздрава России можно проводить примерно 5 КТ-сканирований. Лечащий врач, назначающий любой из представленных выше исследований, всегда руководствуется критериями целесообразности и адекватности.
Преимущества КТ перед рентгенографией очевидны, однако не стоит забывать, что рентгенография является хорошим скрининговым методом, который позволяет случайно или спонтанно обнаружить наличие патологии легочной ткани и вовремя начать лечебные мероприятия, тем самым минимизируя ущерб на организм. В заключении хотим предоставить Вам таблицу, где отражены принципиальные различия КТ и рентгенографии.
| КТ | Рентгенография | |
| Плюсы | -трехмерное изображение; -высокая информативность; -возможно первично дифференцировать опухоли легких; | -низкая стоимость обследования; -облучение 0,1 мЗв; -повсеместно распространен и доступен. |
| Минусы | обследование; -доза ионизирующего излучения выше; -менее доступен в медицинских учреждениях. | -низкая информативность; -низкая специфичность; -исследование производится в 2 проекциях, патологические участки могут быть закрыты тенью от соседних органов; -позволяет только установить факт наличия патологических изменений. |