Липома – наиболее часто встречающаяся доброкачественная опухоль мягких тканей, состоящее из жировой и соединительной ткани.
Причины образования липом до недавнего времени были не изучены, но прослеживалась явная наследственная предрасположенность к образованию липом. У некоторых людей отмечался липоматоз – это склонность к образованию большого количества липом в разных участках тела. Сейчас установлено, что причиной образования липомы является поломка в гене, ответственного за синтез белка ТАГ-липазы. Единственная функция этого белка – это расщепление жиров. Таким образом образование липом связано не с избыточным отложением жиров в адипозоцитах, а с блокированием путей расщепления жиров. Но, к сожалению, консервативных методов лечения липом в настоящее время пока не разработано и единственным методом лечения остаётся хирургическое удаление опухоли. Показаниями к которому являются:
- косметический дефект
- желание пациента избавиться от опухоли
- сдавление липомой нервных стволов, вызывающее болезненные ощущения
При ультразвуковом исследовании липома чаще всего выглядит, как гипоэхогенное образование овальной или округлой формы, мало отличающееся по своей эхоструктуре от окружающей её подкожной жировой клетчатки, без кровотока в режиме ЦДК. В описании заключения важно так же отметить прилежит ли близко опухоль к какому-либо кровеносному сосуду или нерву.



Но среди большого количества пациентов с подозрениями на липому мягких тканей, направляемых врачом на ультразвуковое исследование, встречаются также и липосаркомы – это уже злокачественное новообразование из мезенхимальных тканей, клетки которых имеют тенденцию превращаться в жировые. Эта опухоль требует своевременной диагностики и своевременного оперативного лечения, так как часто даёт метастазы и рецидивы, а стойкое выздоровление отмечается лишь в 40% случаев.
Высокодифференцированные липосаркомы имеют медленный рост и редко дают метастазы. Низкодифференцированные липосаркомы растут быстро и часто дают метастазы. Поэтому своевременная диагностика злокачественного новообразования чрезвычайно важна для выставления показаний к срочной операции.
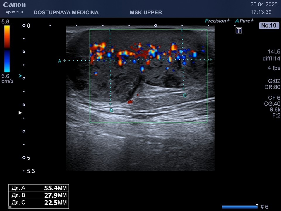
При ультразвуковом исследовании липосаркома чаще всего выглядит, как гипоэхогенное образование неправильной овальной формы, обычно с более пониженной эхогенностью (темнее) по сравнению с окружающей её подкожной жировой клетчаткой, с усиленным кровотоком в режиме ЦДК. В описании заключения важно так же отметить прилежит ли близко опухоль к какому-либо кровеносному сосуду или нерву.


Видно, что кровоток в образовании значительно усилен.
Более глубко расположенная опухоль в мягких тканях может оказаться рабдомиосаркомой. Это злокачественная опухоль, возникающая из поперечно-полосатой мышечной ткани. Наиболее часто встречается у детей и подростков. Симптомы её – болезненное уплотнение в области поражения, общая слабость и снижение веса, в некоторых случаях лихорадка. Миосаркомы обладают агрессивным ростом и быстрым метастазированием. Лечение миосарком хирургическое. Дополнительные методы лечения – это лучевая терапия и химиотерапия.

Опухоль верифицирована гистологически.
Довольно часто при ультразвуковом исследовании приходиться дифференцировать образование мягких тканей от разного рода лимфаденопатий. Лимфаденопатия подчелюстных и шейных лимфатических улов по воспалительному типу чаще всего встречается у пациентов с воспалительными заболеваниями ЛОР органов и с воспалительными заболеваниями челюстно-лицевой области. В таких случаях требуется санация очага воспаления, иногда назначается антибиотикотерапия.
Довольно часто лимфаденопатия подчелюстных и шейных лимфатических узлов вызвана вирусом Эпштейн-Барр – возбудителем мононуклеоза или вирусом ветряной оспы. В таких случаях необходима противовирусная терапия. Следует помнить, что вирус ветряной оспы остаётся в нервных ганглиях всю жизнь и может быть причиной опоясывающего герпеса. А вот вирус Эпштейн-Барр может быть причиной лимфомы Ходжкина.

Лимфаденопатия подмышечных лимфоузлов может быть вызвана стафилококковой инфекцией кожи верхних конечностей, а также воспалительными и онкологическими заболеваниями молочных желез.
Лимфаденопатия паховых лимфатических узлов может быть вызвана воспалительными и онкологиескими заболеваниями нижних конечностей и передней брюшной стенки (рожистое воспаление кожи, меланома кожи, саркома, болезнь кошачей царапины)
Реже причинами лимфаденопатии моджет быть туберкулёз, туляремия, болень Лайма, ВИЧ инфекция и другие заболевания.

При ультразвуковом исследовании важно разобраться имеем мы дело с лимфаденопатией по воспалительному типу или с лимфаденопатией по пролиферативному типу. При лимфаденопатии по воспалительному типу сохраняется дифференцировка лимфоузла на слои, но корковый слой лимфатического узла утолщен, кровоток в лимфоузле хиларный (центральный), чаще всего отмечается усиление хиларного кровотока в режиме ЦДК, узел имеет овоидную форму и его горизонтальный размер всегда больше вертикального.
При лимфаденопатии по пролиферативному типу лимфоузел приобретает округлую форму и увеличивается в размерах, горизонтальный его размер становится равным вертикальному, кровоток перестаёт быть центральным и становится хаотичным, дифференцировка лимфоузла на слои отсутствует.
Лимфаденопатия по пролиферативному типу чаще встречается при лимфомах и при метастазах опухолей различных локализаций.



Среди образований мягких тканей шеи так же можно встретить срединные и боковые кисты шеи. Боковые кисты шеи возникают вследствие не полного заращения жаберных щелей в эмбриональном периоде, а срединная киста шеи вследствие не заращения щитовидно-язычного протока. Щитовидно-язычный проток располагается между подъязычной костью и щитовидным хрящём. При его не полном заращении здесь скапливается жидкость со слизью и об бразуется киста, которая располагается по средней линии шеи. Иногда киста может воспаляться и нагнаиваться, вызывая болевые ощущения.

Автор статьи врач ультразвуковой диагностики ООО «Доступная медицина», врач онколог, врач хирург высшей категории Цветков Евгений Анатольевич.